点击右下角“关注”我噢~

这些年,我一直深受颈椎痛的困扰,所以之前专门写过一篇“颈椎科普文”——衰老从探头开始,人到中年一定要对这个“包”Say No!。
最近,竟然在越来越小的孩子身上看到了“探头”的趋势。

看到好些孩子背着沉重的书包,脑袋不自觉地往前伸。听朋友说,孩子作业太多,每天做到深夜,脖子僵硬,头脑发昏。

后来,看到这些数据,心里更是不禁一紧:
早在2007年,北京市国民体质监测中心等机构,对青少年形体测量和测评的结果就显示:八成多青少年形体不良。随机抽查北京市102名初中一年级学生,其中走姿探颈、驼背比例高达 46.1%,站姿头位不正者占41.2%,双肩不平占38.3%,坐姿中塌腰、弯背占 23.6%。
更新的数据显示,我国80%以上的青少年颈椎处于亚健康状态,12%的孩子有不同程度的颈椎问题,年龄多集中在12-16岁。
随手在网上搜一下“儿童颈椎病”,就可以看到大把的新闻报道。

看来,这些年,颈椎毛病早就已经从“老年病”变成了“中年病”、“青年病”,甚至是“少年病”、“儿童病”。
颈椎问题,是怎么找上娃娃们的?
颈椎,位于胸椎和头之间,是一个“承上启下”的身体部位,主要作用是支撑头部,使头部保持平衡。

一般来说,成年人的颈椎病(尤其是老年人),主要是由于年龄增长,导致下段颈椎发生退化改变而引起的。
但,娃娃们身体正处在茁壮成长的发育期,颈椎出现退化的几率很小。
那么,孩子的颈椎为什么会出现不正常的现象?有3个原因尤为凸显:
★长期伏案,坐姿不良
现在孩子的学业压力不是一般的大。有人做过统计,一个小学生,每天伏案学习的时间居然长达10小时。

长时间保持一个坐姿,这件事本身就是对颈椎的巨大伤害,很容易造成颈部软组织的积累性损伤。
再加上,不少孩子坐姿本身又存在问题,更加雪上加霜。

小川写作业时,经常呈现各种诡异坐姿。脖子不是向前伸,就是歪着,身体东扭西歪的,呈现一个奇怪的“S”型,有时两条腿还不停加戏,一会儿八字形、一会儿O型,反正就是一副没“正行”的样子。
长期不良坐姿,会形成头部前倾(颈椎正常弧度减少或变直)、含胸(圆肩)、驼背(胸椎曲度增加)、肩胛骨耸起、斜肩等一系列形体的变化,甚至出现脊柱侧弯的症状。

★ 长时间“低头”看电子产品
长期“低头”看电子产品,也是儿童患颈椎病的一个重要原因。很多医院的骨科医生,都表示:在寒暑假期间,孩子颈部不适的就诊率奇高。

假期中的孩子多处于“散养”状态,家长对他们使用电子产品的时间疏于管理和控制,甚至很多时候还乐于把电子产品当做娃的保姆。
香港曾针对“儿童使用电子产品”进行过过大样本的社会调查,又4310位家长、教师及中小学生参与其中。

调查结果让人“大跌眼镜”:
在香港,学龄前儿童第一次接触iPad(平板电脑)的年龄中位数只有16个月,最小的孩子出生1个月后就开始看iPad了!
2017年,欧洲脊椎协会就表示,“短信脖”(texting neck)已经成为了新一代全球性疾病。只是,现在这种疾病日益低龄化了。
不管是商场、餐厅还是其他公共场所,经常看到很多小孩子在低头玩手机、看iPad。

这样长期低头会引起颈椎的长久损伤。
要知道,当我们低头时,颈椎承受的压力要远远高于正常的垂直状态:

低头15°,脖子承受重量为12公斤;低头30°,脖子承受重量为18公斤;低头45°,脖子承受重量为22公斤;当我们低头玩手机时,脖子的前倾角度会达到60°,承受重量也激增为27公斤。
27公斤?什么概念?
相当于在脖子上挂了一袋50斤的大米啊,这颈椎不变形才怪呢!

