要说到肿瘤细胞免疫治疗界的扛把子,那非CAR-T疗法莫属!
目前FDA批准的CAR-T疗法,对于特定的血液肿瘤类型总体缓解率都能达到80%以上,这些治疗方法已经证实可以诱发的显著反应—即使是生存期仅仅几个月的晚期癌症患者也可以完全根除,在某些情况下强烈响应持续数月甚至数年。
CAR-T疗法虽好,但是对于大部分患者来说还是望尘莫及。且不说在美国其费用较为高昂,普通人家无法承受。另一个原因在于目前仅有血液肿瘤获批,实体瘤尚在早期研究中。
近两年,一种新的癌症细胞疗法逐渐受到关注。研究人员说, 自然*伤杀**(NK)细胞作为一种细胞抗癌疗法更具潜力,它可能会更安全,更便宜,更快速。
CAR-T之父Carl June博士力挺NK细胞疗法
随着科学界对免疫细胞更深入的探索,NK细胞的抗肿瘤性逐渐被挖掘。
如今,就连冠名“CAR-T之父”的CAR-T发明者Carl June教授也力挺NK细胞疗法。

宾夕法尼亚大学教授Carl June博士
对于NK细胞疗法的未来,Carl June教授非常期待,他说,NK细胞疗法可能显著推进肿瘤免疫学领域。而且,他相信NK细胞和T细胞领域具有极大的协同作用,这种组合可能有助于患有严重疾病的患者。
认识人体抗癌第一道防线—NK细胞
人体有两种免疫系统:先天免疫和适应性免疫。适应性免疫的“主力军”包括B细胞和T细胞,能对“敌人”形成长期记忆,再次遇到则激发出强大*伤杀**力,而先天免疫主要依靠NK细胞。
NK细胞 被定义为CD3-CD16+CD56+的淋巴细胞,是人体第三类淋巴细胞,又被誉为天然免疫的核心细胞,约占淋巴细胞循环数的5%~15%。其表面缺少T细胞和B细胞的特异性标志如TCR和Smlg,曾称为裸细胞。 NK细胞最厉害的地方是,不需要抗原递呈过程,不用别人通风报信,就可以直接、快速将外来异物(病毒细菌感染细胞、癌细胞、衰老细胞等)就地正法。

右图中绿色框中红色面积明显大于左图,代表CD16+/CD56+细胞含量多,即经过12天的培养,NK细胞越来越多
抗癌“奇兵”:NK细胞的独特之处
与其他抗癌免疫细胞相比,如细胞毒性T细胞或树突状细胞, NK细胞杀灭肿瘤和病毒感染细胞的作用更强、更有效 。它的激活不依赖于肿瘤细胞表面抗原,也不需要像T细胞一样,要经过免疫系统的抗原辨识反应才确定“攻击”目标。NK细胞游弋在全身血管行使免疫监视功能,它能在第一时间发现并启动免疫防御功能,迅速杀死病变、癌变的细胞,因此被医学界公认为抗癌第一道防线。
正常人每天会新陈代谢数百万个细胞,其中上百个会产生癌变。健康人的NK细胞免疫功能足够强大,可以及时地清理癌变的细胞。但对于癌症患者来说,一方面,肿瘤的生长阻碍了NK细胞在骨髓内的分化、成熟;另一方面,因为癌细胞的侵害,身体中残存的NK细胞战斗力极弱,普遍存在免疫功能低下、不能有效识别、杀灭癌细胞的情况。所以, 健康时的NK细胞比得病时的细胞活性更强、*伤杀**力更胜一筹。
直观了解一下超高清显微镜下的NK细胞攻击并消灭癌细胞(如下图)

“攻击"

“瓦解”

