
数据造假!美国科学界领导人要求逮捕医学研究欺诈者——“阿兹海默症*局骗**”给无数家庭带来了虚假的希望,损害了有效治疗的发展,更给美国科研蒙上了阴影!
7月最后一天,就在阿兹海默症医学科研造假丑闻彻底点燃媒体之后,美国科学界的领导人联名要求彻查相关黑幕并打击医学欺诈团队。
科学界领导人表示,医学研究欺诈者对公众健康构成威胁。此前一项关键的阿尔茨海默病研究,被曝光含有大量被操纵的结果,虚假的实验数据误导了制药公司的开发。一些神经科学家也表示,优秀的研究人员远远多于无德研究人员,但数据造假给美国科研蒙上了阴影!

1
阿兹海默实验数据造假影响扩大
7月最后一天,美国科学界领导人公开要求打击医学研究欺诈者,并警告说,这些恶劣的罪人对美国公众健康构成了威胁,应判处监禁才对。
他们还呼吁,如果发布虚假数据的学术期刊,在假货曝光时未能迅速采取行动,也该被处以巨额罚款。这些含有虚假数据的论文正在被全世界引用!

此前,美国媒体爆料称,一项关于阿尔茨海默病病因的关键研究,包含众多被操纵的数据结果,这可能会导致其他科学家,在对抗老年痴呆的路上走入死胡同,并且阻碍真正有效治疗的发展,这些数据造假,给患者及其家人带来虚假的希望。
这只是近几个月来震撼神经科学研究领域的一系列负面披露中的最新消息,美国 顶尖神经科学家们可能面临美国政府的行政调查、金融机构对滥用公共资金和欺骗股东权益的调查以及检察院的刑事指控 。

其中一个最令人震惊的例子是,这群 专家伪造的数据,导致参与进来的患者在试验中冒着严重实验药物副作用的风险,而没有得到任何益处 。
面对媒体的广泛质疑,一些科学院的神经科学家坚持认为,尽管对这些问题深感担忧,但在该领域进行的大量良心研究,比这些问题数据更该引起重视。但其他学者却认为, 科研界的腐败将大大阻碍寻求有效对抗老年痴呆治疗 。

重要的是,当地媒体获悉,科学界对其中一些研究的怀疑,是在 近十年前提出的 ,因为一些实验数据看上去“太整齐了”,这让许多人不禁要问, 为什么问题花了这么长时间才浮出水面。
无独有偶,类似的关于“饱和脂肪酸与肥胖”的虚假科研实验数据,也让作案人赚了个盆满钵满,直到80年后的21世纪10年代才被美国同行彻底揭穿。(更早几年本号还翻译过,在贝尔实验室长期造假的德国“科研天才”是如何被揭穿并讨回欧洲的,由于各学科细化之后,前沿科研愈发难以被公立机构监测实验数据的客观性,南郭先生在科研界大行其道;同样的,本号也翻译过日本的国宝级天才女科学家是如何造假后被揭穿的)
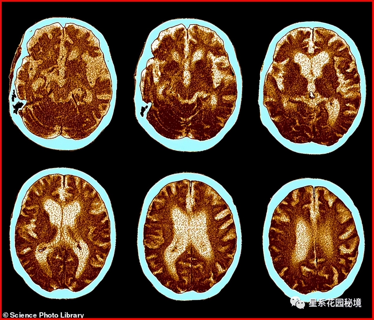
2006年发表的论文,引发了最近一项受到审查的研究,它首次确定了一种名为淀粉样β星56的蛋白质分子,是导致实验小鼠记忆丧失的原因。

这部科研结论由明尼阿波利斯的明尼苏达大学阿尔茨海默病研究的后起之秀西尔万·莱斯内博士及其上司凯伦·阿什教授和同事们撰写,随后在 2000多项 关联神经学研究中被其他研究人员引用,而这些研究人员正在寻找治疗这种毁灭性疾病的药物。也就是说,新的科研都是建立在认可明尼苏达大学科研结论的基础上进行的。十多年来,很少有人公开质疑其科学性。
但近来一些专家表示担心,他们无法在实验室复制这项研究的实验结果——重复科学实验是帮助确认研究结果的科学性的关键部分。如果其他科学家用同样的设备、材料和物理环境重复实验却得不到类似数据,该实验的结论就大概率是假的。

