南昌大学第一附属医院心内科郭治彬教授应邀去江西铜鼓县人民医院讲课,讲课题目:急性心肌梗死的诊断与治疗新进展。
视频加载中...


急性冠状动脉综合征(ACS)是指冠状动脉不稳定斑块破裂,血栓形成,导致急性心肌缺血引起的一组临床综合征。包括不稳定型心绞痛(UAP)、急性心肌梗死(AMI)(包括ST段抬高与压低,无Q波型与Q波型)与猝死。从UAP到QMI,在诊断和病理生理上是一个连续体。

ACS发病机制和病理生理:1、动脉粥样硬化斑块的形成。2、动脉粥样硬化的破裂。3、血小板聚集、血栓形成:(1)管腔阻塞不全(40%-75%),呈白色血栓(以血小板为主要成分)。临床表现为:UAP、NSTEMI。(2)管腔完全阻塞(>90%),呈红色血栓(以纤维蛋白为主要成分)。 临床表现为:STEMI。心肌缺血→心电不稳定→猝死。

ACS的诊断:
1、典型心绞痛表现: 一个中心 (胸骨中上段), 上下一条线 (上至咽部下至剑突), 放射到三处 (左肩、左前臂尺侧、下颌),梗死性心绞痛与心绞痛的区别: 程度更重, 时间更长(>20分), 药物(硝酸甘油)不缓解。

2、心电图的表现:(1)超急性期ST-T的动态演变:
① T波基底增宽,振幅增高,伴升降支不对称
② ST段斜直形升高,并发展为ST-T融合
③ R波上升速度减慢,升支钝挫
伴或不伴心肌坏死标志物升高(早期<30-60分可不增高)
注意:
1.重视对应导联的镜像性改变(对应导联ST段压低,T波倒置)
2.及早确立STEMI诊断,并尽快采取溶栓治疗
不应等到心电图出现典型ST段抬高!
不应等到心电图出现Q波形成
更不能等心肌坏死标记物升高后再行溶栓治疗!
超急性期ST-T的动态演变:T波基底增宽,振幅增高

超急性期ST-T的动态演变: T波基底增宽,振幅增高

急性心肌梗死的ECG-典型表现:


ST段改变是ECG诊断ACS的重要依据:
ST段↑胸≥0.2mv,肢≥0.1mv;ST段↓≥0.05mv,出现在2个导联以上, 新出现、持续存在、动态变化。T波倒置可反映急性缺血,大多在0.2mv以上,出现在2个导联以上。Q波通常提示AMI。新的或推测是新出现的; 可定位的; 有意义的(Q波深度>1mm,时间>0.03s)。

3、心肌损伤标志物的表现:
目前公认诊断价值较高的血清标志物为CK-MB、TnT、TnI。其变化规律如下:
(1)CK-MB 胸痛4小时后开始升高,1天左右达高峰, 持续3天后恢复正常。
(2)TnT、I胸痛4小时后开始升高,1天左右达高峰, 持续2周后恢复正常。
(3)CK胸痛6小时后开始升高,半天左右达高峰, 持续3天后恢复正常。
(4)GOT胸痛6小时后开始升高,1天左右达高峰, 持续1周后恢复正常。
(5)LDH胸痛6小时后开始升高,3天左右达高峰, 持续2周后恢复正常。
(6)Mb(肌红蛋白)胸痛2小时后开始升高,9小时左右达高峰, 持续2天后恢复正常。

心肌损伤标志物的意义:
(1)CK-MB对ACS诊断的敏感性、特异性均超过90%,但对微灶性心肌损伤或AMI极早期(症状发作<6h)和晚期(>36h)敏感性低。
(2)Mb是目前在AMI发生后最早的可测指标,缺点是增高持续时间短,诊断AMI特异性很低。6h内<正常上限,可排除AMI;>正常上限,需排除横纹肌损伤。
(3)TnT、I已成为判断心肌损伤的金标准,具有诊断时间“窗口”长的优点,即可敏感测出小灶性、可逆性心肌损伤的存在,也可反应发生严重的大范围的心梗患者的预后。

ACS的鉴别诊断:
1、主动脉夹层: 一开始就巨痛,放射到背、腹、腰,常血压高、不对称脉和血压、体位、呼吸及活动对疼痛无影响,含化硝酸甘油疼痛不缓解,主闭杂音、心电图及心肌酶谱正常、彩超、CT可鉴别。
(1)主动脉夹层的分型:

