近年来,女性不良妊娠的情况越来越常见。什么是不良妊娠?就是和正常怀孕相对立的,因为各种原因导致不好结局的妊娠(对母体,对胎儿),分很多类。今天谈的就是其中有一大类:葡萄胎。
人体是个复杂精密超乎想象的构成,所有的疾病本身都很难用三言两语说明白。咱们长话短说,简单谈谈对于葡萄胎最好能了解的几件事。
※什么是葡萄胎

就像卵巢巧克力囊肿和吃巧克力没关系,葡萄胎也不是吃多了葡萄导致的。它本质上是怀孕后胎盘的绒毛滋养细胞增生,间质高度水肿,水泡状像葡萄,因此得名。
临床上根据术后病理可以分为完全性葡萄胎和部分性葡萄胎。但不管怎样,划重点,单纯的葡萄胎是一种良性的滋养细胞疾病。不必谈虎色变。
发病原因是什么,不明。尽管有一些相关因素,但并不绝对。
※葡萄胎有什么表现
葡萄胎长的比正常胎儿快,快很多,这是它的特点。对应的,患者经常表现出以下情况:
HCG升高异常的快。备孕的女性对HCG应该不陌生,它全名是绒毛促性腺激素,怀孕后会翻倍增长,也是怀孕期间经常监测的一个指标。到了葡萄胎身上,就不只翻倍了。所以,会有女性发现停经刚三十多天,早孕试纸强阳性,或者直接去医院查血,指标异常高。

阴道流血:葡萄胎急速生长,患者常常在停经后2到3个月出现阴道流血。一开始可能很少,如果忽视了不做处理,后期会反复出血,越来越重。划重点,大出血是有致命危险的。有时随着流血可以排出水泡状的组织。
子宫异常的大而且软。怀孕的肚子可能两三个月外人根本看不出来,可是在葡萄胎这种情况下,增大的子宫会非常明显而且非常软,有些患者自己都能感觉到。
妊娠剧吐。本来怀孕呕吐这个事情就因人而异,有人吐的昏天黑地,有人很自在。但在统计概率上,因为HCG的明显升高,葡萄胎患者出现剧吐的概率很高。

妊高征:如果葡萄胎患者没有及时去产检,没有及时发现做出处理。越到后期对母体的损伤越大。随着子宫的迅速增大,很容易出现妊娠期高血压,严重时出现子痫,心衰。划重点,这个情况是可以致命的。
※葡萄胎怎么处理
所有疾病,早发现早处理都是最好的策略。葡萄胎也不例外。如果发现自己怀孕了,那么请按照产检的常规步骤,定期检查。血HCG和超声都是良好的诊断手段。
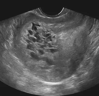
正常情况下,怀孕4-5周超声能看到孕囊,6-7周可以有心管搏动。而葡萄胎的超声,没有这些变化,只有称之为落雪状的影像表现。

所以,不要等到大量流血急症住院才发现竟然是葡萄胎,更不要等到怀孕20多周因为高血压因为心衰才发现原来是葡萄胎。处理的越晚损伤越大。
临床一旦确诊,会在患者一般情况允许的情况下,尽快予以清宫术。有些患者经过评估后发现有高危因素,医生会建议行预防性化疗,这个需要具体分析。
※葡萄胎治愈后就可以放心了吗?
答案是:不能。
葡萄胎虽然本身是良性病,但是它有很长的恢复期,需要长时间的随访,并且有可能复发,还可能继发恶性疾病。
葡萄胎术后,血HCG不会一下子就降到正常值,它有一稳定下降的过程,一般在术后9周恢复到正常。也有比较慢的,可能到13-14周。
葡萄胎处理后严格的随访,要进行妇科检查,复查血尿HCG,医生会根据患者恢复的情况制定一个具体的复查计划,多少天来查一次,正常了之后改成多少天,这个复查是非常关键的。因为有些人的HCG一直下降的不好,或者本来降低了又升上去了,都要考虑有没有恶性的可能。
葡萄胎治疗后,最大的风险就是出现恶变:侵袭性葡萄胎或者绒癌。这两种疾病进展都很快,特别容易转移,但如果及时发现对化疗的效果非常好。
葡萄胎术后,要严格避孕。有人建议1年,有人建议2年。个人看法是:有什么能比命重要。时间长点更保险。
