
来源:影领学苑
商务合作:2519330936@qq.com
两肺含有空气,因而可与周围组织及器官形成鲜明的自然对比,胸部x线平片为诊断提供了极为有利的条件。由于胸部x线影像是胸腔内、外各种组织和器官重叠的复合影像,同时常常存在解剖变异等因素,因此掌握正常x线解剖是识别和分析胸部病变的基础。
一、胸廓
正常胸廓由软组织与骨骼组成,两侧对称(如下图)。

(一)软组织
1、胸锁乳突肌及锁骨上皮肤皱褶 胸锁乳突肌起自胸骨柄及锁骨内端,向后上方斜行,止于乳突,在两肺尖内侧形成外缘锐利且较均匀的致密阴影。在胸骨头和锁骨头及锁骨之间形成一个小三角间隙,叫锁骨上窝或胸锁乳突肌间隙。当颈部偏斜时,两侧胸锁乳乳突肌阴影可不对称,勿误为肺尖部病变。锁骨上皮肤皱褶为与锁骨上缘平行的薄层软组织影,其厚度为3~5mm,内侧与胸锁乳突肌阴影相连,略成直角,系锁骨上皮肤及皮下组织的投影。
2、胸大肌起于锁骨的外侧分,胸骨和第1~6肋软骨,肌束行向外上方,至于肱骨大结节嵴。在肌肉发达的男性,于两肺中部的外侧形成扇形均匀致密影,下缘锐利呈斜行曲线,自肺野伸向腋部,与腋前皮肤皱褶相延续。
3、乳房及乳头 女性乳房于两下肺野形成半圆形的密度增高影,其下缘清楚,并向外与腋部皮肤连续,上缘不清,且密度自下而上逐渐变淡以至消失,其位置随年龄的增长而下垂,一般两侧对称。乳头在两下肺野相当于第5前肋间处形成边缘清楚的小圆形致密阴影,乳房越薄,乳头影境界越清晰,其特点亦为左右对称。青春期乳头呈半球状,约在第2~6肋之间。妊娠期乳腺可明显增大,至哺乳期结束后,乳房逐渐缩小,失去弹性而下垂,到老年期,乳房逐渐萎缩。
(二)骨骼 胸廓前有胸骨、锁骨,后有胸椎、肩胛骨,肋骨则围绕其间。
1、肋骨共12对,每根肋骨分为前肋、腋段和后肋三段:同一肋骨前后段的位置不同,一般第6前肋与第10后肋等高。前段扁薄,密度略低,自外上向内下倾斜走行并形成肋弓;后段圆厚,密度略高。呈水平状向外下走行;在无变异的情况下,两侧肋骨的位置及肋间隙的宽度基本对称,故肋骨及肋间隙常被用作胸部病变的定位标志。第1~10肋骨前端有肋软骨与胸骨连接,因肋软骨未钙化时不显影,故肋骨前端多呈游离状。25岁以后第1对肋软骨首先钙化,其他肋软骨随年龄增长,自下而上逐条钙化。第一肋骨常常显示不规则钙化区,尤其是中年以后。下部诸类也显示局限性的钙化,即使在成年人也是这样。在女性的软骨钙化常常示不规则的,造成斑点状形态。而在男性钙化可以局限于软骨之上下缘,造成线样阴影。有时下肋部肋软骨的钙化极为广泛,造成下肺野内带不规则的斑点状致密影。肋骨有很多种先天变异(下图),常见的有以下几种:

