病例介绍
地点:台北医科大学双和医院儿科
出生:在37周时经阴道分娩,体重2380g,1分钟和5分钟时阿普加评分分别为9分和10分。
出生后6天:发热,体温高达39℃,但没有呼吸道或胃肠道症状。
出生后8天:入院时的体格检查显示呼吸平稳,呼吸清晰,无肝脾肿大。婴儿的家人否认有任何病史和肺结核接触史。全血计数显示白细胞总数为17500/μl,其中69%为中性粒细胞,20%为淋巴细胞,9%为单核细胞,2%为嗜酸性粒细胞。C反应蛋白水平为7.3mg/dl。脑脊液分析结果正常。血、尿和脑脊液的细菌培养均为阴性。因怀疑存在潜在感染,入院后静脉注射头孢噻肟和氨苄西林。
出生后12天:仍持续发热,新生儿出现腹胀。腹部影像学检查显示肠扩张。由于更换抗生素后,病情没有改善,考虑了一些病毒和其他非典型病原体,包括结核分枝杆菌、单纯疱疹病毒、EB病毒、巨细胞病毒、乙型肝炎病毒、风疹、沙眼衣原体和弓形虫的检测均为阴性。C反应蛋白水平提高到14.4mg/dl。凝血障碍,纤维蛋白降解产物异常(323.7μg/ml),d-二聚体超过20 mg/L。经验性地将抗生素改为万古霉素和头孢他啶。
出生后15天:进行了肺部超声检查。A.广泛弱回声实变区;B.胸膜线变细、中断。

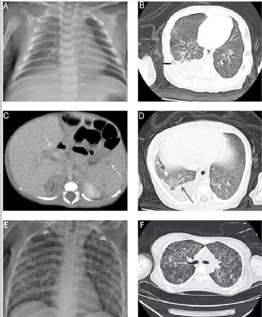
出生后17天:X线胸片右肺野浸润增加(图1A),胸部CT显示婴儿右下叶有大量的右侧胸腔积液和轻微的炎性改变(图1B)。当时,建议进行胸腔积液引流,但他的父母拒绝了。
出生后20天:经父母同意,进行洗胃,洗胃液的三种耐酸染色发现少量的耐酸杆菌。重复进行胸部和腹部CT检查,显示右上肺有斑片状实变,双肺有多个新结节,中度胸腔积液,脾脏和肝门区有多个低密度结节,无肝脏肿大(图1C,D)。随后,进行猪尾导管置入胸腔积液引流术。胸水分析结果显示,白细胞总数为10800/μl,中性粒细胞占6%,淋巴细胞占57%,间皮细胞占37%;总蛋白水平为4.6g/dl,乳酸脱氢酶水平为250IU/L,葡萄糖水平为164mg/dl。怀疑是结核感染。给予异烟肼(15mg/kg/d)、利福平(15mg/kg/d)和吡嗪酰胺(20mg/kg/d)。开始抗结核治疗后,新生儿的症状和体征逐渐消失。
最终,洗胃和胸腔积液培养均显示结核分枝杆菌复合物。
新生儿的母亲
新生儿的母亲是33岁,孕1产1。B组链球菌检测呈阴性。她一直健康,既往没有病史和肺结核接触史;然而,她在分娩后1周出现轻度干咳,出现持续性全身无力,并在产后24天因精神状态改变而住进了我们的ICU。实验室检查显示白细胞增多、血小板减少、凝血障碍、急性肝功能衰竭和急性肾功能衰竭。HIV血清学检测呈阴性。胸片显示粟粒样结核(图1E)。胸部CT显示弥漫性小叶间和小叶内间隔增厚呈毛玻璃样(图1F)。由于当时新生儿高度怀疑有肺结核感染,故对其痰进行抗酸染色和肺结核聚合酶链反应(PCR)。两项检测均呈强阳性。这位母亲立即接受了抗结核治疗,但在住院3天后死亡。痰培养证实结核分枝杆菌感染。

病例述评
先天性肺结核很少见,容易误诊。该患儿是一个先天性肺结核的新生儿,临床少见。这名新生儿在6天大时开始发热作为最初的临床表现,最初的胸部影像学检查显示大量胸腔积液,只有轻微的肺部受累。他的家人否认新生儿的母亲有肺结核接触史。通过洗胃和胸腔积液的阳性培养证实结核感染。患儿发热后腹胀而无呼吸症状的临床表现,影像学表现包括胸腔积液和肺、脾、肝门区多发结节。从洗胃和胸腔积液中分离出结核分枝杆菌。