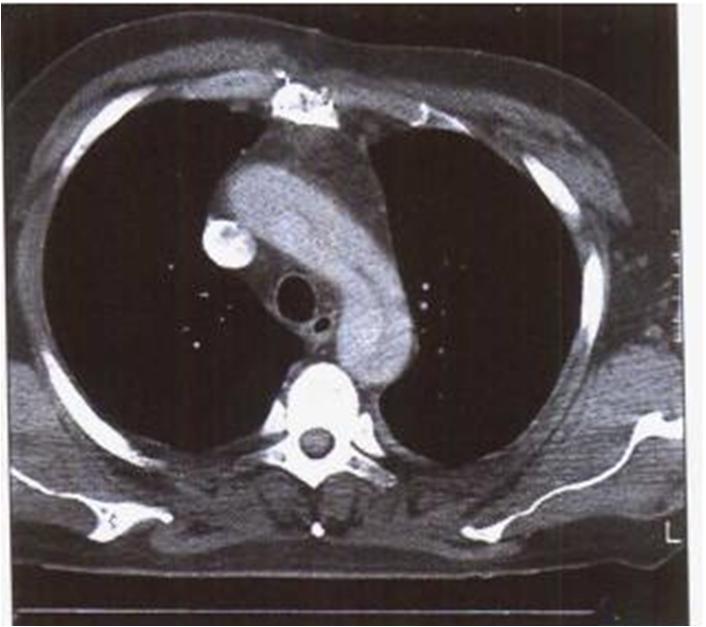
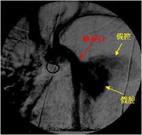
(2)主动脉夹层CT可见: 主动脉腔内见一X-线可穿透的线是内膜夹层

胸主动脉增强CT造影红箭头示主动脉弓破口处:

在MPR, CPR图象中,主动脉夹层的真假腔显示不同密度,真腔明显强化,真腔小而假腔大,真腔明显受压变窄,可见低密度血栓。

(3)主动脉夹层的X-线胸片: 增宽的纵隔和左侧腔积液:

(4)主动脉夹层的心脏彩超:主动脉根部极度扩张,可见撕裂的内膜呈带状回声漂浮于主动脉内

(5)主动脉造影图:

2、急性肺动脉栓塞:呼吸急促、心动过速、发热、紫绀、颈静脉怒张、肺部罗音及P2亢进和突然发生的循环衰竭,D-二聚体升高( D-二聚体正常可除外肺栓塞)。
肺栓塞的心电图表现:(1)、SⅠQⅢTⅢ ;(2)、QRS波电轴右偏;(3)、暂时性右束支完全性或不完全性传导阻滞;(4)、右胸前导联T波倒置。下图可帮助我们理解肺栓塞心电图SⅠQⅢTⅢ的表现:


肺栓塞患者的CTPA表现:


肺栓塞患者的CTPA表现:右肺动脉开口处巨大血栓:

肺栓塞患者胸片示:右下肺起契状阴影

肺栓塞患者的同位素肺核素灌注扫描显示:右肺下部同位素分布缺损:

3、急性心包炎:心电图不同(ST段呈躬背向下的抬高)、心包摩擦音、发热咳嗽,心肌酶谱一般正常。

4、急腹症:心电图一般正常,有腹部体征,心肌酶谱一般正常。

AMI的现代治疗措施:
1、再灌注心肌: 争分抢秒:溶栓 、PTCA 、 联合治疗(溶栓+PTCA)、CABG 、抗凝和抗血少板。2、镇静止痛: 最大程度。3、保护心肌: 联合用药。4、各种并发症: 积极处理。
心肌梗塞死亡率的变化:
在CCU前时代:卧床、镇静、止痛、观察,保守治疗,死亡率30%,在CCU时代: 心电监护、除颤、血流动力学监测,保守治疗,死亡率15%,在再灌注时代:溶栓、阿斯匹林、PTCA,死亡率6%

ACS的治疗:
1、STEMI的治疗:
强调尽快再灌注治疗:溶栓或PCI。
溶栓治疗是紧急开放闭塞动脉的一种简便、快捷、有效的治疗 方法。应尽量缩短Door-Data-Decision-Drug的时间。目前提倡AMI院前由基层全科医师实施院前溶栓治疗,然后尽快送到有条件行冠脉造影和介入治疗的医院。《AMI诊断和治疗指南》:急诊科对疑诊AMI的患者应争取在10分钟内完成临床检查、18导联ECG描记并进行分析,对有适应症的患者在就诊后30分钟内开始溶栓治疗或90分钟内开始直接急诊PTCA。

