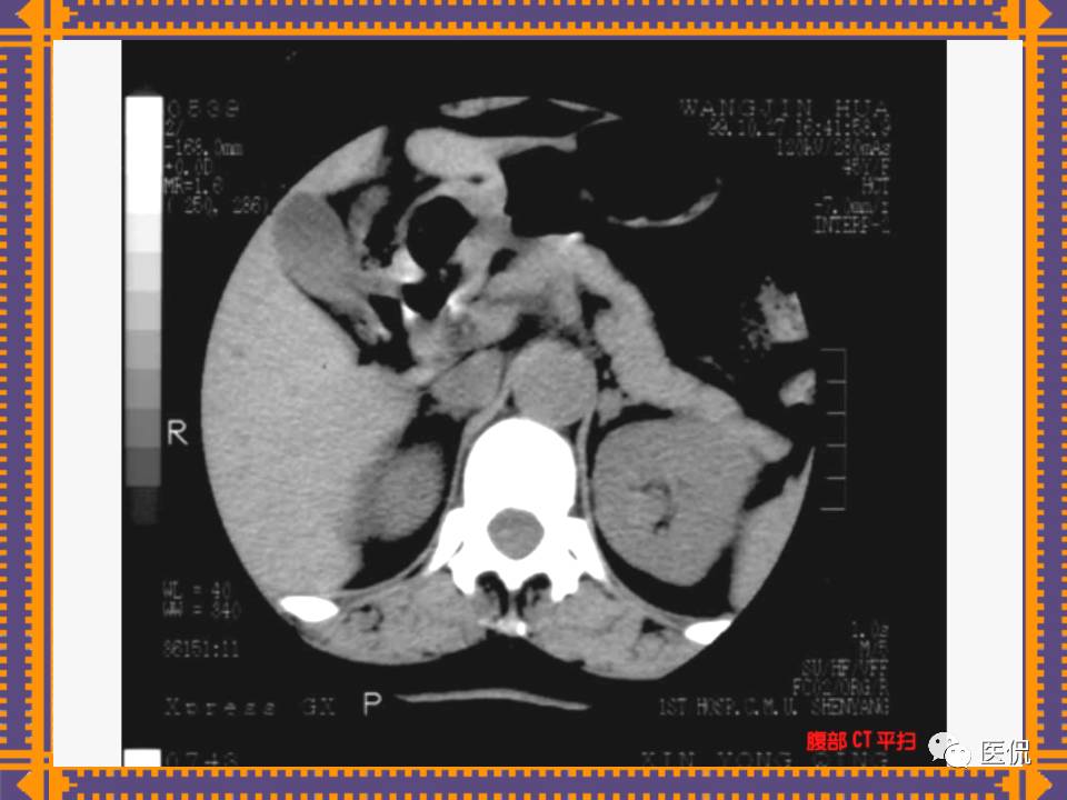
这篇PPT对男性生殖系统疾病:前列腺增生、前列腺癌;女性生殖系统疾病:子宫肌瘤、子宫癌、卵巢囊肿和卵巢肿瘤以及腹膜后间隙疾病进行了详细讲解。

长按图片,识别二维码
关注医侃(yikantime)
微博:@医看
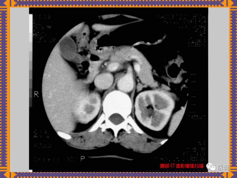
这篇PPT对男性生殖系统疾病:前列腺增生、前列腺癌;女性生殖系统疾病:子宫肌瘤、子宫癌、卵巢囊肿和卵巢肿瘤以及腹膜后间隙疾病进行了详细讲解。

长按图片,识别二维码
关注医侃(yikantime)
微博:@医看