来源: 医脉通呼吸频道
血清学研究显示肺孢子菌呈现世界性分布,大部分健康的儿童到3~4岁时已经接触过该微生物。在过去几年的研究显示,肺孢子菌主要在免疫抑制的患者或者患有慢性阻塞性肺部疾病的患者中定植。这种定植会引起炎症反应,并且和肺功能的下降相关。
肺孢子菌肺炎(PcP)的宿主易感因素包括细胞和体液免疫的缺陷。当循环血中的CD4+T细胞的数目低于200/μL时,艾滋病病人发生肺孢子菌肺炎的危险性大大增加。其他易感人群包括:
①肿瘤及器官移植后接受免疫抑制药(特别是糖皮质激素)治疗者;
②患风湿性关节炎和炎性肠病接受生物学制剂治疗者,例如英利昔单抗和依那西普;
③患有原发性免疫缺陷病者的儿童;伴有营养不良的早产儿。
临床特征
PcP患者表现为呼吸困难、发热和干咳。HIV感染患者通常有几周的潜伏期,临床表现相对隐蔽。非HIV感染患者的症状持续时间相对较短,通常在激素减量的时候起病。高度的警觉性和熟知病史是早期发现该病的重要的因素。
体格检查包括呼吸急促、心动过速和发绀,但是肺部听诊异常较少见。动脉血气分析显示氧分压(PaO2)下降、肺泡-动脉氧分压差(PAO2-PaO2)增加、呼吸性碱中毒显著。弥散功能降低,非特异性核素显像(镓扫描)摄取量可能增加。乳酸脱氢酶(反映肺组织损伤)和β-D-葡聚糖(一种真菌细胞壁的成分)血清浓度升高,但是它们并不是针对肺孢子菌特异性升高的指标。
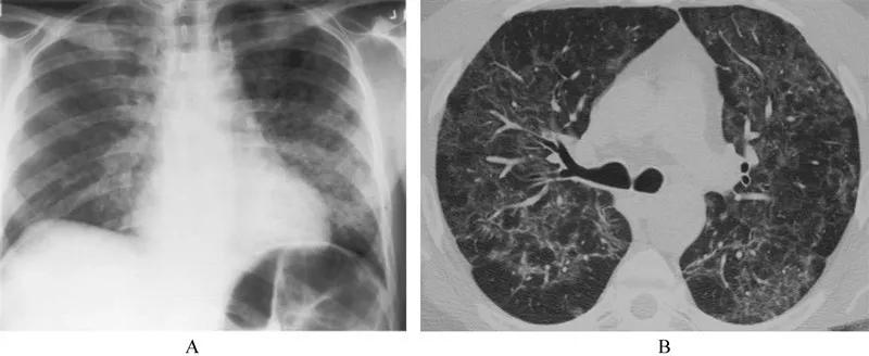
典型的X线胸片表现是自肺门向外放散的双侧弥散性浸润影(图1A),但是各种非典型性表现(各种密度的结节影,空洞)也有报道。一旦发生气胸,其治疗往往是困难的。在肺孢子菌肺炎的早期,X线胸片可以是正常的,但是在此期,肺部高分辨CT可能会表现毛玻璃影(图1)。
虽然肺孢子菌感染常常局限于肺部,但是在HIV和非HIV感染的患者都有播散性感染的病例报道。常见的播散部位包括淋巴结、脾、肝和骨髓。

