三代保底药物劳拉替尼终于逆袭成功,成功获批一线治疗!
2021年3月4日,FDA最新批准了l第三代ALK*制剂抑**orlatinib用于ALK阳性非小细胞肺癌一线治疗!
劳拉替尼(Lorlatinib,LORBRENA)自问世以来就备受青睐,这款三代靶向药物的强大之处在于可以克服所有已知的ALK抗性突变并可通过血脑屏障;可抑制克唑替尼耐药的9种突变,对二代TKI药物耐药后仍有较高的有效性;同时劳拉替尼也具有较强的血脑屏障透过能力,入脑效果较强,特别适合对其他ALK耐药的晚期NSCLC患者。此次获批让劳拉替尼这个曾经的保底药物一跃成为ALK阳性患者一线首选治疗,相信将给患者带来更好的治疗效果和更大的生存获益。

颅内缓解率高达82%!劳拉替尼成功进军一线治疗!
此次获批是基于劳拉替尼CROWN研究的重要结果。CROWN是一项专门对比一代药物克唑替尼和三代药物劳拉替尼一线治疗ALK阳性非小细胞肺癌临床效果的3期临床研究,其中296名先前未经治疗的晚期ALK阳性NSCLC患者被1:1随机分为接受劳拉替尼单药治疗或克唑替尼单药治疗。结果显示: 劳拉替尼能够使疾病进展或死亡的风险足足降低72%!
根据最新数据显示:劳拉替尼对于发生了脑转移的患者颅内病灶的疗效非常出色,整体缓解率达到了 82% ,其中完全缓解率更是高达 71% !与克唑替尼相比,劳拉替尼还能够明显延长患者颅内病灶的缓解时间,有效使患者颅内病灶发生进展的时间延后。
在无进展生存方面,接受劳拉替尼治疗的患者,1年无进展生存率为 78.1% ,克唑替尼治疗的患者1年无进展生存率为 38.7% 。两者相比,劳拉替尼1年无进展生存率是克唑替尼的两倍!

总结一下,作为全新一代的ALK*制剂抑**,Lorlatinib的优势在于:
- 针对不同类型的ALK+,有脑转移的患者,一线使用,有效率高达82%;
- 而对于三种ALK*制剂抑**都耐药的患者,Lorlatinib也有很好的效果,有效率高达39%。
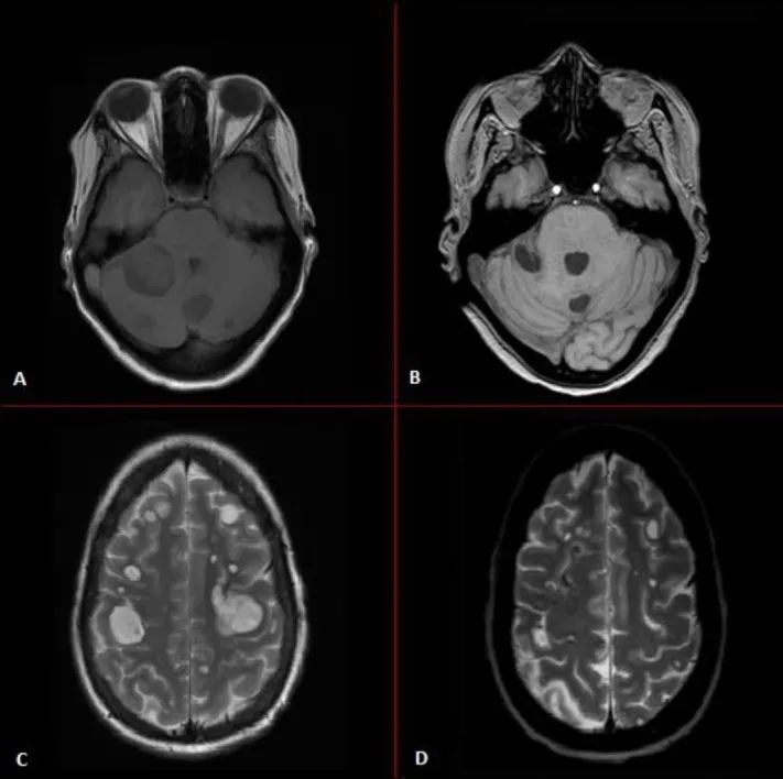
比如48岁的M女士被诊断为左下叶IV期非小细胞肺癌,基因检测结果显示存在ALK重排。在接受了一代药物克唑替尼和二代药物色瑞替尼后病情持续恶化,出现了脑部多处转移。开始尝试三代药物劳拉替尼的治疗后,仅一个月,M女士的意识竟然完全恢复了,右臂轻瘫明显改善,仅出现极少的神经后遗症。一年后,M女士仍几乎没有神经系统症状,大脑的MRI扫描没有转移迹象。
下面是M女士的MRI,A,C图显示在克唑替尼使用期间发生了多个颅内转移,B,D显示M女士接受劳拉替尼治疗一周后,颅内转移灶迅速消退,肿瘤标记物迅速下降。


