一、什么是视网膜色素变性眼病?
在2018年5月11日,国家卫生健康委员会等5部门联合制定了《第一批罕见病目录》,视网膜色素变性被收录其中。
视网膜色素变性是怎么一回事?
视网膜色素变性( retinitis pigmentosa),简称为RP, 是一种,以进行性视杆和视锥细胞退行性病变为特征的,遗传性视网膜病,遗传方式有常染色体显性遗传、常染色体隐性遗传及性连锁隐性遗传等,其特征是双眼发病,慢性进行性视力损害并伴有眼底色素变化。RP是一种家族遗传性疾病,也是世界范围内常见的致盲性眼病,为眼科的疑难病。这对我们医学水平提出了极大的要求。

RP 在全球范围内的发病率为 1/3000-1/500,超过 150 万患有进行性视觉障碍。影响全世界约250 万人,我国人群发病率约为1 /4000,男女比例约3:2。且多数视力下降的患者会出现失明,这直接影响患者的生活质量。其特征在于视杆细胞和视锥细胞的逐渐丧失,由此导致严重的视觉功能障碍和双眼最终失明。除了来自约 70 个基因的超过 3 000 个基因突变点之外,已经报道了 RP 与其他类型的视网膜营养不良的广泛遗传重叠。因为其广泛性的基因突变,所以医学研究工作面临着复杂的挑战。

二、视网膜色素变性眼病是由什么导致的?
刚才我们介绍过,RP为遗传性疾病,具有显著遗传异质性。目前已知有至少90个致病基因。有研究显示,RP病变程度和病程特点与遗传方式有关,其中X染色体连锁遗传(X-linked RP, XLRP,约占5%~15%)临床表现较常染色体隐性遗传(autosomal-recessive RP, ARRP, 约占50%~60%)更为严重, 而常染色体显性遗传(autosomal-dominant RP, ADRP, 约占30%~40%)多数中心视力可长时间保留, 预后相对较好。约有20%~30%患者合并除眼部症状以外的全身其他症状, 被称为综合征型RP(syndromic retinitis pigmentosa, SRP).
而具体的生物化学与分子生物学基础,还有免疫理论又是什么样的呢?
生物化学研究发现氨基乙磺酸缺乏可引起猫产生视网膜色素变性,氨基乙磺酸是一种含硫氨基酸,在视网膜中含量很高,有可能是一种神经介质因子,起保护作用。 铜、锌和维生素A异常也可能与RP发病有关。

同样也有越来越多的证据表明体液免疫和细胞免疫参与RP的发病。Brinkman发现视网膜色素上皮变性患者的淋巴细胞可被牛的视网膜视杆细胞外节盘和人类可溶性视网膜抗原激活。其他的免疫系统异常包括T淋巴细胞减少,免疫抑制能力下降及血清免疫球蛋白水平升高。Hooks发现RP患者外周淋巴细胞缺乏产生γ-干扰素的能力。因此认为RP可能是一种自身免疫性疾病。
三、视网膜色素变性眼病有着什么样的表现?
本病症状严重程度不一,与视网膜色素变性类型和疾病的发展程度相关。典型的RP一般先侵袭患者视网膜赤道部,然后向赤道部两侧的视网膜区域发展,最后侵袭患者的黄斑区视细胞,使得患者黄斑功能敏感。

典型RP三联征是:骨细胞样色素沉着、视网膜血管缩窄和视盘蜡样苍白。在RP的早期阶段,眼底检查可能显示正常。在典型的RP异常出现之前,一些患者可能会出现非特异性的异常,如内界膜不规则反射、中央凹反射增宽以及RPE层局灶弥散性病变。
这里我们需要了解的是,并不是所有的RP患者都会形成典型的骨细胞样色素沉着,也有可能发展为粉尘状色素沉着或者硬币样色素沉着。色素沉着程度并不一定反映疾病的严重程度。RP中视网膜血管缩窄的病因尚不清楚。有报道发现,视网膜血管和迁移的RPE细胞之间的细胞外基质增厚导致血管变窄
四、如何对视网膜色素变性眼病进行检查?
如果出现RP相应表现或者相应症状,我们会采取什么方法对其进行进一步检查,从而更准确地确诊病情,以便尽快进行下一步的治疗呢?
一般会采用普通眼底检查方式,如眼底镜和彩色眼底照相采用宽波长可见光进行观察,但各类组织的信号相互掺杂,明显降低了图像信噪比,对于早期改变,比如血管变细、色素沉着等敏感性较低,同时RP患者常有一定程度的白内障,进而影响对病情的判断。
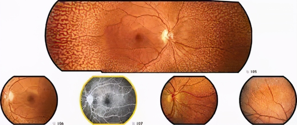
这时,医生会运用,多光谱成像技术( Multispectral imaging) 。它利用多个单色LED 光源分别投射入眼底不同深度的组织,采集因各组织吸收光谱的差异而反射的图像,可以对各层视网膜和脉络膜直接成像,以冠状面图像的方式呈现。相对于传统的眼底成像方式如眼底照相机、共焦激光扫描检眼镜等,多光谱成像具有超宽的光谱范围( 550 ~ 850nm) ,同时对临床所关注的疾病代谢物质可用敏感波长进行重点观察,因此能灵敏地发现疾病异常。
下图即可直观地展现,多光谱成像技术,是怎样观察病情的



