观察和分析胸部X线平片,首先要判断是正常还是异常胸片,因此要了解胸部X线平片的正常表现。
一张正常的胸片应该具有如下描述的情形:“胸廓对称,两侧肋骨肋间隙正常;两肺纹理清晰,未见明显实质性浸润;两侧肺门纵膈未见明显异常;心脏大小形态在正常范围;膈肌平滑,双侧肋膈角锐利。”
胸廓常见标志性器官的X线识别
胸廓由骨骼和软组织组成,骨骼则主要是胸椎、两侧肋骨、胸骨、锁骨和肩胛骨等;软组织主要是乳腺、乳头、胸大肌等。对于这些基本结构的形态观察,是正确阅读X线片的基础。
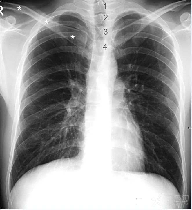
胸 椎 正位胸片上,胸椎和纵膈重叠。投照条件比较合适时,第1~4胸椎能够清晰识别,其余胸椎仅隐约可见。
锁 骨 两侧胸锁关节与胸部正中线等距,故可作为正位胸片投照位置是否端正的标准。

图中1~4分别标示第一到第四胸椎。其余胸椎隐约可见。白色星号标示右侧锁骨。
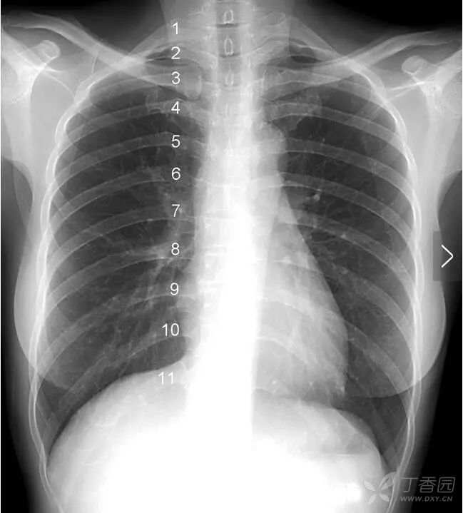
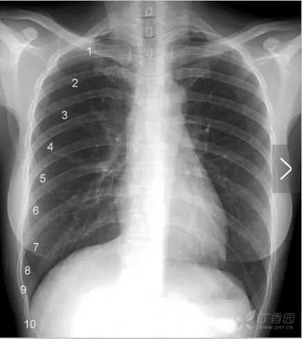
肋 骨 一根肋骨在正位胸片上投影的前后端并不在同一水平,为了便于描述,肋骨被人为的分为后段(后肋)和前段(前肋)两个部分。后段通常是肋骨从胸椎到肺野外缘的投影,走行大致水平或略向外下倾斜。前段从肺野边缘起向内下呈比较大角度的斜向走行,越是接近第11、12肋的肋骨,其前段向下倾斜的角度越大。

图中1~11分别标示第一到第十一后肋。

图中1~10分别标示第一到第十前肋。
肩胛骨 如果投照时体位标准,上肢内旋充分,则肩胛骨应当位于肺野之外。否则肩胛骨将重叠于上肺野偏外的区域,呈与胸壁平行的条带状高密度影。此时可能会被误认为是肺内病变。仔细观察可见肩胛骨影从肺内向肺外延伸,即可与肺内病变区别。

上图摄片时双上肢未充分内旋,导致双侧肩胛骨大部分重叠于双肺中上肺野中外带,导致相应肺野条带状密度增高。白色箭头标示右侧肩胛骨内侧缘,向肺外延续。左侧肩胛骨情况类似。
女性乳腺 女性乳腺相对胸部其他软组织较厚,因此在胸部正位X线平片上可以显示,通常重叠在两肺下野导致其密度增高,易被误认为肺内实变或肺内炎症。

上图女性乳腺影重叠在两肺下野,导致两肺下野对称性密度增高,乳腺形成投影的下缘(白色箭头)是清晰锐利的并且呈半圆形,常向外与腋部皮肤连续。没有乳腺重叠的两肺肋膈角区域更透亮。
鉴别:①两侧乳腺常规比较对称,所以在正位胸片上,乳腺重叠导致的两肺下野的密度增高也是比较对称的。而两肺下野均有病变且有分布比较对称的病理情况是比较少见的。②乳腺影的下缘清晰锐利且呈半圆形,向外与腋部皮肤连续。而肺内的病变不会延续到两肺以外。
乳 头 乳头有可能会在正位胸片的两肺下野形成直径约1cm的小圆形投影,年龄偏大的妇女更容易出现这种情况。

