病例连载介绍
心衰并不是一个独立的疾病,而是心脏疾病发展的终末阶段,那么,如何有效防治心衰呢?心在线特别推出《心衰·系列病例》,为您解答困惑。每周周四,让我们相约心在线!
“
突发胸闷伴大汗不能平卧5小时,溶栓2小时后病情无缓解,根据患者症状体征及进一步检查后,考虑急性心肌梗死合并急性左心衰,接下来如何治疗呢?
”
病史
69岁女性,因“突发胸闷伴大汗不能平卧5小时”于外院就诊,急诊心电图提示Ⅲ,aVF,V1~V6导联ST段抬高0.1~0.3 mV(图1)。

图1
体格检查
T 36℃,P 101次/分,R 24次/分,BP 137/84 mmHg,端坐位,双肺中下野可闻及水泡音。心率101次/分,心律齐,心音较低。
实验室检查
心肌坏死标志物
CK 571 U/L,CK-MB 82 U/L,LDH 350 U/L,TnI 4.72 ng/ml。
诊断
冠心病
急性广泛前壁下壁心肌梗死
急性左心衰
Killip分级 Ⅱ级
诊疗经过
诊疗经过1:由于当地医院无PCI条件,患者于入院后1个半小时内接受了重组人组织纤维蛋白溶酶原激活剂(rt-PA)溶栓治疗。
讨论1 急性心肌梗死患者再灌注治疗策略的选择
对于该患者,根据临床症状、心电图变化及心肌坏死标志物明确诊断为急性前壁心肌梗死。在最初就诊之时面临着再灌注治疗方法的选择为急诊PCI或溶栓。
最初选择怎样的再灌注治疗方案(图2),应考虑以下几种情况:①就诊的时间;②是否合并血流动力学异常。患者发病5小时后就诊,就诊之初就已出现了急性左心衰的表现。如果当时条件允许,应选择急诊PCI。其原因有以下三方面:根据2013版ACCF/AHA《STEMI诊治指南》推荐:① 对于STEMI,当预计首次医学接触到干预(FMC-D)时间<90分钟时,应首选急诊PCI治疗;② 如果患者就诊于无法进行PCI治疗的医院,若考虑转运至可以进行直接PCI的医疗中心,则需保证首次FMC-D时间<120分钟;③ 在这类患者中,新指南还强调了初次就诊至转出(DIDO)时间这一概念,要求DIDO时间≤30分钟。如采用静脉溶栓治疗作为再灌注治疗首选方案,DIDO目标时间即应在就诊后30分钟启动溶栓治疗。

图2
该患者在发作5小时就诊,就诊当时即出现不能平卧、双肺中下肺野湿啰音等心功能不全症状。但该患者就诊医院无PCI条件且DIDO时间大于30分钟,故选择就地溶栓。需要在溶栓过程中密切观察是否血管再通,心衰症状有无改善。如不能奏效也应尽快转运,行补救PCI,以挽救患者生命。
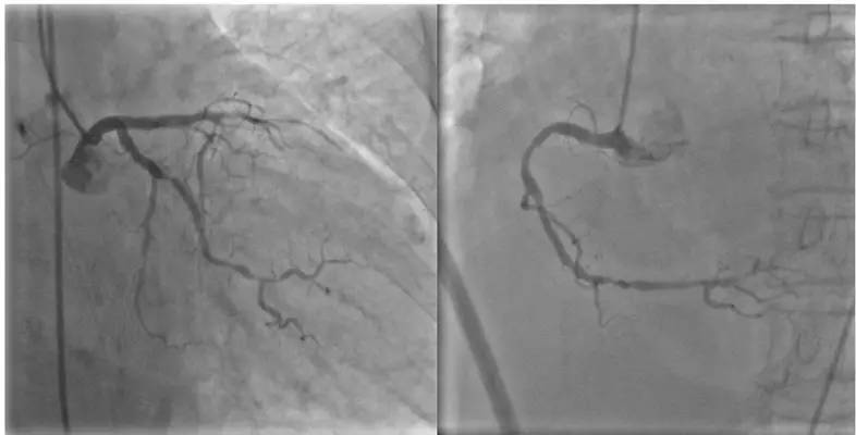
诊疗经过2:溶栓2小时后,患者胸痛无明显缓解,心电图ST段亦无明显回落。于15小时后转入上级医院CCU,患者仍持续喘憋,咳嗽、咳白色泡沫痰,不能平卧。查体:BP 150/75 mmHg,P 110次/分,R 30次/分,口唇发绀,双下肺可闻及细湿啰音,考虑患者急性心肌梗死合并急性左心衰。立即予呋塞米20 mg静推,硝酸甘油10μg/min静点,阿司匹林、氯吡格雷各300 mg抗血小板治疗。10分钟后患者症状有所好转,遂决定在主动脉内球囊反搏(IABP)辅助下行PCI治疗。30分钟后进入导管室,首先将IABP置入降主动脉起始端,以1:1反搏频率辅助。冠脉造影提示LAD近段闭塞;LCX远段狭窄70%,OM开口狭窄90%;RCA弥漫性病变,近段狭窄60%,远段狭窄80%(图3)。判断LAD为罪犯血管,球囊扩张LAD中段,扩后残余狭窄30%,随后于LAD中段及近段依次置入2枚支架,复查造影提示狭窄解除,血流恢复TIMI3级。