正常的颈椎(左)与不正常的颈椎(右)
★枕头高度不当,书包太沉
除了坐姿不良、长期低头,孩子平时的生活习惯也与颈椎的健康息息相关。

和身体其他组织一样,颈椎在白天工作数小时后,需要在晚上好好休息下。但是,如果枕头没选好,颈椎只会“越睡越累”:
枕头过高,颈椎及周围肌肉长期处于紧绷状态,容易落枕,还会引起脑供血不足;枕头太低,对颈椎起不到一个支撑作用,还会引发头部充血、脸颊浮肿等。

另外,孩子的书*过包**重,也会对颈椎造成伤害。
北京恒安中医院的高铁铮教授说:
书包太重,把孩子往后拉,孩子们的脖子只能往前伸,身体向前倾,脊柱就有被压弯的可能。颈椎属于脊柱的一部分,自然也会受到影响,久而久之,很容易诱发颈椎病。
孩子颈椎出了问题,比成人更危险!
一提到颈椎病,估计大家首先想到的是颈椎疼痛,但实际上,颈椎病跟身体的很多机能都大有关联。孩子颈椎不好,会诱发很多其他不良症状,牵一发而动全身。
- 影响孩子的体形
一旦孩子的颈椎出现问题,首当其冲的表现就是体形变差。
走路、站立时,轻则向前探头、哈腰驼背,重则出现脊柱侧弯的现象,高低肩明显。

体形是给人的第一印象,身姿不端正,很容易让孩子产生自卑的情绪,会对心理健康产生极大的负面影响。
- 影响孩子骨骼的生长发育
长期低头、坐姿不良,会引发脖颈肌肉和韧带紧张、疲劳,这种损伤在3-6个月内是可以通过干预,得到缓解、治愈的。
但,如果劳损时间过长(一般超过半年),就会发展成不可逆的慢性疼痛和长久损伤。
因为,相比于成人,孩子的骨骼更柔软,更容易受到外力的影响。
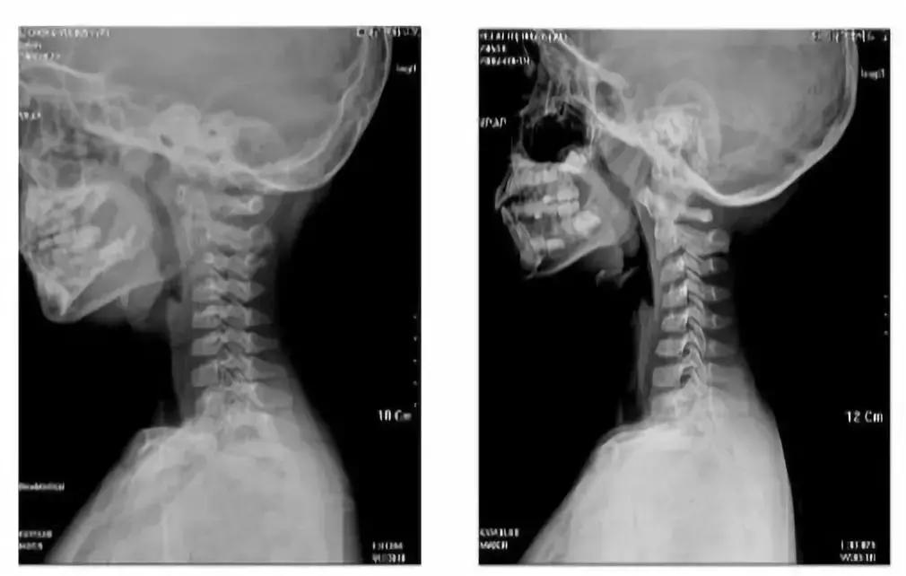
低头、坐姿不良的时间越长,对孩子的颈椎伤害越大,会出现颈椎自然曲度消失、变直或者反弓的情况,严重时还会出现寰枢关节半脱位。
颈椎反弓,指的是每个人的颈椎是有自然生理曲度的,长期低头会使颈椎的生理曲度发生变化,甚至向着反方向弯曲,形成“反弓”。