更令人担忧的是,十年内多个科学团队曾反复警告称,报告中使用的图像似乎是PS伪造的。他们提醒了发表这些研究的专业期刊,但直到今年6月份,自然科学期刊才对可疑论文发出了警告。
两周前,当全世界备受尊重的 《Nature》杂志 发表了一份强调这些造假问题的报告时,这些*局骗**终于公之于众。
这篇文章是基于神经科学家马修·施拉格博士的发现,他分析了莱森博士的工作并揭示了操作中的问题。关键问题是,关于实验本身的测试,莱森曾称为蛋白质印迹,这是该论文中的特点。
该技术是一种检测组织或血液样本中蛋白质的方法,结果以数字照片的形式,以一系列平行条或带状数据的形式直观呈现。

在Lesné博士的研究中,测试似乎显示,年龄较大的小鼠大脑中β星56蛋白分子的水平较高,而且它们有记忆丧失的迹象。然而,批评人士表示,这些图像中有许多看起来像是PS被篡改过的。图形软件篡改过的统计图,其实是有痕迹的(我本人作为资深图形操作者,对P过的图也是非常敏感的,其实最简单的方式是打开其文件属性栏的“最近版本信息”,如果被windows标注了Adobe Photoshop…则直接穿帮)
美国高级阿茨海默研究员、法医图像分析专家施拉格博士的发现了图像被篡改的痕迹,并将其提交给了同行。
之后,肯塔基大学(University of Kentucky)的痴呆症神经学专家唐娜·威尔科克(Donna Wilcock)教授评论说:我们 其中一些似乎是“惊人地公然”篡改图像的例子。

伊丽莎白·比克博士(Elisabeth Bik)是一位科研欺诈的美国专家,她也审查了莱斯博士的蛋白质印迹报告,她补充说:“ 这很容易发现。用Photoshop处理这样的图像很简单。你可以编辑抹掉你不想要的部分 。(就像我们在快速P图时抹去了首相先生身旁的垃圾桶)

“ 该项科研这两件数据似乎都是在这种情况下完成的。 ”
比克博士现已确认莱斯内博士的 其他14项研究 也有可疑之处。尽管如此,在大多数情况下,她没有对发表这些文章的期刊采取行动。明尼苏达大学周日拒绝了媒体的置评请求。毕竟,这是该学府最大的一桩造假丑闻
但该学府的一位教授回信了。阿什教授是一位神经学家,他管理着莱斯博士开展工作的实验室,也是这篇论文的合著者,他发表了一份声明,说:“ 几十年来一直致力于了解阿茨海默病的病因,以便为患者找到更好的治疗方法,如果发现一位同事可能通过篡改图像误导了我和整个科学界,那将是毁灭性的。 ”
然而,她继续指责《科学》杂志 歪曲了他们的工作 ,并声称,尽管存在这些问题,但研究结果是有效的。
《英国医学杂志》(BMJ)主编理查德·史密斯曾警告称,研究欺诈是“ 对公共健康的重大威胁 ”,他说,这起案件“ 令人震惊,但并不意外 ”。
他引用了一项研究,该研究表明,在每年发表的估计 200万份英语医学研究论述中 ,高达 五分之一的论文 可能包含虚构或剽窃的结果、从未存在过的患者的详细信息,以及实际上 没有进行的试验 。
他补充说,这个问题在科学界是“ 众所周知的 ”, 但在机构内部,人们不愿意接受这种造假的规模。
鉴于最近的失败,他再次呼吁进行重大改革,他说:“ 科学期刊赚了很多钱。如果他们发表欺诈性作品,并未能迅速纠正,这是一个非常严重的问题,他们需要承担责任。我支持罚款。还需要有某种全球监管机构,对那些被发现进行欺诈性研究的人提起刑事诉讼,就像金融欺诈一样
比克博士同意该观点,即: 出版商似乎不愿意承担责任。 她说:“ 我们需要一个有牙齿的调节组织。我已经将 6000多项 科学研究报告标记为潜在欺诈,但这其中只有 六分之一 的研究论文被出版商撤回。官方没有惩罚和相关惩罚的威胁,一切都不会改变 。
“ 我们知道,如果我们上高速违反了车速限制,我们会被罚款并在驾照上扣分,所以我们不会这么做。如果没有这些规则,这就像开车到了蛮荒的西部大地。
“ 这里也适用同样的原则——出版商可以不受惩罚地*论发**文赚钱,因为他们可以这么干。 ”
更多问题科研论文浮出水面
也许更令人不安的是,最近的事件并非孤立事件。
生物技术公司Cassava Sciences公司因其抗痴呆药物西姆非兰背后的研究涉嫌违规造假而受到抨击。这种药物最初表现出很大的前景。在早期的研究报告中,三分之二的服用西姆菲兰的患者,在一年后表现出改善,这一消息使德克萨斯州的CS公司的销量飙升。据当地媒体报道,该公司去年夏天的市值超过 40亿英镑 。
随后,它启动了两项大规模试验,正在进行中的,旨在招募和治疗大约1000名痴呆症患者的真人实验。
尽管如此,许多科学家对研究结果持怀疑态度,声称这些研究存在缺陷,结果是被“ 精心挑选 ”以显示最佳数字。一些人更进一步地调查,发现两名研究员,纽约城市大学的王博士和CS公司的伯恩斯博士 篡改了蛋白质印迹 。
Cassava Sciences公司回击并声称批评者有财务利益冲突。但在2021年12月,《神经科学杂志》对这对搭档的一项关键研究发表了“ 关注的表达 ”。
2022年3月,他们撰写的另一项研究受到《衰老神经生物学》杂志类似警告的打击。编辑们“ 没有发现令人信服的证据表明数据被篡改是为了歪曲结果 ”,但承认论文中 存在数据上的错误 。
同月,《公共科学图书馆·综合》杂志撤回了王博士的五篇论文,理由是“ 对结果的完整性和可靠性表示严重担忧 ”。
其中两项研究是由伯恩斯博士合著的,他俩重点研究了西姆菲兰靶向的大脑蛋白质。
2022年6月,科学杂志《阿尔茨海默病研究与治疗》撤回了王博士2017年的一项研究论文,原因是对一些蛋白质印迹图像真实性的担忧。然而,包括著名的《神经科学杂志》在内的其他编辑声称,他们没有发现足够的数据操纵的证据。
7月,十多家杂志对王博士及其同事的论文提出的担忧没有得到任何回应。
本周三,美国司法部对Cassava Sciences展开调查,调查他们是否欺骗了投资者或资助该研究的政府机构。
Cassava Sciences公司的一位发言人说:“ 我司坚决否认任何和所有不当行为的指控,我们“从未被指控犯罪,而且有充分的理由表示——CS科学从未从事过犯罪行为” 。
然而,波士顿大学数据专家阿德里安·海尔布特(Adrian Heilbut)却反驳道,造假的说法可能被证明是成立的,那么当前试验中的患者“ 正在使用一种想象中的药物进行治疗,而这种药物实际上没有任何作用 ”。
他补充道:“ 如果查实,那我们预计一些相关研究人员将面临刑事指控。 ”