(1)颈肋自第7颈椎处发出,可发生于一侧或两侧,较第1对肋骨小,并往往较直而不呈弧形。有时第1对肋骨发育不完全,形态与颈肋相似,但根据第7颈椎的两侧横突向下倾斜,而第1胸椎的两贸横突向上倾斜的特征,可协助判断肋骨的起源:
(2)叉状肋为最常见的肋骨变异。多发生在第3、4肋骨,表现为肋骨前端呈叉状,亦可同时伴有增宽或缩短变形;或一支膨大另一支短小;或在肋骨上仅见一骨性突起;或在分叉的前端呈环状畸形。
(3)肋骨联合常见于第5、6肋骨后段近脊柱旁,相邻肋骨间有骨性联(又称骨桥),肋间隙变窄。
(4)肋骨缺如或发育不全。
在常规前位x胸片上,肋骨特别是其后部非常分明,第一肋骨的前端宽大恰好位于锁骨水平之下,由此可以识别,也可以借助和他构成关节的第一胸椎至关系来识别。第一胸椎和第七颈椎的鉴别可由他们的横突方向来判断,前者横突下上,向外倾斜,而后者横突指向下外方。这种鉴别对于有颈肋者颇有价值,因为有时颈肋很长与第一肋骨极为相似。
2、肩胛骨在标准后前位胸片上,应投影于肺野之外,如两肩向前旋转不够或于前后位,尤其是卧位投照时,胛骨影可呈带状重叠于中上肺野的外侧部。
3、锁骨 在标准后前位胸片上,两侧锁骨内端亏蝇骨柄形成胸锁关节,该关节到中线的距离应相等:两侧锁骨外端与肩峰形成肩锁关节。
4、胸骨 在标准后前位胸片上,大部分胸骨与纵隔阴影重叠,仅胸骨柄两侧外上缘可突出于纵隔影之外,投照位置略有偏斜时尤为常见,其在侧位和斜位片上可全貌显示。
5、胸椎在标准后前位胸片上,胸椎位于纵隔阴影内,透过气管影可清晰显示第1~4胸椎,而心脏后方的胸椎仅隐约可见。
二、胸 膜
胸膜为菲薄的浆液膜,分壁层和脏层。壁胸膜贴附于胸壁内、膈上和纵隔的两侧面,按其所在部位分别命名为肋胸膜、膈胸膜和纵隔胸膜。脏胸膜包绕于肺的表面,并深入肺叶之间,形成叶间裂。叶间裂包括两层脏胸膜,分别包绕于相邻两个肺叶的表面,称叶间胸膜。右肺有两个叶间裂,即斜裂和横裂(水平裂),左肺只有一个叶间裂,即斜裂。壁胸膜和脏胸膜之间有潜在的密闭腔隙称胸膜腔,胸膜腔内为负压,使肺呈膨胀状态;胸膜腔内有少量浆液,在呼吸时起滑润作用,该体液是由壁胸膜分泌,脏胸膜吸收,经常保持一定数量,仔细观察,正常人也能见到。
某些正常人可发生叶间裂不分、分裂不全或出现多余叶间裂等变异情况,因而叶间胸膜也发生相应的变化(参阅肺副叶)。
由于胸膜极为菲薄,x线检查时一般不能看到,只有在胸膜转折处,且x线与其走行方向平行时,才能在x线片上显示。以下几处正常胸膜可以显影: (一)肺尖部胸膜转折(第1、2肋骨伴随阴影)在正位胸片上,于肺尖部沿第1、2肋骨的下缘可见1~2mm宽的线条状阴影,边缘光滑,称为伴随阴影。
系胸膜在肺尖部的转折处以及胸膜外的一些组织的投影。
(二)叶间胸膜转折(叶间裂)
1、斜裂 一般在正位片上不能显示.在侧位片上表现为自后上斜向前下的线条状阴影:右德斜裂的后端起始于第4、5胸椎水平,斜向前下方走行,止于膈面距前缘2~3cm处,与膈顶部的水平面约成50°角;左侧斜裂后端起始点较右侧稍高,在第3~4后肋端水平,因而其倾斜度也较右饲稍大,前下端达肺的前下角处,与膈顶水平面约成60°角。叶间胸膜面通常略有弯曲,斜裂上半部稍斜向外,下半部稍斜向内,故在侧位片上可成s形。

2、横裂又称水平裂,约70%的人正、撼位胸片均可显影。在正位片上表现为右中肺野横行细线状阴影,从第6肋腋部水平自外向内延伸.并止于肺门外lcm处。可向上或向下倾斜10:左右或略成曲线;在侧位片上,横裂起白斜裂中部,向前呈水平方向走行达前胸壁。其位置的改变可作为判断肺体积变化的标志(如上图)。
某些正常人可发生叶间裂不分、分裂不全或出现多余叶间裂等变异情况,因而叶间胸膜也发生相应的变化(参阅肺副叶)。