--------------------
流行病学
在一项研究中,有研究者回顾了2011年至2017年在PubMed上报告的20例先天性肺结核;其中16例(80%)在亚洲国家报告(4-23)。男女比例为9:11。21例(包括本例)最常见的胸部影像学表现为肺炎(76%)、多发性肺结节(43%)和粟粒样改变(38%)。仅3例合并肝脾损害,2例合并胸腔积液。最常见的临床表现为呼吸窘迫(71%)、发热(67%)、肝脾肿大(38%)和咳嗽(33%)。其他非特异性表现包括喂养不良、嗜睡、淋巴结病变和癫痫。这些症状和体征并不特殊,很容易与其他新生儿感染和败血症的症状和体征混淆。一项回顾报告显示,死亡率高达52.6%(1946-1994)和33.9%(1994-2009)。在21例患者中,有10例(43%)在最初没有症状,其中两名婴儿死亡。如果母亲没有任何症状,结核婴儿的死亡率是母亲的2.2倍(20%对9%)[表1a,1b]。患儿被诊断为先天性肺结核。
国内资料:收集1984年1月至2010年12月期间62例国内报道的先天性结核病例,并进行总结分析。大多数先天性结核病例报道位于中国的东部地区;53.85%的病例于在生后1-3周时出现临床症状,临床表现以发热、咳嗽、腹胀和肝脾肿大为常见的症状体征。其中86.15%的患儿有发热,61.53%肝脾肿大,40%咳嗽,21.53%肝功能异常,16%伴血小板减少。发热持续和进行性肝脾肿大显示病情未改善;7.8%(56例)患儿伴发结核性脑膜炎;34例(52.3%)患儿死亡:27例415%)患儿母亲产前无任何结核感染的症状。先天性结核死亡率高,预后差;临床症状无特异性,且母亲结核病史常不明确,应提高对先天性结核的认识。
--------------------
诊断
诊断先天性肺结核,在明确有结核感染同时必须满足以下条件之一:
①临床表现发生在生后1 周内;
②肝脏原发综合征或肝脏有干酪样坏死结节;
③母亲明确的胎盘或生殖系统结核感染;
④除外生后接触感染的可能性(包括住院期间医务人员)。
先天性结核临床表现缺乏特异性,及时诊断常较困难,因误诊而致患儿延误治疗导致死亡的病例数不少。误诊原因主要有:
①婴儿的母亲可有结核性胸膜渗出、脑膜炎或在妊娠期间有播散性疾病,但有50%的母亲在分娩时或分娩后才被诊断出来。
②先天性结核患儿反应低下,PPD常为阴性,一般3~5周后才阳性,甚至7个月时才阳性。诊断应建立在体液或织的抗酸染色或培养阳性,新生儿胃吸出物涂片抗酸染色阳性。从中耳液、骨髓、气管吸出物或组织活检直接抗酸染色涂片有意义。早期不能依靠PPD试验作为诊断依据。
--------------------
治疗
抗结核治疗初期最好静脉途径给药, 可用异烟肼加利福平, 重症加乙胺丁醇或吡嗪酰胺, 疗程1年。有人主张采用异烟肼、利福平、吡嗪酰胺和阿米卡星 (不超过1月) 四联药物治疗, 疗程6个月。用药期间应注意毒性反应, 定期检查肝肾功能和听力。还需加强营养支持治疗。
(治疗部分来自:陈昌辉.新生儿先天性结核.实用医院临床杂志,2006,3:9193.)