与此同时,另一种痴呆药物aducanumab(以Aduhelm品牌出售)也陷入了数据太假的争议。
去年6月,它成为美国药品监督管理局(FDA)批准的第一种抗老年痴呆治疗处方药。
这被美国最大的老年痴呆症运动组织阿尔茨海默病协会誉为一个分水岭时刻,该组织一直在敦促该药物获得批准。但美国食药监FDA委员会的 三名成员随后辞职 以示抗议,监管机构成员被指控与该药物制造商Biogen合作过密,还有共同利益,引发了正在进行的FBI调查。
辞职的委员会成员之一、哈佛大学医学教授亚伦·凯塞尔海姆(Aaron Kesselheim)称该药物审批流程“ 可能是美国近代历史上最糟糕的药物批准决定 ”。
到目前为止,NHS负责人和英国痴呆慈善机构 拒绝支持 每年4万英镑的治疗方案,表示需要更多的研究。
关键的问题是,尽管早期的研究显示有希望,但在 临床试验中它没有起作用 。
Biogen公司对数据进行了 多次重新评估 ,最终表明痴呆症患者的心理能力得到了改善, 改善幅度不到1% 。
伦敦大学学院(University College London)的痴呆症专家罗伯特·霍华德(Robert Howard)教授说:“ 他们打破了分析临床试验结果的规则,让临床试验结果看起来似乎有好处,而实际上没有。我认为这是欺诈。 ”
令人担忧的是,11月份公布的安全数据显示, 41% 服用该药物的患者出现了 严重的副作用 。其中最严重的包括一种称为 ARIA-E的大脑肿胀和出血 。FDA食药监局不良事件报告系统病例报告显示,至少有一名女性 死于 这种并发症。
霍华德教授说, 患者受到伤害,一些人直接死于服用一种甚至都不起作用的药物。如果,这都不算是学术造假,什么才叫造假?
更少的监管、更多的数据造假。就像曾经那位拿走诺贝尔奖的酸奶发明家、以及赚了盆满钵满的“不饱和脂肪酸”推销员一样, 如果,一个社会让造假和说谎的公知大赚特赚,那么科学领域,就失去了正气,更丧失了正义。

作者:美女郑好