三、肺
(一)肺野
纵隔两旁含气的肺在胸片上所显示的透明区域称肺野,其透明度随呼吸而改变,深吸气时肺内含气量增多,透明度增高,呼气时则相反。
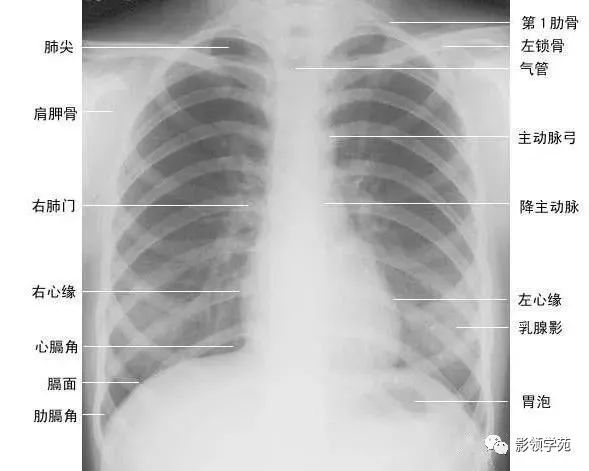
为便于指明病变的部位,通常人为地将一侧肺野纵向分为三等分,即内、中、外带。又分别在两侧第2、4肋骨前端下缘划一水平线,将肺野横向分为上、中、下三个肺野。一般将第1肋圈外缘以内部分称为肺尖区,将锁骨以下至第2肋圈外缘以内部分称为锁骨下区,将最下肺靠近膈面的部分称为肺基底部(如上图)。
(二)肺叶
在胸片上不能显示各肺叶的界限,但可通过正侧位胸片上显影的叶间胸膜推断肺叶的解剖范围。右肺分为上、中、下三叶;左肺分为上、下二叶(如上图)。
1、右肺上叶正位胸片上,在横裂以上的肺野大部分属于右肺上叶,仅后方下部和下叶的上部相重叠:右侧位胸片上右肺位于横裂上方、斜裂前方:
2、右肺中叶在正位片上,中叶在横裂以下,内邻右心缘,下接右膈顶,占据心膈角,外缘界限不清,不占据右肋瞒角。右侧位片上中叶在前下部,位于横裂下方和斜裂下部的前方,呈尖朝肺门的三角形。
3、右肺下叶 在正位片上,上部与右上叶重叠,下部与中叶重叠。右下叶上部投影到横裂上方,下缘接触右膈,占据右肋膈角,并与心脏右缘邻接。右侧位片上,右下叶位于斜裂后方,呈尖朝上的犬三角形。
4、左肺上叶 左肺上叶的范围和形状大致相当于右肺上叶和中叶所占据的肺野。
5、左肺下叶左肺下叶相当于右肺下叶所占据的肺野。除上述肺的分叶外,还可有先天变异而出现额外肺叶,称为肺副叶。副叶由肺叶间裂伸入肺叶内所形成。常见有下列4个:
(1)奇叶系因奇静脉位置异常所致,发生率约为0.5%。胚胎发育早期,奇静脉跨于右肺尖,在肺曩上发育时,奇静脉应下移至肺尖内侧,最后固定于右侧纵隔内肺根上方。若这种滑移动作受阻,奇静脉即嵌入右肺上叶肺尖部,壁胸膜和脏胸膜也随之陷入,所以奇副裂由四层胸膜所组成,即两壁胸膜和脏胸膜,被奇静脉分隔的右肺上叶内侧部分称为奇叶。后前位胸片上,奇副裂呈细线状影,由右肺尖部向内、下走行至肺门上方,终端呈一倒置的逗点状,是奇静脉断面的垂直投影(如下图):

