转载自 傅传刚主编《大肠癌100问》
老百姓在就诊时往往谈“癌”色变,“癌”这个字眼在通俗意义上几乎被认为是“绝症”的代名词,血癌、脑癌、骨癌这些在医学专业上的错误名称经常被老百姓用来指代其相应系统的恶性肿瘤。大肠癌是大家熟知的消化道恶性肿瘤之一,其发病率有逐年上升的趋势,那么大肠类癌也是大肠癌么?不尽如此。
什么是类癌?
类癌起源于肠粘膜隐窝深部的肠腺嗜银细胞,称嗜银细胞瘤或神经内分泌瘤。类癌能分泌一些如5-HT等生物活性物质,因此部分患者会有皮肤潮红、水样腹泻、哮喘、心跳加快等神经内分泌症状,此类症状统称为类癌综合征。类癌好发于胃肠道,最常见于阑尾,其次为直肠、小肠、胃、结肠。
什么是大肠类癌?
发生于结肠、直肠的类癌统称为大肠类癌。大肠类癌是一种神经内分泌肿瘤,来源于神经外胚层。大肠类癌组织分化较好、生长缓慢、介于良性与恶性肿瘤之间的;较少发生转移的低度恶性肿瘤,但具有潜在恶性和转移复发潜能。随着结肠镜检查的普及和病理检查技术的提高,大肠类癌的发病率有明显增加的趋势。大肠类癌症状隐匿,缺乏特异性,且常因无嗜银性而不出现类癌综合征,故早期诊断较为困难,误诊率较高。
怎样才能早期发现大肠类癌?
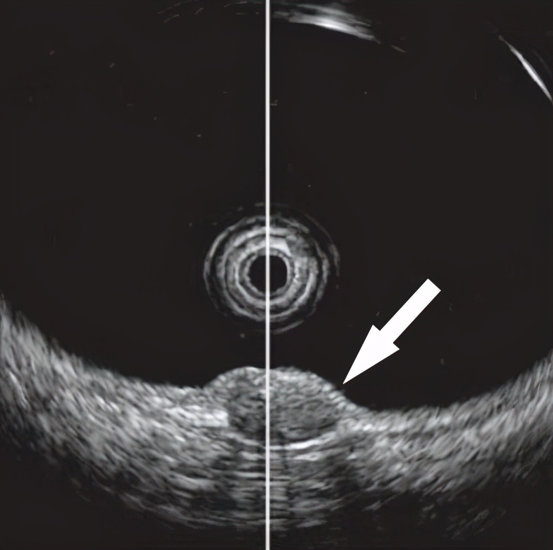
大肠类癌起病隐匿,多发于40~60岁,男性稍多于女性,常在检查肠道其他病变时被偶然发现或术后病理证实。90%发生于粘膜下层。微小大肠类癌多无症状;当瘤体增大后可出现便血、大便习惯改变、黏液脓血便和里急后重等不适;晚期大肠类癌与直肠癌表现相似。大肠类癌结肠镜下表现为粘膜下单一圆形肿物突向肠腔,广基隆起,边缘平或呈陡峭或亚蒂型隆起,黄色或苍白色外观(图20-1)。直径<2.0cm者表面多有正常粘膜覆盖,质地较硬,直径>2.0 cm者表面有时可见溃疡,容易误诊为侧方生长型息肉和大肠癌。小的大肠类癌,容易与小的大肠息肉混淆(图20-1)。大肠类癌在超声肠镜下表现为粘膜下层边界清晰、回声均匀的低回声结节(图20-2)。

图20-1:大肠类癌的结肠镜下表现。
A,B:大肠类癌结肠镜下的典型表现为粘膜下层的圆形隆起,粘膜表面光滑。C:小的大肠类癌,容易与小的大肠息肉混淆。D:大的大肠类癌:表面有溃疡,容易误诊为大肠侧方生长型息肉和大肠癌。

图20-2:大肠类癌在超声肠镜下表现为粘膜下肿块。
大肠类癌是良性的,还是恶性的?
大肠类癌的组织学结构像癌,但又不同于大肠癌,具有潜在恶性,多呈局限性、浸润性缓慢生长,少有转移。从细胞形态学上难以判定其良恶性,研究表明其良恶性与大小显著相关,直径>2.0cm可作为判定其良恶性的关键指标。当大肠类癌直径<1.0cm时,常在粘膜下生长,极少浸润肌层,恶变率为4%,转移率为3%。当大肠类癌直径>2.0 cm时,可侵及肌层,发生局部淋巴结转移,甚至远处转移,恶变率为82%,转移率为74%。
大肠类癌初期属于良性肿瘤,但随着体积的逐渐增大,大肠类癌可能转变成恶性肿瘤。一旦具备以下特点,则提示大肠类癌已经转变为恶性:
① 显微镜下无核分裂象或细胞核固缩;
② 肿瘤直径>2cm;
③ 肿瘤表面有溃疡形成;
④ 伴有淋巴结转移或远处转移;
⑤ 肿瘤浸润至或超过粘膜下层;
⑥ DNA倍体分析为非整倍体(良性为二倍体)。
大肠类癌的治疗
大肠类癌对化疗和放疗均不敏感,手术是目前最有效治疗手段,手术方法分为局部切除术和根治性切除术。过去因对大肠类癌认识不足,临床医师不论肿瘤大小如何均行开腹根治性手术,现在认识到大肠类癌虽有恶变潜质,但近90%为良性,无需全部行根治术。大肠类癌的良恶性是选择手术方式的主要依据。有学者建议:肿瘤直径<1.0cm者,多局限于粘膜下层,转移率低于2%,可行局部切除术;直径1.0-2.0cm者,转移率10%-15%,浸润浅肌层但无淋巴结和远处转移者应行扩大的局部切除术;直径>2.0cm者,转移率60%-80%,浸润到深肌层以外且有淋巴结转移者应行根治性手术。
大肠类癌是大肠癌吗?
大肠类癌和大肠癌完全不同的两种疾病。两者无论从细胞起源、症状、治疗及预后方面都存在明显的差异(见下表)。

(汪洋 郝立强)