上图双侧乳头投影(白色箭头)。位于第六前肋水平,两侧比较对称的小圆形阴影。
乳头影须和肺内小结节病灶鉴别,方法是:①双侧乳头的投影的位置通常相对比较固定,多位于两肺下野第5、6前肋处附近。②其位置和大小往往两侧比较对称。如果不易和肺内病灶区别,透视下转动患者体位即可与肺野分开,或采取进一步检查的措施。
肺结构的识别
肺野
肺野是X线平片的专有名词,指含有空气的两肺在胸部X线平片上的投影。正常情况下,两肺内充满空气,空气的密度远低于普遍软组织,故X线经过肺组织时衰减较少,因此在X线平片上通常是“黑色”或“深色”的区域,也可以说是透明区或透亮区。胸部其他组织,如骨骼、心脏大血管等结构因为衰减X线较多,在X线平片上为“白色”或“浅灰色”区域。由此可见,双肺和骨骼、心脏大血管等形成了良好的对比,这种对比是正常人体就具有的,不是用人为手段形成的,称为天然对比。
为了便于说明肺内病变的位置,目前通用的方法是人为将肺野分区(图7),即一侧肺野纵行3等分,称为内、中、外带。又分别通过第2、4肋骨前端下缘画一水平线,将肺野分为上、中、下3野。

图7 肺野纵向分区,一侧肺野纵行3等分,称为内、中、外带;肺野横向分区,分别通过第2、4肋骨前端下缘画一水平线,将肺野分为上、中、下3野 。
肺门
胸部X线平片所指的肺门即肺动静脉及气管等进出肺的部位的诸结构的投影,当然,左、右肺分别有各自的肺门(图8)。

图8 左、右肺门(虚线椭圆范围内)为肺动静脉及气管等进出肺的部位诸结构的投影 。
右肺门上下部分形成一钝角叫右肺门角(图9),右肺门处病理组织的出现可以导致右肺门角消失。右肺门下半部分主要是右下肺动脉干(图10)。

图9 右肺门上下部分形成一钝角叫右肺门角 ,一般为钝角。

图10 右下肺动脉干(双向箭头标示的宽度)在含有气体的中间段支气管的衬托下显示清楚,正常情况下右下肺动脉宽度通常<15 mm。
肺纹理
肺动静脉自肺门开始逐级向肺内分支,在胸部X线平片上形成自肺门向肺野外围分布的,逐渐变细的树枝状影像叫肺纹理。正常情况双肺下野肺纹理较肺上野明显,肺野内带肺纹理明显,外带肺纹理很细几乎难以辨认。右肺下野内带不像左肺下野内带那样有心脏的遮挡,故肺纹理尤其明显,有时甚至会被误认为病变,但仔细观察,仍可分辨出正常走行的肺纹理。
肺叶和肺段
在解剖结构上,肺叶由叶间裂胸膜自然分隔而成,左肺由斜裂分为上、下2个叶,右肺由水平裂(横裂)和斜裂分上、中、下3个叶。胸部X线平片中,叶间裂胸膜和X线方向平行时可以显影,呈细线状。其中,正位胸片常可以看到右肺水平裂(图11)。

图11 右肺水平裂。正位胸片常可以看到细线状的右肺水平裂,位于右肺野中部,自肺野边缘向右肺门水平走行,水平裂以上为右肺上叶,以下为右肺中叶和下叶。
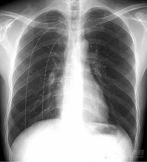
正位胸片上无法看到两肺斜裂。侧位胸片常可见两肺的斜裂(图12)。侧位片也可见水平裂(图12),起自斜裂中点附近,向前水平或稍向下达前胸壁。

图12 三角箭标示两肺斜裂,呈细线状,右肺斜裂起自第4胸椎位置,向前下斜行达横膈前部距前肋膈角约2~3 cm。左肺斜裂起点稍高于右肺,两肺的斜裂在侧位胸片上大致重合。白色箭头标示水平裂,起自斜裂中点附近,向前水平或稍向下达前胸壁 。
通过正侧位胸片结合观察,可以大体判断两肺各叶的位置,能将肺内病变定位到肺叶。各肺叶可进一步分为肺段,肺段间无胸膜作为区分,X线平片不能显示肺段的界限,因此只能通过其解剖位置在胸片上的投影位置进行大致推断。
气管和支气管
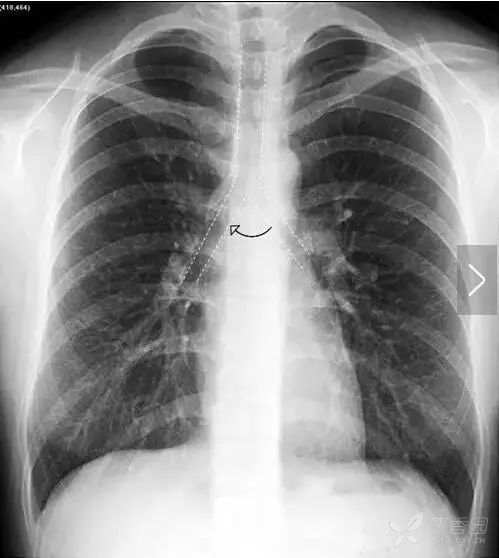
气管起于环状软骨下缘,相当于C6~7水平。在T5~6水平分为左、右主支气管。气管大致居于纵隔中央,左右主支气管之间的夹角一般为60°~85°,正常情况一般≤90°。其中,右侧主支气管和中线的夹角一般为20°~30°,左侧主支气管和中线的夹角一般为40°~55°。气管及左、右主支气管因管腔内气体的存在,与纵隔内其他软组织形成对比,可以大致显示管腔情况。左右主支气管进一步分支为两肺各叶、段的支气管,它们在胸部平片上通常显示不清。见图13。

