金华地区的某A,今年已经76岁了,近段时间觉得胸闷不适,还有刺激性咳嗽,总是不会好,到当地医院查了胸部CT,发现是纵隔肿瘤。当地医生建议她到金华市中心医院做下气管镜下穿刺活检,以明确肿瘤性质。因为认识我们医院的某外科主任,所以又建议她来找我,结果我一看她从当地带来的片子,是纵隔内巨大的占位,与气管关系密切,位于气管右侧、食管右前侧、上腔静脉左侧、无名静脉后侧,被诸多结构包绕着,而且肿瘤密度不均,靠气管与无名静脉侧间隙不清,首先考虑纵隔内恶性或交界性肿瘤,由于年纪这么大,手术风险较高,若与气管有侵犯,则手术达不到根治,我也觉得应该先行经气管镜下的穿刺活检,明确病理后再考虑怎么办。所以让某A住到呼吸内科去,打算行气管镜下纵隔肿瘤穿刺活检。因当地的片子扫到胸顶部为止,没有做增强,我们先取本院增强片子上达胸顶,下达肿瘤下缘的范围来看看肿瘤的样子:

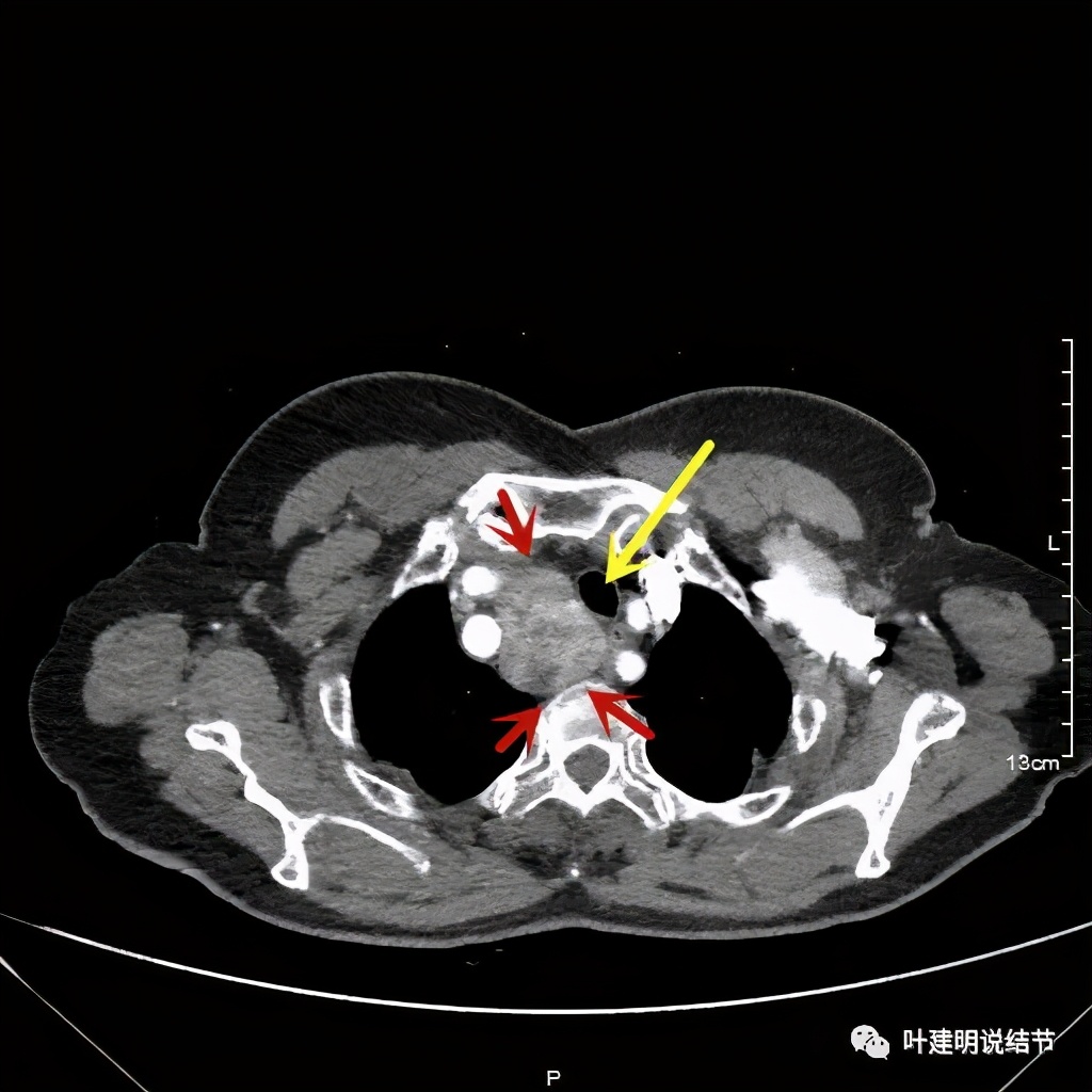
胸顶就开始有肿瘤了,黄色示受压迫移位的气管,红色示肿瘤

上图红色示肿瘤,黄色示气管,粉色示肿瘤与气管关系密切,而且肿瘤密度不均杂乱

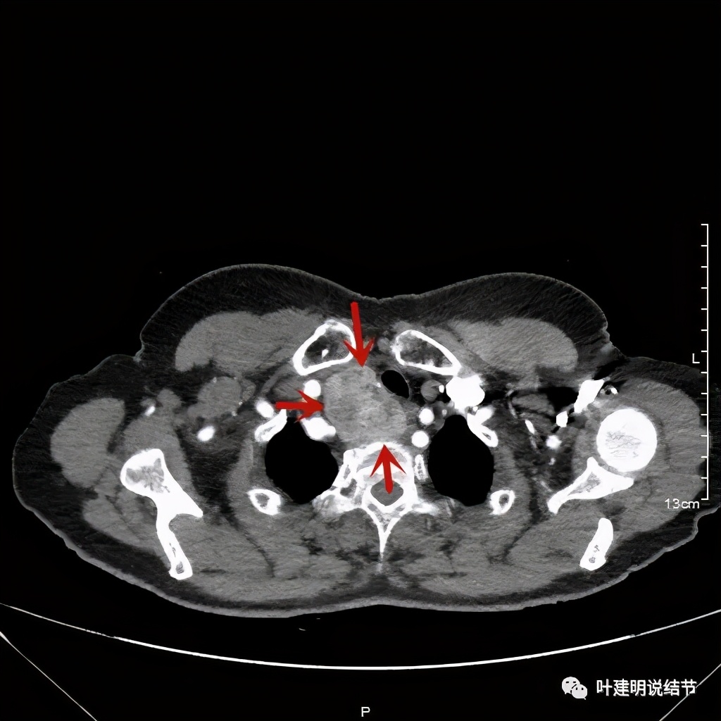
上图红色示肿瘤,黄色示气管,而且肿瘤密度不均杂乱


红色示肿瘤

上图红色示肿瘤,粉色示肿瘤与气管关系密切,而且肿瘤密度不均杂乱

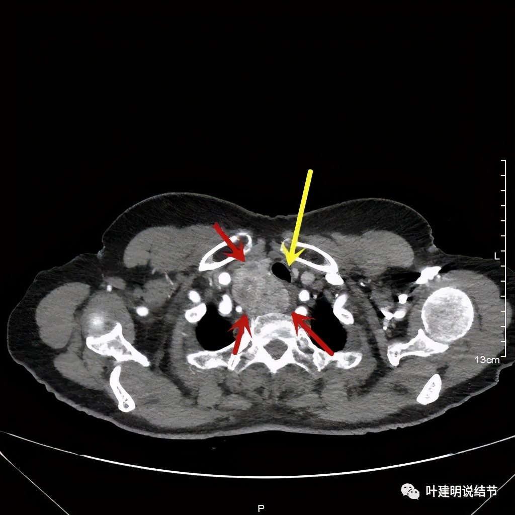
