外阴白斑是以外阴瘙痒、发白、萎缩等症状为主,其发病原因多种多样,如:炎症刺激、基因遗传、内分泌失调等,其中炎症刺激的发病率高达50%,因此就有多患者较为担心;那么,外阴白斑炎症刺激发病几率这么大,患者又该如何预防呢?

一、外阴白斑的病因是什么?
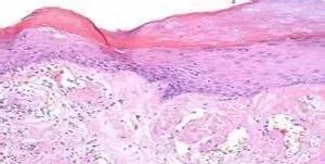
外阴白斑是指外阴局部神经与血管营养障碍引起的组织变性与色素改变的疾病。临床上常常把外阴局部的皮肤与粘膜变白变粗或萎缩性疾病,统称为“外阴白斑”。

二、炎症刺激引起的外阴白斑,是怎么回事?
炎症刺激是由益菌和致病菌等多种细菌群构成的一个生态平衡环境,生殖道内的有益菌属于兼性厌氧菌,而致病菌绝大多数属于需氧菌,所谓兼性厌氧菌是指这类细菌主要生存在无氧的环境,需氧菌则相反,需要在有氧的环境下才能生存,女性生殖道内的环境通常是在外阴(大小阴唇)的门户密闭和阴道收缩等作用下,基本保持了内环境的密闭、无氧和负压状态,即便有时会有少量的空气和氧存在,但也会被里面所存在的少量需氧菌消耗掉,这样就非常有利于作为兼性厌氧菌的有益菌生存和繁衍。从而就容易引发外阴白斑疾病。

三、外阴白斑患者该怎么预防?
由于炎症刺激是外阴白斑发病的主要原因,因此在日常生活中就需要多多注意预防外阴炎症刺激以及其他外阴疾病,避免引发外阴白斑;为此沈阳安琪外阴白斑研究所主任就外阴白斑的预防为大家归纳为以下几点:
1、日常生活中应穿宽松、透气性好的内衣裤,以纯棉制品为主,避免穿腈纶等化纤制品的*裤内**,并且保持外阴干燥、透气;
2、有些女性过于清洁,每天有清洗外阴一次或几次的习惯,在此我们建议,由于女性外阴有自洁作用,一般一周清洗2-3次即可,清洗时不要用任何洗涤剂(因其一般均为碱性),外阴以女性护理液清洗即可,切忌温水过烫;
3、日常生活中应注意生活压力及情绪的调节,保持情绪乐观,心情开朗。这一点,患者家属应积极配合,使其树立战胜疾病的信心;
另外提醒广大外阴白斑病友生活注意事项是:三餐定时、保障营养、不宜过饱、宜软勿硬、忌辛忌辣、戒烟限酒。
觉得本文有用,请点赞或推荐给朋友,并关注:安琪外阴白斑刘晓华