患者男,71岁,因弥漫性胸痛,常规胸片检查显示有肿块入院。
医脉通编译整理,未经授权请勿转载。
患者未报告咳嗽、呼吸困难、发热、盗汗或体重减轻。
就诊前13年被诊断为慢性淋巴细胞白血病,2年前被诊断为继发性骨髓增生异常综合征。他在16个月前接受了匹配的非血缘干细胞移植,此后一直处于完全缓解状态。患者发生了慢性移植物抗宿主病,主要表现为口腔溃疡(1级,根据美国国立卫生研究院共识标准),曾接受口服环孢素和体外光分离术治疗。就诊前6个月免疫抑制已逐渐减量。常规用药包括复方新诺明预防治疗,每周2次。
既往无已知过敏史,否认近期旅行及病原接触史。
体格检查
患者生命体征无明显异常。听诊及叩诊双肺清晰。心率和心律正常。无杵状指、外周水肿、淋巴结肿大。
诊断
入院时ECG和肌钙蛋白水平正常,认为不太可能发生急性心脏疾病。实验室检查结果血红蛋白11.7 g/dL(参考值:14-18)和γ-谷氨酰转移酶566 U/L(参考值 ≤60),所有其他数值均在正常范围内,包括电解质、肝酶、肌酐、尿素、C-反应蛋白、WBC计数和血小板。胸片示右肺肿块边界清晰(图1A)。胸部CT(图1B)在邻近胸膜的右肺上叶出现低密度圆形结节,直径为3.4 cm。行CT引导下活检,活检组织细菌培养和细菌16S核糖体RNA聚合酶链反应(PCR)及4周后的真菌培养均为阴性。组织病理学结果见图2。

图1 A.胸片中右肺肿块边界清晰;B. 胸部CT显示,右肺上叶临近胸膜出现低密度圆形肿块(直径3.4cm)

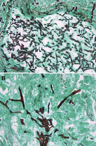
图2 A和B,Grocott银染后组织病理学样本的光学显微镜检查;A. 原始放大倍数×40,B. 原始放大倍数×100
哪些其他检查有助于诊断?诊断是什么?
可能有助于诊断的其他检查:鉴定真菌病原体分子诊断,即真菌18S rRNA PCR,随后测序以鉴定属和种
诊断:少根根霉引起的局限性肺毛霉菌病(既:米根霉)
讨论
在任何成人患者中,肺部肿块均可怀疑为癌症或肺转移及某些感染(如TB)。但是,在免疫功能低下的患者中,必须考虑其他鉴别诊断,如移植后淋巴增殖性疾病和广泛的感染因素,如细菌(如铜绿假单胞菌)、分枝杆菌、病毒(巨细胞病毒)和真菌性病原体(更常见的是曲霉菌属,罕见的是毛霉菌)。
毛霉菌病是一个总称,包括由毛霉目丝状真菌引起的感染性疾病,如根霉属、毛霉属、横梗霉属等。主要的获得方式是吸入孢囊孢子,随后出现血管侵袭性散播,多发生于免疫功能低下的宿主。毛霉菌病的发病率在全球范围内呈上升趋势,估计每年超过90万例患者。
根据主要临床表现,毛霉菌病可分为鼻眶脑型、肺型、皮肤型、播散型、GI型或其他较少见的形式。发病率和死亡率较高,很大程度上受宿主的免疫状态、致病病原体和临床表现的影响,播散性毛霉菌病的死亡率最高,以皮肤为主要表现的死亡率最低。
毛霉菌病的临床表现取决于基础疾病:鼻-眶-脑毛霉菌病通常见于糖尿病患者,接受移植者(实体器官移植和造血干细胞移植)和血液恶性肿瘤患者最常影响肺部和出现播散型。重大创伤或烧伤是皮肤毛霉菌病的主要危险因素,免疫功能正常者也可能发生皮肤毛霉菌病,实体器官移植也易出现GI表现。
肺毛霉菌病的症状包括发热、干咳、呼吸困难和胸痛。放射学表现可能类似于肺曲霉病,尽管存在10个或更多的结节、胸腔积液、出现反晕轮征、无晕征和空气新月征可能有助于区分肺毛霉菌病。
诊断通常基于丝状真菌的组织病理学或显微检测。可用的染色技术包括Grocott银染色、Calcofluor white染色和过碘酸希夫染色。如果在培养过程中毛霉目能成功生长,则需通过PCR和随后的测序进行菌种鉴定。
鉴别毛霉菌病和曲霉病至关重要,因为后者需要伏立康唑治疗,毛霉目真菌对伏立康唑耐药。两性霉素B脂质体是毛霉菌病的一线治疗药物;普遍的推荐剂量高于常规剂量(至少5 mg/kg/天)。抗真菌治疗的持续时间取决于临床表现,目前尚无循证指南来推荐治疗方案。因此,必须考虑每例患者的临床和微生物学特征。据报道,毛霉菌病的总死亡率约为50%,严重感染的肺脏疾病可高达75%。
肺毛霉菌病的慢性表现相对罕见,为与播散性疾病相比,症状较少,临床病程相对较轻,所以可能被忽视或诊断较晚,由于慢性表现可能发展为播散性毛霉菌病,临床高度怀疑和快速诊断对于实现早期治疗和将发病率和死亡率降至最低至关重要。
临床病程
根据丝状真菌的组织病理学检测,患者在切除前开始经验性使用伏立康唑。真菌PCR显示阳性,对活检标本测序证实存在少根根霉核酸。因表现局限,全部行手术切除,无并发症。术前抗真菌治疗改用IV两性霉素B脂质体。术中见肿块边界清晰。

图3 术中肿块
术后病程无明显异常。出院时,患者开始口服泊沙康唑,2周后停药。在10个月随访期间,患者无症状。
医脉通编译整理自:
A 71-Year-Old Man With Chest Pain and aSolitary Pulmonary Mass, https://doi.org/10.1016/j.chest.2020.02.083