来源:即时超声 小儿急腹症的特殊体征
婴幼儿:异常哭闹,辗转不安或蜷卧不动
儿 童:行走缓慢、身体前驱,家长背抱
小儿腹痛的起病方式
- 无任何症状,爆发性起病:穿孔、血管意外
- 起病迅速,很快恶化:胰腺炎、坏死性小肠炎
- 渐进性起病,缓慢加重:阑尾炎
- 阵发性,有缓解期:肠套叠
小儿急腹症的病理特点
- 先天畸形
- 以肠道为主
- 局限疾病的泛化反应
- 进展快
- 不易形成板状腹、肌紧张不明显
小儿急腹症的年龄特点
- 新生儿期:先天性畸形、肠闭锁、巨结肠
- <2个月:胎粪性腹膜炎、肠粘连
- 2个月~2岁:肠套叠、嵌顿疝
- 2岁~学龄前:肠蛔虫症、阑尾炎
- 较大儿童:阑尾炎、胆囊炎、胆石症
先天性肠旋转不良

肠旋转不良是胚胎期肠道由脐腔回纳腹腔时,旋转和位置分布异常导致的先天性畸形,是小儿上消化道梗阻的常见原因之一。

肠旋转不良
胚胎期肠管在以肠系膜上动脉为轴心的旋转运动发生障碍,导致肠管位置发生变异及肠系膜覆着不全,可引起上消化道梗阻和肠旋转坏死。
中肠末端的盲肠、升结肠、降结肠在妊娠第10周时位于腹腔左方,在旋转时按逆时针方向从左向右旋转,至盲肠转到右下腹髂窝为止。如果发育不正常,结果盲肠不在右髂窝,同时结肠系膜和小肠系膜都不覆着于后腹壁上.
病因:
以肠系膜动脉为轴心的旋转运动不完全或异常
病理类型:
肠旋转不良 十二指肠第二段
肠扭转 十二指肠空肠连接处
空肠上段膜状组织压迫和屈曲 空肠第一段
临床表现:
生后反复呕吐,含胆汁,
大便,量较少,血便,
上腹略饱胀
肠扭转→完全性肠梗阻
肠旋转不良是脐膨出最常见的并发症
超声检查方法

第一步 (一步扫查法):常规扫查观察有无扩张肠
管、增厚肠壁,有无Whirlpool征。同时于剑突下横切面平移探头观察SMA及SMV主干位置关系,判定有无位置逆转,这一步是目前大多数学者采用的扫查方法。

肠系 膜 上 血 管 根 部 呈 现SMV/SMA位 置 逆 转, 即SMV位于SMA左侧
第二步 (两步扫查法):重点进行肠系膜血管走行的扫查。在第一步的基础上探头顺时针旋转180°、配合患儿呼吸适度加压,并实时左右侧动探头,必要时做轻微的角度调整,清晰显示SMA和SMV主干血管直至纤细的末端 ,同时尽可能显示其主要分支,观察其走行情况。


SMV根部起始直至纤细的末端,“V”为SMV
SMA自AO发出直至纤细的末端,“A”为SMA

SMV连同所属的肠系膜和肠管围绕SMA发生顺时针旋转,超声横切面下呈现类似风暴引起的 “漩涡”征象

肠系膜动静脉位置异常,彩色血流漩涡征
超声表现
肠系膜上动、静脉位置关系异常:AO IVC
CDFI:SMV围绕SMA旋转
肠扭转:肠系膜根部非均质低回声团
CDFI: 靶环征 螺旋状
胃、十二指肠降段以上扩张:新生儿
空肠上段膜状组织压迫和屈曲:超声无法显示
肠旋转不良的诊断标准
(1)金标准
依据手术及UGI检查结果。
(2)超声诊断标准
- SMV/SMA位置逆转:SMV位 于SMA左 侧。
- Whirlpool征:SMV围绕SMA形成漩涡征象
- 肠壁、肠系膜水肿增厚。
- SMV扩张。
- 腹水。其中①或②为必备条件,其他为辅助征象。
先天性肥厚性幽门狭窄

