
引言
肺部异影伴胸腔积液是临床中的常见病,多见于肺和胸腔的感染性疾病、恶性肿瘤、结缔组织病、药物性损伤、外伤等,大多数病例综合病史、症状、体征、常规实验室检查即可做出临床诊断。但对于少数不典型病例,则需要通过详细的病史采集,尤其是职业史、用药史、过敏史、宠物饲养史等,结合临床、影像、介入等多方面资料进行综合分析,才能做出更为全面、可靠的诊断。本案例的分享意在强调,面对一些进展蹊跷的病例,详尽的病史采集至关重要,同时,多种方法寻找病原学及病理学依据依旧是我们的强大后盾。此次诊疗过程在多学科协同合作的基础上,两次反转性的病史补充都在揭开迷雾的关键时刻起到重要作用。我们险些因为一次病史采集上的疏忽错过一场与精准诊断的美好相遇,所以说病史采集是临床诊断的根基,别认为有些时候这样繁琐的问询和处理是小题大做,往往能出其不意让我们一探究竟。
常见咳嗽、右侧胸痛、右肺异影并右侧胸腔积液入院,行胸腔闭式引流术72小时引流出1500ml胸水……感染性?非感染?
患者是一名56岁男性,以「咳嗽、间断胸痛1月余」收住我院呼吸科。患者入院前1月余无明显诱因出现咳嗽,少痰,间断右侧胸痛,深呼吸或体位改变时明显,无发热、咯血、乏力、盗汗、心悸等症状,病初未予重视,自服「复方甘草口服液」,未见缓解。1周前至当地医院查胸片示:右侧胸腔积液可能。遂就诊于我院门诊,完善胸部CT提示:右肺中下叶团块、索条灶,右侧胸腔积液。予行「胸腔闭式引流术」,72小时引流出胸水约1500ml,送检胸水常规:蛋白定性1+,白细胞计数2.7*10^9/L,单核细胞百分比92.5%;胸水生化:葡萄糖6.5890 mmol/l↑,总蛋白51g/L↓,乳酸脱氢酶390U/L,ADA 20.60IU/L,为求进一步诊治收住入院。病程中,患者精神、食欲、睡眠可,二便调,体重未见明显增减。
个人史:吸烟40年余,平均20支/天,曾从事船员工作。余个人史、既往史、婚育史、家族史据患者自述均无特殊。
入院后体格检查情况为: T 37℃,P 84次/分,R 20次/分,BP 135/70 mmHg,神志清楚,球结膜无水肿,颈静脉无怒张。双肺呼吸音稍粗,右下肺呼吸音低,未闻及啰音。心前区无隆起,心浊音界无扩大,心律齐,无杂音。腹部无压痛,无反跳痛,肝、脾肋下未触及,移动性浊音阴性。双下肢无水肿。
实验室检查情况为:
1、血常规: Hb 135.0g/ L,WBC 7.22*10^9/L,N% 61.6%,EOS% 6.2%↑,EOS绝对数 0.45*10^9/L↑,PLT 275*10^9/L。
2、尿常规:阴性。粪常规+OB:阴性。凝血:D-Dimmer1935.00ng/ml↑。
3、血生化:血糖、肝功、肾功、电解质、心肌酶谱、心肌损伤(含BNP)、血脂等未见异常。
4、动脉血气:大致正常。
5、其他指标:SAA 27.27mg/l↑,ESR 56mm/h↑,CRP 96.0mg/L↑,PCT 0.02ng/ml。
6、G试验 116.2 pg/mL↑。QFT(-)。血隐球菌乳胶凝集试验(-)。
7、免疫球蛋白(-)。风湿全套(-)。血肿瘤标记物(-)。过敏源:阴性。
8、痰检:结核涂片(-)*3次,普培(-),霉培(-),液基(-)。
9、胸水常规、生化(图1):

图1:胸水常规、生化
10、肺功能:通气功能中度减退(限制性),弥散量轻度减退,舒张试验阴性。
11、肺部超声造影:右肺实性占位,倾向良性。右侧胸腔积液。
12、胸部CT:右肺中下叶团块、索条灶,右侧胸腔积液(图2)。


