29岁的裴女士(化名)女士近两年来反反复复地上腹痛,尤其吃了辛辣、火锅等油腻食物后疼痛更明显,严重的时候甚至连右肩部也会痛。
裴女士不堪其扰,于是来到中山大学附属第七医院普通外科就诊。完善检查后,普外科汤地主任告诉裴女士,她的胆囊多发结石,已经没有正常功能,需要手术治疗,通过腹腔镜手术切除严重病变的胆囊方能治愈。
裴女士一听却犯了愁,原来从小到大都没得过什么大病,更没有上过手术台,“手术痛不痛?”“会不会留疤痕?”这些问题一直困扰着她。

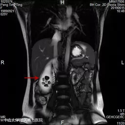
磁共振可见明显肿大的胆囊以及其内多发结石
了解裴女士的担忧后,普通外科汤地主任带领的团队为她制定了一个手术方案:隐疤痕单孔腹腔镜胆囊切除术。这种手术可以把切口隐藏在肚脐位置,术后几乎看不出疤痕,疼痛感也很低。
裴女士一听,欣然接受了手术。在不到1小时的手术过程中,医生通过肚脐眼上一个2cm长的小切口,探入腹腔镜及手术器械,找到病变的胆囊,小心翼翼地将胆囊切下并取出。
手术过程很顺利,裴女士术后恢复迅速,术后第二天下午就办理了出院。

裴女士术后腹部切口情况
考验眼力的时候到了,疤痕到底在哪儿?

喜欢穿露脐装的女孩还可以尝试打脐钉,那就更看不出疤痕了
What
什么是隐疤腹腔镜胆囊切除?
随着医学科技的发展, 目前大多医院可常规开展3~4孔腹腔镜胆囊切除术。中山七院普外科开业后收治了不少胆囊疾病患者,经过1年多的临床实践,改良了传统3~4孔腹腔镜胆囊切除术式。目前采用的经脐入路单孔隐疤腹腔镜胆囊切除术是当前胆道外科最前沿的微创技术,手术器械经脐部单个开口进入腹腔进行胆囊切除术,术后利用脐部天然皱褶遮掩手术切口,达到隐疤、微痛和快速康复的效果。

传统四孔腹腔镜胆囊切除术,术后上腹切口疼痛明显
(三孔仅少一个上腹部操作孔)
How
跟传统术式相比有哪些优势?
相对于传统的3~4孔法,新术式具有更突出的微创性、美观性、微痛性和经济性等优势。
微创性:
新术式相对于传统的3~4孔法,操作器械角度变小,对主刀医生的手术经验和技巧要求更高,但是对于患者具有创伤更小、更加美观、疼痛轻微和恢复更快等优势。
当然,隐疤手术的成功开展也是建立在确保患者安全的基础之上,如术中探查发现胆囊疾病严重,必要时仍需另加戳孔及辅助器械以保证患者手术能够顺利进行。
美观性:
隐疤术式脐部切口只有2厘米左右,脐部皮肤皱褶可以遮掩切口,待伤口愈合后疤痕很难观察到,术后体验佳。
微痛性:
传统3~4孔患者常常诉上腹部数个切口疼痛明显,而隐疤手术切口仅在脐部,辅以合理镇痛措施,术后患者疼痛轻微,当天可以下地活动。
经济性:
一般术后6小时即可进流食,术后第二天就可以出院,伤口不需拆线、住院时间短、医疗总费用低。
目前,中山七院普外科已成功开展10余例隐疤单孔胆囊腹腔镜胆囊切除手术,手术效果俱佳,科室已经常规采用此手术方式进行胆囊切除。
Who
指导专家

汤地 普通外科主任
硕士生导师、副主任医师
1999年中山医科大学七年制毕业
2003-2004年日本大阪大学留学
2015-2017年美国“梅奥诊所”攻读博士后
广东省医学会外科学分会常委
广东省抗癌肝癌专委会委员
广东省健康管理协会肝胆胰微创专委会副主任委员
深圳市医学会肝胆胰专业委员会副主委
深圳市医学会乳腺和甲状腺专业委员会常委
外科学博士,在中山大学附属第一医院(院本部)从事普通外科临床工作近20年,诊疗范围包括肝、胆、胰、脾疾病和腹部疝气、乳腺、甲状腺外科疾病的诊断和常规手术以及腹腔镜,ERCP,胆道镜等微创手术的治疗。发表SCI收录及中文核心期刊近50篇。参与编辑《腹部外科学》(2000年,人民卫生出版社);《肝胆胰脾外科并发症学》(2012年,广东科技出版社);《要点与盲点:胆道外科》(2010年 人民卫生出版社)等专著。

陈 阳
外科学硕士 主治医师
2016年获普通外科副主任医师资格
广东省和深圳市6个普通外科专业相关学会委员
自2007年从事普通外科临床工作至今。熟练掌握肝胆胰外科、甲乳外科及疝外科各级微创手术——腹腔镜胆囊、阑尾切除术、肝胆胰肿瘤切除术、胆道探查取石术、脾切除术、甲状腺及乳腺肿瘤根治术、腹腔镜疝修补术等。擅长肝胆、甲乳疾病的超声介入操作(徒手穿刺法)——近年来成功施行胆囊/胆管穿刺、肝肿瘤活检/射频、胸腹水/腹膜后积液穿刺引流术数百例。
主持并参与多个科研项目,在核心期刊、SCI等各级学术期刊共发表专业论文二十余篇,曾屡次在深圳市医学会外科学专业委员会等各级学术会议上作报告。指导及授课住院医师规范化培训学员、进修医师、实习医生、见习医生百余人次。

文/陈阳、李东
编辑/李艾琳
初审/汤地
审核/江清浩
审核发布/*党**宣办