"消灭"
NK细胞免疫疗法在实体瘤中大放异彩
MD安德森癌症中心的免疫治疗专家Katy Rezvani说,NK细胞是集功效、安全性和相对易用性为一体理想细胞疗法。
第一,NK细胞不需要抗原呈递,起效更快速。
第二,NK细胞具有更广谱的抗肿瘤作用。
第三,没有严重的副作用。
上述诸多特点都无不在彰显, 对抗实体瘤,NK细胞可能比T细胞更具优势!
1
肝癌:疾病控制率达71.4%!NK细胞疗法对抗肝癌*伤杀**力强劲!
肝癌可分为原发性肝癌和继发性肝癌,其中继发性肝癌较为少见。原发性肝癌发病隐秘性强,早期诊断难且进展快,是导致癌症死亡的主要原因之一。
目前肝癌的主要治疗手段为手术切除,由于患者确诊时大多已处于中晚期,预后较差,有时会采用放射治疗和介入治疗。对部分不适合手术的患者,只能采用保守治疗,效果并不理想。
据近期科学家研究发现,在原发性肝癌组织中,NK细胞数量明显比其它正常组织中要低,且NK细胞的活性显著降低,而体外培养的 NK 细胞对肝癌细胞表现出明显的*伤杀**作用。 这意味着,NK细胞免疫疗法在肝癌治疗中有着极大的应用价值。
最近一篇发表在《Journal of Modern Oncology(现代肿瘤医学)》杂志上关于自然*伤杀**细胞治疗肝癌的前瞻性研究中,来自暨南大学附属复大肿瘤医院肿瘤研究所的医学者们对2016 年2月~2017年9月收治的17例肝癌患者进行了NK细胞免疫治疗,向患者体内注射了在体外增殖的高活性NK细胞,并对患者病情进行了追踪观察和检测。

治疗结果令人惊喜! 经NK细胞免疫治疗后,所有患者的客观缓解率为14.3%,疾病控制率为71.4%; 从短期临床疗效上看,接受疗程数多的患者疗效稍好于接受疗程数少的患者;且治疗前后,患者均无不良反应出现,充分说明了NK细胞免疫疗法的安全性、有效性。
想寻求NK细胞疗法或CAR-NK细胞疗法及其他国内外治疗新技术帮助,且经济条件允许的情况下,患者可以先将病历提交至 无癌家园医学部进行初步评估。
2
肺癌:国内首个NK细胞联合PD-1治疗非小细胞肺癌成绩斐然!
除了上述疗效外,人类自然*伤杀**NK细胞也会表达PD-1,并且也具有延长晚期NSCLC患者生存的潜力,那么,将PD-1或者其他抗体药物和NK联合起来会不会组成抗癌的王炸呢?
如抗EGFR的西妥昔单抗,西妥昔单抗可以激活NK细胞的ADCC效应(抗体依赖的细胞介导的细胞毒性作用),并启动NK细胞的适应性免疫应答。
目前这项猜想已被实锤!研究证实检查点治疗与其他NK指导的免疫治疗相结合,可以针对目前对现有疗法无反应的多种类型的肿瘤。
近期,一项由广东省蛋白质组学重点实验室姜勇教授团队带领开展的研究,证实了派姆单抗加同种异体NK细胞在先前接受过治疗的晚期NSCLC患者中安全有效。

这项研究的结果非常振奋人心,输注扩增的NK细胞后,患者的NK细胞数量显着增加,抗癌效果倍增。
1. 派姆单抗联合NK细胞疗法的治疗效果是单纯采用派姆单抗治疗组近1倍(客观缓解率:36.5% vs 18.5%),并且肿瘤显著缩小。
2.血液中的循环肿瘤细胞显著减少,肿瘤生物标记物下降,这说明NK细胞能够通过靶向血液中的肿瘤细胞清除体内残余的肿瘤细胞,来防止癌症的复发转移,这对于所有的肿瘤患者都是意义重大的。
3.总生存期和无进展生存期显著延长。