图1 肺部CT
A. 在HIV感染合并PcP的患者X线胸片表现为弥漫性浸润;B.在HIV合并PcP感染的患者肺部高分辨CT显示毛玻璃影
诊断
因为临床上缺乏特异的症状和体征,所以肺孢子菌肺炎的诊断必须基于病原学检查。确诊需要借助组织病理学染色检查。传统的细胞壁染色方法例如六亚甲基四胺银染可选择性的鉴别肺孢子菌包囊的细胞壁,而瑞-姬染色可鉴别肺孢子菌各个时期的细胞核。相对于组织学染色方法而言,单克隆抗体结合免疫荧光技术的敏感性和特异性更高。PCR方法扩增DNA可能成为常规检查技术之一,但是难以区分定植和感染。
肺孢子菌肺炎的成功诊断取决于适宜的标本采集。通常,HIV感染的患者诊断的成功率要高于非HIV 感染的患者,因为前者病原体的负荷量要更高。诱导痰和漱口水因为简单易行、非侵入性为人们普遍接受。但是,这些标本的采集需要在训练有素的专业人员的指导下进行。经纤维支气管镜获取的肺泡灌洗液,因为能提供病原体的负荷量、宿主的炎症反应、是否合并其他机会性感染的信息,成为诊断肺孢子菌肺炎的主要检测手段。经支气管镜活检和开胸肺活检因为侵入性最大,仅仅在使用肺泡灌洗液无法确诊时才使用。
进展和预后
在典型的未经治疗的肺孢子菌肺炎患者,进行性呼吸窘迫可导致死亡。在疾病的早期(即出现广泛性肺泡损伤之前),治疗最为有效。如果依靠诱导痰难以诊断,肺泡灌洗又无法及时进行,经验性治疗肺孢子菌肺炎是合理的。但是,这并不意味着可以停止病因学的检查。随着对HIV 感染及其并发症治疗的改善,在HIV感染患者中由肺孢子菌肺炎导致的死亡率是0~15%。相反,早期死亡率在需要机械通气的患者和非HIV感染的患者却很高,分别达到60%和40%。
肺孢子菌感染的治疗
甲氧苄啶-磺胺甲唑(TMP-SMX)通过抑制叶酸合成而发挥疗效,适用于所有肺孢子菌肺炎的治疗(表1)。非HIV感染患者的疗程是14d,而HIV感染患者的疗程是21d。由于HIV感染的患者疗效反应比非HIV感染的患者更为缓慢,至少在治疗开始后7d才可以审慎的考虑治疗无效。非HIV感染的患者对TMP-SMX更容易耐受,而至少50%以上的HIV感染的患者会经历严重的不良反应。
几种可供选择的药物适用于治疗轻中度的肺孢子菌肺炎(呼吸室内空气PaO2>70mmHg或者PAO2-PaO2<35mmHg)。TMP联合氨苯砜和克林霉素联合伯氨喹和TMP-SMX疗效相当。葡萄糖-6-磷酸脱氢酶缺乏的患者禁用氨苯砜和伯氨喹。阿托伐醌疗效不及TMP-SMX,但耐受性更好。肺孢子菌由于缺乏麦角固醇,对抑制麦角固醇合成的抗真菌药不敏感。
用于治疗中重度的PcP(PaO2≤70mmHg或者PAO2-PaO2≥35mmHg)的推荐药物是静脉输注喷他脒,静脉输注克林霉素联合伯氨喹或者曲美沙特联合甲酰四氢叶酸。静脉输注克林霉素联合伯氨喹疗效可能比喷他脒更好。
分子生物学证据表明在临床上已经分离到耐磺胺类药物和阿托伐醌的肺孢子菌。虽然曾经使用磺胺类药是导致耐药的一个危险因素,但是在从未接受磺胺类药物治疗的HIV感染患者也出现了耐药。和磺胺类药物耐药的分子学标记物相比,疗效和传统的检测指标关系更密切,例如较高的急性生理、年龄和慢性健康评分(APACHE Ⅲ)、需要正压通气、气管插管延迟、进展为气胸。
对于HIV感染合并肺孢子菌肺炎的患者,早期使用抗反转录病毒治疗和提高生存率相关,但是需要警惕有可能发展成免疫重构炎症反应综合征。HIV感染的患者常常在接受抗肺孢子菌的药物后短期内出现呼吸功能的恶化。因此,对于HIV 感染合并中重度的PcP的患者,辅助性使用递减剂量的糖皮质激素能预防这种情况的发生,提高生存率(表1)。为了使疗效最大化,这种辅助性治疗应该在疾病的早期就开始。但是,在HIV 感染合并轻度PcP或者在非HIV 感染的患者,使用激素作为辅助性治疗仍待评估。
表1 肺孢子菌肺炎的治疗

a. 在非HIV感染的患者疗程是14d,HIV感染的患者疗程是21d
b. 相当于2片DS(1片DS包含160mg的TMP和800mg的SMX)
c. 甲酰四氢叶酸预防曲美沙特引起的骨髓毒性
DS. 2倍强度;GI. 胃肠道;G-6-PD. 葡萄糖-6-磷酸脱氢酶;TMP-SMX.甲氧苄啶-磺胺甲唑
预防
预防性用药适用于HIV 感染伴有CD4+T 细胞数目<200/μL或者既往有口腔念珠菌感染的病史,也适用于PcP病愈的HIV感染和非HIV感染的患者。在HIV感染的患者,当CD4+ T数目>200/μL且持续3个月以上,预防性用药可以停止。对于免疫功能不全的非HIV 感染的患者,预防性用药的指南还不明确。
TMP-SMX是预防性用药的首选和次选药物(表2)。这种药物同时可抵抗弓形虫和一些细菌感染。对于无法耐受TMP-SMX的患者也有一些替代*药性**物可供选择(表2)。尽管对于防止肺孢子菌在卫生机构的传播没有特别的推荐意见,值得慎重的是,需要预防与PcP患者以及可疑患者的直接接触。
表2 肺孢子菌肺炎的预防

a.对于一系列不良反应,参见表1
b.1片DS包含160mg的TMP和800mg的SMX
DS. 2倍强度;SS.单倍强度;TMP-SMX.甲氧苄啶-磺胺甲唑
【版权声明】本平台属公益学习平台,转载系出于传递更多学习信息之目的,且已标明作者和出处,如不希望被传播的老师可与我们联系删除
更多影像内容请*载下**放射沙龙APP,免费读片线上交流学习