怀胎十月,宝宝与妈妈是共生死,同命运的一体。给宝宝一个健康的孕育环境,不要输在起跑线上,是每一个准爸爸准妈妈的愿望。与其孕期安胎养胎,不如孕前充分了解自己的身体,做足准备,特别是高龄备孕的女性,首当其冲就是评估卵巢的储备功能,从以下四个方面去评分:

1.性激素六项
性激素用于评估卵巢功能,主要看其中三项:FSH、LH、E2。正常卵巢储备功能的标准是早卵泡期FSH<10 IU/L,E2<292.8pmol/L (注意:每个实验室的标准可能会有少许误差,但不会相差太远)。基础FSH/LH>2-3.6、FSH超过10IU/L提示卵巢储备功能不足; FSH和E2的水平均升高,提示卵巢储备降低;FSH过高和过低都提示卵巢的功能的下降。性激素检查建议在月经第2天至第5天空腹状态下抽静脉血。
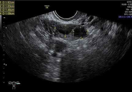
2.超声检测——基础窦卵泡数、卵巢体积
窦卵泡计数能帮助我们估计卵巢储备情况,药物刺激卵巢的响应,以及判断体外受精怀孕的成功率。说白点就是,医生在评估病情、分析用药和指导运用辅助生殖技术都要用到。

基础窦卵泡数(AFC)是早卵泡期阴道超声下检测到的直径2-9mm的窦卵泡数目,一般以AFC<5个提示卵巢储备降低,妊娠率下降;AFC6-10个时预示卵巢反应正常;AFC>15个时,预示卵巢高反应,卵泡刺激征(OHSS)的发生率较高卵巢体积大小同样反映了卵巢的功能,通常体积>3cm3 提示卵巢反应性好。超声检查同样不受月经周期的影响,但是以早卵泡期(即月经第2-5天)检查更为准确。
3.抗苗勒氏管激素(AMH)
抗苗勒氏管激素(AMH)与窦卵泡数呈正比,能真实地反映原始卵泡的储备情况。可以这么说,当卵巢功能有变化的时候,性激素还没来得及反应,AMH就已经有异常了。
AMH随年龄的增加而显著降低,在18-29岁女性维持在一个相对稳定的水平(2.85-3.57ng/ml),而在30岁后开始下降,37岁可下降至1.43ng/ml,而此时的血FSH水平没有明显变化,因此AMH能更早地反映卵巢功能的变化。AMH不受月经周期和饮食的影响,因此在任何时间段均可抽血检测。
4.性激素结合球蛋白( SHBG ):
在月经周期的任何时候均可以检测。是一运输性激素的载体,反应体内激素的变化情况。如PCOS,性激素结合蛋白降低。