此外,公认的循环肿瘤细胞(CTC)减少能够反映NK细胞通过靶向血液中的CTC来防止转移并减轻残余肿瘤负荷。 此研究是目前所知的第一个研究派姆单抗和NK细胞输注联合使用的安全性和有效性试验,派姆单抗联合NK细胞在先前接受过治疗的PD-L1+晚期非小细胞肺癌患者中提高了生存率。
该研究结果表明,将抗PD-1或抗PD-L1抗体与NK细胞联合使用可增强抗肿瘤作用,并为先前接受过PD-L1+晚期治疗的非小细胞肺癌患者提供潜在的治疗策略。
3
结直肠癌:脐带血NK细胞,为结直肠癌患者带来新的治疗选择!
随着精准医学的不断发展,癌症治疗已由“一刀切”转变为个性化治疗,而医学研究者们也纷纷向NK细胞疗法下手,希望能够给结直肠癌患者带来新的治疗选择,而脐带血NK细胞疗法就是其中的一个。

我国的研究团队发表在《Human Gene Therapy》杂志上的一篇论文中,研究者成功地将脐带血(UCB)中的NK细胞通过膜结合白细胞介素(IL)- 21进行扩增,命名为 eUCB-NK细胞 。在动物试验中,证明了脐带血NK细胞具有较强的体内抗肿瘤活性, 适用于晚期结直肠癌患者 。 联合贝伐单抗可以增加 NK细胞浸润,发挥更好的治疗效果。
4
胃癌:胃癌NK疗法CYNK-101潜力巨大!FDA授予双重认定!
CYNK-101是由特定类型的免疫细胞 NK 细胞制成的一种同种异体、现成的 NK 细胞产品,来源于人胎盘造血干细胞,经过基因修饰以表达高亲和力和抗切割的 CD16 (FCGRIIIA) 抗体来增加NK细胞*伤杀**活性。
2022年1月,FDA授予全新的细胞疗法-基因修饰、冻存人胎盘造血干细胞衍生自然*伤杀**(NK)细胞CYNK-101疗法快速通道资格。
2022年2月15日,FDA再次授予CYNK-101疗法孤儿药资格,与标准化疗、抗HER2抗体曲妥珠单抗(trastuzumab)和PD-1*制剂抑**Keytruda联用,一线治疗局部晚期不可切除或转移性晚期 HER2阳性胃癌或胃食管结合部腺癌患者!
CYNK-101建立在独特的胎盘来源的NK细胞基础上,与其他细胞来源相比,它具有自然增强的增殖潜力,已被证明是持久性和功效潜力的决定因素,有望改善G/GEJ癌症患者,以及其他癌症患者的生活。
NK细胞疗法针对多种类型的肿瘤!
NK细胞中的PD-1在几种癌症中高表达, 包括头颈癌,甲状腺癌,霍奇金淋巴瘤(HL),消化道癌(食道癌,肝癌,大肠癌,胃癌和胆道癌),乳腺癌,卡波济肉瘤,肾细胞癌和多发性骨髓瘤。 当PD-L1阴性的肿瘤对抗PD-L1治疗有反应时,这种作用可能是由PD-L1+NK细胞介导的。PD-L1+用抗PD-L1处理的NK细胞显示出增强的激活和效应子功能。
给NK细胞装上“弹头”,CAR-NK*伤杀**力倍增
目前用于肿瘤免疫治疗的NK细胞策略有:体外活化的自体或异体NK细胞治疗;联合NK细胞和单抗药(如免疫检查点*制剂抑**)来诱导抗体特异的细胞毒性;构建CAR-NK细胞免疫疗法。而CAR-T细胞疗法取得的成功激发了人们对用CAR基因修饰NK细胞来增强其杀肿瘤能力的热情。
CAR-NK就是利用基因工程给NK细胞加入一个能识别肿瘤细胞,并且同时激活NK细胞杀死肿瘤细胞的嵌合抗体。 嵌合抗原受体能显著提高NK细胞疗效特异性。这个思路和CAR-T的构建类似:CAR包括胞外的识别结构域(如scFv)识别肿瘤特异性抗原;一个跨膜结构域,和一个胞内信号结构域(CD3ζ 链)可以诱导NK细胞的活化。
大放异彩,CAR-NK疗法在实体瘤中的成就不容小觑
1 创新CAR-NK疗法FT536获FDA批准用于临床试验
2022年1月10日,Fate Therapeutics公司宣布, 美国FDA已批准FT536的新药临床研究(IND)申请。FT536是一款经过多重工程修饰、诱导多能干细胞(iPSC)衍生的“即用型”嵌合抗原受体(CAR)自然*伤杀**(NK)细胞疗法。

