澳大利亚一名男子多年前入狱服刑,托女友探监时,挟带*麻大**进来让他解毒瘾。

为了躲避狱警的查验,男子就将*麻大**往鼻孔里塞,却不小心塞得太深,挖不出来,导致鼻窦炎反复发生。直到18年后,他到医院接受脑部断层扫描检查,才发现当初的*麻大**早已在鼻腔内钙化病变,成了鼻结石。

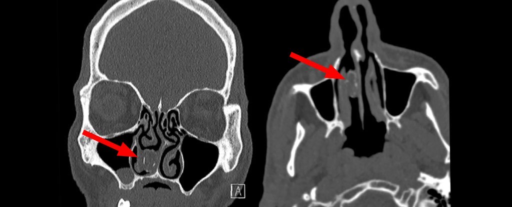
这名48岁男子日前因头痛到医院接受脑部断层扫描,意外发现鼻腔内居然有一块19毫米长、11毫米宽的鼻结石(rhinolith)。

经医师追问后才知道,原来男子18年前入狱服刑时,托女友以气球包裹*麻大**挟带入监,而为了躲避狱方的检查,将整包*麻大**塞进鼻腔内,却因塞得太深拿不出来,导致鼻塞和鼻窦炎的症状反复发生,而这名男子误以为自己已经摄入*麻大**,其实只是卡在鼻腔。
老哥当时不知道High了没有?

医生说,*麻大**在男子鼻腔内发生钙化病变,才成为鼻结石,导致出现鼻塞、头痛、脸部疼痛和流鼻涕等症状。
医师为男子进行全身麻醉,顺利从鼻腔中取出陈年“包裹”,如今已经是一坨混杂着腐烂植物的异物。在除去结石后3个月,男子鼻子不适的症状已经缓解很多。

医疗团队将此个案发表在《英国医学期刊》,研究人员指出,监狱中大部分*品毒**都是经由藏在口腔内挟带入监的,藏在鼻腔的案例非常罕见,因为*品毒**包裹在进入胃部后可以排出,或用其他方式取出。(完)