
01
病史
主诉:发现卵巢囊肿1年
现病史:1年前因痛经就诊发现卵巢囊肿,现月经规律,6-8天/28-30天,痛经+,VAS 7分,量偏多。现偶有腹痛,可在腹部扪及包块。
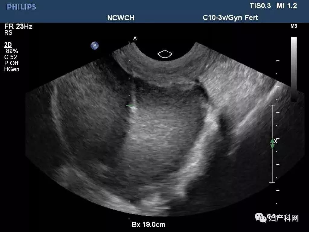
超声提示:右侧卵巢囊肿大小约7.4×4.7cm,巧囊不除外,ca125 37.7u/ml,HE4 40.6pmol/L。
02
诊断
右侧卵巢内膜异位囊肿

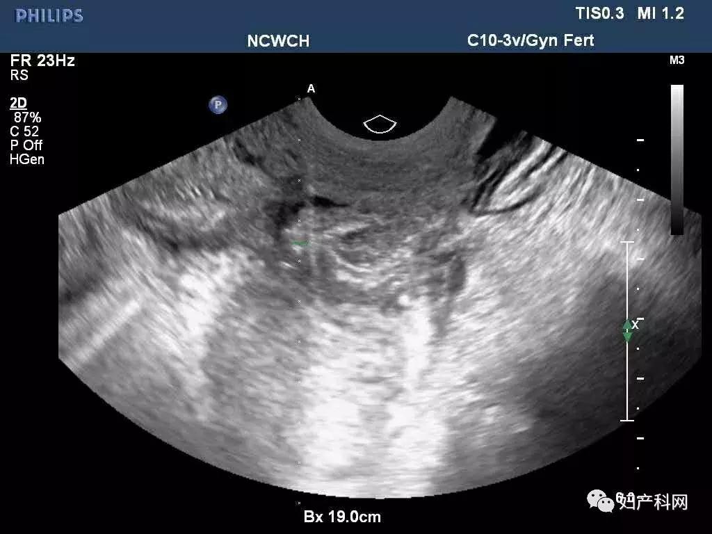
术中超声
03
治疗过程
我们给这位患者选择的是经阴道卵巢囊肿穿刺+无水酒精固化,术中见右侧卵巢囊肿分为2房,分别从2房中抽出了约100ml巧克力样粘稠液体,共计200ml,每个房分别注入了50ml的无水酒精固化15分钟后抽出,术中同时放置了一枚曼月乐。


前几天这位患者再次来我们门诊复查,之前因为卵巢囊肿过大,超声甚至很难找到右侧正常卵巢组织,这一次可以轻松的发现了,囊肿也没有复发,当然后续还需要进行持续的随访。

04
讨论
卵巢囊肿穿刺过去我们主要是针对手术后复发的患者进行,但因为它创伤小,可以避免多次手术粘连等等优点,同时术后复发的概率其实和手术相比并没有明显差异,目前我们已经拓展到针对没有手术的患者也可以进行。
当然这样就需要对术前的超声评估做更得更充分,超声对于内膜样囊肿会有特异的提示,同时需要警惕囊肿内部是否有实性的部分,如果有,是否有血供存在等等,结合CA125,CA199,CEA,HE4等相关的肿瘤标记物,在术前做好充分的评估。并且需要沟通好如果术中穿刺出的囊液和预计不符,特别是遇到黏液性囊肿或者其他的情况的时候,需要转为腹腔镜手术,下周会给大家分享一个我们近期遇到的囊肿穿刺转腹腔镜的病例。
更多卵巢囊肿治疗病例分享请点击:
微·无创 | NO.15 病例分享 之 经阴道卵巢囊肿穿刺
沃医子宫肌瘤微无创治疗中心
龚晓明 冯洋
2019年6月23日