FT536表达一种特异性靶向I类主要组织相容性复合体(MHC)相关蛋白A和B(MICA/MICB)α3结构域的新型CAR。
MICA和MICB属于应激蛋白,在许多实体瘤上高水平表达。癌细胞经常通过MICA/B的α1和α2结构域的蛋白水解脱落来逃逸免疫细胞识别。此前有研究发现,靶向MICA/B的α3结构域的抗体能够特异性地阻止MICA/B脱落,恢复NK细胞介导的免疫力。
此次FT536获批临床应用, 表明MICA和MICB正在成为广泛的实体瘤中令人兴奋的癌症免疫疗法靶标, 而FT536也代表了一种靶向这些应激诱导配体的新型治疗策略。关于此款疗法的多中心I期临床试验开展的肿瘤类型包括:晚期非小细胞肺癌、结直肠癌、头颈癌、胃癌、乳腺癌、卵巢癌和胰腺癌。
2 “现货型”CAR-NK疗法向“癌王”胰腺癌发起进攻
2022年1月6日,在国际胃肠病领域权威杂志《Gastroenterology》刊登了希望之城国家医学中心和细胞疗法创新公司CytoImmune Therapeutics合作开发的重磅研究,研究结果显示,以前列腺干细胞抗原(PSCA)为靶点的“现成”的CAR-NK疗法能够显著抑制胰腺癌。
这款被称为CYTO NK-203的治疗方法,是一种现成的同种异体 CAR-NK 细胞疗法,源自脐带血,并具有提高 NK 细胞安全性和*伤杀**功效的一种潜在的疗法。
CYTO NK-203在人类转移性胰腺癌小鼠模型中效果显著,在小鼠体内持续存活超过90天,显著延长其寿命,且未显示出治疗相关毒性,这项临床前研究支持该疗法在今年进入人体临床试验。
研究团队认为这种CAR-NK疗法对胰腺癌治疗充满希望,原因有两个:首先,该疗法基于精准医学方法,靶向胰腺癌患者的特殊靶点——PSCA;这是一种免疫疗法,使用工程化的人类自然*伤杀**细胞,被改造为专门攻击癌细胞。
此外,由于前列腺干细胞抗原(PSCA)在胃癌、前列腺癌中也同样高表达,因为这款CAR-NK细胞疗法同样对胃癌和前列腺癌的治疗充满希望。
3 国内首个“现货型”CAR-NK临床试验获药监局批准
2021年11月11日,国家药监局药品审评中心通过了一款我国自主研发的针对“ 晚期上皮性卵巢癌治疗的靶向间皮素(Mesothelin,MSLN)嵌合抗原受体NK细胞(CAR-NK)注射液 ”(简称:CAR-NK注射液)的临床试验申请。
据无癌家园获悉, 此款产品是国内首例“现货型”异体来源的CAR-NK产品。这也标志着我国的免疫细胞药物治疗实体瘤的研究迈入了新的里程碑!

此款CAR-NK疗法的研发有利于提高卵巢癌的治疗效果和改善患者生活质量。而且“现货型”的产品可进行标准化批量生产,从而扩大治疗机会,减少治疗成本,临床普及性较高。
4 1年生存率翻一倍,CAR-NK疗法在实体瘤中疗效暴增
近期,《临床肿瘤研究》杂志发布了一项针对肺癌的2期临床试验。热休克蛋白70(Hsp70)在70%左右的中晚期肺癌中高表达,NK细胞在体外先用Hsp70激活,相当于在体外先让NK细胞与未来的敌人先遭遇、先“结仇”,然后回输给病人,让NK细胞在体内正式与癌细胞殊死搏斗——这样一种在体外先用抗原肽刺激、赋予NK细胞一定特异性的作法,是近年来研究的热点。
这项临床试验一共入组了16例III期非小细胞肺癌患者,一组接受传统的放化疗综合治疗,一组接受放化疗联合Hsp70预激的NK细胞回输治疗。
结果显示: Hsp70预激的NK细胞回输治疗,配合传统的放化疗,可以将1年的生存率从33%翻倍到67%,初步结果振奋人心。
接下来,小编展示联合疗法中一个典型的成功案例,如图所示: 治疗1~2个月后复查,肺部肿瘤完全消失,并且疗效已经保持了18个月。

