45岁的王女士(化名)频繁出现排便疼痛,伴有肛门坠胀感和大便次数增多,苦不堪言。多次在胃肠外科就诊未发现异常,直至近日到妇科检查,终于明确了病因——深部浸润型子宫内膜异位症。经中西医结合治疗,她的不适症状消失,已康复出院。

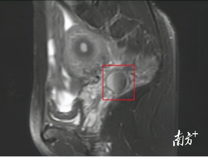
子宫直肠窝囊状异常信号,考虑巧克力囊肿。
“巧克力囊肿”二便难
“每天大便7、8次,感觉肛门坠胀得厉害,但每次量很少,非常痛……”回忆起就医时的情况,王女士依然后怕。最严重的时候,连小便都很困难,她以为是肠胃出了问题,多次到胃肠外科就诊,但结肠镜、超声肠镜等检查均未见异常。后来,在行下腹部MR检查时,发现“子宫直肠窝数个囊状异常信号,左附件区囊性病变,考虑巧克力囊肿。”
接诊的南方医科大学中西医结合医院妇科主任曾朝阳介绍,巧克力囊肿指的是陈旧性积血的囊肿,因呈褐色,黏稠如糊状,似巧克力,故称为“巧克力囊肿”。
经仔细追问病史,得知王女士有痛经病史3年,且症状逐渐加重。进一步妇检发现其子宫后方、直肠前方可触及大小约6x4x3厘米的实性不规则包块,且向两侧骨盆壁靠近,活动差,触痛;肛查发现距肛门约10厘米处可触及不规则肿物;阴道彩超结果示子宫直肠窝混合回声包块,大小5x2.1厘米。
结合多项检查结果,曾朝阳考虑王女士为“深部浸润型子宫内膜异位症”,也就是发生在盆腔的巧克力囊肿。中医辨证为“气滞血瘀证”。
中西医结合消病灶
曾朝阳主任团队为王女士制定了详细的中西医结合治疗方案,在手术治疗前,先采用中药行气治疗,同时使用“复方角菜酸酯栓”缓解排便疼痛症状,再以“双歧杆菌四联活菌片”调节肠道菌群。经调理身体病情好转后,王女士接受了“腹腔镜探查+盆腔肿物切除+肠粘连松解+直肠切除吻合+腹腔引流+诊刮+膀胱镜下双侧输尿管支架置入术”的手术治疗。
术中,曾朝阳主任首先在王女士子宫后下方、肠管间切除大小约6x5厘米的实性肿物致密粘连。因肿物与肠管界限不清,甲乳血管外科/肛肠科黄建强副主任随后为王女士行“肠粘连松解”与“直肠切除吻合”术。术后冰冻与石蜡病理结果分别显示:子宫内膜异位;直肠符合子宫内膜异位,累肠壁全层、盆腔肿物符合子宫内膜异位。
手术顺利完成后,王女士接受了全面的中西医结合康复治疗,包括抗感染、护胃、营养补液、补铁补血等对症支持治疗,并通过针灸促进康复,同时口服“香砂六君子汤”,以补气健脾、升清降浊。
“好久没有这样身心舒畅过了!”经过积极的康复治疗后,王女士排便疼痛、肛门坠胀感已完全消失,各项检查恢复正常,不久便顺利出院。
痛经不孕重视妇检
曾朝阳主任介绍,子宫内膜异位症是指有活性的内膜细胞种植在子宫内膜以外的位置而形成的一种女性常见妇科疾病。子宫内膜细胞本该生长在子宫腔内,但由于子宫腔通过输卵管与盆腔相通,因此使得内膜细胞可经由输卵管进入盆腔异位生长。卵巢、子宫直肠陷凹、宫骶韧带等部位较常见,也可发生于腹腔、胸腔等处。
子宫内膜异位症发生在不同部位,症状有所不同。子宫直肠陷凹、阴道直肠隔的子宫内膜异位症可引起*交性**痛(深部触痛),经期排便次数增加、疼痛,子宫内膜异位至膀胱者,出现有周期性尿频、尿痛、血尿。腹壁瘢痕及脐部的子宫内膜异位症则出现周期性局部肿块及疼痛。肠道子宫内膜异位症患者可出现腹痛、腹泻或便秘,甚至有周期性少量便血。异位内膜侵犯和压迫输尿管时,可出现一侧腰痛和血尿,但极罕见。

曾朝阳提醒,生育年龄女性若痛经逐渐加重或有不孕史,应重视妇科检查,一旦发现可触及盆腔内有不活动包块或痛性结节,要警惕子宫内膜异位症。此外,女性还要注意做好以下几点:
1.防止经血逆流。月经期间,禁止一切激烈的体育运动及重体力劳动;经期避免*生活性**;尽早治疗宫颈粘连等并发经血潴留的疾病。
2.药物避孕。已有子女或暂无生育计划的女性,若有痛经,可选择口服避孕药,既可避孕,又可减少子宫内膜异位症的发生。
3.适龄生育。有痛经史的女性,应尽早生育。
【记者】 江玲
【通讯员 】黄伦 张诚斌