(图自姚雪,冬雪川 视网膜色素变性的多光谱眼底成像)
五、如果已经诊出了视网膜色素变性眼病,怎样进行下一步的治疗?
1、中药治疗
夜明颗粒与益气明目丸均含有中药丹参,通过分析丹参治疗RP 的分子机制,筛选丹参的入血活性成分和作用靶点,得到与丹参相关的化学成分 202 个,筛得活性成分 65 个,其中入血活性成分 13 个,包括隐丹参酮、木犀草素、丹参酮ⅡA 等; 得到这些成分可能作用的靶点 117 个; 得到 85 个丹参影响 RP 病理过程的特征性基因,这些基因主要涉及转录调控、凋亡信号通路调控、DNA 核内复制调节等生物学过程。
2、细胞替代疗法
细胞替代疗法是指使用眼源性视网膜前体细胞( retinal precursor cell)或非眼源性干细胞[如胚胎干细胞( embryonic stemcells) 和诱导的多能干细胞( induced pluripotent stem cells) ]施用到玻璃体或视网膜下腔中。目前使用的移植方法,包括干细胞来源的 RPE 细胞和( 或) 感光细胞。视网膜植入物可恢复基本的视觉功能,改善相关视力的性能,并增加RP患者的日常活动能力。尽管这些结果令人鼓舞,但这些假体患者的视觉康复仍然复杂,还需要克服一些挑战,包括不良反应、设备寿命和解决方案。
3、基因治疗
基因特异性和突变特异性方法,对RP中突变的大多数基因编码的蛋白质,在感光细胞或RPE中均可表达。因此,这些方法在细胞退化前的疾病早期阶段最成功。目前尚不清楚一次性给予治疗载体是否可以提供长期、持久的临床疗效。最常用的病毒载体的载货能力也相对有限,不适合递送几种大 cDNA 基因(例如 EYS 和 USH2A 基因)。另一类能够以基因特异性和突变特异性方式起作用的,用途广泛的治疗性化合物,是一种小分子化合物。在LRAT或RPE65基因突变患者的早发性视网膜变性中,通过几种酶促反应将视觉周期破坏。口服类似于 11-顺式-视黄醛的 9-顺式视黄醇药物治疗,在早期临床试验中具有良好的耐受性和中度有效性。
RP的遗传异质性为疾病诊断和基因治疗带来了挑战。因此,分析RP突变基因谱,明确热点突变基因对于RP的早期快速诊断具有重要意义。不同种族RP患者基因突变谱存在显著差异。在我国,最常见的3个突变基因为USH2A、 EYS和CRB1。而我国患者18%的病例由USH2A基因突变引起,该基因是最常见的突变基因。15%的病例由CYP4V2基因突变引起,该基因突变在白种人中较少,而在东亚人群尤其是中国人群中较为常见,突变基因频率约为0.05。17种热点突变基因约占全部突变基因的76%。因此,总结我国患者热点突变并对这些基因进行筛查可能是早期诊断的快速简易的基因检测手段。针对我国RP患者的基因治疗,需要国内研究者基于我国特有的基因突变谱自主研发,从而使更多患者获益。通过基因治疗从而改善病症,还需我们不断进取,刻苦钻研,任重而道远。

六、视网膜色素变性眼病的治疗前景是什么样的?今后的努力方向又是什么?
RP是最常见的遗传性致盲性眼病之一,目前尚无有效的治疗方法。近年来基因治疗的迅猛发展为RP患者带来了希望。对于由较小基因突变导致的ARRP和XLRP,采用AAV等基因载体介导的基因增补策略通常可以补充正常基因,替代无功能的突变基因,因此可能成为此类RP的首选治疗方案。
而针对ADRP,目前的研究主要以沉默突变基因及导入正常基因的干扰RNA疗法为主。首个相关临床研究已于2019年正式开展,但该疗法可能导致致病基因的未突变编码链同时被抑制,其疗效有待进一步观察研究。
近年来,基因编辑技术的发展为不适于AAV载体基因治疗的大基因突变所致RP及ADRP的治疗提供了新的思路,利用CRISPR-Cas9系统或RNA编辑技术对突变基因进行修正可能成为未来基因治疗的新方向。为了实现精准医疗,未来我国基因治疗的尝试和推进应更多地以我国RP患者突变基因谱为导向进行研究,同时重视技术与产业化、临床密切结合,加快研发进度,从而惠及更多患者。不仅着眼于RP这个罕见病的研究,更是为RP患者带来了关注。
竭尽全力,除人类之病痛。这也是为医学奋斗的人们,孜孜不倦地追求。
参考文献
[1]姚雪,冬雪川. 视网膜色素变性的多光谱眼底成像. [J]. 医学理论与实践, 2021 ,34 ,(2 ):294-295.
[2] Zhang Q. Retinitis pigmentosa: progress and perspective[J]. AsiaPac J Ophthalmol ( Phila) ,2016,5( 4) : 265 -271.
[3] Fahim A. Retinitis pigmentosa: recent advances and future directions in diagnosis and management[J]. Curr Opin Pediatr,2018,30( 6) : 725 - 733.
[4] 余岚, 苏钰, 陈长征. 多光谱分层成像系统观察急性视网膜色素上皮炎一例[J]. 中华眼视光学与视觉科学杂志,2015,17( 9) :565 - 566.
[5]蒋鹏飞, 彭俊. 视网膜色素变性的实验研究进展[J].国际眼科杂志 2020 , 6 , 20 ( 6): 970-973.