让人疑惑的诊断流程,不算重复吗?
听到病人家属在抱怨:明明已经做了胸部CT,你们还明明下了肺癌的诊断,为什么还不快点准备马上手术,还要做什么穿刺活检?不必要吗?这不是重复吗?不是增加病人的痛苦吗?

听到这样的抱怨,说明医患间的沟通交流真的不够。而这样的疑惑,其实很有代表性,值得好好探讨探讨。
胸部CT对肺癌的诊断价值如何?
可以说,对于肺癌的诊断,CT的作用非常大,也非常值得依赖,目前还没有任何一种其它的检查技术包括MRI、PET甚至病理学检查在内,能够取代CT在肺癌早期诊断中的地位。也就是说,目前想早期诊断出肺癌,只有接受CT检查,才能最大限度地达到这个目的,而任何其他的检查,目前都还没有CT这么“牛”。不过,需要向各位说明的是,尽管CT“很牛”,但它毕竟还是属于影像学诊断范畴,它还是凭借所谓的“阴影”来诊断的,这个“影子”并不能完整反映病理性质的全部。通过这些“影子”来诊断疾病,能够看得准确吗?目前,也许今后,都难以做到百分之百!

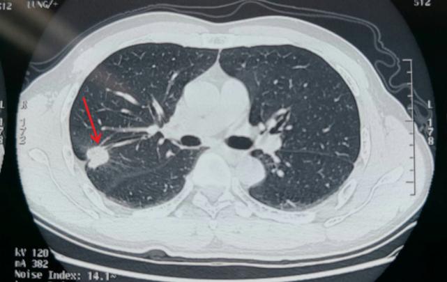
CT发现肺部小癌灶
CT诊断与病理检查的优缺点
如果将CT与病理检查来比较,应该是各有所长,并不能互相替代。
CT的强项在于能够敏感地看到肺部是不是有问题,问题在哪里,大致是什么性质的问题,漏诊比较少。但在具体病灶性质的细节方面还有缺陷,最权威的专家也不敢说绝对不会出现误诊。

CT对肺部病变的显示非常敏感
而病理检查的强项就在于通过所取得的病理标本,能够准确地判断病灶的病理性质,假如是肿瘤,它不但能够明确是肿瘤,还能准确地判断是什么类型,是小细胞肺癌还是非小细胞肺癌,是腺癌、鳞癌、还是腺鳞癌,分辨出神经内分泌癌、多形性癌、梭形细胞癌、巨细胞癌、癌肉瘤及肺母细胞瘤等少见的恶性肿瘤类型,甚至能够做到更为精确的基因分型。但病理检查的缺陷在于可能取不到肿瘤标本,或者看不到病理组织,漏诊的风险比较大。

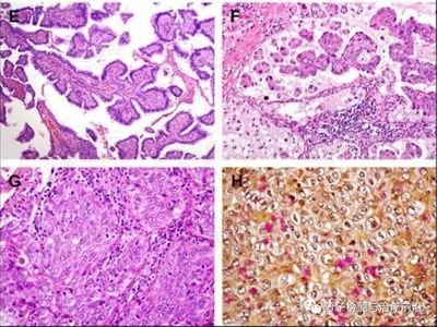
病理活检是肺癌性质判断的金标准
肺癌CT诊断后的穿刺活检还有意义?
这个问题其实需要个性化分析。既然两种方法各有所长,那相结合应用,自有它的道理,不能说是完全重复。比如说,假如CT已经诊断为肺癌,但对其具体类型仍然没有把握,影响到后续的治疗方案制定,那么,进行肺穿刺取活检标本,送病理学检查,还是有必要的。
至于是不是对CT所诊断的肺癌,都要做肺穿刺,那就需要医患双方根据具体情况好好沟通协商了。比如,有些病例完全可以在CT诊断后直接微创手术切除后,再送病理检查确诊,也是一种选项。

CT引导下穿刺活检,对病灶性质确诊意义大