《遇见更好的自己》有很多种方式
有人选择了健身
有人选择了旅行
还有的人选择做牙齿矫正!
本次牙套故事的分享来自一位文案小仙女。从牙套小白,进入口腔行业,开始矫正,到现在矫正已经快完成了,天使君采访她时,要她说一说正畸的感受,她就说了一句话:
“牙齿整齐一时爽,一直整齐一直爽”

我奏是住你家隔壁的老王
25 岁,东莞,矫正 17 个月
牙齿问题:*牙虎**、牙齿拥挤
以前从来不觉得自己的牙有任何问题,以为牙齿矫正都是龅牙才去做的,直到工作,一不小心进入口腔行业,做了文案。
你知道的,牙医见不得身边的人牙齿不整齐,开始天天叨叨我的牙齿问题,接触多了就发现,原来我的*牙虎**、牙齿拥挤的确是牙齿畸形啊!于是乎毫不犹豫的踏上了矫正之路。

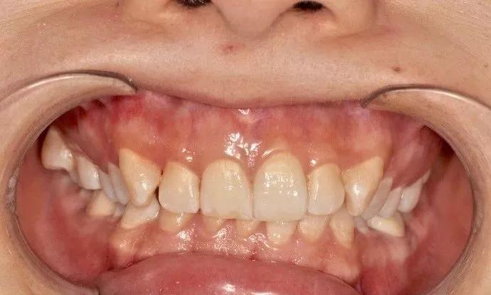
牙套前 笑起来*牙虎**很明显
矫正对我来说唯一需要纠结的就是存钱
,毕竟这是一笔不小的费用,也不知道我怎么就一不小心存够了哈哈哈哈哈。
因为检查到我的牙槽骨骨结构不良,去看了好几个医生都说最终效果不会特别好,但我心里过不去啊,觉得矫正就要做到跟别人一样好。
为此还专门去了趟日本看牙医,后因为价钱太太太(重要的话说三遍)贵了,而且效果也不会好到哪里去,果断回来找身边的牙医做,戴上了隐形牙套。

矫正前的牙

第 1 幅牙套 vs 第 7 幅
毕竟身边全是圈内人士,刚戴上牙套没多久大家就都看出来了,统一只问了我一个问题:老王你戴的什么牌子呀?本王:“看我的小黑盒、小白盒就知道了!”

但有时候外面当众摘牙套的时候,还是会惊呆众人,有的人会一脸惊奇 “这是你的假牙吗?”
“不是哦,这是隐形牙套,做矫正用的”跟她们解释一遍这个神奇的东西,特有成就感。

第 11 幅 vs 第 1 幅 变化超级大

第 25 幅
吃饭的时候如果忘记带盒子,用餐巾纸包住(大家也一定有过相同的经历)勤劳的服务员小哥以为我用纸巾包着的牙套是垃圾,一把抓走准备扔掉,又被我抢回来,赶紧放包里。

第 26 幅时牙的状态

第 28 幅 *牙虎**已经没那么明显啦

第 35 幅 和喵一起晒太阳补钙
第 35 幅的时候第一阶段就算是大功告成啦,内倾的左下 7 已经立起来了,以至于挂钩总是磨舌头,淘宝买了正畸蜡一直送不来,只好管我司的医生先要了一根凑合用,第一次体验效果还是挺 6 的,瞬间不磨了,草莓味的老王表示很喜欢。

第 36 幅开始进入精调阶段:

后来有一次,隔壁饭桌两个姑娘悄悄说:“你看她的牙套跟我的一样的哎” 另一个姑娘 “我看见了,刚刚我就想跟你讲,哎呀咱俩发微信说吧不要被人家听见”
你俩声音那么大,我已经听见了喂
,下次有这样的妹子,可以直接和我交流啊!本王完全不介意。

第 51 幅
在家也有好玩的事,我把牙套放在碗里用水泡上,我妈吃过饭要洗碗,顺手就把我的牙套倒进了锅里

差一点就煮了。
现在我已经戴到第 54 幅,下个月就可以结束啦,每天看到牙这么齐真的好开心。

整体来说,我的牙套过程很顺利,我还特爱吃,正餐不误,同事还时不时投喂零食,吃吃喝喝的就快把牙齿给矫正完了。

说到吃,啰嗦一下,大家戴牙套的时候一定要注意口腔清洁,虽然我爱吃,但我也爱刷牙,每次都会吃完迅速的刷牙刷牙套再戴上。听我的医生说,有好多正畸期间不好好刷牙的朋友,最后得到了一口整齐的烂牙,得不偿失。

我的清洁装备
大家最好再备一个牙线,剔牙真的是太爽了,干干净净、口气清新的仙女谁能不爱呢
在我的安利下,我闺蜜老赵最近也开始戴牙套啦,一共 97 幅,比我的多了一半,想点一首【陪你度过漫长岁月——陈奕迅】送给她,也送给所有在戴牙套的女孩子们:愿你摘下牙套,变成仙女!

- 本期互撩 -
你矫正过程有什么感受呢?