左:5岁孩子的颈椎生理曲度变直 右:7岁孩子的颈椎生理曲度呈“反弓”
如果大家常看新闻,就会发现有很多孩子,因为玩手机时间太长,成了“歪头宝宝”。
这里的“歪头宝宝”,就是因为长期侧头看手机,脖子两侧肌肉、韧带受力不均匀,导致寰椎、枢椎轻微移位、软组织受损,最终造成寰枢关节半脱位。

专家表示,得颈椎病的孩子,颈部椎体的大小、形状发育都会受到影响,严重的话,还会进一步影响胸椎、腰椎等部位的骨骼发育,身高也会受到限制。
- 影响孩子的视力发育和记忆力
颈椎变形,还会压迫血管,严重时会造成椎动脉和视觉中枢供血不足,让孩子出现头晕、目眩、记忆力衰退、注意力不集中等症状。
这样自查孩子的颈椎
一旦孩子的颈椎出了问题,下面这些症状至少会出现3种:
眩晕、头疼、耳鸣、恶心、呕吐、颈项僵痛、神疲乏力、视力障碍、记忆力减退、注意力不集中等。来源:《3-12 岁儿童颈椎病的临床分析及其治疗》
当然,想要确诊孩子是否得了颈椎病,还是要专业医生结合颈部X光片和其他影像资料,做出最终的判断。
为了方便大家自查,分享一个由第四军医大学李维新医生介绍的方法:
1. 让孩子脱掉上衣自然站立,从背后看两肩是否等高,两侧盆骨是否等高。2.用手摸一摸孩子背部的肩胛骨,看两块肩胛骨是否一边高一边低。3. 让孩子弯腰,家长用中指和食指沿着脊柱突划下来,看是否能划出正常的直线。
李医生提醒,如果在自查过程中,发现孩子有异常,一定要及时就医,以免耽误病情。
颈椎问题,预防为上
既然颈椎问题这么可怕,又来势汹汹,我们当然要赶紧行动起来,预防为上。
1.帮助孩子感觉正确的颈椎位置。
长时间错误的站姿、坐姿习惯之下,孩子可能已经“忘记”了脊椎该有的状态。在平时的养和预防之前,我们首先要帮助他们找回正确的感觉。

找一面墙,按照上图显示的方式站立。抬头挺胸,展开双肩,收紧臀部肌肉,脚掌并拢。
正确的体态下,头部、肩胛骨、臀部、脚后跟4个点都应该与墙面贴合。
2. 培养孩子正确的坐姿。
目前,公认的正确坐姿要符合“三个90度”原则:
腰部挺直,臀部和腰部呈90度;脚平放在地上,脚踝与地面呈90度;膝盖弯曲90度。

3. 控制电子产品使用时间,平视屏幕。
想要孩子远离颈椎问题,不做“低头族”也相当重要。主要两个方式:
使用电子产品时,合理控制时长。
美国儿科医生学会(AAP)发布的儿童屏幕使用时间指导意见是:
18个月以前不看屏幕(视频电话除外);2-5岁每天不超过1个小时;6岁以上有限制地使用。
那么,6岁以上到底可以看多久的屏幕?
结合用眼健康的角度,我的建议是遵循“20-20-20”的原则,每用眼20分钟,就要把目光转向至少20英尺(大概6米)远的地方,远眺至少20秒。

使用电子产品时,平视屏幕,更换姿势。
在使用电子产品时,要保持视线与电子屏幕平行,避免孩子出现低头的情况,另外,每隔20分钟,建议更换坐姿,避免久坐疲劳,对颈椎造成损伤。
4. 学习桌、护脊书包、儿童枕头要选对。
预防儿童颈椎病,除了培养好日常习惯,还要选好“装备”。