图2:胸部CT(2019年08月12日)
总结该患者病例特点如下:
1、患者为中年男性,咳嗽、间断胸痛1月余;
2、既往体健,吸烟,曾从事船员工作;
3、查体:双肺呼吸音稍粗,右下肺呼吸音低,未闻及啰音;
4、辅助检查:胸水为渗出液,外周血EOS增高,D二聚体增高。胸部CT示右肺异影伴右侧胸腔积液。
对以上特点进行总结后可确定的初步诊断是什么? —— 感染性疾病? 结核?细菌、真菌、病毒?寄生虫? 非感染性疾病? 恶性肿瘤?肺栓塞?机化性肺炎?肺血管炎?
对以上特点进行分析后我们认为: 本病例可初步诊断为:①右肺阴影伴右侧胸腔积液性质待查;②肺部继发感染。初步诊疗计划为:①抗感染、对症支持:哌拉西林舒巴坦钠+阿奇霉素;②进一步检查:完善胸部动脉成像(CTA)除外肺栓塞、外送血寄生虫循环抗体评估寄生虫感染依据;完善电子支气管镜、经皮肺穿刺以获取病原学及病理学依据。
患者的病史相对简单,「右肺异影并右侧渗出性胸腔积液的原因」正是本案的关键点,我们就从这里切入,看看相应的检验检查结果会提示什么?
1、胸部动脉成像(CTA)(2019-08-14):右肺中下叶团块、条索灶,右侧胸腔积液,较2019-8-12老片积液增多,CTA未见明显充盈缺损(图3)。

(左 2019-08-12;右 2019-08-14)

图3:胸部动脉成像(CTA)(2019-08-14)
2、外送血寄生虫循环抗体:阴性。
3、电子支气管镜检查:气管镜经鼻进入顺利,声门闭合可,气管环清晰,隆突锐利;两侧各叶段支气管管腔通畅,粘膜光整,见少许粘痰,予以吸除,未见新生物,未见出血。于右肺下叶灌洗送检,刷检找脱落细胞、结核菌及液基细胞学检查(图4)。结果回报:刷检找抗酸杆菌(-),液基找脱落细胞(-)。