上图红色示肿瘤,黄色示气管,粉色示肿瘤与气管关系密切,而且肿瘤密度不均杂乱



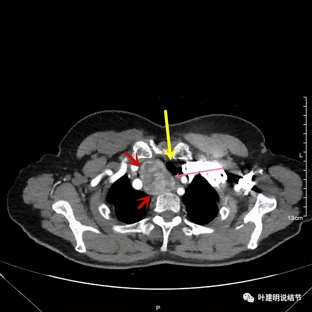
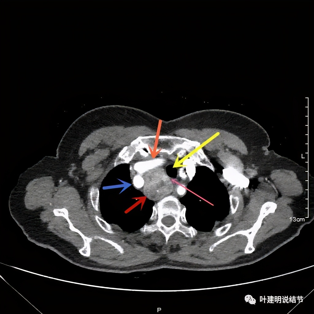
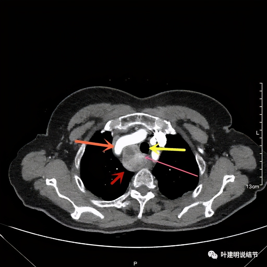
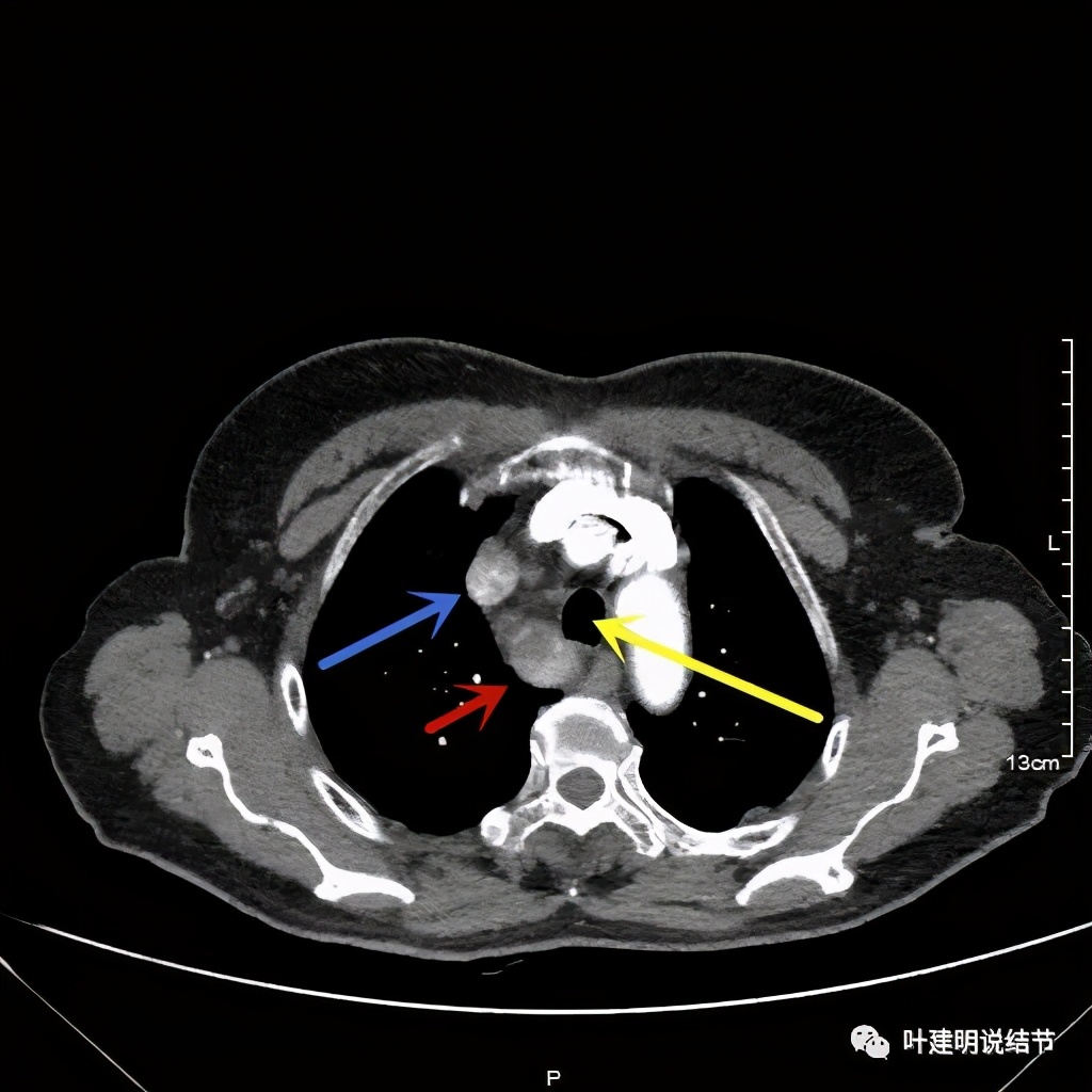
上图红色示肿瘤,黄色示气管,粉色示肿瘤与气管关系密切,桔色示左无名静脉,蓝色示上腔静脉,而且肿瘤密度不均杂乱

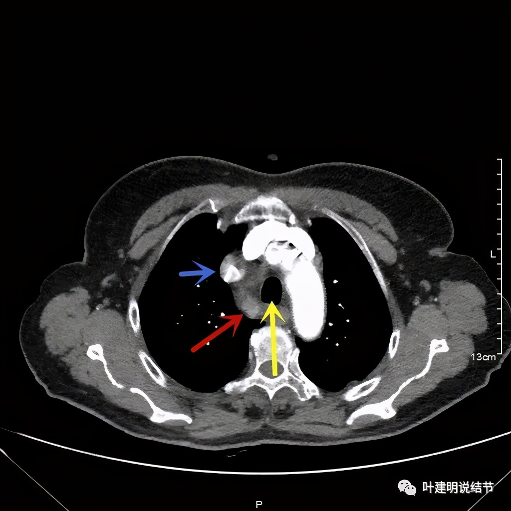
上图红色示肿瘤,黄色示气管,桔色示左无名静脉,蓝色示上腔静脉,而且肿瘤密度不均杂乱