病因:
幽门管壁肥厚、增生,管腔狭窄,梗阻
病理:
幽门壁各层组织均肥厚增大,其中以环形肌为主局部增厚在胃的一端界线不清,在十二指端则界限分明
幽门部粘膜常有水肿和肥厚
幽门梗阻→ 胃腔扩大→胃粘膜充血水肿、糜烂→胃出血
临床表现:
呕吐:生后2~3周 进行性加重
奶、乳凝块,不含胆汁
橄榄形肿块: 右上腹
营养不良:晚期
超声检查方法:
饱餐(饮奶、水)
安静状态下
仰卧位、右侧卧位
幽门管的横断面:
幽门管长轴切面:结构、蠕动

超声表现:
均质低回声团:“宫颈征”
肌层厚 >4mm (正常<3mm)
幽门直径 >14mm
幽门管长 >16mm(正常<15mm )
管壁蠕动消失
胃腔扩张
注意:
- 长轴切面要正中
- 部分患儿的幽门肌壁呈不对称的增厚,未形成典型的圈饼征
- 灵活使用不同频率的探头
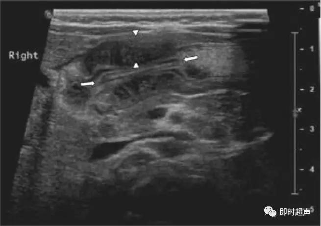
幽门肥厚狭窄声像图:

增厚的幽门肌层(三角箭头之间),增长的幽门管(长箭头之间)。
先天性肥厚性幽门狭窄

幽门纵切呈“宫颈征”。幽门横切面呈“靶环征”

幽门纵切呈“宫颈征”。幽门横切面呈“靶环征”

幽门纵切呈“宫颈征”。幽门横切面呈“靶环征”

幽门环形肌纵向呈低回声圆柱体
幽门环形肌“同心圆”征

幽门环形肌纵向呈低回声圆柱体
幽门环形肌“同心圆”征
肠套叠

肠套叠指部分肠管及其肠系膜套入邻近肠腔所致的一种绞窄性肠梗阻

- 发病年龄在4个月—2岁最常见。健康肥胖儿多见,发病季节与胃肠道病毒感染流行相一致,以春秋季多见。
- 典型四联征: 腹痛,呕吐、肿块和、currant jelly stool
病因
肠管的一部分或连同其附近的肠系膜套入邻近的肠管
原发性:环状肌痉挛;
肠炎、腹泻、高热、饮食改变 肠功能紊乱
继发性:肠腔内实质性病变或先天性畸形;
如息肉、肿瘤、过敏性紫癜、美克尔憩室内翻及阑尾残端翻入
肠蠕动的正常节律紊乱
好发年龄:3个月~2岁,多见于4~10个月
常见分型:回盲型、回结型 回回结型、小肠型、多发型


临床表现
- 阵发性哭闹、腹痛:肠痉挛
- 呕吐:反射性 胆汁、粪汁
- 腹部包块:右上腹
- 便血:果酱样
- 全身症状:昏迷、休克
超声表现
低回声团:短轴 靶环征
长轴 套筒征
偏心 阑尾、息肉等
CDFI:局部血流信号增加
缺血坏死时血流信号消失
注意
探头逐级加压法
应用CDFI
动态观察
区分回盲部
肠套叠超声表现



短轴切面同心圆征

长轴切面套筒征、短轴切面同心圆征
急性阑尾炎

阑尾炎超声
小儿阑尾炎是常见急腹症之一,常常引发小儿腹痛,临床儿童期多见。由于病情进展较快,阑尾炎患儿常无典型症状和体征,增加了医师对该病的诊断难度。小儿阑尾炎如未能及时有效进行诊治,极易出现穿孔,严重影响患儿的生命健康。据最新调查结果显示,小儿阑尾炎从初始症状腹痛至出现穿孔仅需 36 ~ 48h,术前有 30% ~ 60% 患儿出现阑尾穿孔。彩色多普勒超声检查对小儿阑尾炎具有重要的诊断价值。
阑尾位置与血供

