纳豆,相信很多朋友都听过或用过。很多去过日本的朋友都会捎带一些回来。目前市面上的纳豆保健品很多。商业化的纳豆产品(有效成分为纳豆激酶)在日本、中国、韩国、欧盟国家、加拿大和美国被广泛宣传可用作降血压、预防血栓、软化血管、改善血液循环的食品补充剂。平时血压和血脂稍微高点,服用纳豆保健品预防心脑血管疾病是不是很合适呀?

纳豆是什么?纳豆由煮沸的大豆发酵而成。传统上,煮沸的大豆被装在稻草中并埋到地下一周或更长时间,大豆与稻草中天然存在的枯草芽孢杆菌接触,引起大豆发酵。纳豆具有独特的气味,是一种传统的日本食品,常与米饭、吐司或寿司一起作为早餐。纳豆中含有一种纤维蛋白溶解酶,也就是纳豆激酶。咱们的豆豉中也含有类似激酶。 常见的纳豆保健品主要成分也是纳豆激酶。

纳豆激酶具有蛋白水解活性,以纤维蛋白单元(FU)为单位。纳豆激酶能耐受50度高温,但在酸性条件下无活性。因此,市面上的纳豆激酶产品普遍是微胶囊和肠溶包衣的形式,这样能减少胃酸对纳豆激酶的降解。
纳豆激酶能降低血栓风险吗?纳豆激酶的纤维蛋白溶解作用是纤溶酶的4倍。在动物实验中可以看到纳豆激酶能降低血液粘度、溶解血栓、改善血流。但纳豆激酶改善凝血功能的临床试验非常有限,样本量太少。 现有证据不能说明服用纳豆激酶后可以预防血栓、降低心梗或脑卒中风险。

纳豆激酶降血压怎么样?纳豆激酶可以抑制血管紧张素转换酶(ACE)。与卡托普利等ACEI类药物作用类似,纳豆激酶可能有降血压作用。当然,动物实验发现纳豆粉降低血压作用明显不如ACEI类药物。此外,如同纳豆激酶降低血栓风险一样, 服用纳豆激酶降低血压的临床试验极少,并且部分结果存在着矛盾之处。
纳豆降血脂有效吗?极少数临床研究报道了纳豆激酶对血脂水平的影响,均发现服用纳豆并没有降低血低密度脂蛋白胆固醇、甘油三酯水平,也没有增加高密度脂蛋白胆固醇水平。也就是说 服用纳豆补充剂对血脂几乎没有影响。
纳豆怎么服用?参考既往临床试验, 纳豆激酶推荐服用剂量为100mg(相当于2000 FU)/次,每天最多服用3次。

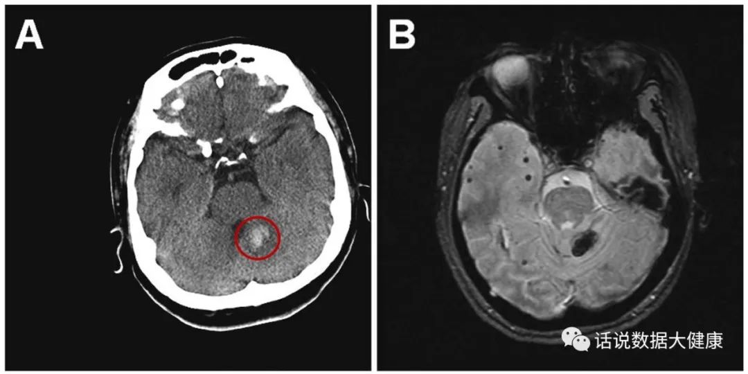
服用纳豆安全吗?目前美国食品和药物管理局认为服用纳豆(纳豆激酶)产品并不是普遍安全的。加拿大卫生部认定纳豆激酶有增加出血的潜在风险。某女性,52岁,患有高血压,1年前查体时发现有腔隙性脑梗塞,每天服用降压药和100mg阿司匹林,听闻纳豆保健品中宣传内容后,1周前开始 服用纳豆激酶400mg/天预防脑卒中 ,出现了眩晕和站立不稳,经检查出现急性小脑出血和多发散在出血灶。

以此来看,部分纳豆保健品宣传的推荐服用剂量是极不科学、并不可取的,严重存在着增加出血风险。

哪些人不能服用纳豆?脑中风、消化性溃疡、凝血功能不好的、以及手术前后避免服用纳豆。并且对于服用华法林、阿司匹林、氯吡格雷等抗凝或抗血小板药物者,服用纳豆可能会增加出血风险。
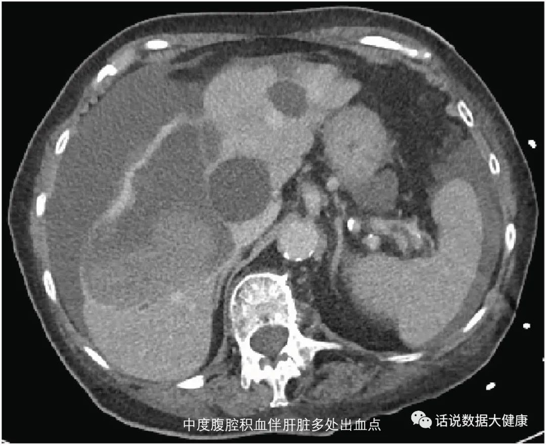
临床报道某女性,既往有阵发性房颤,未服用任何抗凝药, 每天服用纳豆激酶( 具体量不详)。因摔倒门诊查体发现腹腔内出血,入院后给与止血、输血等治疗,后因严重低血压去世。

更不能以纳豆激酶替代之前服用的抗凝或抗血小板药物。 某男性患者,因主动脉瓣狭窄行机械心脏瓣膜置换术,术后长期服用华法林抗凝,恢复良好,术后经常参加长跑等剧烈运动。1年*考前**虑到服用华法林后饮食要求高、频繁监测太麻烦,也担心出血风险,听闻某健康媒体宣传的纳豆益处后, 擅自用纳豆激酶代替了华法林 。大约一年后出现呼吸困难,经检查在机械瓣膜上形成新的血栓,只能再次手术更换瓣膜。

小结
(1)服用纳豆或纳豆激酶保健品降低血液粘度、降血压、降血脂证据有限,难以有效预防心梗和脑卒中。
(2)纳豆激酶推荐服用剂量为100-300 mg(2000-6000 FU)/天,过量服用有增加出血风险。
(3)若正在服用其他抗凝或抗血小板药物时,不推荐服用纳豆激酶保健品,更不能用纳豆激酶替代上述药物。
参考文献
Crit Rev Food Sci Nutr. 2021
Cureus. 2021
Intern Med, 2008.
Int J Mol Sci, 2017