文献中报道的另一位患者在克唑替尼治疗一年多后,疾病进展换为布加替尼。两个月后出现了多个脑转移病灶,接受劳拉替尼治疗数天后完全康复。

未来已来!ALK阳性肺癌患者迎来更多续命好药
大约3~13的非小细胞肺癌患者出现ALK重排,化疗的客观缓解率仅为45%,这意味化疗仅对不到一半的患者起效。
十年前,第一款针对ALK重排的*制剂抑**问世,将客观缓解率提升至74%,为患者显著增加了治疗机会。在不到十年的时间里,非小细胞肺癌的ALK突变已经从一个几乎不了解的领域发展越来越清晰,尽管针对这一靶点的药物不如EGFR等靶点的靶向药物数量多,但整体来说,疗效都十分惊艳。目前已获批的五款ALK-TKI药物中,最早获批的克唑替尼能将ALK阳性非小细胞肺癌患者的中位无进展生存期延长近5个月,布加替尼治疗的中位无进展生存期达到13.8个月,赛瑞替尼达到16.6个月,阿来替尼更是达到了惊人的34.8个月,成为ALK重排NSCLC一线治疗的首选药物!
劳拉替尼是第三代ALK / ROS1*制剂抑**,与克唑替尼相比,劳拉替尼对野生型EML4-ALK的效力约高10倍,对EML4-ALK L1196M的效力约高40倍。
除此之外,我国对于ALK-TKI的研究也紧跟国际步伐,靶向新药展现出非凡的潜力。
在2020年世界肺癌大会上,研究者公开了二代国产ALK-TKI药物恩沙替尼(Ensartinib)的临床试验数据,作为一线治疗,将ALK阳性非小细胞肺癌患者的无进展生存期推进到了25.8个月,显著超过了一代ALK-TKI药物克唑替尼的12.7个月。
另外国内药企自主研发的二代ALK-TKI药物CT-707治疗非小细胞肺癌的Ⅰ期临床试验也在北京协和医院进行中,共招募13位患者,其结果显示,CT-707一线治疗ALK阳性晚期非小细胞肺癌患者,450 mg q.d剂量组的客观缓解率为87.5%,疾病控制率达到了100%;对于克唑替尼耐药的患者,300 mg b.i.d剂量组的客观缓解率为83.3%,疾病控制率达到100%,疗效在同类药物中表现优异;在每天至少接受450 mg CT-707治疗的12例肺腺癌患者中,58%的患者治疗持续时间为11个月或更长时间,中位无进展生存期为13个月。
目前,CT-707的研究已经进入Ⅱ期临床阶段,正在免费招募患者,想申请的患者可以联系全球肿瘤医生网医学部进行评估。
或许,肿瘤成为慢性病,就从这里开始!也希望其它靶点的靶向药有这些好药,一代耐药换下一代,源源不断!