编译:月下荷花
来源:肿瘤资讯
本来这是NEJM病例系列中一篇专业的继教文章,介绍妊娠期间结直肠癌的诊疗。然而通读文章后,最刺痛人心的却是患者在整个治疗选择中的犹豫不决,最终不治,撒手人寰,生前只看了孩子一次。她的犹豫不决也给经治医师留下了久久缠绕心头的遗憾,相信每个肿瘤医师都有过类似遗憾经历,也许明确更深层的原因才能更好的帮助这些患者。
临床表现
7个月前,常规孕检,经阴道超声见一正常妊娠囊和胚胎,其后孕检均正常,27周时发现1小时糖耐量异常。孕32周时连续3天未排便,腰骶部剧痛,评分10(0-10),最初疼痛发生于上腹部,后迁移至右上腹和腰骶部,伴严重恶心不能进食,无呕吐,因疼痛盗汗和不能入睡。疼痛4天后入住某院产科。
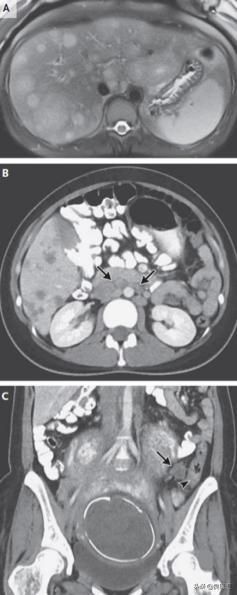
体温36.6°C,心率96次/分,血压105/68 mmHg,氧饱合度97%,右上腹压痛,妊娠子宫软,无肋骨痛。淀粉酶、脂酶和白细胞分类正常,多普勒超声可见胎心搏动,胎儿发育符合妊娠时间,生理指标正常。超声见肾脏和膀胱正常,肝脏弥漫异质性回声,有大量肿物。腹部MRI见肝脏多发病灶,T2加权像高信号,T1加权像低信号,最大损害7.4cm×3.9cm,部分中心坏死(图1A)。
给予别嘌醇和静脉补液,入院1天后转诊至第二家医院进一步评估。胸腹盆腔增强CT见大量低密度肝损害,部分边界清,最大损害8.2 cm,腹主动脉周围和门腔静脉周围淋巴结增大(图1B)。经皮肝活检提示转移性腺癌。患者未遵医嘱自行离院,经其产科医师转诊至麻省总院产科,此时孕33周。
患者持续的严重腰骶疼痛,无阴道流血和宫缩,体温36.2°C,血压114/74 mmHg,氧饱合度97%,无腹部压痛,有胎动,胎心125次/分。4年前孕10周时自然流产,正在使用含叶酸和硫酸亚铁的维生素,无过敏史,来自亚洲,住在波士顿郊区,已婚,教授,不吸烟饮酒或使用违禁药,其父患糖尿病和高血压,其姥爷患癌症,具体不详。

图1 腹部影像学。A. 腹部MRI,T2加权像见多发高信号;B.盆腔CT见多发腹主动脉周围淋巴结(箭头);C. 盆腔CT见乙状结肠增厚(短箭头)伴邻近淋巴结肿大(箭头)。
鉴别诊断
该患妊娠末期诊断低分化腺癌肝脏和淋巴结广泛转移,制定治疗计划时要先确定癌症起源。原发肝脏腺癌典型源于胆管,少见,转移至肝脏的癌症更常见。任何年龄女性最常发生的肿瘤是乳腺癌、肺癌和结肠癌,妊娠期女性最常发生的是黑色素瘤、乳腺癌、宫颈癌及血液系统肿瘤,占所有病例70%。患者有广泛肝转移,结直肠癌是最常见原因,乳腺癌也是较常见病因,肺癌、胃癌和胰腺癌也可转移至肝脏,应予考虑。为确定癌症起源,推荐完善家族史,免疫组化分析肝活检标本,根据结果再行进一步检查,如结肠镜、钼靶、胸部CT和食管胃十二指肠镜。
患者疼痛剧烈,一直未能得到很好的解决。曾建议患者结束妊娠,然后进一步评估与治疗,但患者及其丈夫坚持要先明确原发肿瘤、治疗方案和缓解疼痛。胃肠组医师仔细研究了之前的腹部CT,发现乙状结肠增厚且邻近淋巴结增大,食管胃十二指肠镜和结肠镜见真菌样生长、部分阻塞肠腔肿物,直径5.0 cm,位于乙状结肠,行活检。
临床诊断
孕33 4/7周,转移性结肠腺癌,IVB。
病理讨论
结肠活检病理见恶性细胞增殖,细胞大伴突出核仁,有丝分裂活跃,部分区域有腺体形成,符合低分化腺癌,免疫组化表达MLH1、MSH2、MSH6和PMS2,提示微卫星稳定,排除林奇综合征(图2)。
对肝脏活检病理回顾,见肝脏受累严重,伴纤维化和大量坏死,符合中分化转移性腺癌,免疫组化见肿瘤CK7、CK20、CDX2和SMAD4阳性,高度提示结肠癌,TTF1、PAX8、arginase-1和GATA3阴性,排除肺癌或妇癌(图2)。