2、 NSTEACS的治疗:
高危者PCI肯定有益,低危者无明显益处;两者均应内科积极治疗。
溶栓治疗目前认为对NSTEACS无效:
(1)不仅达不到溶栓目的;(2)而且溶栓剂可直接激活血小板,溶解部分纤维蛋白→血管创面重新暴露,均可使不稳定斑块更不稳定,乃至STEMI的发生。

STEMI救治体系技术规范(一个中心,两类医院,三种转运)

STEMI的是一个系统性救治工程:
(1)基础治疗:镇静、止痛、防猝死(室速/室颤—β受体阻滞剂+补钾)!!!
(2)主体治疗:即刻肝素化抗凝治疗,即刻抗血小板治疗(阿司匹林,替格瑞洛/氯吡格雷、必要时替罗非班)。
(3)再灌注治疗:
溶栓治疗:首选特异性纤溶酶原激活剂(阿替普酶、瑞替普酶、尿激酶原)
PC1治疗:120分内完成(如不能在FMC后120分内完成,先溶栓 在 转运造影或PCI)
再灌注治疗前、中、后冠脉微循环保护,防治并发症、减少早期心源性猝死
重视整体治疗,避免AMI短板效应:

静脉溶栓作为早期再灌注手段的重要性:STEMI溶栓系一次性、关键性、机会性的时间窗治疗!
早期<3小时溶栓和PCI的再灌注效果相似!

吲 哚 布芬 :高选择性、可逆性的环氧化酶*制剂抑**,抗血小板聚集药物。
吲哚布芬适应症:动脉硬化引起的缺血性心血管病变、缺血性脑血管病变、静脉血栓形成。
吲 哚 布芬 获权威教材/指南推荐:第九版《内科学》、《中国脑血管病临床管理指南》均推荐“吲哚布芬可用于胃肠道出血或消化道溃疡病史等阿司匹林不耐受病人替代治疗,维持剂量为100mg,bid。

溶栓适应证:
1.发病≤12小时之内,预期FMC至PCI时间延迟大于120分钟。
2.发病12-24小时仍有进行性缺血性胸痛和至少2个导联ST段抬高>0.1 mV,或血流动力学不稳定者,仍可考虑溶栓。
3.患者年龄>75岁,经慎重权衡心梗血栓/出血利弊仍可考虑减量或半量溶栓治疗。

绝对禁忌证:
1.脑出血病史;
2.颅内恶性肿瘤;
3.6个月内缺血性卒中或TIA史;
4.可疑或确诊主动脉夹层;
5.呕血、便血等活动性出血;
6.3个月内的严重头部闭合性创伤或面部创伤。
相对禁忌证:
1.未得到控制的严重高血压;
2.心肺复苏胸外按压持续时间>10分钟;
3.3周内进行过大手术或4周内发生过内脏出血;
4.2周内不能压迫止血部位的大血管穿刺;
5.感染性心内膜炎;
6.妊娠;
7.活动性消化性溃疡;
8.终末期肿瘤或严重肝肾疾病;
痴呆或已知其他颅内病变

溶栓药物的分类与选择
按对纤溶酶激活的方式分类:
(1) 非特异性纤溶酶原激活剂:
尿激酶(UK),链激酶(SK)
(2) 特异性纤溶酶原激活剂:
可选择性激活血栓中与纤维蛋白结合的纤溶酶原,对全身性纤溶活性影响较小,因此出血风险降低。溶栓效果优于尿激酶和链激酶。
人重组组织型纤溶酶原激活剂(rt-PA) -阿替普酶,瑞替普酶 (r-PA),兰替普酶 (n-PA),替奈普酶 (TNK-tPA),尿激酶原(pro-UK)。