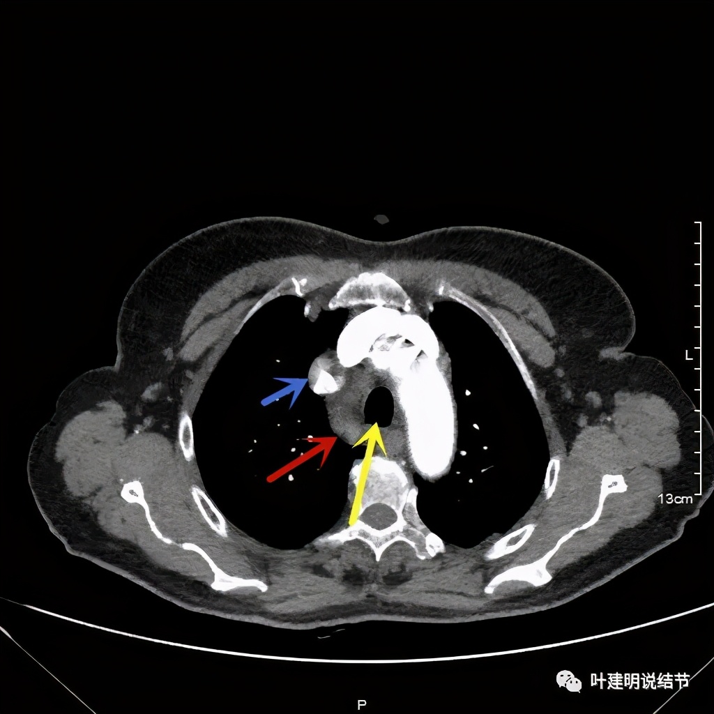
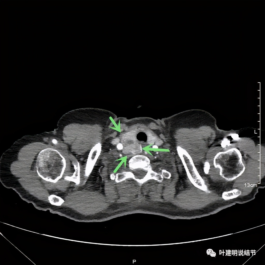
上图红色示肿瘤,黄色示气管,粉色示肿瘤与气管关系密切,桔色示左无名静脉,肿瘤密度不均



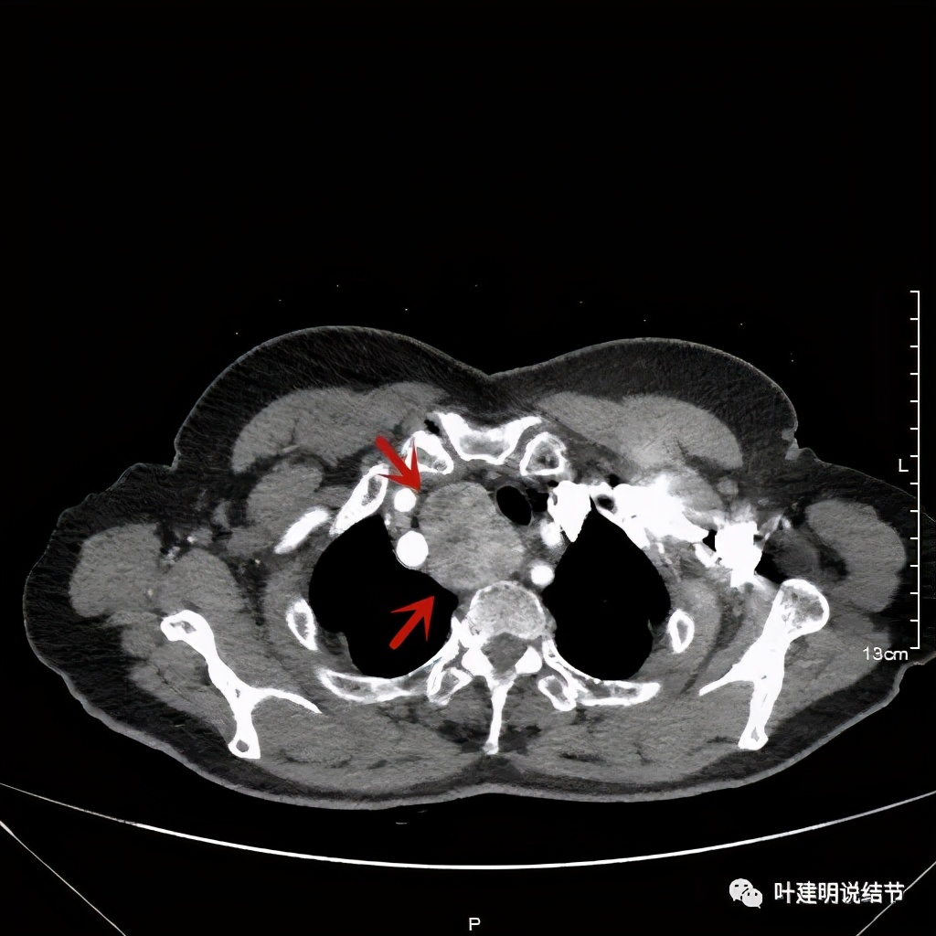
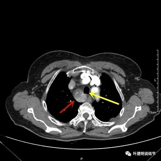
上图红色示肿瘤,黄色示气管,蓝色示上腔静脉