阑尾炎分型
单纯性: 粘膜
化脓性: 浆膜层→早期腹膜感染
坏疽性: 阑尾壁迅速、广泛坏死→局限性脓肿
梗阻性: 粪石、蛔虫→阑尾积脓、坏死穿孔
发病机制
淋巴组织→诱发炎症反应
阑尾腔狭窄→引流不畅
阑尾粘膜吸收水分→粪石
盲管→寄生虫、食物残渣堵塞
末端游离、活动度大→易激惹周围组织
阑尾动脉为终动脉→血运障碍→穿孔
临床表现
- 转移性右下腹痛、呕吐、发热
- 麦氏点固定压痛、后期反跳痛
- 白细胞增高,中性粒细胞增高,CRP升高
- 发展快、易穿孔、腹膜炎
超声检查:
逐级加压
超声压痛、腹肌紧张
髂腰肌、髂血管标准切面
炎症阑尾加压形态不变
小儿阑尾炎超声诊断
超声评估标准
短轴位显示为靶环征,阑尾壁血流信号增多;长轴位显示阑尾增粗,压之不变形,管壁不均匀增厚,最大直径超过6mm。
间接征象:阑尾周围脓肿,表现为形态不规则、边界模糊的混合回声或低回声团块;盆腔/腹腔积液;阑尾周围肠系膜脂肪组织、大网膜炎性改变,表现为条带状、絮状、片状高回声围绕包裹;阑尾腔内粪石伴声影;粘连性肠梗阻、腹膜炎,肠腔减缓蠕动、相邻肠管积液积气、扩张。
超声表现:
- 增粗,外径>6mm
- 形状:“C”、“U”、“L”
- 管壁三层结构
- 粪石:声影
- 阑尾周围积液、腹腔积脓
- CDFI: 增加 缺失
注意:
- 不典型阑尾炎:网膜回声增强、聚集
- 腹腔积脓:积液内密集点状回声
- 正常阑尾显示:症状、内径
阑尾炎超声声像图

腊肠征与同心圆征

包块与粪石
急性肠系膜淋巴结炎

小儿肠系膜淋巴结炎
又称非特异性肠系膜淋巴结炎,由Brenneman(1921)首先提出。急性小儿肠系膜淋巴结炎是儿科常见疾病,多属病毒感染,常与呼吸道、肠道感染有关系。好发于7岁以下的小儿,好发于冬春季节,常在急性上呼吸道感染病程中并发,或继发于肠道炎症之后。
病因
- 回盲部肠系膜淋巴结的急性炎症
- 自限性感染性疾病
- 儿童及青少年多见
- 男多于女
临床表现
发热及右下腹痛,似急性阑尾炎症状
超声表现:
右中、下腹成串圆形或椭圆形低回声团
边界清,内部回声均匀,前后径>1cm
CDFI:分支状血流信号
肠系膜淋巴结肿大超声表现


超声诊断小儿肠系膜淋巴结炎
正常肠系膜淋巴结直径小于7mm;同一区域肠系膜上有2个以上淋巴结显像,淋巴结长轴直径大于10mm,短轴直径大于5mm,纵横比大于等于2为肿大;横径大于1.5CM提示病理性肿大。淋巴结内血流的分布:血流信号沿淋巴门分布,该型通常见于非特异性炎的淋巴结。RI在0.59~0.68之间。
但很多近期并无消化道、呼吸道感染症状,无腹痛等症状的健康儿童存在肠系膜淋巴结肿大现象。健康儿童中长径大于1.0 cm 的腹腔淋巴结并不少见,所以不能主观认为这些淋巴结的存在就是异常现象。尤其高频超声的应用。
肠重复畸形

