
不死的癌症——子宫腺肌症
子宫腺肌症
子宫腺肌症(Adenomyosis)被称为“不死的癌症”,可导致严重出血、月经期间严重痛经和不孕,病情往往长达10年之久,给女性健康及生活质量造成极大的威胁!

子宫腺肌症
保守治疗
子宫腺肌病最常见保守治疗为放置曼月乐,大部分病人痛经症状可得到较好控制、缓解,其主要的不良反应有月经紊乱、月经淋漓不尽、盆腔感染、节育器脱落、子宫穿孔等。

曼月乐
子宫腺肌症介入栓塞治疗
子宫动脉栓塞术(UAE)是目前临床上常见的微创治疗子宫腺肌症方法,适用于有生育要求或年轻的患者,不想妇科手术切除子宫,有保留子宫意愿的患者。

子宫动脉栓塞术示意图
子宫动脉栓塞术(UAE)
UAE一般以左侧桡动脉或右侧股动脉作为穿刺点,将细小的导管分别送达两侧子宫动脉主干远端,经微导管注射非常微小的PVA颗粒或微球(300um)栓塞子宫腺肌症病灶,造成病变组织缺血坏死,进而异位子宫内膜坏死脱落,分泌前列腺素减少,缓解痛经,减少月经量,从而达到治疗目的。越来越多的文献数据支持UAE作为子宫切除术替代治疗方案。

UAE优点
- 对病灶的位置、范围无限制,局限型、弥漫型均适用。
- 合并子宫肌瘤者疗效更佳!
- 不开刀、创伤小、恢复快!
- 最为主要的优点是能够保留子宫!

子宫腺肌症合并子宫肌瘤期介入治疗症状缓解更好
文献荟萃分析显示UAE术后长期、短期内对子宫腺肌症的临床症状缓解高(可达94.83%)、子宫体积缩小理想,因栓塞后并发症而需行子宫切除率<1%。

术后3-24个月的子宫体积改善情况
UAE术后反应
- 疼痛:为最常见的不良反应,几乎所有患者在治疗后会出现不同程度的下腹胀、坠痛,持续时间不等,短则2-3天,长则1-2周,一般给予有效镇痛处理后均可缓解。目前我中心常规予以静脉镇痛泵止痛处理,帮助患者渡过术后急性疼痛期。
- 发热:25%患者,尤其肌瘤较大的患者,栓塞后一周内可出现低热,体温在38°C左右。一般无需特殊处理,酌情预防抗感染处理,约持续1周后可自行消退。
- 不规则阴道出血:少部分病人栓塞后可出现阴道少量不规则流血,同时还伴有内膜脱落,可能是栓塞后子宫血供不足以维持内膜生长有关。
- 提前绝经:出现的几率非常低,主要见于围绝经期女性患者(>45岁,绝经发生率为20%-40%,小于45岁患者绝经发生率为1%-3%)。

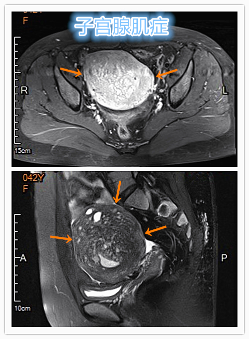
典型病例
青年女性患者,反复痛经、经期延长5年余。确诊为子宫腺肌症,经妇科保守治疗症状无改善,病情进行性加重。经介入微创治疗后症状得到逐步缓解。

MRI显示子宫明显增大
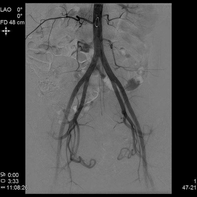
经桡动脉入路UAE治疗,除操作入路不同外,与常规股动脉入路UAE相似,可大大提升患者术后舒适度!

左侧桡动脉穿刺

置入桡动脉鞘
- 经桡动脉鞘置入猪尾巴导管造影显示双侧子宫动脉明显增粗,染色丰富,子宫明显增大

- 进一步超选插管右侧子宫动脉造影确认位置

- 进一步超选插管左侧子宫动脉造影确认位置

- 术后桡动脉止血器压迫止血6~8小时,患者术后无需长时间卧床、下肢制动,舒适度大大提升,利于术后快速康复!

桡动脉压迫止血器
原装生活,做完整女人!

原装生活,做完整女人!