口腔科是一个神奇的科室,除了病情各式各样,味道五花八门,还有一些及特殊的案例!
一名女子嘴里长出了睫毛状的毛发,这是迄今为止报道的第五例。医生们对这种罕见现象的发生完全摸不着头绪,但认为可能是 多囊卵巢综合征 (PCOS)造成的。

英国《镜报》报道,这是位意大利的25岁女孩,10年前她第一次寻求帮助时,测试显示她的激素水平异常高。
这是 多囊卵巢综合征 的特征,会导致头发过度生长。激素治疗终于阻止了睫毛的生长。然而,六年后,她停止了多囊卵巢综合征的药物治疗后,她嘴里多毛的情况恶化了。
甚至在医生在显微镜下观察了她的牙龈组织样本后,他们仍然毫无头绪。研究小组认为,口腔内部的细胞和身体上长出毛发的皮肤细胞是不同的,但可能会相互交叉。

据《科学警报》报道,意大利坎帕尼亚大学的医生用牙龈多毛症治疗了这名妇女。2009年时,15岁的她第一次去看医生。她嘴里有毛,下巴和脖子上也有毛。
检查显示,她的激素水平很高,卵巢上也有很多囊肿。因此,她被诊断为 多囊卵巢综合征 。这种情况会导致毛发增多,体重增加,长粉刺,有时还会导致不孕。
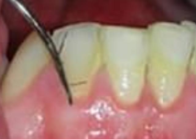
由于未知的原因,她停止了多囊卵巢综合征的治疗,这时她的牙龈多毛症又加重了。这一次,医疗小组不仅摘除了毛发,还从她的牙龈上取下一小块组织,在显微镜下仔细观察。
他们发现一根毛干穿过她牙龈上异常增厚的组织。研究人员说,口腔内的粘膜组织与构成我们皮肤的组织密切相关,因为它们在我们还是胚胎的时候来自同一个地方。

因此,口腔空间最终可能会形成毛发和产油细胞。根据医生们的说法,后者是“常见的”。
这是医学文献中首次报道女性 牙龈多毛症 ,据报道有五名男子患有这种疾病。多囊卵巢综合征被排除在引起牙龈多毛症的“原因”之外,尽管它被认为加剧了病情的严重性,因为多囊卵巢综合征在男性中没有被诊断出来。

这名妇女的病情恶化了一年,上下两颗牙齿之间的毛发越来越多。目前尚不清楚这名女子是否康复,也不清楚她是否接受了治疗。
之前文章里写到的巴氏刷牙法,有小伙伴私信问到,就发在这里啦!
巴氏刷牙法。在学习正确的刷牙方式的同时,大多数人可以使用垂直刷牙法或短横向振动法。必要时使用牙签和牙线清洁难以触及的部位。

如果大家有牙齿问题,建议大家一定要去正规地方就诊,牙齿健康也关乎着身体健康,有什么问题都可以在评论区问我哦~