
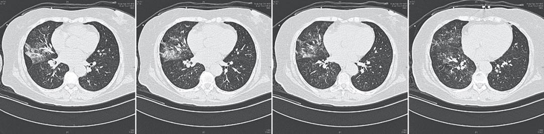
56岁中年女性,因「梦里与丈夫吵架」,醒来后咯血10余次,每次量约50ml,伴有明显胸闷、憋气,求诊于清华长庚医院呼吸与危重症医学科牟向东主任的门诊,牟主任给患者完善了胸部CT(图1),发现右肺中下叶多发团片影及磨玻璃影,右肺主支气管内可见占位堵塞气道。考虑右肺病变为肺泡内出血可能性大,不除外肿瘤或感染性病变。

图1:患者入院胸部CT影像
患者入院后仍有反复咯血,结合其CT病变,牟向东主任给患者做了气管镜,但发现大量血凝块堵塞了右中间段支气管(如图2所示),由此造成了患者的呼吸困难。牟向东主任于气管镜下应用冷冻技术反复冻取(图3),将血凝块大部分取出,右中间段气道通畅,右肺中叶支气管内可见新鲜出血。而清理血凝块后,镜下支气管内并未发现肿瘤新生物,排除了肿瘤的可能。

图2:患者第一次气管镜下影像

图3(左):气管镜下肺泡灌洗液为血褐色。 (右):冷冻活检取出的血凝块碎片。
考虑患者存在反复咯血,牟向东主任联合介入科,给予患者行支气管动脉造影及栓塞术,术中可见右侧支气管动脉扩张明显,可见分支扩张。增多及紊乱(图4标注)。给予血管栓塞治疗后咯血停止。

图4. 支气管动脉造影
复查支气管镜(图5)可见气管、主支气管及各亚段气道通畅,未见明显活动性出血。患者症状明显缓解后出院。

图5. 患者第2次气管镜下影像
究竟是什么原因导致患者大咯血?和梦中吵架生气又有何关联?
该患者考虑为支气管动脉畸形引发的大咯血。支气管动脉畸形是一种罕见的先天或获得性疾病,获得性原因是炎症或肺部感染、穿透性创伤和肿瘤。患者常无症状,但可能导致大咯血和死亡。多排螺旋CT对于早期识别异常支气管动脉有一定帮助。
这位患者同时还伴有高血压病史,血压波动在160-180/100-110mmHg,又加上此次梦中与丈夫吵架,生气,情绪波动大加重高血压,导致血管破裂,醒来后出现咯血现象。好在患者就医比较及时,虽然大量出血后形成的血凝块堵住了右侧气道,导致出现胸闷、憋气症状,但尚未出现肺不张、呼吸衰竭等并发症,予及时气管镜下解除阻塞,介入栓塞治疗后有效解决。如果患者没有及时就医,反复大咯血可能会出现生命意外情况。

图源网络
参考文献
[1]岳文涛,孔令春,范启运,李慧,闫瑞香. 支气管动脉畸形咯血的栓塞治疗[J]. 实用儿科临床杂志(5):310-310.
[2] Walker C M , Rosado-De-Christenson M L , S Martínez-Jiménez, et al. Bronchial Arteries: Anatomy, Function, Hypertrophy, and Anomalies[J]. Radiographics, 2015, 35(1):32-49.


本文完
未经许可,请勿转载
排版:刘旋