(2)下副叶(心后叶)系下副裂自膈内侧部向下叶基底部伸入,把内侧基底段分隔成为独立的肺叶所致,发生率为6%~10%。两侧均可发生,以右侧多见。后前位胸片上,下副裂呈细线状影由膈面内侧向上、向肺门方向斜行,其长度随副叶伸入的程度而不同,下副裂的内侧部即为下副叶。
(3)后副叶在下叶背段下缘的后副裂呈水平方向伸人,把背段分隔为单独的肺叶,多见于右侧。其易在侧位胸片上显示,表现为一横行细线状影,与横裂约在同一平面;在后前位胸片上偶尔也能显示。
(4)左中副叶是左横副裂把舌叶与上叶其他部分分隔成为单独的肺叶,相当于右肺中叶。
(三)肺段
每个脯叶由2~5个肺段组成,各有单独的支气管。一般右肺分为10个肺段,左肺分为8个肺段。肺段多呈楔形,尖端指向肺门,基底指向肺的外围(图7-8、7-9)。正常情况下,x线平片不能显示肺段的界限,只有当肺段发生病变(如实变或不张)时,才能从相邻肺段对比下识别出来。

(四)肺小叶
肺段由许多肺小叶组成,其直径为1~2cm。每个肺小叶支气管分出
3~5支终末细支气管,每支终末细支气管支配小叶的一部分称为腺泡(即呼吸小叶),其直径约6mm。终末细支气管在腺泡内继续分出1、2、3级呼吸细支气管,以后再分为筛泡小管、肺泡囊,最后为肺泡,肺泡壁上有肺泡与呼吸支气管之间的通道(lambert孔)和肺泡之间的通道(kohn孔)。从呼吸性细支气管开始至肺泡.属于肺换气部分,其近侧的支气管都属于通气部分。(如下图)

小叶肺动脉伴随其进入肺小叶,小叶周围有疏松的结缔组织与其他小叶分隔,称为小叶间隔,其中有小叶肺静脉和淋巴管。正常胸片上。不能显示肺小叶和腺泡的轮廓。单个腺泡的直径4~7mm,当一个腺泡充满造影剂、渗出液、漏出液或肉芽组织等后,其在胸片上表现为类圆形结节状致密影,其形态如花瓣状,称为“腺泡结节”,是x线片土能识别的最小肺实质单位,因而可视其为肺实质的基本解剖单位。
(五)肺实质与肺间质 肺组织由肺实质与肺间质组成。肺实质为肺部具有气体交换功能的含气间隙及结构,包括缔泡与肺泡壁;肺间质是支气管和血管周围、肺泡间隔及脏胸膜下由结缔组织所组成的支架和间隙。
(六)肺门 x线肺门指肺动脉、肺叶动脉、肺段动脉、伴行支气管以及肺静脉构成。
1、正位肺门影后前位胸片上,肺门位于两肺中野内带第2~4前肋间处,通常左侧肺门比右侧高1~2cm,两肺门的大小和密度大致相等。
(1)右肺门可分为上、下两部。上部约占113,由上肺静脉、上肺动脉及下肺动脉后回归支构成。上肺静脉下后干构成右上肺门的外缘;右肺门下部 约占213,由右下肺动脉干构成,其正常宽度不超过15mm,沿中间段支气管外缘平行向外下走行。右肺门上、下部相交形成一钝的夹角,称肺门角,正常该角顶清晰。
(2)左肺门亦分为上、下两部。上部由左肺动脉及其分支、左上叶支气管和左上肺静脉及其分支构成;下部由左下肺动脉及其分支构成,常被心影所遮盖(如下图)。

2、侧位肺门 侧位胸片上,两饲肺门阴影大部分重叠,若以侧位气管轴线为界,右肺门略信其前下,左肺门大部分在其后上。侧位肺门影前缘为右上肺静脉干形成的椭圆形阴影,前后径为2cm左右;中间纵行透亮区为气管及气管分叉,其内圆形透亮影表示支气管开口,右侧在上,左侧居下;后上缘为左肺动脉弓,下缘由两下肺动脉构成下行的树枝状影。因此,侧位肺门影似一尾巴拖长的“逗号”(如上右图):
(七)肺纹理
肺纹理为自肺门向肺野呈放射状分布的树枝状阴影,它主要是肺动脉的投影,肺静脉、支气管和淋巴管也参与形成。平片可显示肺纹理的多少,粗细.分布,有无扭曲、变形与移位等。肺纹理由肺门向外围延伸,逐渐变细,至肺野外带渐细小而稀少,距侧胸壁内缘约1cm范围内的肺野基本无肺纹理可见(图下图)。