图2 肝脏和结肠活检标本。A和B. 肝活检见肝脏多处受累,伴明显纤维化和坏死;C、D和E.结肠活检见恶性细胞增殖,部分区域腺体形成,符合低分化腺癌。
产科治疗讨论
明确原发肿瘤后,在满足患者意愿基础上,治疗机会变得极为有限,可如果结束妊娠后接受化疗则会使治疗少了很多麻烦,因为目前妊娠已34周,在激素促进肺成熟基础上,提早结束妊娠对新生儿不会有太大影响。
患者进行性衰竭,需要更高剂量镇痛药物,水肿已从足部漫延至乳腺。患者夫妇一直拒绝结束妊娠,亦未决定是否治疗。渐渐的疼痛很难控制,肝功损害进行性加重,出现高胆红素血症、高血氨症和代谢性酸中毒性。超声示胎儿臀位,因此计划剖宫产,待产后恢复后行化疗。可患者夫妇要求妊娠35周时才生产,此时胎儿已处于风险中,患者耐受大手术的能力也在迅速衰退。
终于至35周,患者全麻下剖宫产,婴儿无并发症,1分钟和5分钟Apgar评分8和9,脐血血气分析正常。
肿瘤流病学与讨论
结直肠癌
该患诊断乙状结肠腺癌伴广泛肝和淋巴结转移。历史上,结直肠癌中位诊断年龄67岁,年轻人群并不常见。结肠镜筛查可降低结直肠癌的总发生率,然而年轻人群的患病率正在明显增加。1950年代出生的人群结直肠癌发生率最低,1990年代出生人群患结肠癌风险是其2倍,患直肠癌风险是其4倍。研究显示,11%结肠癌和18%直肠癌发生于20-49岁人群,为年轻发作结直肠癌,是一组异质性疾病,具有独特的分子机制、临床表现和预后。潜在的病因是遗传性综合征,如林奇综合征和家族性腺瘤息肉病,结直肠癌家族史,尤其是一级亲属患病的人群发生年轻发作结直肠癌风险是无家族史者的4倍,提示具有复杂的遗传特征和表观遗传修饰风险。然而大部分年轻发作结直肠癌为散发,累及左半结肠时是一种独特亚类,分化差,多为印戒细胞分化,更具侵袭性,预后差。本例患者属于此类。
结直肠癌与妊娠
历史上妊娠期罹患结直肠癌并不多见,1/13000,但近年因年轻发作结直肠癌增加及妊娠年龄增大,其发生率有所提高。妊娠的一些症状,如贫血、浮肿和排便习惯改变与结直肠癌症状重叠,因此诊断常被延迟,但研究显示生存并未因此受到显著影响,提示散发早期发作结直肠癌的不良预后多源于疾病侵袭性本质,而非妊娠相关。因缺少家族史,本例患者的结肠癌可能为散发,侵袭性表现且位于左侧结肠均符合散发年轻发作结直肠癌的特征,其遗传学途径不同于老年结直肠癌。
妊娠女性转移性结直肠癌的治疗数据很有限。有病例报告提示,FOLFOX化疗对胎儿发育无显著影响,可允许至妊娠≥33周时生产,但儿童长期结果的数据极少,本例患者至结束妊娠时仍未明确是否化疗。该患的肿瘤具有侵袭性,已发生广泛转移,不适合手术切除,因此不可治愈,如患者选择治疗,推荐FOLFOX化疗,如无RAS和BRAF突变,可在初始化疗有反应后考虑加用西妥昔单抗或帕尼单抗。小型研究显示,FOLFOX在肝功能较差时,副作用仍可接受,而依立替康经肝胆清除,因此不适合本患。标准治疗后如果疾病进展,后续治疗时要考虑肿瘤的生物学特征,本患肿瘤为微卫星稳定,不适合免疫检查点*制剂抑**治疗;FISH提示HER2扩增,见于4-5%结直肠癌,对曲妥珠单抗与拉帕替尼或帕妥珠单抗联合治疗有反应。
患者希望与其孩子能共度一段时光,对是否化疗犹豫不绝,但临床状态日益恶化,肝功进行性恶化,治疗迫在眉睫。此时如果选择支持治疗,其生命预期极为有限。事实上患者具备化疗的一些基本条件,如年轻、强烈的与孩子共处更长时间的愿望,既往未经历过化疗,很大机会对初始治疗有反应,器官功能尚能支持治疗。然而经过家族会议讨论后,患者选择不化疗,病情迅速恶化,入住ICU后72小时,其家属仍拒绝化疗,患者只看到孩子一次,5天后死亡。
病理讨论
胎盘切片检查发现,绒毛间有几处可见恶性细胞,形态上与结肠腺癌相似,免疫组化检查时发现更多的肿瘤细胞,CK20阳性,部分SMAD4和CDX2阳性(图3)。母亲患癌时必需行胎盘检查,因为恶性肿瘤可转移至胎盘,此时癌症也是IV期。极少有肿瘤穿过胎盘传播至胎儿。最常见的原发胎盘癌症是原位绒癌,最常见转移至胎盘的癌症是黑色素瘤。胃肠道肿瘤转移至胎盘也有报道,但很少见。
此外对婴儿应每6个月进行一次超声检查,目前已筛查一次,无阳性表现。
这份病例中最遗憾的事就是反复向患者及其家属告知患者病情的严重性和紧急性,尽一切努力帮助他们做出决定,但最终也没能成功。

图3 胎盘标本。免疫组化见几处恶性细胞位于绒毛间,形态与结肠腺癌相似,强表达CK20。
参考文献
https://www.nejm.org/doi/10.1056/NEJMcpc1712230
版权声明
版权属肿瘤资讯所有。欢迎个人转发分享,其他任何媒体、网站如需转载或引用本网版权所有内容,须获得授权,且在醒目位置处注明“转自:良医汇-肿瘤医生APP”。