图3
术后患者症状平稳,胸痛较前缓解。查体:T 36.5℃,P 80次/分,R 18次/分,BP 140/75 mmHg,双肺呼吸音粗,双肺底可闻及少量细湿啰音。心律齐,未闻及杂音及额外心音。
讨论2 溶栓未成功,行补救PCI
本例患者溶栓后胸痛不缓解,前壁导联心电图亦无回落,并且出现了左心功能不全等症状和体征,心肌坏死标志物结果往往滞后,故临床判断溶栓后并未达到血管再通,有进一步行冠脉造影补救PCI的必要,经后续冠脉造影也证实这一结论。该患者的病情发展具有溶栓晚、并发左心衰等特点。在这种情况下,指南建议补救PCI是再灌注治疗的最佳选择,尽早开通罪犯血管,尽早挽救缺血心肌,将使患者最大程度获益。
该患者经过再灌注治疗及IABP辅助治疗后症状较前明显缓解,此时为更加客观的评价治疗效果可对患者行超声心动图检查,并结合患者当时症状对其进行综合评估。
诊疗经过3:患者为急性广泛前壁心肌梗死,在IABP辅助治疗下,肺部啰音已减少,为减低心肌耗氧、预防心律失常予美托洛尔12.5 mg bid。但当日夜间突发持续胸闷不能缓解,查体:T 36℃,BP 192/109 mmHg,R 36次/分,P 118次/分,血氧饱和度79%。双肺满布水泡音。心电图未见明显动态变化,心肌坏死标志物复查结果亦无升高。考虑为再次急性左心衰发作,立即停用美托洛尔。
讨论3 急性前壁心肌梗死合并急性左心衰,β受体阻滞剂的应用时机?
对于急性前壁心肌梗死的患者,若不存在使用的禁忌证,β受体阻滞剂应当尽早使用。但对合并急性左心衰的急性前壁心肌梗死患者,应当选择合适的时机使用β受体阻滞剂,以免过早使用加重心衰的进展。
急性前壁心肌梗死时β受体阻滞剂使用禁忌:①心率<60次/分;收缩压<90 mmHg;②中重度心衰(心功能≥Killip Ⅲ级);③Ⅱ、Ⅲ度房室传导阻滞或PR间期>0.24s;④严重慢性阻塞性肺部疾病或哮喘;⑤末梢循环灌注不良。以往在处理急性前壁心肌梗死的病例时,常常以心率情况决定是否应该使用β受体阻滞剂,其实这是一个误区。因为无其它原因的心率增快有时可能就是急性心衰的初期表现。当发现患者心率较快时,如果同时有肺部湿啰音等急性心衰的体征时,不应急于加用β受体阻滞剂。
对于本例患者虽然进行了血运重建,但临床情况变化较快,术后患者又出现了急性左心衰的再次发作。β受体阻滞剂可于肺部细湿啰音基本消退后开始应用。因为β受体阻滞剂有负性肌力及负性变时作用,若应用于曾发生过急性左心衰的患者,必须严密观察,使用剂量必须个体化,可从小剂量逐渐递增。严密观测,包括心率血压,更应当观察肺部体征。如果患者再次出现胸闷喘憋症状时,应考虑到是否与β受体阻滞剂的使用有关。
本例患者症状平稳后立即加用了β受体阻滞剂,并在此次之后又出现了症状的反复,由此表明在IABP辅助治疗后,心衰并非完全缓解。应在辅助治疗持续一段时间后,患者血压保持稳定,肺部啰音大量减少后方可从小剂量开始试用β受体阻滞剂,不必操之过急。
诊疗经过4:随后处理该患者的急性左心衰,予面罩酒精湿化吸氧,呋塞米40 mg静推,*啡吗**3 mg静推,硝普钠10μg/min起泵入,并根据血压调整用量,血压渐下降至110/60 mmHg,维持硝普钠15μg/min泵入。患者症状无好转,出现意识模糊。血氧饱和度下降至80%,急查血气分析pH 7.292,PCO261.5 mmHg,PO252.9 mmHg。予加强氧疗,气管插管呼吸机辅助通气,容控模式,R 15次/分,通气量9.9 L/min,潮气量500 ml,FiO280%。约2小时后患者意识渐恢复,血压维持在125~135/70~85 mmHg。