(八)肺的辩巴引流
肺的淋巴循环非常丰富,肺淋巴管网分为三组.酃胸膜淋巴管网、血管周围淋巴管网和支气管周围淋巴管网。肺的淋巴引流分为深浅两层:胸膜淋巴管网,属于浅层,分布于胸膜内,在胸膜中再汇集成几支主要淋巴管,引流人支气管肺淋巴结(即肺门淋巴结);血管周围淋巴管网和支气管周围淋巴管网属于深层,首先在肺泡管周围形成淋巴管丛,并汇集成几支淋巴管,这几支淋巴管包绕于支气管、肺动脉和肺静脉的外周,最后引流至支气管肺淋巴结。深浅两层淋巴管之间有吻合支。两肺淋巴引流到纵隔淋巴结的分布,有一大致的范围,每侧肺均可分为上、中、下三区,这种分区与肺叶的划分是不一致的(如图)。

四、气管与支气管
在高千伏或常规胸片上,气管和肺门区的主、叶支气管可以显示;肺段以下支气管因与周围含气肺组织缺乏对比,而不能显示。须借助于支气管造影方能显示其分布和腔内状况。
气管起自喉部环状软骨(12~19个,多为14~16个)下缘(相当于第6~7颈椎平面),长10~13cm(男子10.63cm,女子9.8cm),宽1.5~2.0cm(男子2cm,女子1.8cm),在第5~6胸椎平面分为左、右主支气管,其远端形成隆突角(或气管分叉角),正常该角为60°~85 °(女子略大于男子)。右侧主支气管粗短、陡直,平均长约2. 5cm,与体轴中线的夹角为20°~30°;左侧主支气管细长、倾斜,平均长约5cm(男子较女子稍长),与体轴中线的夹角为40°~55°。由于支气管的形态特点和右肺容积比左肺大,故气管内异物坠入有支气管的机会较多。两侧主支气管分别分出肺叶支气管,继而再分出肺段支气管,并继续逐级分支,直到终末细支气管。
右侧支气管分为上、中、下肺叶支气管及其所属10支肺段支气管。上叶支气管与右主支气管几呈直角向外侧分出,进入上叶后随即分出尖、后、前三支肺段支气管。自上叶开口向下至中叶开口的一段支气管是中间段支气管,无任何分支。自中间支气管下段前壁发出中叶支气管的内、外两支肺段支气管。下叶支气管为中间段支气管的直接延续.宽约1cm,主干甚短,共分为背支、内基底支、前基底支、外基底支和后基底支5支肺段支气管:在正位片上,四基底支自外向内的顺序,依次为前、外、后、内;侧位片上,自前向后依次为前、内、外、后。左侧支气管分为上、下肺叶支气管及其所属8支肺段支气管。左上叶尖后支相当于右上叶的尖支和后支;左下叶前内基底支相当于右下叶的前、内基底支;左侧无中间支气管,相当于右中叶的左上叶舌支直接开口于上叶支气管(如下图)。