图13 气管和左、右主支气管,左右主支气管之间的夹角(弯箭头)正常情况下<90°>
纵 隔
纵隔位于胸骨之后、胸椎之前,是两肺之间各结构的总称。主要指心脏和大血管结构,还包括气管、食管、淋巴组织、胸腺、神经、脂肪等。除了气管因其内有气体而能分辨外,其余内部结构在X线平片上不能分辨。
侧位胸片上纵隔的分区 纵隔分区属于人为分区,除了为描述病变位置方便外,还对病变,尤其是肿瘤及肿瘤样病变的定性诊断有重要意义,主要是因为这些病变在纵隔内多有特定的好发部位。
纵隔分区一般都是在侧位胸片上进行,分区的方法有多种,比较常用的是九分区法,即纵行画线(图14)将纵隔分为前、中、后纵隔。其中气管、升主动脉、心脏之前的区域为前纵隔;食管及食管以后、胸椎区域属于后纵隔;前、后纵隔之间为中纵隔,主要包括心脏和大血管、气管、肺门等。横向上(图15)分别自T4、T8下缘水平画水平线,可将纵隔分为上、中、下纵隔。
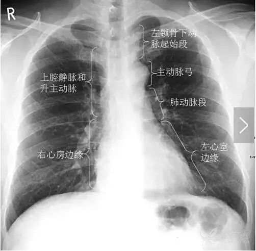
正位胸片上的纵隔 正常正位胸片上除心脏偏左外,基本处于居中的位置。右上纵隔边缘主要由上腔静脉构成,左上纵隔边缘主要是主动脉弓(也可称为主动脉球、主动脉结)和左锁骨下动脉起始段(图16)。中下纵隔边缘主要是心脏投影。

图14 侧位胸片纵隔纵向分区。气管、升主动脉、心脏之前的区域为前纵隔,食管及食管以后、胸椎区域属于后纵隔,前、后纵隔之间为中纵隔 。

图15 侧位胸片纵隔纵横向分区。分别自第4、8胸椎下缘水平画线,可将纵隔分为上、中、下纵隔。

图16 正位胸片上纵隔正常边缘情况。
横 膈
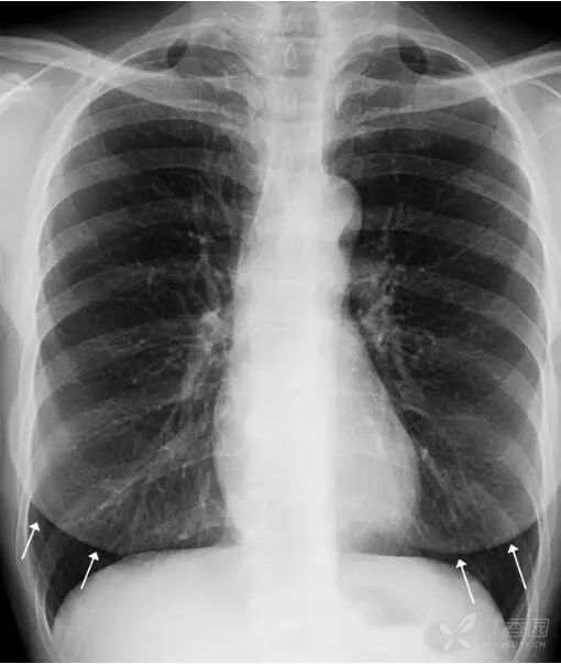
横膈分隔胸、腹腔,呈圆顶状。通常左侧横膈略低,右侧横膈略高,相差约1~2 cm。正位胸片上横膈(图17)内侧与心脏形成心膈角,外侧与胸壁形成肋骨角。
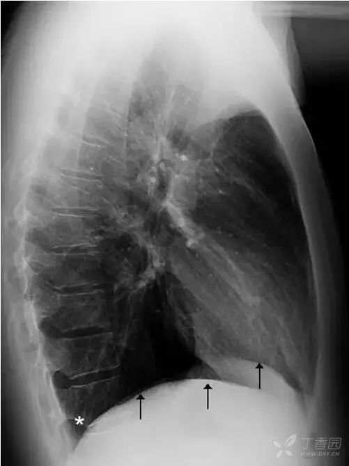
正常情况下,肋膈角是锐利的锐角。侧位胸片上(图18),横膈与前、后胸壁间分别形成前、后肋膈角。后肋膈角通常也是锐角,其位置在站立位为全肺最低处。

图17 正位胸片上两侧横膈呈圆顶状(黑色箭头),白色星号标示两侧肋膈角,正常情况下为锐角。

图18 侧位胸片上两侧横膈(黑色箭头)及后肋膈角(白色星号)。