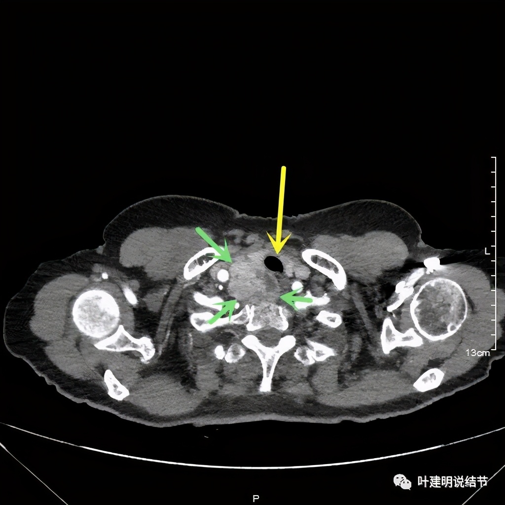
上图红色示肿瘤,黄色示气管,蓝色示上腔静脉,肿瘤已经快要消失了的层面,它距离隆突只有2点几厘米了,位置很低
住到呼吸内科后完善了相关检查,包括甲状腺彩超,结果如下:

甲状腺有增大,但结节TIRADS分类为2级,右侧最大的结节不到3厘米。本院准备要气管镜下穿刺活检了,但胸部CT增强的报告考虑肿瘤考虑甲状腺来源!我们再来往上看看肿瘤是怎样的?(当地医院的没有扫描到颈部去):









我们由胸顶再往颈部一层一层看,结果真的肿瘤是与右侧甲状腺相连的!那么应该可能是甲状腺来源的纵隔肿瘤(胸内甲状腺肿瘤)。这样的话,其他的边缘界限清楚,这种密度以结节性甲状腺肿可能性大,不太像甲状腺恶性肿瘤。那么与气管间估计也是紧密靠着而已,不会是侵犯的。所以我们商量后就不穿刺,打算直接手术切除。术前做了冠脉CT,也有点问题,好在冠脉狭窄程度不重:


决定手术后,我们担心的是,肿瘤位置这么低,快到气管隆突部位了,能不能从颈部切口提上来?如果不能仅从颈部横切口完成手术,这么大年纪,再经胸做切口吃不吃得消?若与周围气管或无名静脉粘的紧,风险如何?术前我们与家属进行了充分沟通,也做好了术中翻身中转再经胸切口手术的准备。好在手术时发现肿瘤比较游离,钝性分离后能提到颈部掏出来,所以手术过程只有半小时光景就好了,只需颈部一个横切口、肿瘤大小约8-9厘米。这样的结果还是非常理想的,创伤也不大,恢复也会快,效果也好。术中病理示:结节性甲状腺肿。但是回想这个病例是有后怕的:如果我们医院扫描胸部时也到胸顶为止,甲状腺彩超双没有提示甲状腺结节与肿瘤的关系,临床医生可能容易疏忽掉,那么若穿刺了病理报结节性甲状腺肿,那也仍可能回头仍经颈部操作切除肿瘤。但临床有胸外科医生若一看是纵隔肿瘤,没有考虑穿刺活检或年纪不是这么大,直接经胸手术,那反而麻烦的多了,与甲状腺相连,经胸做不到颈部去,显露也不佳,可能够喝一壶的了!所以胸部CT扫描时往颈部扫一点,包括下颈部,见到甲状腺,则会减少这方面的疏漏。
(此处已添加医疗卡片,请到*今条头日**客户端查看)