第4天拔除呼吸机,加用美托洛尔6.25 mg bid。第6天拔除IABP,之后患者未再发作急性左心衰。于病情平稳后出院。
讨论4 急性左心衰时应立即减轻心脏负荷,主要措施是快速利尿,扩血管降低心脏后负荷
快速利尿常采用袢利尿剂静脉注射,目前常用的有呋塞米、托拉噻咪和丁尿胺等。以呋塞米为例,给药方式可有以下两种:静脉推注(从20 mg起可增加至60~100 mg)、泵入(20 mg/h,持续泵入100~200 mg),估算尿量评价治疗效果。一般在急性左心衰时予以导尿,准确记录尿量多少。其中,静脉推注强效利尿剂时,可根据病情需要重复应用。
硝普钠的用法:高血压状态的急性左心衰可积极使用血管扩张剂,首选硝普钠,其可在急性左心衰时迅速降低血压,减轻左心后负荷,达到缓解心衰症状的作用,但是降压效果有很大的个体差异。使用硝普钠时,起始剂量为10μg/min,使用后需每5分钟测量一次血压,调整硝普钠剂量,将血压维持于100~120/60 mmHg。用药期间需密切监测血压及酸碱平衡,停药时也应逐渐减量,避免反跳。需要注意的是,由于硝普钠对肾功能的影响,当心衰患者伴随高血压状态及肾功能不全时,应考虑使用乌拉地尔降压扩血管治疗。
讨论5 这种伴有高碳酸血症的低氧血症是急性左心衰的血气表现吗?
一般情况下左心衰发作时,呼吸功能受损主要以PO2下降为主要特征。由于肺水肿引起的呼吸膜增厚,换气功能障碍导致PO2降低可以理解。在急性左心衰时是否导致二氧化碳潴留呢?在无基础肺病的急性左心衰患者中往往以PO2下降为主要表现。但是随着心衰病情恶化,会出现呼吸肌疲劳、痰量增加导致通气功能障碍,将会引起二氧化碳潴留甚至Ⅱ型呼吸衰竭,故及时有效的辅助通气及呼吸道护理将改善通气功能,缓解二氧化碳潴留。
有临床试验对急性左心衰合并呼吸衰竭的患者进行机械通气研究发现:合并Ⅱ型呼吸衰竭患者组较Ⅰ型呼吸衰竭患者组病情更重,死亡率及合并症发生率更高。但如果严格掌握适应证及合适的通气方式,注意防治合并症,仍可以取得良好疗效,挽救大部分患者的生命。
本例患者在急性左心衰发作时PO2下降,并且伴随PCO2升高,在给予气管插管辅助通气后PO2升高,二氧化碳潴留消失,症状改善。
讨论6 急性左心衰时纠正低氧血症对于整体病情控制至关重要,出现较难纠正低氧血症时需要及时机械通气
急性左心衰患者常由于严重的低氧血症而迅速出现呼吸衰竭,及时纠正缺氧对挽救患者生命十分重要。低氧血症会造成全身各脏器和内环境的紊乱,病情进展迅速,很快危及患者生命。急性左心衰患者应用药物治疗难以奏效时,适时使用无创或有创机械通气呼吸支持可以控制急性肺水肿造成的呼吸衰竭和改善心脏功能。急性左心衰机械通气治疗需时较短,经治疗患者缺氧症状改善,自主呼吸平稳,气道分泌物减少,双肺啰音明显减少,并且观察病情无反复后可完全脱机。脱机前后也需要复查血气情况,以确保患者平稳过渡。
病例提供:首都医科大学附属北京安贞医院 刘文娴 张静
病例征集
攻克疑难患者,您是否想传授经验、分享喜悦?遇到罕见病例,您是否想找“高手”指点,听取多方见解?那么,机会来了! “心在线”现面向全国征集心血管疾病相关病例啦!我们将为您提供传授经验、切磋技艺的平台,您不仅可以拓宽思路、丰富视角,还可获得丰厚稿酬!
投稿邮箱:content@cardiounion.cn
心在线 专业平台专家打造
编辑 刘倩┆美编 柴明霞┆制版 崔凤娟