小儿消化道重复畸形
消化道重复畸形是小儿常见胃肠道畸形,在小儿消化道畸形中占首位。以往本病的影像学诊断多为 X 线诊断,包括消化道造影、CT,而不太注重超声的应用。
儿童消化道重复畸形的超声检出率高,特异性较强,是术前确诊及术后随诊的首选检查方法。但对于少数与正常肠管管壁相同并伴行的管状重复,超声检出较困难。
消化道重复畸形自食管至直肠可在任何一处发生,其中 75% 发生于小肠,其次为食管。其基本病理类型分为肠外囊肿型、肠内囊肿型、管状型。其中肠外囊肿型最多见,约占 80%。
小儿消化道重复畸形的来源虽尚无定论,但有以下几种学说:
a)胚胎期肠管腔化过程异常,形成与消化道并行的囊肿状空腔;
b)胚胎早期消化道常有憩室外袋,发育中外袋逐渐退化消失,如残留则可形成该病
c)脊柱原肠腔化障碍学说,可以解释为何重复畸形可发生于消化道任何水平并常伴有脊柱—神经系统畸形。
d)原始胚板中心分裂学说
病因
- 与肠壁结构相似的先天性结构重复,可能与肠管重复、永存胚胎性憩室或迷走肠管性再通所致
- 发生在从食管到肛门的任何部位,最常见为回肠,其次为胃
- 重复的肠管直接与正常肠管相连,位于肠管的系膜附着侧,极少数游离于肠系膜内
- 重复肠管的血供来源于肠系膜血管
临床表现多为:
- 腹痛,继发梗阻或肠套叠以急腹症就诊
- 腹部包块,食管囊肿可表现为颈部包块
- 也可常规检查时偶然发现
- 产前超声发现
- 部分结肠重复可有便秘表现。
超声表现
球形、管状
与肠壁共肌层
重复的肠管与肠管相连
重复的肠管血供来源于肠系膜血管
肠重复畸形囊肿的声像图表现
- 无回声,极少数囊内有少量回声,罕见有分隔
- 大多数呈球形或管状,局部囊壁蠕动。
- 一般比肠系膜囊肿小。
- 囊肿壁声像结构与肠管壁相同,由内层回声增加的粘膜和粘膜下层与外围肌层的低回声组成,厚径约1~2mm
- 囊肿壁的肠壁样回声有助于与其他囊肿鉴别
肠重复畸形鉴别诊断
腔外型的囊肿型消化道重复畸形需与肠系膜囊肿、囊性畸胎瘤鉴别
小重复畸形有时需与美克尔憩室鉴别,美克尔憩室为一端与肠管相通,一端为盲端的厚壁消化道管腔。当超声发现这一征象时均应诊断为梅克尔憩室,梅克尔憩室通常有血便症状。
美克尔憩室

美克尔憩室是由于卵黄管退化不全所致
在胚胎早期,原肠与卵黄囊相通以后, 此通道逐渐变窄称为卵黄管或脐肠管出生时,此管仅残留少量纤维索条组织, 很快退化完全消失
- 最常见的卵黄管残留物
- 回肠中~远段之间肠系膜边缘
- 肠粘膜、胃粘膜、胰腺组织
卵黄管残留部分的退化程度不同而存在各种形式的异常

(e, f) Meckel憩室—脐肠管的回肠端开通而脐端闭合。如果脐肠管脐端闭合而不吸收则憩室以纤维索条与脐相连
美克尔憩室
在发育异常时—— 卵黄管残留部分的退化程度不同而存在各种形式的异常:
美克尔憩室— 卵黄管的肠端未闭 (最多见)
卵黄管囊肿— 卵黄管的脐端和肠端均已闭合
中间部分保持原有内腔
其黏膜的分泌聚集而形成囊肿
卵黄管瘘(脐肠瘘)— 整条卵黄管未闭合
脐部瘘口可排出肠内容物
美克尔憩室并发症
梗阻型:
回肠、空肠套叠→肠梗阻症状
溃疡型:
异位胃粘膜分泌胃酸→无痛性反复便血
炎症型:
憩室炎→类似阑尾炎
ECT:锝99 异位胃黏膜

异常放射性浓聚区
梅克尔憩室超声声像图

梅克尔憩室患者右下腹超声声像图 可见一段增厚管
状肠袢样结构,黏膜较正常小肠黏膜明显增厚

灰阶超声显示在右髂窝有一具有肠道特征的盲管样结构,符合麦氏憩室,大小2.0 x 1.4 cm.
在上一平面下10mm灰阶超声扫查显示麦氏憩室腔内充满等回声物质(矢),其前壁溃疡部位可见高回声混合气体积聚.
鉴别诊断:
阑尾炎:梅克尔憩室引起肠梗阻,憩室炎或穿孔时,出现的症状及体征与一般肠梗阻或阑尾炎很相似,或基本一致,术前要做出正确诊断仍很困难。
结肠息肉:一般有长期少量便血病史,呈鲜红色,如有息肉脱落可有大量出血,可致贫血。钡灌肠可见到息肉的缺损阴影,应用纤维结肠镜或乙状结肠镜可诊断并摘除息肉。
出血性小肠结肠炎:多数有腹泻、呈淘米水样黏液稀便,伴有高热、腹痛及中毒休克等症状。常伴有肠梗阻症状及腹膜炎体征。
【版权声明】本平台属公益学习平台,转载系出于传递更多学习信息之目的,且已标明作者和出处,如不希望被传播的老师可与我们联系删除
更多影像内容请*载下**放射沙龙APP,免费读片线上交流学习