靶向治疗出现被认为癌症治疗的里程碑事件,靶向药物杰出代表奥希替尼的出现更是让患者看到了抗癌胜利的曙光。
奥希替尼是肺癌一线二线的首选治疗药,可显著延长生存期,并且术后辅助作用强悍,降低死亡风险80%,对脑转移的作用快速持久。
即使奥希替尼药效惊人,耐药仍不可避免得存在。
如何破解耐药突变难关成为了奥希替尼在临床进一步发挥作用,延长患者生存期,改善患者生存质量的关键之一。

抗癌明星耐药:分情况对待
2019NCCN指南中显示:奥希替尼一线或二线使用耐药后,均需根据进展程度进行相应处理。

缓慢耐药:继续服用奥希替尼,观察效果
治疗一段时间后一个或多个病灶缓慢进展,有一定抑制肿瘤生长的作用。可以继续服用奥希替尼观察效果。
若有脑转移的患者,可以考虑铂类化疗药联合奥希替尼治疗。
局部耐药:联合其他局部治疗,局部控制
治疗过程中,出现新的局部单发病灶,或少数几个病灶进展较快。比如出现了骨转移,或出现缓慢进展的脑转移。
骨转移者可以考虑放疗联合奥希替尼,脑转移可以伽玛刀联合奥希替尼。
完全耐药:明确耐药机制,选择联合用药
治疗过程中,全身多发快速进展,多处转移,全身病灶快速增大。最凶险,预后最差。
一般建议做基因检测,明确耐药的原因,重新制定治疗方案,给予针对性的治疗。

耐药机制一:EGFR通路产生获得性耐药
EGFR通路耐药即表皮生长因子受体(EGFR)上外显子如797位点发生突变后(C797S突变),使奥希替尼无法与EGFR结合,从而抑制靶向药物的活性。
奥希替尼获得性耐药的主要原因,约占耐药患者的30%左右,包括EGFR C797S突变(最常见)、T790M减少或消失、EGFR扩增等。

C797S单发突变:吉非替尼、厄洛替尼、四代药物
奥希替尼一线治疗后耐药常属于C797S单发突变,使用一代EGFR靶向药物吉非替尼或厄洛替尼一般有很好的效果。
此外,我国药企在研的首款*四代第**EGFR*制剂抑**:TQB3804、国外的BLU-945在临床前研究中发挥出色。

C797S 与 T790M反式突变:
解决:奥希替尼+吉非替尼/阿法替尼/厄洛替尼
上海胸科医院的陆舜教授在JTO杂志上发表文章表明,1例42岁女性肺腺癌患者多线耐药后检测T790M阳性,改用奥希替尼治疗3年后,耐药出现C797S及T790M共反式突变;
使用1代(吉非替尼、厄洛替尼)+3代(奥希替尼)联合交替使用 , 同时联合贝伐单抗;
联合治疗后患者咳嗽及呼吸困难的症状明显缓解,影像学评估达到了部分缓解,并且发现肺泡间隔变薄及胸水减少。
T790M 与 C797S顺式突变
1.布加替尼联合西妥昔单抗
国内案例报道:1例62岁肺腺癌女性患者,多重耐药后,出现T790M突变用奥希替尼治疗。
8个月后再次耐药, 发现T790M+C797S顺式突变,使用布加替尼和西妥昔单抗后,稳定控制。
2.EAI045联合西妥昔单抗
有研究报道EAI045联合西妥昔单抗不仅对L858R/T790M 突变耐药患者有效,而且对L858R/T790M/C797S三重突变耐药患者有效。
EAI045联合PD-1疗法可能是T790M和C797S突变耐药的新型*制剂抑**。
耐药机制二:旁路激活导致获得性耐药
旁路激活指另外的酪氨酸激酶受体基因突变或扩增(如c-MET突变或扩增是导致奥希替尼获得性耐药最常见的原因,发生15%~20%;HER2/3激活),传导至EGFR下游的信号通路,导致奥希替尼获得性耐药。
解决方案: 可使用旁路途径突变中产生的下游通路的突变基因*制剂抑**治疗。
MET扩增:多款MET*制剂抑**可接力治疗
解决方案①:特普替尼、卡马替尼
特普替尼(日本获批上市)治疗的整体缓解率达到42.4%,卡马替尼(美国上市)治疗的整体缓解率达到了67.9%;
两种药物的疾病控制率均超过了90%,且PFS(无进展生存期)分别达到了12.39个月和11.14个月。
解决方案②:奥希替尼联合沃利替尼。
奥希替尼耐药后,检测出现MET扩增的患者。患者同时属于奥希替尼二线用药后合并脑转移。
采用奥希替尼+沃利替尼(MET*制剂抑**)治疗,治疗有效率为30%,PFS为5.4个月。且一项Ⅰb期研究中,奥希替尼耐药后MET扩增阳性患者,改用奥希替尼+沃利替尼治疗。
研究显示:客观缓解率为25%,疾病控制率为69%,中位缓解持续时间为9.7个月。
RET融合、突变:新药控制率超90%
一项使用BLU-667治疗RET融合晚期非小细胞肺癌的安全性研究结果显示: 48例多重耐药患者中,客观缓解率达到58%,疾病控制率高达96%。
其中, 包括此前含铂化疗耐药患者的客观缓解率达到了60%,疾病控制率达到100%。
HER3突变:疾病控制率70%!
来自日本的HER3抗体偶联药物U3-1402, 86%的治疗接受过奥希替尼治疗后耐药患者的疾病控制率达到了惊人的70%!

