研究兽用B超在母猪妊娠中探测的方法和诊断标准,通过B超监测技术建立母猪妊娠早期、中期、末期的超声影像图谱,旨在为母猪不同妊娠时期提供超声判断依据,以便在临床和猪生产上推广使用。
目前,超声诊断在动物临床和动物生产上发挥了重要的作用,广大畜牧兽医工作者越来越认识到B超诊断技术在畜牧业的价值,但是由于对B超技术的认识不足和超声知识的相对复杂,不易短时间掌握等原因,使B超技术尚未在畜牧业被广泛推广。本研究通过监测母猪全程妊娠,建立易懂易学的母猪早期、中期、末期妊娠的超声影像图谱,同时为缺少妊娠中后期的超声影像补充了标准声像图谱,旨在建立一套系统而完善的母猪妊娠期胎儿变化的 B 超参考图谱,用于指导畜牧生产实践。
一、母猪未孕和妊娠的声像图区别
未孕子宫角位于膀胱前后和前下方,膀胱内的积尿对超声波不产生反射,其声像图呈较规则的暗区。 未妊娠子宫角的壁对超声的反射弱,其断面的声像图呈各种不规则圆形的弱反射区,子宫角外膜的反射也不强。 要注意断面的界限,以与肠管的断面相区别。妊娠初期子宫中出现孕囊,又称妊娠囊。内含初期胎水,量很少,对超声不产生反射,呈小的圆形暗区。 在配种后 19d、20d 最早被扫查到时,暗区的直径在 1.0cm 左右。 通常为 1 个暗区,有时可见 2 个或 3 个相邻的暗区,位于膀胱暗区的前下方或下方。随妊娠进展,暗区面积不断扩大,呈多个不规则圆形、大小不等的暗区或两端钝圆的长条状暗区。妊娠 21d 以后,可在子宫暗区内扫查到胚体,呈椭圆形弱反射,在胚体中一般可同时观察到呈规律快速闪的亮点,此为胚心搏动,也可以近年来,B 超在各类动物上都有了更广泛和更深入的应用,不仅是用于母畜妊娠检测,更用于对卵巢和黄体状态以及子宫疾病等的检查,甚至对繁殖障碍疾病的辅助诊断。此确定该弱反射为活的胚胎。 妊娠 26d 后,胚胎逐渐显出胎与其他管道的分布情况。
尤其是 B 超技术应用更为广泛。 如早期妊娠诊断、监测胎儿死活、辨别胎儿性别、估测多胎妊娠、测定卵泡、黄体及胎儿的大小,诊断卵巢及子宫疾病,观察公畜生殖器官结构等,也广泛地应用于猪的背膘和眼肌面积的测定。
二、测定时间和方法
配种后从第 18 d 开始监测, 配种后 18~35d,每 4 d 检查一次;45~84 d,每 7~10 d 检查一次;85~110 d,每 10~15 d 检查一次,采集各个时期的典型影像图。每次监测在上午 8 点左右进行,并做好记录。
早期探测部位:经产母猪在倒数第2对乳头至第3对乳头之间、母猪乳基部起外侧 5~10 cm 之间;
后备母猪在倒数第1~2对乳头上方、母猪乳基部起外侧 5~10 cm 之间。
随妊娠增进,探查部位逐渐前移,最后可达肋骨后端。猪被毛稀少,探查时不必剪毛,但要保持探查部位的清洁。 刮除泥土和污物,探查时涂布耦合剂。直肠内探查时,需要确实保定,无需耦合剂,可用消毒水湿润探头。
耦合剂涂抹于B超探头上,在探头表面和皮肤之间良好浸润以彻底排除空气,形成使超声波顺畅和不失真传播的通道,使成像清晰。将探头贴于腹壁向内紧压,以便挤开肠管更能接近子宫,提高检出率,一个点探查结束后,探头向前移半个至一个乳房继续探查,直至确诊为止。体外探查时,探头紧贴腹壁,妊娠早期探查,探头朝向耻骨前缘的骨盆腔入口方向, 或呈 45 度角斜向对侧上方。 探头紧贴皮肤,进行前后和上下的定点扇形扫查,动作要慢。
如果检测到有胚胎,就不用再检测另一边;如果没有检测到胚胎,需左右两边都得检测,避免漏检。随妊娠天数的增进,应扩大上下前后的探测位置。
三、判定标准
根据B超成像原理,无回声暗区灰阶标记为黑色,强回声亮区灰阶标记为白色。具体组织器官成像色阶如下。
黑色:主要是液体,包括血液、羊水、组织间隙液体、炎症病灶等。
白色:主要指密度较高的物体,包括骨胳、结石和气体等。
灰色:主要指实质性组织,包括:肌肉、脏器等。
看到黑色孕囊即判定阳性(怀孕);子宫区域成均匀一致的中等灰度的团状回声,为阴性(未孕);
可疑,未见子宫区域的回声像图,未见明显孕囊。疑似或者不确认的母猪,标记后应连续复检。
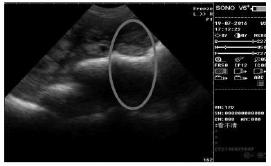
①妊娠早期B超影像图表现及其特征
配种后最早探测到孕囊的时间为 18 d,18 d胎囊直径10 mm (见图1),但检出比例较低。
妊娠 18 d~25 d 期间孕囊急速增长,子宫区域内有多个近似圆形的黑色暗区 (孕囊),且暗区呈现收缩性的胎体反射。妊娠32 d显示胎儿骨骼钙化的强回声。妊娠 21 d~35 d,因孕囊内充满羊水,孕囊明显而且形状大致成圆形,里面含有低回声的胎体反射。随着妊娠天数的增加孕囊逐渐变大,孕囊内的胎体反射也逐渐增强。早期胎囊为圆形或椭圆形,之后多数变为不规则。