五、膈
隔为一薄层肌腱组织,位于胸腔和腹腔之间,分左右两叶,各呈圆顶状,其上、下面分别为胸、腹膜昕覆盖。膈上各肌束之间有三角形裂隙,有数孔道供贯通胸腹腔的结构经过,其三角区和孔道均构吱横瞒的生理薄弱点,是膈疝的好发部位。膈肌的运动是呼吸动作的重要部分,占肺活量的60%。膈吼收缩时,圆顶减小并降低;弛缓时,圆顶抬高。膈的运动幅度在平静呼吸时为1~3cm,深呼吸时为1~5 cm。两膈的活动度大致对称。
在正位胸片上,膈显示为圆顶状阴影,边缘光滑整齐,顶峰靠近中内1/3处。内侧与心脏形成心膈角。外侧与胸壁相交形成肋膈角;在侧位片上,圆顶部靠前,前端与前胸壁形成前肋膈角,后部与后胸壁形成后肋膈角,正常时前、后肋膈角均为锐角,后肋膈角位置最低。右膈顶的位置,一般与第6前肋或第10后肋等高,多数人右膈比左膈高1~2cm,这是因为心脏位置偏于胸腔左侧,故而将左膈压低。膈的位置在正常时可有若干变动:例如儿童膈位置较高,老年人则较低;矮胖型膈位置较高,瘦长型则较低;卧位时膈位置较高,立位时则较低;呼气时膈位置较高,吸气时则较低等。
膈形态的变异有:
①局限性瞒膨出:系蕊部分肌纤维短而薄弱引起张力不匀所致。
②波浪瞒:在深吸气时膈面呈3~4个小弧形隆起影,边缘部相互重叠。这是由于膈个别肌束肥大引起其收缩不均匀所致。
③梯状膈。深吸气时膈面出现数个呈梯状排列、尖端引向外上方的突起影,这是由于附着于各前肋端的膈面被肋骨过度牵引所致(如下图)。

六、纵隔
纵隔位于胸骨之后,胸椎之前,介于两肺中间,富上至下、自前至后把胸腔分为左右两半。其上界是胸腔入口,下界为膈。两侧为纵隔胸膜和肺门。其中有心脏、大血管、气管、主支气管、食管、淋巴组织、胸腺、神经及脂肪等器官和组织。

纵隔的分区对确定纵隔病变的部位和分析病变性贡有重要意义。分区的方法有多种,一般采用九分区法,即在侧位胸片上将纵隔划分为前、中、后夏上、中、下共九个区。前纵隔系胸骨之后,心脏、升主动脉和气管之前的狭长三角形区域,中纵隔相当于心脏、主动脉弓、气管和肺门占据的范围,食管前缘为中、后纵隔的分界线,食管以后和胸椎旁沟 l为后纵隔;自胸骨柄、体交界处至第4胸椎下缘连一水平线,其上为上纵隔,其下至肺门下缘的水平线(相当于第4前肋端至第8胸椎下缘的连线)为中纵隔,肺门下缘的水平线以下至膈为下纵隔(如上图)。后前位胸片上,纵隔在两肺之间形成致密阴影,隙气管和主支气管可以分辨外,其余结构间无明显对比,只能看到其与肺部邻接的轮廓。正常时因胸腔两侧压力相等,纵隔阴影居中,呼吸时无左右移动。儿童在2岁以下胸腺生长速度较纵隔快,在后前位胸片上常见一侧或两侧纵隔阴影增宽,边缘锐利,通常自上纵隔开始,向下逐渐增大向肺内凸出,下端成角,使增大的胸腺呈三角形,这是典型表现,遵骑踩影酷似船帆,故亦称“船帆征”,尤以呼气时明显(如下图)。

七、心脏大血管
心脏和大血管在平片上的投影彼此重叠,仅能显示各房室和大血管的轮廓,不能见到其内部结构和分界。因此,必须用不同的位置投照,才能使各个房室和大血管的边缘显示出来。常用后前位、右前斜位、左前斜位和左侧位的摄影,分述如下:
(一)后前位
正常心影2/3位于中线左侧,1/3位于右侧,心尖指向左下,心底部朝向右后上方,形成斜的纵轴。后前位心脏大血管有左右两缘:心右缘分为两段,上段为升主动脉与上腔静脉的总合影,在幼年和青年人边缘主要为上腔静脉影向上延伸,在老年人常见纡曲延长的升主动脉影突出于上腔静脉边缘之外;心右缘下段为右心房所构成,有时在心瞩角内可见一向外下方倾斜的三角形影,为下腔静脉攻肝静脉影,深吸气时明显。心左缘分为三段,上段为主动脉弓;中段为肺动脉主干,但偶尔可为左稀动脉构成,称肺动脉段或心腰,此段较低平或稍突出:下段由左心室构成,左心室在下方形成心尖。左心室与肺动脉之间有长约10cm的一小段,由左心耳构成,正常时不能与左心室区分。透视下左心室与肺动脉段的搏动方向相反,两者的交点称相反搏动点,该点上下两侧心缘里“翘翘板”样运动,该点位置是衡量左右心室增大的一个重要标志。肥胖人左心膈角常有脂肪垫充填,为密度较低的软组织影。后前位能了解心胸及肺循环概况,正常人心(h1+h2)胸(t)比率不大于0.5(如下图)。