• 静脉用药种类及方法
• 1、尿激酶(UK):
•150万IU(约2.2万IU/kg)用10ml生理盐水溶解,再加入100ml5﹪--10﹪葡萄糖液体中,30分钟内静脉滴入。尿激酶滴完后12小时,皮下注射肝素7500U,每12小时一次,持续3—5天。
• 2、链激酶(SK)或重组链激酶(rSK):
•150万U用10ml生理盐水溶解,再加入100ml5﹪-10﹪葡萄糖液体中,60分钟内静脉滴入。
• 3、重组组织型纤溶酶原激活剂(rt-PA):
•用rt-PA前先给予肝素5000U静脉滴注,同时按下述方法应用rt-PA:
• ⑴国际习用加速给药法: 15mg静脉推注,0.75mg/kg(不超过50mg)30分钟内静脉滴注,随后0.5mg/kg(不超过35mg)60分钟内静脉滴注。总量≤100mg。
• ⑵近年来国内试用小剂量法: 8mg静脉推注,42mg于90分钟内静脉滴注。总量为50mg.
•rt-PA滴毕后应用肝素每小时700—1000U,静脉滴注48小时,监测APTT维持在60-80秒,以后皮下注射肝素7500U,每12小时一次,持续3-5天。

溶栓剂性能疗效比较:

溶栓再通指征-间接指征:
1、胸痛于2h内基本消失;
2、ST段2h内回落50%以上;
3、2h内出现再灌注心律失常;
4、酶峰提前:CK-MB峰值在14小时内提前出现,CK峰值在 16小时内提前出现。
溶栓再通指征-直接指征:
0级:远端血管完全不显影
I级:远端血管隐约显影
II级:远端血流正常,充盈排空缓慢
III级:血流完全正常,充盈排空正常

溶栓并发症及其处理:
轻度:皮肤、粘膜出血,小量咯血和呕血。一般不需处理。
重度:大咯血,消化道大出血,腹膜后出血等引起低血压、休克。 处理:停药、 输新鲜血或成份血。
危及生命部位的出血: 颅内、蛛网膜下腔、心包出血者应立即停止溶栓和抗栓治疗,进行急诊 CT,输入冰冻血浆, 降低颅内压,4 h 内使用过普通肝素的患者,推荐用鱼精蛋白中和(1 mg 鱼精蛋白中和 100 U 普通肝素);出血时间异常可酌情输入 6~8 U血小板

溶栓治疗误区:
只溶栓,轻抗凝;只溶栓,不抗凝
STEMI患者溶栓后,如未予充分抗凝、抗血小板治疗,会导致血小板和凝血系统的反跳性激活,形成“继发性易损血液”,血液更粘,血栓顽固,不易疏通
若肝素应用剂量和疗程不充分,不但再通效果差,而且反弹高凝,导致冠脉再闭塞率高!
抗凝抗栓是溶栓的基础,溶栓应在有效的抗凝/抗栓基础上进行!

溶栓后处理(指南推荐):
1、对于溶栓后患者,无论临床判断是否再通,均应早期(2~24 h内)进行旨在介入治疗的冠状动脉造影;
2、溶栓后PCI的最佳时机仍有待进一步研究;
3、无冠状动脉造影和(或)PCI条件的医院,在溶栓治疗后应将患者转运到有PCI条件的医院(Ⅰ,A)。
联合疗法再灌注心肌方法:
1、符合溶栓指征的病人静推5000IU肝素,随后以1000IU/小时静滴。嚼服阿斯匹林300mg, 快速静滴rt-PA50mg
2、尽快行冠状动脉造影术判断血管开通:
• 血管未完全开通------PTCA
• 血管已开通(TIMI3级)------50mg rt-PA继续静滴。
优点:1、有利于左室功能的改善:PTCA前的小剂 量溶栓剂也能早期开通血管
2、PTCA手术成功率并不下降,不良事件也 不上升。

冠脉搭桥术(CABG)适应症::多支病变,左主干病变, PTCA失败而症状持续或血流动力学不稳定患者,合并存在室间隔破裂/乳头肌功 能不全致二漏患者。
•注意: CABG永远不能作为AMI常规方法,只是作为保护受损心肌的可能措施。
标准化沟通流程:
诊断及预后(可救),病因及治疗原则(针对性),再灌注方案的选择(首选的、次选的、家属选的、不能等待)分析利弊、收益和风险,简单介绍操作过程,获得主导权,介绍病情多变性和突变性,留有余地,为二次详细沟通做铺垫。

总结:
迅速识别STEMI,判断适应症,注意禁忌症,掌握用药方法,评判是否再通,积极建议溶栓后造影,掌握沟通技巧。