图4:电子支气管镜下表现
4、经皮肺穿刺:(右肺)穿刺涂片:未见恶性细胞。(右肺)穿刺液基:见淋巴细胞及组织细胞。右肺穿刺组织活检病理:肉芽肿性炎,待特染。

虽然并未出现定论性的血清学、病原学及病理学结果,不过病例有了新信号依旧是件好事,但是肉芽肿性肺疾病的病理学表现多为非特异性改变,必须仔细进行病原学检查,密切结合临床及影像学表现,才能得出较为准确的诊断,为临床治疗提供依据。我们梳理现有信息后分析如下:
1、感染性疾病
包括结核及非结核分枝杆菌、真菌、寄生虫及少见细菌。
① 结核和非结核分枝杆菌感染的 典型病理表现为干酪样坏死性肉芽肿或数量不等的非干酪性肉芽肿。本例患者中年男性,既往体健,此次亚急性起病,咳嗽、右肺中下叶渗出影,右侧胸腔积液,胸水为渗出液,不除外分枝杆菌感染可能,但患者无明显中毒症状表现,QFT、胸水ADA均阴性,且多次痰、胸腔积液、灌洗液送检未及分枝杆菌依据。故诊断分枝杆菌感染依据还不充分,有待特染结果进一步分析。
② 肺真菌病, 如:曲霉菌病、隐球菌病、毛霉病、组织胞质菌病、念珠菌病等,均可呈现出慢性肉芽肿性改变。本例患者G试验阳性,此为支持点,但患者并无高龄、合并严重基础疾病、免疫功能低下、滥用抗生素及激素等真菌易感高危风险,且多次痰、胸腔积液、灌洗液检验中未找到真菌孢子和(或)菌丝,血隐球菌乳胶凝集试验阴性,故诊断肺真菌病依据显然并不充分,考虑此次G试验阳性与误差的关系更大,同样有待特染结果进一步分析。
③ 肺寄生虫病 的诊断并不困难,典型的流行病学史,如:流行地区的旅居史,动物猫、狗等的密切接触史,生食史等,对肺寄生虫病的诊断至关重要。该患者目前暂无明确流行病学史依据,且外送血寄生虫循环抗体阴性。暂不考虑本病。
④ 该患者感染指标SAA 27.27mg/l↑,CRP 96.0mg/L↑,结合现有依据,仅支持肺部继发感染这一诊断。
2、非感染性疾病
非感染性肉芽肿性肺疾病病种广泛,比较常见的是结节病及过敏性肺炎,其他如:无机粉尘或异物沉积、血管炎、结缔组织疾病、遗传性、其他原因不明的肉芽肿等。
① 结节病 的典型病理特征是非干酪样坏死性上皮样细胞肉芽肿,除此之外,尚有其特征性的肺部影像学分布特点,如:纵隔及肺门淋巴结肿大,沿淋巴道分布的肺内病灶;同时还可有肺外器官累及的相应症状、体征,该患者无上述支持表现。