5 晚期非小细胞肺癌患者采用改良CAR-NK治疗后,肿瘤显著缩小!
一项于2022年5月3日发表于《Cell Transplantation》上的研究中,报道了采用改良后的CAR-NK疗法治疗晚期非小细胞肺癌患者的病例分析。
国内研究者们首先在体外验证了CCCR-NK92细胞对肺癌细胞系的*伤杀**作用,最后,在人肺癌NOG小鼠皮下异种移植模型中进行了动物实验,用 CCCR-NK92 细胞处理的小鼠的肿瘤体积明显小于对照组,在实验小鼠中未观察到明显的毒副作用。
此后,他们设计了一项II期临床试验来评估CCCR-NK92 细胞疗法的疗效和安全性。
2017年2月2日,69岁的女性患者被确诊为非小细胞肺癌,影像结果显示颅内转移,而基因检测显示 Exon-19 19-del 突变和 T790 突变,以及肺组织中 PD-L1 表达≥1%。她第一次服用吉非替尼 3 个月。然而,由于疾病进展,她改用奥希替尼 10 个月。之后,她因颅内转移于 2018 年 7 月 13 日接受了头部放疗。3个月后给予靶向治疗药物和局部放疗,然后于2018年9月27日进行评估。她因害怕副作用拒绝化疗。考虑到她的条件合适,她参加了包含用于 NSCLC 的 CCCR-NK92 细胞的临床试验。
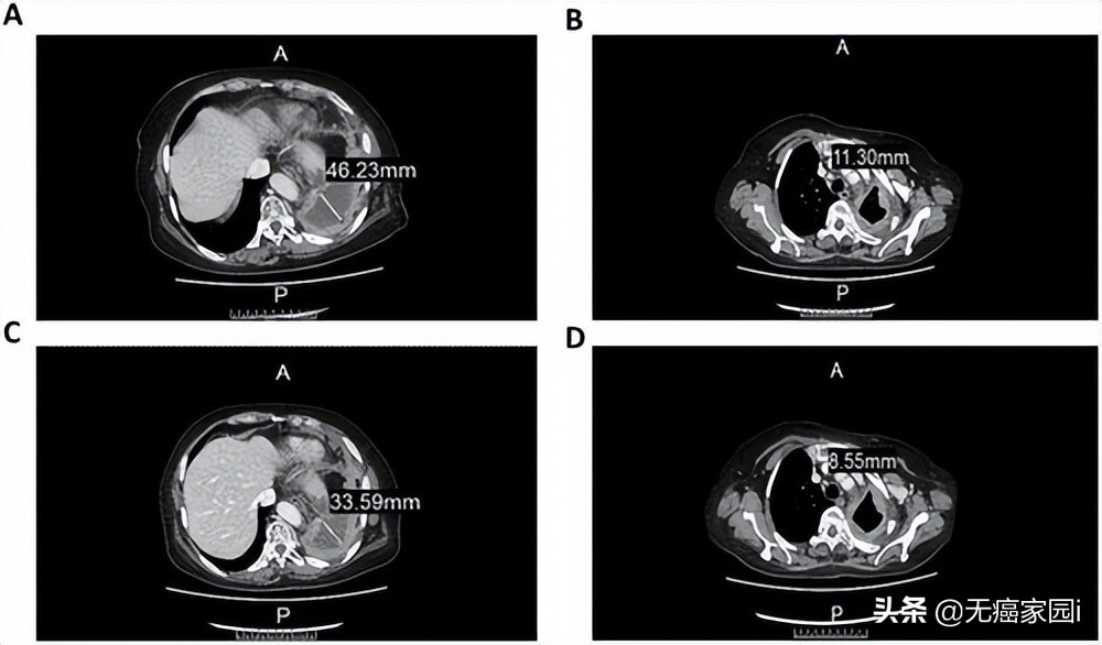
经3周期的治疗后,CT图像显示细胞疗法在治疗肿瘤方面具有一定的疗效。具体来说,左肺包裹的胸腔内液体从46.22mm减少到 33.59mm(图 2A ~2C),而前气管-后腔静脉间质区域的淋巴结从11.3mm减少到8.55mm(图2B~2D)。

