解螺旋公众号·陪伴你科研的第2145天
Elisabeth Bik博士解释了为何老能找到WB的茬。
时至今日,虽然Western blot(WB)仍是稳坐在蛋白质研究技术的“头把交椅”上。
但近年来因WB不断被卷入学术造假的丑闻和风波中,致使它身后的批评和质疑也在与日俱增。
而这追根究底是因为WB的操作繁琐且环节众多,致使实验者无意中犯错的概率随之增加,极大影响了其准确性和重复性,就造成了大家做得好像不是同一个“Western”的结果。
这也是科研新人们一致认为,就操作难度而言,WB在一众实验中名列前茅的重要原因。
所以,关于WB,几乎每一经验丰富的实验老手都有着一本厚厚的血泪史。
虽然要获得一张漂亮的WB结果并不容易,但想来每个实验室都有一套独属于自己的“专属秘方”。
如今,小编就将学术打假先锋Elisabeth Bik对WB的独家见解和操作攻略分享给大家。
Step1. 蛋白质凝胶电泳
首先,用合适的裂解液将细胞或组织均质化,以获得蛋白质样品。
将蛋白质样品与loading buffer混合,进行煮沸变性(通常10min)以使蛋白质展开和拉伸并带上负电荷。
配制凝胶时,先配分离胶,再配浓缩胶。
可根据目标蛋白分子量大小选择合适的分离胶浓度,一般分子量越高,分离胶浓度越低;浓缩胶浓度多为5%。
值得注意的是,玻璃板清洗干净后,可用烘箱将水分晾干,待温度降至室温后,再灌胶,避免产生气泡;
加水液封时,速度要慢,用1ml抢沿着胶板上沿反复移动,避免分离胶高低不平,影响蛋白分离。
将蛋白质样品(上样量为10ul)依次加到加样孔中(请参见下图)。
可先加Marker,如有空置的加样孔,需加等体积的1×loading buffer,以防相邻通道蛋白样品的扩散。

施加电流后,所有带负电荷的蛋白质样品在各自的“通道”中从凝胶的顶部向底部缓慢移动。
先低压(80V)电泳,使样品充分浓缩,后高压(120v)电泳,直至溴酚蓝即将跑出胶面时终止电泳。
而后可用考马斯亮蓝或Ponceau染料染色将凝胶显示出所有蛋白质,或通过印迹法检测一种或几种蛋白质。
通常,相比于移动速度缓慢的大蛋白,小蛋白质更接近底部,从而分离出蛋白质混合物的各种蛋白。
Step2. 蛋白质印迹
在这个过程中,需将分离的蛋白质转移到膜上,然后与特异性抗体一起孵育,以研究均质样品中许多蛋白质混合物中的一种或几种蛋白质。
考虑到现阶段多用PVDF膜,用之前需要将其置于转移缓冲液中平衡至少5min。
转膜前,需先提前配好1x转膜液,放在4°C冰箱中备用。
转膜需要在冰浴中进行,凝胶和转印膜间不要留有气泡,否则气泡处的条带可能就不能转移到膜上了,同时要注意电极方向。
转膜后的效果可通过丽春红染色或预染Marker来判断。

而后,室温条件下用封闭液(5%BSA或5%的脱脂奶粉)将膜封闭1-2h,可降低背景。
值得注意的是,对磷酸化的抗体或生物素标记的抗体不能用脱脂奶粉封闭膜,只能用5%BSA。
封闭结束后,可将膜(称为“印迹”)与针对特定目标蛋白的抗体(一抗,需用稀释液稀释)孵育。
建议4°C摇床过夜。
一抗孵育时,要注意一抗的种属来源。
孵育后,将膜漂洗,以洗去所有未结合的抗体。
然后将膜与结合一抗的二抗孵育,以放大信号。
要注意,二抗的种属要与一抗的来源相对应。
通常二抗具有放射性或化学发光基团,使其在X射线胶片或光敏胶片或数字扫描仪上可见。

通常,蛋白凝胶染色和印迹的结果如下图所示。

Step3. 内参蛋白
Western blot 除了可以定性分析表达产物,还可以检测目的蛋白量的相对变化。
在实验中,可能存在总蛋白浓度测定不准确,或者蛋白质样品在上样时产生的操作误差。
特别表达量不高时,蛋白定量或上样的误差很有可能影响结果的分析。
为了校正这个误差,Western Blot实验都需要进行内参检测。
具体校正方法就是将每个样品目的含量与内参含量相除,得到每个样品目的蛋白的相对含量;再进行样品与样品之间的比较。
内参蛋白一般指的是由管家基因编码表达的蛋白,其蛋白表达保持恒定。
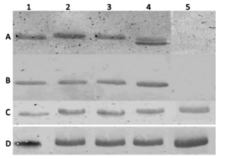
比如,下图1-8甬道中Protein A-D蛋白的含量有所不同,而内参蛋白(微管蛋白,Tubulin)的量却保持相当稳定。

内参抗体种类很多,比如β-actin、β-tubunlin、GAPDH、Lamin B等,大家可依据自己的实验需求进行选择。

另外,为了确保western blot结果的准确性和特异性,设置合适正确的对照也是必不可少,一般需要设置的对照如下——
阳性对照:明确表达检测蛋白的组织或细胞,用于检测抗体的工作效率;
阴性对照:明确不表达检测蛋白组织或细胞,用于检测抗体的特异性;
二抗对照:不加一抗,用于检测二抗的特异性;
内参对照:检测标本的质量和二抗系统
空白对照:不加一抗和二抗;用于检测膜的性质和封闭的效果。
Step4. 结果的多样性
根据以上步骤做出来的WB结果,蛋白质印迹带的形状和间距变化很大。
条带的形状可以像煎饼,哑铃,鱼,等等等等。
这取决于研究人员如何将样品加载到凝胶上,蛋白质的量以及凝胶设备的特性。
然后,凝胶带和背景上还有斑点、污渍、划痕、气泡和其他不规则现象。
所有这些变化让每个WB的条带都应该是独一无二的。
因此,如果有两条非常相似的条带,那就要怀疑下结果的真实性了。
比如下图的A和D,能看出其中太过类似的条带吗?

—END—
10天领悟3分科研套路训练营
点击下方即可报名
解螺旋-中国临床医生科研成长平台