前言
依然还记得小时候,一到田地里的杂草,开始繁茂生长,爷爷就会背着一个喷雾器。然后打开一瓶,上面画着骷髅头的瓶子,一种夹带着刺鼻味道的灰褐色液体,就被倒入喷雾器里,再掺上大半壶水,就可以用来除草了。
我们都知道,这种看起来挺恐怖的东西叫作 农药 ,广泛用于农村除草。田地里的杂草遇见农药,药效强的,会让杂草立马丧*身失**体机能,枯萎而死。药效弱一点的,只需要隔几天再去看,也都枯萎了。灭掉这些杂草,就是为了不让田地里的养分被这些杂草给抢走。

农民喷洒农药
后来农药又有了别的“用途”—— 自杀 。
在农村,了解最多的自杀手段,并不是像刑侦剧里边,采用跳楼、割腕这类的手法,反而是喝农药。因为很多人认为,大部分的农药,对人体的伤害并没有那么的强烈,而且这种药物是需要长时间的反应时间,只要短时间内没有耽误就医时间,洗了胃,基本上都没有太大的问题( 不提倡 )。
但是,直到它的出现,给医学留下了一个难题,给病人带来了深深的绝望。

喝农药进医院
百草枯
“给你足够的时间后悔,却不给你活命的机会”。
不知不觉,这句话已经成为了这种农药的代名词,仅仅只是通过这段话的描述,就能让人对这种农药望而生畏。它就是我们今天要介绍的剧毒—— 百草枯 。百草枯,又被叫作“对草快”,属于一种灭生性除草剂,是一种溶于水的淡黄色液体。运用到农业上的时候,一旦接触到植物的叶片,会立马被绿色组织的叶绿体膜吸收,然后枯死。

农药百草枯
而它还有一个特点,就是 遇到土壤会立马钝化 ,对植物的根部不会造成伤害。对植物具有一定的 触杀作用和内吸作用 。在农业上,由于反应速度快,灭杀效果很好,被广泛运用。
百草枯的毒性
当然,我们今天所想要了解的并不是它对植物的伤害,而是它对人类的伤害,了解为什么它会留下了那么多的传说。
说到百草枯对人类的伤害的时候,我们必须先了解一个人,“ 百草枯之父”——李德军 ,现山东省农药科学研究院院长。

李德军院长
也就是他,在2004年成功研究出了百草枯,成为了 世界上第二家掌握这门技术的研究院(第一家是先正达公司垄断生产) 。攻克成功过后,将技术转让到 红太阳公司 ,并且随之在全国范围内,拉动了一整条产业链的发展。
可让人没想到的是,这种农药对人体的危害会这么大。网上是这样评价百草枯的:
“就诊13位误喝百草枯的病人,中毒身亡12个,最后抢救回来的那个还是喝了假药”。
医院给出的百草枯死亡率高达 90% 。百草枯为什么对人体会有这么大的毒性呢?

百草枯死亡率极高
百草枯的主要成分,是由2种化学成分组成的,分别是 二甲基和二氯二吡啶 。 二甲基是一种无色的氨气液体,遇到明火和高热量物质是容易发生爆炸,并且会释放出大量有剧毒的气体。
假若吸入这种气体,会对人的 眼睛、皮肤、上呼吸道 等都有刺激作用,还会引发一系列的并发病。而二氯二吡啶则是一种对水会造成大量污染的气体。
百草枯,对人体造成的伤害,和对植物的方式其实差不多。 百草枯被植物的叶绿体膜吸收,然后产生破坏。 叶绿体膜是植物进行光合作用所必须要的组织,而我们人类食用肺部进行呼吸。所以, 百草枯主要对人体的肺部进行攻击 。

