脊柱是我们人体骨骼的中轴,从正面看的时候,绝大多数人的脊柱是处在躯干正中心的位置,我们的双肩是平衡的,头颅恰好位于两腿之间的正上方;而从侧面看,腰椎略有前突,胸椎是后突,颈椎也有适当的前突,这是自然的脊柱的曲度。
什么是脊柱侧弯?
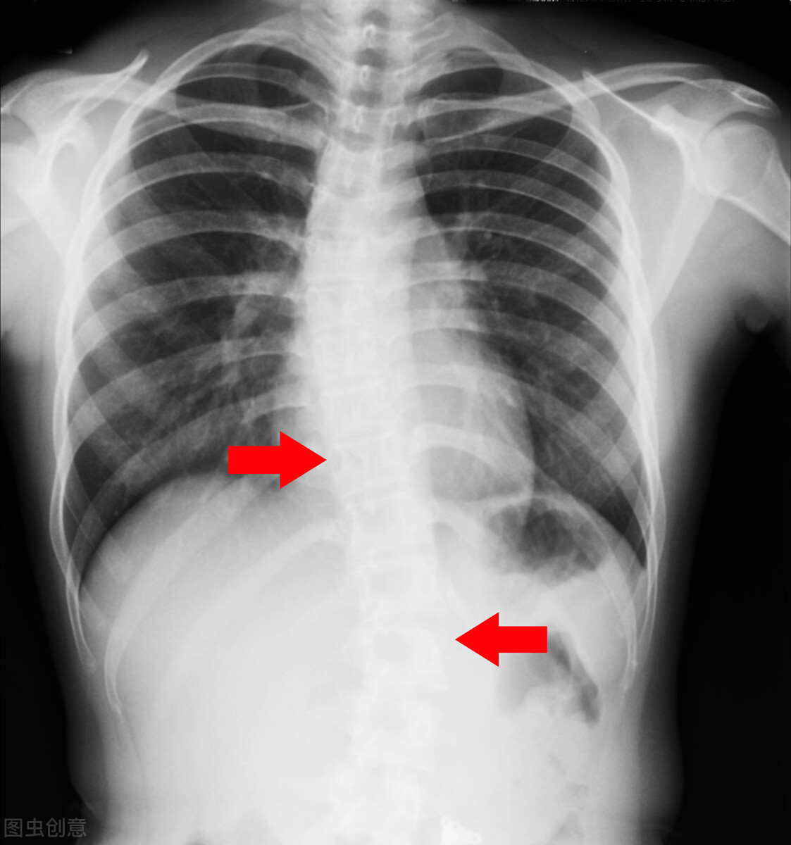
如果从正面看脊柱在侧向上发生了弯曲,就叫做脊柱侧弯,在X光片上,如果它的侧向弯曲度大于10度,在医学上就可以确诊,换句话说,它就具有治疗的意义和价值。如果侧弯过大,通常角度大于40度,就要考虑手术治疗,根据统计,大概有2%~3%的人会出现脊柱侧弯,但是不是所有的脊柱侧弯都需要治疗。

在生活当中,怎么去发现孩子或者老人存在脊柱侧弯呢?有以下几个标准:
1. 可以看他的双肩是不是等高?
2. 双肩的外形是不是对称?
3. 背部是否有畸形?尤其是两侧的肩胛骨是不是对称?
4. 腰部是否存在不对称的或者单侧的折线?
5. 孩子双上肢自然下垂站立的时,要看他的上肢和躯干之间的距离是不是等距?骨盆和髋部是不是存在倾斜?
如果发现上述情况之一或几项存在异常,首先要考虑存在脊柱侧弯的可能,可以带孩子去专科的医院进行x线片检查,或者寻找专科的医生进行治疗和问诊。
作为儿童脊柱侧弯来说,治疗的主要目的是为了防止畸形,随着儿童的生长而持续性的加重。而对于成年人来讲,出现脊柱侧弯,治疗的目的是为了治疗由于脊柱侧弯带来的一些并发症状,最常见的症状是腰背部的疼痛,其次还有躯干的失衡。
脊柱侧弯如何治疗?
脊柱侧弯的治疗方法现在比较明确的是石膏、支具、牵引和手术这4种方法,网上可能会有一些报道,说按摩、针灸、理疗可以治疗脊柱侧弯,这里要提醒大家,经过大量医学的验证,这些方法对于脊柱侧弯并没有特别的效果。

具体来说,脊柱侧弯角度如果小于40度,可以采取石膏、支具、牵引等物理方法治疗,而对于40度以上脊柱侧弯,或者非手术治疗方法无效时,就应该采取手术治疗的方法。
什么是早发型脊柱侧弯?
早发型脊柱侧弯是指发现脊柱侧弯的年龄在10岁之前,为什么要把这一类的脊柱侧弯单列归为一类呢?因为这类的脊柱侧弯由于发病年龄较早,孩子的身体发育并没有完全的成熟,尤其是胸椎、肋骨和胸廓胸骨的发育还未成熟。
我们知道胸廓的内部是心脏和肺脏,是我们人体非常重要的脏器组织,如果脊柱侧弯畸形进展,会造成胸廓的扭曲,导致发育的受限,进而就会影响到心肺的发育,影响到孩子的自然的寿命。
因此早发性脊柱侧弯最重要的原则是早发现早治疗。如果在生活当中家长发现孩子双肩不等高,背部有异常的隆起或者不对称,或者是站立行走的时候有头颈歪斜的情况,一定要尽快到医院就诊,避免错过最佳的治疗时机。
早发型脊柱侧弯如何治疗?
关于早发型脊柱侧弯的治疗,现在一个比较普遍的误区是等孩子长大以后再进行治疗,遗憾的是,这样的认识往往是错误的,因为随着孩子生长发育的加快,脊柱侧弯的畸形进展程度也会随之加快,后期治疗相对困难,效果也会大打折扣。因此,如果是在婴儿期发现脊柱侧弯,就在婴儿期治疗,在儿童期发现就在儿童期治疗。主要的治疗方法是石膏、支具甚至手术。

石膏主要适用于婴幼儿时期的脊柱侧弯,由于早发性脊柱侧弯具有进展快,影响心肺功能发育的特点,所以在治疗脊柱侧弯的同时,要尽可能的保证脊柱能随着孩子的生长发自然生长,不能够像成人侧弯一样做一些大的融合性的或完全固定的手术。千万不能盲目地套用成人的脊柱侧弯治疗办法,造成孩子增长潜能或者心肺功能发育的受限。
本期医学内容合作者:王林 西安交通大学第一附属医院骨科 副教授