今天门诊一个64岁老人,因为头痛1个月拍了个脑CT片子,面对着脑出血的诊断,一脸茫然,不知所措。反复地陈述“怎么可能?!”难道是不知不觉中发生的?
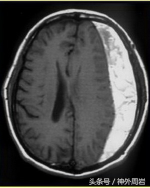
对,这种脑出血就是在不知不觉中发生的——慢性硬膜下血肿,而且受害群众绝大多数都是老年人。

慢性硬膜下血肿是临床常见病之一,因其发病隐匿,很容易被其他疾病掩盖临床症状,所以这是很容易被贻误的疾病。一旦罹患此病,给人的感觉就是“不知不觉”。

是什么原因造成的这种出血?
慢性硬膜下血肿的发病原因最常见的是外伤,这种外伤往往非常轻微,也经常会被忽视和遗忘。罹患此病的人群多半是老年人,这是因为老年人都存在不同程度的脑萎缩,进而大脑在头颅内的移动空间增大,当这种空间增大到一定程度,脑表面的桥静脉受到牵拉,张力增加,血管壁通透性增加,所以哪怕是很轻微的外伤都可能极易造成出血。科学研究发现,从宏观角度讲,慢性硬膜下出血与三个因素有关:潜在的出血因素、外伤和扩大的硬膜下腔。

为什么会在不知不觉中发生?
前面说了,老年人存在不同程度的脑萎缩,颅内空间较大(蛛网膜下腔间隙增大),所以只有在出血量达到一定程度时才会产生症状,故而病程长,起病隐匿。并且,首发症状常常是以精神意识障碍、轻偏瘫为主,其原因在于老年患者硬膜下腔代偿能力增加,颅高压症状被掩盖,遂以慢性颅高压造成的精神意识障碍表现为主,这又与老年人的常见病“痴呆、脑供血不足、高血压脑动脉硬化、神经症等”有重叠,所以容易误诊误治。

此外,老年人常有潜在性出血因素,这与血管老化、脆性增大、脑萎缩等因素有关。
所以,老年人在日常生活和运动时一定要注意,有任何不适症状都要及时救治,家属也要时刻提醒自己不要忽略身边老人的主诉,千万不能想当然的把所有事情都归结于“岁数大了就应该这样”。