② 外源性过敏性肺泡炎 是肺对吸入的有机性或无机性抗原的变态反应性疾病,影像学常表现为病灶沿气道分布的特点,常合并马赛克灌注及空气潴留。该患者无明确特殊变应原吸入史,且影像学也并不支持典型过敏性肺炎表现。
③ 无机粉尘或异物沉积 ,如:硅沉着病、石绵肺、吸入性肺炎(颗粒性物质吸入)等,诊断需要有典型的职业或环境暴露史,该患者现有证据尚不足以支撑此类疾病的诊断。
④ 血管炎、结缔组织疾病、遗传性疾病等 ,多有相应的基础疾病、症状、体征表现,或免疫检验指标异常,或家族史,结合该患者病例特点,暂可排除本类疾病。
局面似明似暗,获取几条关键性新线索……是否能打破僵局?还有哪些环节值得深挖?
回到案例的起点——患者。经过新一轮详细的病史采集后,我们得到几条新信息:①患者从事船员,曾有生食史;②1月余前发生咳嗽性晕厥;③跌倒过程中右胸部着地。④补充一条老信息:血性胸腔积液(图5)。

图5:患者胸腔积液外观
分析认为,患者有生食史,但目前寄生虫感染检查未见明显支撑性证据,结合临床信息排除干扰信号,暂不考虑本病。目前的诊断是:①右肺异影伴胸腔积液:肺挫伤所致可能;②肺部继发感染。肺挫伤为临床常见的肺实质损伤,但常由于对其认识不足、检查技术不敏感或被其他胸部伤掩盖而遭遇忽视或漏诊。
肺挫伤
即肺实质损伤,与肺内压力升高有关,当胸廓受压或挫伤时,声门反射性关闭,肺内压力上升导致肺血管、支气管、淋巴管、肺实质及胸膜的损伤。主要病理改变为肺泡和毛细血管损伤,并有间质及肺泡内血液渗出及间质性肺水肿,使肺实质含气减少而血管外含水量增加,通气和换气功能障碍,肺动脉压和肺循环阻力增高。病理变化在伤后12~24小时呈进行性发展。肺挫伤往往合并其他损伤,如胸壁骨折、连枷胸、血胸、气胸及心脏和心包损伤。由于肺挫伤的严重程度和范围大小不同,临床表现有很大差异。轻者仅有胸痛、胸闷、气促、咳嗽和血痰等,听诊有散在啰音,X线胸片上有斑片状阴影(常报告为创伤性湿肺),1~2天即可完全吸收,血气可正常,有人称之为肺震荡。严重者则有明显呼吸困难、发绀、血性泡沫痰、心动过速和血压下降等,听诊有广泛啰音,呼吸音减弱至消失或管型呼吸音。
肺挫伤影像表现分为5型:
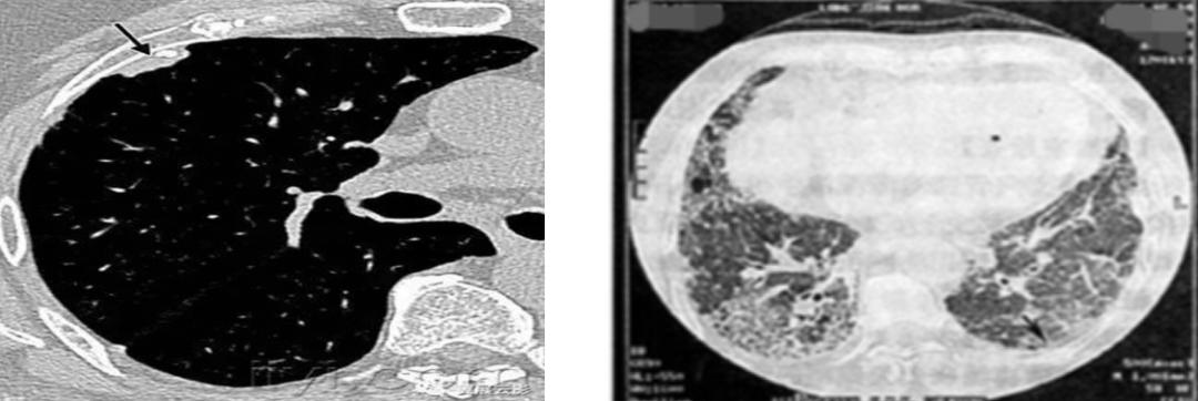
1)弥漫型:肺窗见病灶弥漫,密度稍高,边缘模糊,呈斑片、云絮状;此型又可分为病灶广泛的广泛弥漫型(图6)和较局限的局灶弥漫型(图7)。