图1 妊娠18 d图像
②妊娠中期B超影像图表现及其特征
娠中期 (配种后 45 d~84 d) 是胎儿骨骼开始钙化到钙化完全的时期,由于羊水减少,孕囊变得不规则且不清晰 (见图 2),发育为胚胎,该时期的影像图上逐渐可见回声增强的白色强回声骨骼影像,80 d时,胎儿脊柱清晰显示。

图2 妊娠45 d图像
③后期B超影像图表现及其特征
妊娠后期 (配种后84 d~114 d) 胚胎生长发育迅速,该时期的影像图 (见图 3),可以清楚的看到胎儿的肋骨和脊柱,且体腔分辨清晰。

图3 妊娠95 d图像
根据不同时期所得典型影像图可以得出以下结论:
早孕阴性的判断须慎重,应几天后多次复检。18 d~23 d 孕期左右的母猪,即可进行 B 超测孕,但由于羊水太少,图像不好判断,准确度也会因检测人员经验因素有所影响,容易造成误判,而且检查时间长,耗费人力,而此阶段正是未怀孕母猪返情的时期,应结合母猪的发情鉴定来确定母猪是否妊娠。
24 d~30 d 孕期左右的母猪,B 超成像的黑斑蜂窝状黑斑明显,非常好判断,是妊娠检查的最佳时期。
随着妊娠天数的增加,探头的探测区域要逐渐扩大。妊娠中期,孕囊中的羊水减少,孕囊变得不规则,且胎儿骨骼逐渐发育,因此影像图谱应以观察白色强回声的骨骼 (脊柱) 图像来判断。妊娠后期应以观察胎儿脊柱胸腔的骨骼图像来判断。
四:母猪子宫和卵巢疾病诊断
猪子宫有炎症时其子宫区域一般都有不同程度的增大,子宫壁增厚,并且在子宫区域内能见到强弱不等的回声。
其中的强回声是由于炎症造成子宫内膜的增生所导致,其弱回声是由炎症导致的炎性渗出物所形成。子宫积液时其影像图的特征是子宫区域内有大量形状不规则的液性暗区,区别于妊娠后的子宫内羊水的液体暗区影像,且在子宫内找不到均匀的孕囊暗区。
子宫蓄脓和子宫积液的B 超影像图相类似,但是蓄脓时其液性暗区内往往能见到雪花状的强回声斑点。母猪的卵巢囊肿有卵泡囊肿和黄体囊肿两种。
成熟卵泡壁破裂或闭锁使卵泡液滞留形成卵泡囊肿,卵泡壁增厚,其B超影像为液态性暗区并有强回声光环。 黄体囊肿系由卵巢黄体扩张形成的囊肿,其 B 超影像为不均匀的暗区,并带有网状回声线。 使用 B 超仪诊断子宫和卵巢疾病,需要有丰富的临床实践经验和娴熟的 B 超仪操作技术。 对超影象细节的捕捉、观察和分析,往往一次性的 B 超检查是做不到的,需要连续跟踪观察子宫和卵巢上的细微变化,从而判断疾病的发展趋势。
五:B 超应用的效益
5.1 常规早期妊娠诊断方法对于第一情期配种后不发情而又未孕(占配种头数的 20%左右)的母猪,一般需待到配种后 40~80d 左右 (由兽医技术水平所决定)方能比较有把握地确诊是否怀孕。 这样的母猪在一个繁殖周期内有可能造成 20~60d 的无效饲养。 据实验猪场统计, 使用 B 超进行早孕监测后,诊断妊娠的准确率至少提高了 9 个百分点。 及时检出未孕母猪, 每发现 1 头空怀母猪可减少20~60d 的无效饲养。
5.2 避免间接经济损失。按每头成母猪妊娠期114 d 计算,每头成母猪年产仔猪 2.3 胎,如果母猪空怀或患有繁殖障碍性疾病,则势必影响母猪的繁殖胎数,结合市场行情,无形中将造成更大损失。而应用 B 超监测技术,除可以及早判定母猪空怀外,还可以对母猪繁殖障碍性疾病(卵巢机能异常或疾病、子宫疾病、死胎流产)以及公猪的*丸睾**、副性腺等疾病及早做出科学诊断,及时采取治疗、淘汰或给予*情催**等相应措施。
5.3 保证均衡生产。 规模化养猪的生产效益关键在于均衡生产,均衡生产取决于均衡配种。 B 超监测可及早准确掌握妊娠母猪的头数, 同时利用B超可观察母猪产后的子宫复原情况,B 超如果在生产中得到广泛应用,饲养者就可以选择生殖机能正常的母猪参加配种,准确掌握健康母猪参配数目,以提高情期受胎率,从而保证均衡生产。