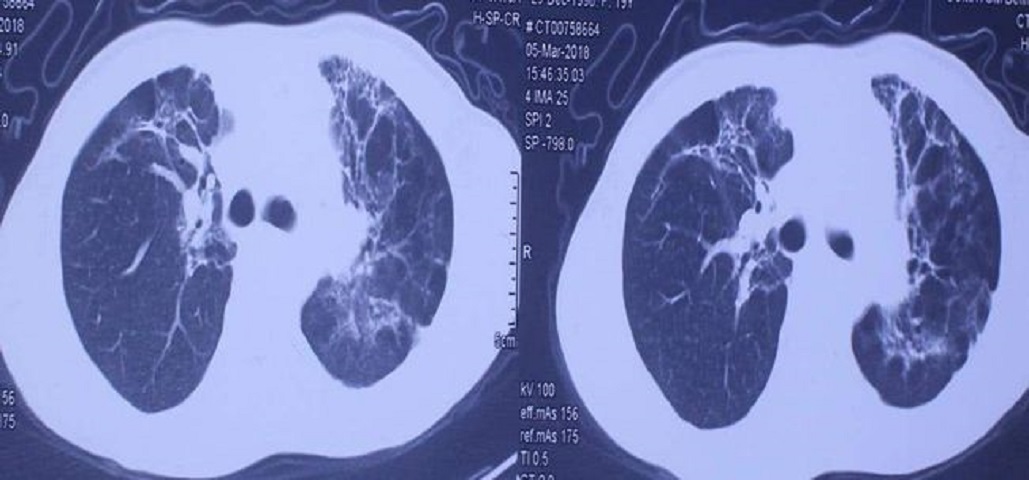
百草枯患者胸部CT
当服用百草枯超过 5毫升 时,百草枯会迅速堆积到肺部,伴随着肺部呼吸的起伏运动将吸收进来的空气,变成 肺泡 ,百草枯再通过肺泡扩散到血液里边,与人体细胞结合,产生强氧化性,并且引起脂质过氧化。
等到反应时间充足,肺泡最先出问题, 肺泡出血、水肿,然后丧失掉原本的所有功能。 没有了肺泡的气体交换功能, 人体的肺部会逐渐纤维化 ,最后会致使整个人体丧失呼吸功能,失去了呼吸功能,人也就死亡了。

肺部纤维化
死亡回忆录
在百草枯没有被禁止之前,世界上,每年都会有很多的人因为误食或者轻生的患者到医院救治。除了用量很小的患者通过 洗胃 等方式救治成功以外,其它基本上都死亡。
但百草枯真正恐怖的并不是它这么厉害的毒性,而是, 当它进入身体,直到最后死亡的前一刻,患者始终对自己保持的清醒 。
它只会无情地摧毁着患者的身体,却丝毫不影响 中枢神经 ,患者能完全地清楚自己身体上的不适和变化。

百草枯患者意识是清醒的
2018年5月26日,一个少年为了威胁母亲回家,一时冲动喝下了百草枯。可最终的结果是这一次的冲动,用了自己年轻的生命作为代价。接下来是这位患者的“死亡回忆”:
“中毒的第一天,还是觉得自己没什么事,却被强制要求洗胃和住院治疗,黑心的医院为了挣点钱真是不择手段。
中毒第二天,呼吸节奏有点跟不上了,身体开始乏力,呼吸开始需要依靠供氧器了,不过“我”觉得问题不大。
中毒第三天,呼吸节奏彻底跟不上了,而且身体出现了很多大大小小的毛病,口腔咽部开始溃烂,皮肤出现黄染。我逐渐有点慌了,疯狂地求助医生。

患者戴上呼吸机
中毒第四天,“我”能感觉到病情在加重,身体也越来越难受。护士增加了家人、朋友的探视时间,“我”开始知道自己已经快不行了。
中毒第五天,我完全呼吸不了了,如果没了呼吸机,可能立马倒头就没了。脑海里划过我生命当中最重要的一些人,还没有好好的道别,未来还有很多的事情没有做。我后悔,我想把我的器官捐献出去,但是护士姐姐告诉我,说我所有的器官都是坏的,捐献不了。
中毒第六天,我看着我的亲朋好友们从其它地方赶回来,就为了见我最后一面,我好不舍,我想和他们说说话,可是口腔的刺痛和呼吸困难,阻止我发出最后的声音。