图6(左):广泛弥漫型;图7(右):局灶弥漫型
2)分支型:病灶沿支气管分布呈分支状(图8) 。
3)团块型:肺挫伤灶较为局限,出血较多,病灶呈团块状,密度较高,边缘清晰,其内可见含气支气管征(图9)。

图8(左):分支型;图9(右):团块型
4)边缘型:挫伤病灶沿肺叶边缘分布(图10) 。
5)实变型:肺挫伤严重,病变渗出明显,肺叶完全实变(图11)。

图10(左):边缘型;图11(右):实变型
肺挫伤的治疗:
(1)病情较轻者无需特殊处理,几天后可吸收好转,继发感染需抗感染治疗。
(2)病情重者须采取综合措施进行救治:
①积极纠正休克、水、电解质及酸碱平衡失调。
②及时治疗严重合并伤,如大量血胸、肝脾破裂、膈疝等。
③保持呼吸道通畅,使用盐酸氨溴索稀释痰液,必要时给予气管切。
④如采取积极措施,患者病情仍在进展,出现进行性低氧血症 ,则应 考虑机械通气治疗。
肺挫伤可以解释一过性血胸,能否解释肉芽肿?
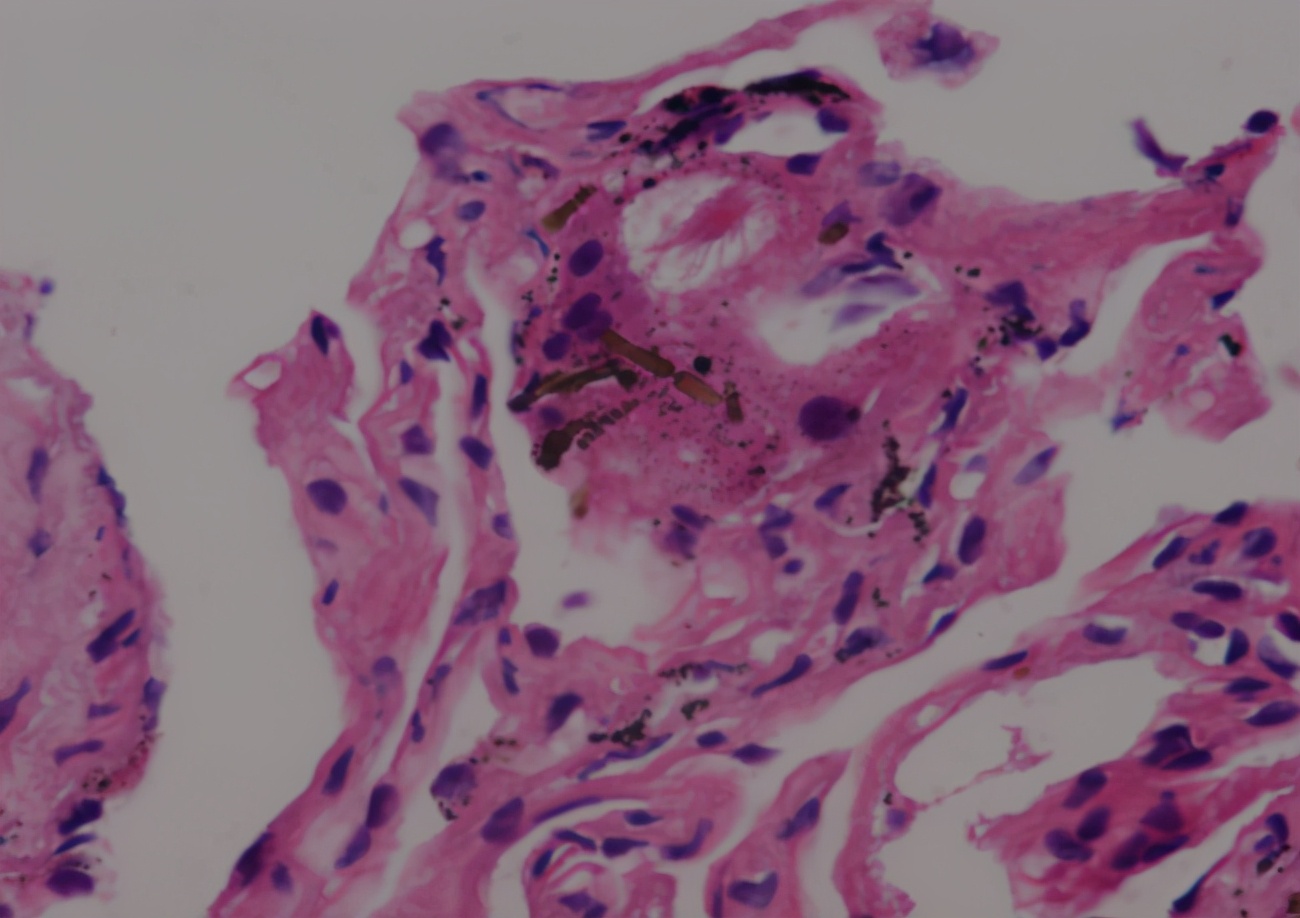
就在这时,肺穿刺检查特染结果回报:(右肺)少量肉芽肿性炎,特染未见特异性病原体,见少量石绵小体,请结合临床及相关职业史(图12)。



图12:肺穿刺检查特染结果
石绵肺的诊断主要依据详细的职业接触史,再结合特征性的影像学改变、限制性通气功能障碍等做出,对于不典型病例,可通过肺活检等介入手段获取病理学依据。石绵小体(石绵纤维被含铁蛋白包裹后形成)是具有诊断意义的特征。该患者并无相关职业暴露史,加之影像学缺乏特异性胸膜肥厚伴钙化斑、肺间质纤维化等表现,虽然有限制性通气功能障碍、弥散功能减退,但仍然很难在一开始就联系到石绵肺这个疾病。我们再次仔细询问患者的生活史、职业史,患者认真回忆后提到:从事船员工作期间,曾长期参与搬卸工作,其中就包括石绵材料。
至此,本案患者的最后主要诊断为: 1、右肺阴影伴右侧胸腔积液待查:肺挫伤可能;2、右肺肉芽肿性炎:石棉所致可能;3、继发肺部感染。
现阶段治疗仍是抗感染、引流胸水、对症支持治疗吗?进一步的治疗及随诊计划又是什么?
首先复习一下石绵肺:
石棉肺是长期吸入石棉粉尘引起的慢性、进行性、弥漫性、不可逆性肺间质纤维化、胸膜斑形成和胸膜肥厚,严重损害患者的肺功能,并可使肺、胸膜恶性肿瘤的发生率显著增高。症状出现多在接尘7~10年以上,但少数也有仅在接尘后1年左右而出现症状者。易合并肺癌、胸膜间皮瘤、肺结核等。
其影像学特点包括(图13):
(1)胸膜改变(早期即可出现):①胸膜斑:双侧胸壁中、下部对称性三角形阴影,部分有钙化;②胸膜增厚、粘连;③渗出性胸腔积液:双侧多见,可为血性。(2)肺部改变:①网状阴影(主要改变):中下肺细网、粗网、蜂窝状改变;②融合灶:双肺基底部,边界不清,范围不大的片状阴影;③肺门结构紊乱,密度增高,但无肺门淋巴结肿大。

