
多了一个“症”字,就治不了了吗?
作者|云南省一院孙丹雄
来源|医学界呼吸频道
• Patient :支气管扩张能否治好,医生?
• Doctor:有些支气管扩张是可以治好的,淡定,但是,有些支气管扩张,比如已经是支气管扩张症了,就不会断根了!
......
什么鬼,支气管扩张能治好,支气管扩张症就不行啦?

支气管扩张,对着支气管扩张症,大声唱:我们不一样!
支气管扩张症,唱:有啥不一样?一样的支气管,一样的扩张!你牛什么

?
专家共识
支气管扩张症是由各种原因引起的支气管树的病理性、永久性扩张导致反复发牛化脓性感染的气道慢性炎症,临床表现为持续或反复性咳嗽、咳痰,有时伴有咯血,可导致呼吸功能障碍及慢性肺源性心脏病。
支气管扩张症,就目前的科学技术,板上钉钉,不能根治。所以,我今天就来讨论,哪些支气管扩张可以治好。

异物阻塞,支气管扩张,纤支镜取出异物,支气管扩张好转。
可以治疗好转的支气管扩张,也叫可复性支气管扩张。

1
下面是广州呼研所报道的一个患者。
男,23岁,反复咳嗽,咳痰,喘息20年,加重2个月。从3岁开始喘息。7年前咳嗽加重,咳棕色痰栓。血嗜酸粒细胞升高,为16%。 曲霉抗原皮试呈快速阳性反应。血清总lgE为1812 Iu/ml(参考值<100 Iu/ml)。CT:支气管扩张,扩张的支气管主要分布在肺门周围,也叫中心性支气管扩张。

确诊变应性支气管肺曲霉病,给予糖皮质激素及伊曲康唑口服液治疗。6个月后复查,病灶好转,支扩好转,症状好转,全部都好转。
2
下面这个患者,考虑肺部支原体感染,CT发现支气管扩张,治疗后复查,支扩好转,出院后2月复查,也没有支扩。考虑早期支扩,感染好转,阻止了支扩发展为支气管扩张症。

3
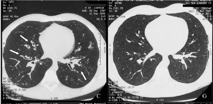
再来看看一个歪国人的病例——
we report a case of a previously healthy 19-year-old man,a professional basketball player with no antecedent history of smoking or lung disease。
19岁boy,专业级别的篮球运动员,既往不抽烟,没有肺病。
Initially, he had nonproductive repetitive cough for 1 month and was diagnosed with pertussis infection on positive serology.
起初干咳了一个月,诊断为百日咳。
Later, his cough became productive with purulent sputum.
后来咳脓痰。
At this stage, he also had exertional wheezing, significant weight loss,fever, sweats, and decline in exercise tolerance.
这阶段,患者出现运动后喘息,体重下降,发热,出汗,运动耐力下降。
Prior to presentation to our pulmonology clinic, he had received multiple courses of antibiotics,including macrolides, for presumed recurrent bronchopneumonia
with minimal response.
外院推测是反复患肺炎,所以反复抗感染治疗,包括大环内酯类抗生素,然而,并没有什么鸟用。
Immunoglobulin levels (including total IgE), allergen-specific IgE levels, Aspergillus precipitins, allergen skin tests, autoimmune markers, and T-cell phenotypes were all normal.
曲霉抗原皮试、血清总lgE等等各种检查正常,不支持变应性支气管肺曲霉病。
Diagnosis of postinfective bronchiectasis was made and the patient was treated with low-dose oral prednisolone for 4 weeks, budesonide–eformoterol, and sodium cromoglycate inhalers.
诊断:感染后支扩
治疗:泼尼松龙 4周,布地奈德福莫特罗、色甘酸钠吸入
这个治疗,超出我的认知水平。支扩为什么要吃激素?病急乱投医,医急乱试药?当然了,激素可以减轻感染后的炎症。

He adhered to treatment and significant improvement in symptoms was noted over 6
months. At a review 2 years later, he had complete resolution of symptoms and further improvement in spirometry values , and repeat high-resolution computed tomography showed no evidence of previously noted dilated airways.
病人坚持治疗,6月后症状好转,2年后,各方面都好转,连支气管扩张都好了!
我和我的小伙伴们都惊呆了。

This case highlights the fact that not all radiological postinfective bronchiectatic changes should be considered as irreversible.Early effective therapy should be provided and the patient monitored for resolution。
事实胜于雄辩,影像学发现的支扩,并不都是不可逆的。早期治疗,随访,有希望缓解。
下面是作者提供的精彩图谱,什么时候,国内的文献也有图,有稍微清晰一点的图。

4
再查文献,新中国成立后,1953年在朝鲜把美国,以及美国的跟屁虫们,打的龇牙咧嘴、屁股开花,不得不在停战知情同意书上签字,1958年,志愿军全部撤回中国,就在这一年,Nelson SW就报道了可恢复的支扩:什么都是可以恢复的,就像中国要恢复大唐时代的独立自主,美国也拗不过,美国的跟屁虫就别提了。
病人:医生,我的支气管扩张,能否治好。你一定要把它治好。
医生:先治疗,好不好,以后复查才知道。医生也是人,看病就像地震,知道吗?专家说了,什么时候会地震?地震了,你看看表,看看日历,看看黄历,就知道什么时候地震了!地震有多严重,地震完了,你就知道了。我们地震专家,就知道这么多。我们说的都很准确!你就说我们说的准确不?
非常准确!但是,前提是在地震中幸存,要不然怎么知道地震有多严重?还要有块表!还有眼睛不瞎,要不然怎么看表?还要......

参考文献:
1. 叶枫, 张挪富, 钟南山. 变应性支气管肺曲霉病三例并文献复习[J]. 中华结核和呼吸杂志, 2009, 32(6):434-438.
2. 张莉,周涛,付四毛,刘玉玲.肺炎支原体及衣原体肺炎致支气管扩张27例临床分析[J].临床儿科杂志,2015,(6):567-570.
3. Aung A K, Thompson P J, Teh B M, et al. Pseudobronchiectasis after pertussis and mycoplasma infection[J]. American Journal of Respiratory & Critical Care Medicine, 2012, 186(3):292-4.
4. Nelson SW, Christoforidis A. Reversible bronchiectasis. Radiology 1958;71:375–382.
5. 高分辨率肺部CT(第3版)潘纪戌译。
6. 成人支气管扩张症诊治专家共识编写组.成人支气管扩张症诊治专家共识[J].中华结核和呼吸杂志,2012,35(7):485-492.