(右前斜位)
标准右前斜位(又称第一斜位)为后前位向左旋转约45。所得影像。心前缘自上而下由主动脉弓曼升主动脉、肺动脉、右心室漏斗部、右心室前壁和左心室下端构成。升主动脉前缘平直,弓部则在上方弯向后行;肺动脉段和漏斗部稍为隆起;心尖以上大部分为右心室构成。心前缘与胸壁之间有尖向下的三角形透明区称为心前间隙。心后缘上段为左心房,下段为右心房,两者无清楚分界。心后缘与脊柱之间透明区称心后间隙,食管在心后间隙通过,钡剂充盈时显影。右前斜位主要观察右室流出道及左心房大小(如下图)。

(三)左前斜位
从后前位向右旋转约60。得到左前斜位(又称第二斜位).此时室间隔与中心x线接*平近**行。因此.两个心室大致是对称的分为两半,前方一半为右心室.后方一半为左心室。心前缘上段为右心房.下段为右心室,右心房段主要由右心耳构成,房室分界不清。右心房影以上为升主动脉,两者相交成钝角:心后缘可分为上下两段,上段由左心房,下段则由左心室构成。左心室段的弧度较左心房大,两个不同弧度的交接点,可作为两者的分界。通过主动脉窗可兄气管分叉,主支气管和肺动脉,左主支气管下方为左心房影。左前斜位可了解各房室和主动脉情况(如下图)。

(四)左侧位
心影从后上向前下倾斜,心前缘下段为右心室前壁,上段则由右心室漏斗部与肺动脉主干构成,再苣上为升主动脉前壁,直向上走行。这些结构与翦髓壁之间的三角形透亮区称为胸骨后区。心后缘上中段由左心房构成,下段则由左心室构成。心后下缘、食管与膈之间的三角形间隙,为心后食管前间隙(如下图)。

(五)影响纵隔心血管形态的生理因素
正常心血管的大小和形态受年龄、呼吸相、体位和体型等因素的影响而有差异:新生儿纵隔阴影宽而短,随着年龄增长逐渐趋于狭而长;呼气时纵隔阴影相对地变宽而短,吸气时相对地变狭而长;卧位较立位时宽而短;瘦长型较矮胖型者狭而长(如下图)。

【版权声明】本平台属公益学习平台,转载系出于传递更多学习信息之目的,如有图片、内容等不想转载传播可与我们联系删除。
放射沙龙影像学习推荐专区
精品必看,七折优惠!
高培毅《中枢神经系统疾病影像诊断思路》
原价 188元 现七折狂欢价仅需139元
“影像特征都判断对了,为何在影像诊断过程中却频频出错?
影像诊断思路常常理不清怎么办?”
学习高培毅《中枢神经系统疾病影像诊断思路》课程,轻松掌握影像诊断思路普遍套路,省时省力,高效阅片;大量中枢神经系统疾病影像诊断经典病例剖析,学会名师神速阅片思路;学会思维导图的灵活用法,轻松做好影像诊断过程中的加减法,学习阅片两不误。

识别下方二维码
立即*载下**或更新APP购买
▼
福利往这儿看
放射沙龙为了方便更多的放射医生学习
特地为每一位新进入学院的小伙伴们
呈上放射沙龙全场通用10元优惠券
领取方式往下看
▼
领取放射沙龙全场通用10元优惠券
扫描下方二维码进入领取页面
点击下方“阅读原文”领取10元优惠券!