6 采用靶向NKG2D的CAR-NK细胞治疗结直肠癌,安全且可行!
在2020年一篇广州医科大学的硕士学位论文中,我国研究学者采用靶向NKG2D的CAR-NK细胞治疗结直肠癌患者,其初步疗效值得肯定,且具有安全性。
本研究中,采用局部输注 NKG2Dp CAR-NK的方式治疗了3 例转移性结直肠癌患者。前两例患者腹腔输注低剂量 CAR-NK 细胞后,可观察看 腹水生成量减慢以及腹水样本中肿瘤细胞的数量急剧减少 。 第三例肝转移瘤患者 采用超声引导下瘤内经皮注射和腹腔内灌注方式输注 CAR-NK细胞后, 多普勒超声可见肝部肿瘤快速缩小 ,正电子发射断层扫描 (PET-CT)提示经治疗的肝病灶为完全代谢反应。 3 例患者在治疗过程中均无出现3级或以上的不良事件。

第3例患者多普勒超声成像显示局部注射 CAR-NK 细胞降低肝转移病灶肿瘤负荷

CAR-NK 细胞治疗后肝转移病灶 PEC-CT 结果对比图
(患者肝Ⅵ段的最大氟脱氧葡萄糖(FDG)摄取值从 8.2 降至 0.14,经评估为完全代谢缓解)
本项研究结果初步显示 NKG2D mRNA CAR-NK细胞局部输注治疗转移性结直肠癌患者具有安全性和可行性,为肿瘤免疫治疗提供了一种新的策略。
除了上述提到的国内外临床研究外,CAR-NK细胞还对胶质母细胞瘤和神经母细胞瘤、肝癌等的疗效颇佳,特异性识别和高效*伤杀**乳腺癌肿瘤细胞,对多发性骨髓瘤疗效显著。
NK细胞治疗前景广阔,未来可期!
CAR-NK细胞疗法是一个很有前途的临床研究领域,对某些癌症患者具有良好的安全性和初步疗效。与CAR-T细胞相比,CAR-NK细胞具有自己独特的优点,但仍面临着一些挑战。这些挑战包括细胞增殖的改善,使细胞毒性的激活更有效,以及最终找到NK细胞的最佳重建方法。相信解决好这些问题,基于NK细胞优秀的抗肿瘤血统,极有可能在CAR修饰的武装下为肿瘤治疗带来新的突破。
鉴于CAR-T的成功、CAR-NK的快速发展,将CAR工程技术沿袭用于其他类型免疫细胞的工程化改造引起了研究者们极大的兴趣。
根据这种基因工程技术,CAR-NKT、CAR-巨噬细胞(CAR-M)、CAR-Treg、CAR-γδT等异军突起,在肿瘤的免疫治疗中展现出广阔的前景。之前无癌家园小编就给各位癌友们介绍过以CAR技术为核心的各大新型细胞疗法的研究进展。
详情请戳:用免疫细胞治病救命!CAR-T、CAR-NK、CAR-NKT、CAR-M疗法直击各大癌种!
总之,小编坚信,在未来将会有越来越多的细胞免疫技术和药物联合使用的试验不断涌现,只要不放弃任何一点希望,攻克癌症指日可待!
相关文章:这个杀手不太冷——看NK细胞如何捍卫在抗癌第一线
抗癌的天生战士,NK细胞疗法有望成为免疫治疗界的新宠
本文为无癌家园原创,转载需授权