
先天性无阴道综合征(Mayer-Rokitansky-Küster-Hauser syndrome, MRKH 综合征)为女性胚胎期发育受到内在或外界因素阻扰,引起副中肾管发育异常所致的一系列临床体征,在中国古代,将患有该病的女子称为「石女」,根据资料报道,其发生率约为 1/4000-1/5000。
患者在幼年时多为无症状,大多是在青春期因原发性闭经而就诊时被发现。其临床表现根据分型多有不同,下面是一例由 Mahyar 博士提供的 MRKH 综合征的典型案例,我们一起通过影像学的角度对该病进行解析。
基本病史
35 岁女性,无月经史,伴有右下腹部疼痛。行相关影像学检查结果如下:

图 1. 冠状位 CT 显示左肾发育不全,右肾体积增大,集合系统扩张(黄色箭头),椎体融合(红色箭头),子宫及阴道缺如(红色圆圈)。

图 2. 矢状位 CT 显示椎体融合(黄色箭头)和阴道发育不全、子宫缺如(红色圆圈)

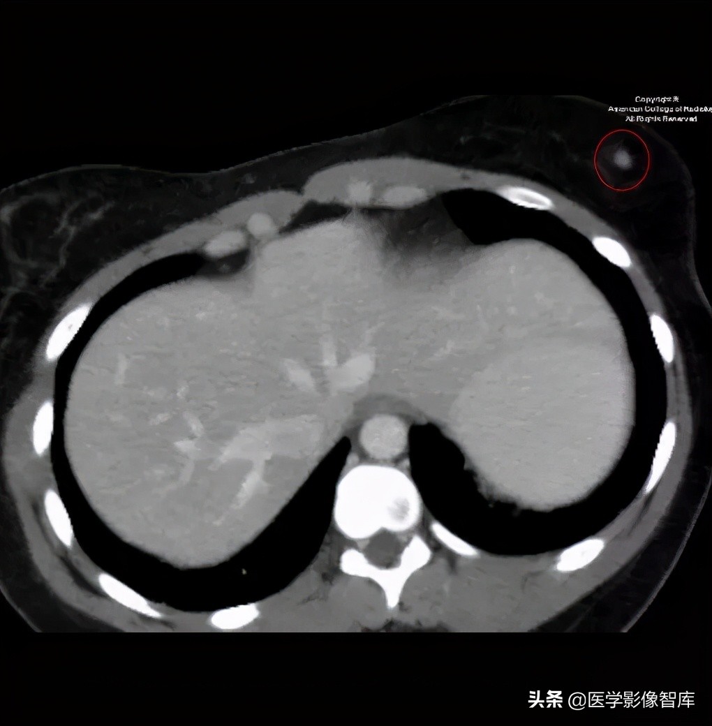
图 3. 轴位 CT 显示左侧乳房偶发的良性肿块(红色圆圈)

图 4. 轴位 CT 显示肝内胆管轻度扩张,相关的症状及实验室检查未发现异常

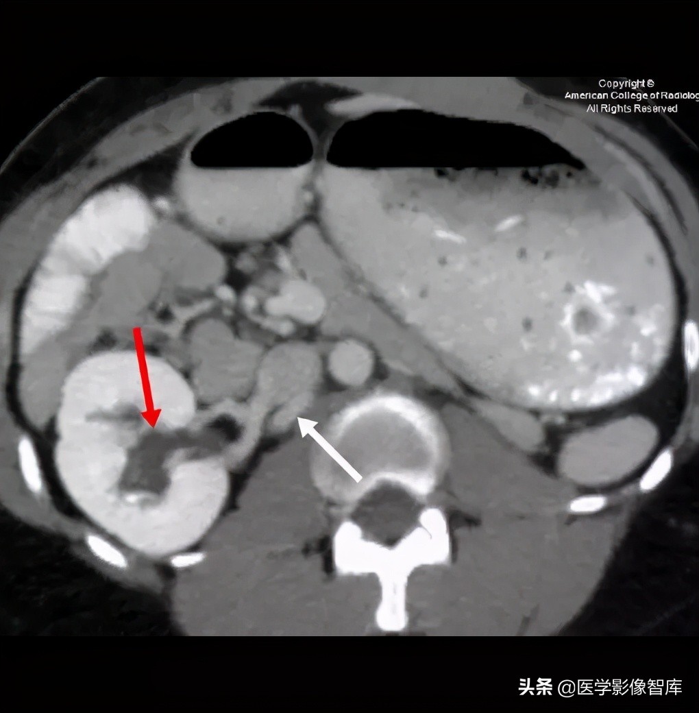
图 5. 轴位 CT 显示右肾肾盂扩张(红色箭头),右肾扩张,左肾发育异常,腔后右肾静脉(白色箭头)

图 6. 轴位 CT 显示升结肠(红色箭头),横结肠(白色箭头)和降结肠(黄色箭头)在左侧腹部缠绕,符合旋转不良表现

图 7. 轴位 CT 显示双侧卵巢向上外侧移位(红色圆圈),升结肠(红色箭头)和降结肠(白色箭头)缠绕

图 8. 轴位 CT 显示显示回肠末端(红色箭头)在盆腔进入盲肠(白色箭头)毗邻直肠(黄色箭头)

图 9. 轴位 CT 显示尿道(黄色箭头),阴道发育不全(红色箭头),直肠(白色箭头)

图 10. 胸部 X 线正位片显示椎体发育异常(红色箭头)和编外肋(15 右肋和 14 左肋)
病例诊断
先天性无阴道综合征(MRKH 综合征)
病例要点
1. MRKH 综合征是原发性闭经常见的原因;
2. MRKH II 型常伴有其他的发育畸形,如肾发育不全;
3. 患者常伴有周期性疼痛的症状。
病例学习
在女性发育过程中,副中肾管形成子宫,输卵管,子宫颈和阴道上段。副中肾管的发育异常(MDA)多种多样,美国生殖医学学会将其分为 7 种类型,其中 I 型 MDA 为发育不全或缺如。MRKH 综合征就属于 I 型 MDA,伴有子宫、宫颈和邻近的阴道发育不全。MRKH 综合征的发生正是由于副中肾管的发育失败导致,其基因的遗传方式为常染色体显性遗传,伴有可变的表型表达。
MRKH 综合征主要有两种类型:I 型为单发的子宫发育不全;II 型为伴有其他的发育异常。最常见合并肾功能不全,肾脏发育异常,其次多伴有骨骼的发育不良,如脊椎骨分节不良(如椎体楔形、融合、蝶形、移位等),脊柱裂,肢体畸形,肋骨异常,短颈综合征,副中肾管和肾缺如,或颈胸段分节异常。
其他文献报道过的伴发发育异常还包括心脏畸形,肠旋转不良,肛门直肠畸形,内脏反转,腭裂等,也有报道与听觉缺陷相关。卵巢功能多正常,但常伴有卵巢异位。患者常见残留子宫,患者腹痛长于宫内膜与相关,常伴有子宫内膜移位。最常见的临床表现为原发性闭经。
本案例中的 MRKH 综合征患者伴有子宫发育不全,左肾缺如,阴道部分缺如,卵巢移位,胆道扩张,腰椎椎体融合,上胸段椎体发育异常,编外肋骨。除了胆道扩张外,其他均为 MDA 的表现。
来源:重庆医学影像诊断中心