图13:石绵肺的典型影像学表现(资料)
诊断需要综合确切的职业接触史及接触时间、临床症状体征、肺部CT影像特征、肺功能(限制性通气功能障碍及弥散功能下降)、实验室检查(可有痰及肺泡灌洗液见到石棉小体,类风湿因子阳性,抗核抗体阳性,血性渗出性胸腔积液)等做出。应与各种间质性疾病和胸膜病变相鉴别。石棉引起的胸膜斑多为双侧,而创伤、结核、胶原血管病等引起者多为单侧,病变大小常固定,可数月无变化,这有助于与胸膜肿瘤的鉴别诊断。
石绵肺的治疗原则主要为对症治疗和处理合并症,在早期肺泡炎阶段使用糖皮质激素可能有效。
我们给出的治疗方案: (1)抗感染:莫西沙星(拜复乐);(2)对症:羧甲司坦、乙酰半胱氨酸;(3)密切随诊(图14)。
(从左至右)初诊、1月后、4月后:

图14:2019-09-16胸部CT(1月后):右肺中下叶团块、索条灶,右侧胸腔积液,较2019-08-14老片病灶略吸收,积液减少。2019-12-16胸部CT(4月后):右肺中下叶团块、索条灶,右侧胸腔积液,较2019-09-16老片病灶略吸收,积液减少。
经验与体会
1、肺部异影伴胸腔积液是临床中的常见病,诊断通常并不困难,但在具体工作中,当结果未按我们预期出现或陷入僵局时,不要忘记我们的最大可变因素——患者以及与之对应的病史采集工作。这种时候多问出来一些隐匿的信息,或许就是我们打开潘多拉魔盒的关键秘钥。所以说,特殊情况下,病史采集工作「小题大做」也不错。欲要看究竟,处处细留心。
2、肺部肉芽肿性疾病指一组疾病群,涵盖感染性与非感染性疾病,诊断需积极寻找病原学依据,以及非感染性疾病的组织学特征。这涉及到临床、影像、介入、病理等多科室的协同合作。及时准确的识别出对应的疾病类型,是我们临床诊断的强大后盾。
参考文献及缩略词表
[1] 顾伯龙.肺挫伤的CT分型及其对治疗的指导价值[J].浙江创伤外科(1):40-42.
[2] 冯瑞娥.做好GLD的病理诊断及鉴别诊断[J].中华结核和呼吸杂志,2020,43(12):1004-1008.DOI:10.3760/cma.j.cn112147-20200703-00772.
[3] 徐作军.应重视对肉芽肿性肺疾病的诊断和鉴别诊断[J].中华结核和呼吸杂志, 2020, 43(12):1002-1003.
缩略词表:
ADA:Adenosine Deaminase腺苷脱氨酶
BNP:Brain Natriuretic Peptide 脑钠肽
CRP:C-reactive protein C反应蛋白
EOS:Eosinophil 嗜酸性粒细胞
ESR:Erythrocyte sedimentation rate 血沉
Hb :Hemoglobin 血红蛋白
N :Neutrophil 中性粒细胞
OB :Occult Blood 隐血
PCT:Procalcitonin 降钙素原
PLT:Platelet 血小板
QFT:QuantiFERON-TB Gold 结核感染T细胞检测
SAA:Serum Amyloid A Protein 血清淀粉样蛋白A
WBC:White Blood cell Count 白细胞计数



本文完
采写编辑:冬雪凝;
*今条头日**排版:大奔