耐药机制三:组织学转化
奥希替尼治疗患者耐药后,少数患者(发生概率4%~15%)可能发生组织学转化,从非小细胞肺癌转化为小细胞肺癌或肺鳞癌,EGFR突变仍然存在。选择EP化疗(依托泊苷+顺铂)。
一篇发表在Targeted Oncology上的研究报告显示,中国肺癌患者奥希替尼耐药后接受化疗的患者比未接受化疗的患者的总生存期(OS)更长。
耐药机制四:原因未明
在二线和一线奥希替尼耐药的患者中分别有约40%和50%的患者还没有明确的耐药机制,可采用多种方式尝试解决:
阿法替尼联合西妥昔单抗
NCCN指南推荐,阿法替尼联合西妥昔单抗可以作为EGFR耐药的处理方案。一项Ⅰb期临床研究中,使用阿法替尼联合西妥昔单抗治疗EGFR-TKI耐药NSCLC,发现T790M阴性患者的PFS可提高4.6个月以上,有效率可达到25%以上。
积极化疗
Mok TS的研究显示, 化疗对于经治的T790M阳性耐药患者(未测出基因突变),同样可使患者临床缓解达到31%,患者PFS延长4.4个月。
抗血管生成*制剂抑**——安罗替尼
2020年欧洲肿瘤内科学会(ESMO)大会上一项临床研究显示, 用安罗替尼治疗多重耐药后的晚期NSCLC EGFR患者,可延长总生存时间和PFS,两者均可延长3个月以上。
奥希替尼加量(80mg→160mg)
适用于没发现可针对的新靶点,患者可耐受时,通过增加体内药物浓度增大*伤杀**肿瘤能力,脑软膜转移患者疗效佳。
一项发表于《Journal of Clinical Oncology》上的BLOOM 研究,纳入21例EGFR19/21突变的多重耐药(均为二线三线或多线治疗后耐药,且包含EGFR靶向药耐药)软脑膜转移患者,使用奥希替尼加量治疗。
研究结果显示,软脑膜客观缓解率33.33%,疾病控制率达到76.19%。
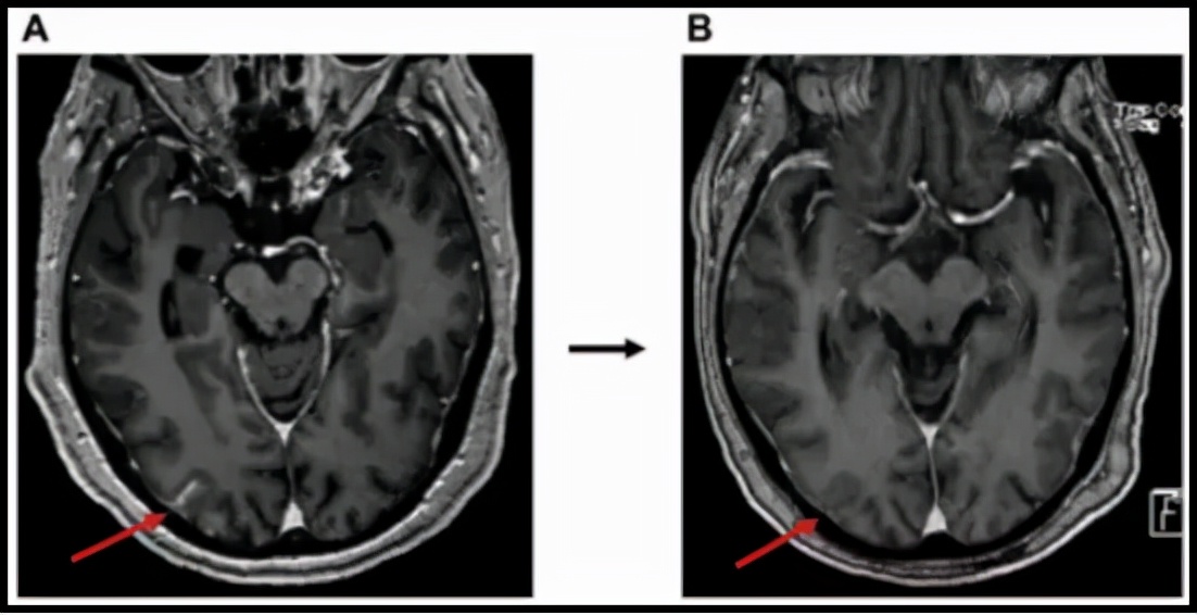
图示奥希替尼加量前后脑软膜变化,加量后病灶疗效达到部分缓解。

联合免疫治疗:PD-1联合阿帕替尼/安罗替尼;PD-1联合化疗
2019年ASCO公布的卡瑞利珠单抗联合阿帕替尼治疗NSCLC,主要用于无基因突变患者及靶向化疗多线耐药患者。
1例55岁肺腺癌女患者使用国产 PD1+阿帕替尼四线用药,3个月PR,PFS>5个月,且治疗过程中未出现明显不良反应,患者自觉体力和食欲等均有明显改善 。
特瑞普利单抗联合化疗治疗EGFR耐药患者,客观缓解率为50%,疾病控制率达到87.5%,中位缓解持续时间7.0个月。
希望病友们在前进的路上,克服前进道路的艰辛,不放弃胜利的希望,抓住每一个机会,接受大家的帮助,战胜病魔指日可待!
为了让更多患者实现高效抗癌,114肿瘤资讯联合推出正规仿制药、临床入组、海外医疗等项目,详细了解可点http://m.519an.com/