学习桌椅,高度要适宜,角度要科学。
其实,儿童书桌的挑选原则,我在儿童房也讲究“风水”?你需要这个分龄装修全指南中,就详细的介绍过,这里再简单阐述下。
一套好的学习桌椅,桌子高度要在孩子腰部附近,椅子的高度是孩子可以将双脚平放在地上,而腿不悬空。
另外,学习内容不同,桌子的角度也有差异:
当桌子处在适宜的高度时,桌面呈5°~13°时,人的身体会自然地往后倾斜,具备矫正坐姿的作用;当桌面为21°~29°时,最适合阅读。

书包要选护脊的,好的护脊书包遵循下面3个原则:
要有肩膀压力卸减装置,可有效使书包部分重量从肩膀转移至盆骨,减轻颈肩压力。脊柱无压设计,中间部分要提供无压空间,当儿童走动时也能减少书包撞击脊柱的机会。 有重心内板设计,书本放置于重心内板中,把重的书本靠背,使腰背保持挺直,培养良好的姿势。 来源:北京恒安中医院 高铁铮
枕头的高度要根据睡姿选择。
一般来说,如果习惯仰睡,要保证枕头有自己的一个拳头高;

如果喜欢侧睡,则要把枕头的高度调节为四分之一个肩膀高度,相当于一个半拳头的高度。

另外,我们平时说的枕头、枕头,其实是用来枕脖子的。因此,枕头的最高处,要放在颈椎处,而不是头部。
5. 加强日常运动,适当做颈椎保健操。
当然,为了颈椎的健康,孩子也可以多做一些运动,比如游泳、羽毛球等,都有利于消除颈部疲劳。
关于颈椎保健操,我在之前的女性颈椎保养文章里面做了专门的动图分享,大家可以在这里看哦(衰老从探头开始,人到中年一定要对这个“包”Say No!)。
我们常说,身体是1,其他的都是0。如果孩子没有一副好身体,学习再好、才艺再多、性格再阳光,也都是浮云。
所以,在我们不停push孩子学习更上一层楼的时候,也别忘了停下来,关心一下孩子的颈椎健康。
毕竟,题做错了可以重来,颈椎痛了,却很难恢复如初。
参考资料:
1. 对6-18岁少年儿童颈椎与颈椎病相关症状流行病学抽样调查报告,崔立津, 袁烽等 ,《湖北中医学院学报》2010.8
2.https://www.baikemy.com/disease/detail/1183/1
3. https://baike.sogou.com/v1877050.htm?fromTitle=颈椎
4. 书*过包**重引发儿童颈椎病,计理,《健康生活》,2015.2
5. 儿童“低头族”更伤颈椎,预防颈椎病从娃娃抓起,中国妇女报·中华女性网记者 彭芸 《中国妇女报》2016年
6. 3-12 岁儿童颈椎病的临床分析及其治疗,宋志靖,宋敏等,《中国优生优育》,2014.2
川妈说说
说实话,我的颈椎问题,坐姿、站姿的不正确并不是根本原因,长时间伏案工作,过度疲劳才是根本。
无论写paper,还是公号文章,常常一坐就是好几个小时,不挪窝。再好的坐姿,也不能避免肌肉和骨头的疲惫。我心知肚明,却还是做不到。直到前段时间,出现了头晕、手麻、耳鸣的症状,我才会注意一些。但其实已经造成难以挽回的长期伤害。
孩子也是类似的情况。我们何尝不想他少做会作业、多睡会觉、多运动运动。只是似乎现实不允许我们如此“放纵”。但套用我的逻辑,我有时就释然了。我们不能等到严重问题出现了,才后悔,再想着如何去补救。
毕竟孩子的身体才是第一位的。在尽可能的范围内,别让他太疲惫,别让他提前那么早就开始“老化”。
当然,这些应该摆在那些基本预防措施之后,比如合理正确使用电子产品,纠正他的站坐姿,为他准备合适的书桌、书包、枕头等等。
我是川妈,曾经的女博士,现在的大学老师,飘过美国 、澳洲,目前坐标北京,知名母婴自媒体“mom看世界”的创始人。践行自然教育,追求自然养育,崇尚自然生活,期待更多的姐妹与我携手同行。来源:mom看世界(ID:xyzmom)