患者逐渐失去意识
中毒第七天,我快要失去意识,依偎在母亲的怀里,我又想起最初服下百草枯的那一瞬间‘真的值得吗?’”
百草枯的反应时间短暂又漫长,短暂到你刚意识到自己的身体出现问题时,你留在这个世界上的时间已经不多了;可是你又能随着时间的推移,慢慢地体会百草枯带给你身体每一点的改变,每一次的刺痛,每一秒生命的流逝。
这就是百草枯,一种“给你足够的时间去后悔,却不给你活命的机会”的毒药。

毒药
无解的毒药
在我们了解的影视剧情里边,我们会发现,很多的炼药师在炼制毒药的时候,都会再转手配置一份用于 解毒 的药物。但是,百草枯这一种致命毒物却无药可治,这也是为什么,它引起的死亡率这么高的原因。
百草枯的药性并不能与有机物融合 ,而是在人体内转化为自由基,最后再随着血液的流动,去攻击*体器人官**功能。而这些伤害都是不可逆的,所以这种毒药,是真的 无药可救 。
这也是“百草枯之父”李德军最难受的一件事,李德军从始至终都知道,百草枯无药可解,但还是将它研制出来了。因为从头至尾,他都不会想到会有人去主动去喝它。

无药可救的毒药
见识了百草枯的恐怖,生产厂家开始想尽一切办法去防范。 将它染成看起来就很恶心的墨绿色;加入刺鼻的臭味剂,和让人想吐的催吐剂;到处做宣传,科普;最后李德军干脆将这种药物,做成颗粒状,溶解它需要10几分钟的时间,足够抑制住自己的自杀冲动。
可是,还是有人用它自杀,国家不得不 将它禁止 。
百草枯被禁止,在网上有很多人为它发声,他们认为,问题并不是出在百草枯身上,如果一个人真的想要轻生,那不管做什么都拦不住他。其实,百草枯,被禁止的不冤。
百草枯是一种剧毒农药,它存在的隐患太多了,小孩子误食,冲动轻生的人要喝,甚至还有一些想要害人的人,也有可能会运用到它。要知道,它可是无药可医的。在这种情况下,它被禁的并不冤枉。

百草枯被禁
有人说,食用百草枯过后,会有 6个小时 的黄金时间,只要及时就诊,就还有生的希望。只要在6个小时之内,能将胃清洗干净,就还有期望,但是这 给肺部留下的伤害同样是不可逆的 ,会造成严重的损伤。
误喝农药的救治手法
即使百草枯被国家禁止过后,医院还是会经常接收到很多的农药食用的患者。他们要么是小孩不懂事误食,要么就是一时冲动,想要轻生。在遇到这种情况,又不能及时就医的,应该怎么办呢?
首先,一定要先知道喝掉的农药的品种是哪一种,因为现在市场上农药的品种还是比较多的,呈强酸性,呈强碱性的都有,所以一定要搞清楚。

分清农药种类
如果是碱性的,可以服用 白醋、柠檬 这类带酸性的常见液体;假若是酸性的,可以服用 肥皂水和生蛋清 。然后在最快的时间内,送到医院就诊。
结语
百草枯的出现,是农学上的造福物,它能有效地除去田地间的杂草, 提高了整个国家的收成; 它也是医学上的难题,医生每次接到服用百草枯的病人,心情都是无比的沉痛,因为所有人都知道它无药可治,但是每次都不想放弃,可最后,病人还是会带着无比的后悔和身体上的折磨离开。
轻生,是死亡最没有价值的方式 。我们的人生还很漫长,未来的一切都是存在变数的。我们没有理由,因为一点点的挫折,就放弃我们的父、母亲赐予我们宝贵的生命,我们不仅仅只是为了自己而活,在一定程度上,我们延续了父母的期望。

不要轻生
专家说, 一个人冲动的时间只有12秒,那就给自己留12秒,好好考虑 。在这个世界上,少量的百草枯,可以通过洗胃的方式来医治。但是,百草枯的无药可救,也不单单是指它的剧毒,更是你的后悔,因为这个世界上没有后悔药的存在。
我们,应该要对自己负责,对家人负责,对未来负责。生活没有过不去的坎儿,如果有,那就推掉它!