
作者:邢文山 邵鸣 山西省运城惠仁医院
本文为作者授权医脉通发布,未经授权请勿转载。
导读
本例患者为青年男性,反复厌食、瘙痒、黄疸,曾入住两个三甲医院医治,未能明确诊断,那么到底是什么原因引起的呢?
病例资料

患者,程xx,男性,29岁,山西籍人,于2013年02月13日主因“间歇性黄疸、厌食伴皮肤瘙痒4年,发作10天”收住我院。
患者于2009年3月份无明显诱因感厌食、胃区不适、皮肤瘙痒,无乏力、腹胀、发热、腹泻、恶心、呕吐等不适,当时未在意,2天后感症状有所加重,遂去西安某三甲医院入院,检查结果提示:血、粪常规、肾功能、电解质、血糖、淀粉酶、脂肪酶、肿瘤系列未见明显异常;甲乙丙丁戊肝抗体、Torch四项、自免肝抗原谱均阴性;尿常规:白细胞1+,亚硝酸盐定性阳性,尿胆原2+,胆红素3+;肝功能:TBiL:340.8µmol/L,DBiL: 314.4µmol/L,IBiL:26.4µmol/L,ALP:206U/L,TBA124µmol/L,CHE 3367U/L;凝血系列:PT 10.8 APTT40.1;血沉43.0mm/hr;乙肝六项:HBsAb、HBeAb、HBcAb阳性;EB病毒抗体测定:衣壳抗原、核心抗原IgG阳性;心电图、胸部X线、上腹部CT未见异常;腹部B超提示肝大小正常,肝内管壁部分回声增强,胆囊小,壁略毛糙,脾、胰未见明确异常,门、脾经脉内径正常;MRCP提示肝脏体积增大,胆囊显示欠佳,肝内胆管形态改变,考虑硬化性胆管炎;胃镜提示慢性浅表性胃炎;期间给予“激素、优思弗、保肝”等治疗,20天后黄疸降至50µmol/L出院,出院诊断“淤胆型肝炎?”。出院回家继续输注保肝液治疗几天后肝功能恢复正常。
2012年3月21日无明显诱因患者出现厌食、胃区不适、皮肤瘙痒,无乏力、腹胀、发热、腹泻、恶心、呕吐等不适,于上海市某三甲医院检查肝功能:ALT:163U/L,AST:116U/L,TB:60.7µmol/L,DB:45.6µmol/L,IBiL:74.1µmol/L,ALP:137U/L,TBA 410.7µmol/L。余未见明显异常。住院期间TB最高可达420µmol/L。给予“保肝、激素、退黄等治疗”,具体用药不详,20天后肝功能基本恢复正常出院,出院后间断服用激素至瘙痒症状消失后停药。
10天前“感冒”后出现纳差伴皮肤瘙痒,无乏力、恶心、呕吐、发热、腹胀、腹泻等不适。于2013年02月11日在当地县人民医院检查结果示:TBiL:26.9µmol/L,DBiL:14.6µmol/L,IBiL:12.3µmol/L,ALT:59.9U/L,AST:29U/L,Alb:48.8g/L。当时未予以治疗,今为求诊治来我院,门诊以“肝功能异常原因待查:自身免疫性肝炎?吉尔伯特综合症?”收入院。否认高血压、糖尿病、脑血管疾病、精神疾病、心脏病病史。否认疟疾、伤寒、结核等传染病史,无急性传染病史,预防接种史不详。否认外伤史,否认手术史,无输血史,否认药物、食物过敏史。
入院查体:体温:36.2℃,脉搏:82次/分,呼吸:20次/分,血压:120/85mmHg,体重:63.5公斤。神志清,精神尚可,全身皮肤无黄染,未见蜘蛛痣及肝掌,全身浅表淋巴结未触及。巩膜轻度黄染,双侧甲状腺未触及肿大,双肺呼吸音清,未闻及干、湿啰音,心率82次/分,心律齐,各瓣膜听诊区未闻及杂音,腹部平坦、对称,无局限性隆起,无静脉曲张及胃肠蠕动波,未见手术瘢痕,触诊腹部柔软,无压痛及反跳痛,Murphy征(-),腹部未触及肿块,肝、脾肋下未触及,液波震颤(-),全腹叩诊鼓音,移动性浊音(-),肝区叩击痛(+),肠鸣音未见明显异常,双下肢未见水肿。
辅助检查:TBiL:35µmol/L,DBiL:19.4µmol/L,ALT:76U/L,AST:55.4U/L,ALP:132.3U/L,GGT:39.6U/L,Alb:46.9g/L,ChE:10323U/L。血脂:TC:3.40mmol/L,TG:1.61mmol/L,HDL-C:0.81 mmol/L,LDL-C:2.53 mmol/L。肾功:BUN:4.7mmol/L,Cr:83.7µmol/L,UA:182µmol/L。甲、乙、丙、丁、戊病毒标志物均为阴性。ASO、RF、TP、抗-HIV均为阴性。凝血全套:PT:12.3Sec,APTT:33.6Sec。血常规:正常。尿十一项:尿胆原(++)胆红素(+)蛋白质(+-)。超声结果提示:胆囊壁毛糙。
此患者青年男性,反复厌食、瘙痒、黄疸,曾入住两个三甲医院医治,未能明确诊断,那么到底是什么原因引起的呢?
入院后为了进一步明确肝功能异常的原因,于2013年02月14日。取患者静脉采血标本,送西安西京医院进行自身免疫肝炎系列检查;于2013年02月15日上午09:40在彩超引导下行肝脏穿刺术,手术过程顺利,取肝脏组织1条,长约2厘米,用10%福尔马林溶液固定,送中日友好医院病理科王泰龄教授处做病理检查。
2013年02月25日第四军医大学西京医院自身免疫肝病抗体Ⅰ、Ⅲ 组合结果提示:ANA阴性,AMA-M2阴性,抗Ro-52、抗3E(BPO)、抗Sp100、抗PML、抗gp210均为阴性。免疫球蛋白(G、A、M)测试结果均为正常范围。2013年02月26日北京中日友好医院肝脏组织学病理诊断“(肝穿)良性复发性肝内胆汁淤积(BRIC)”。
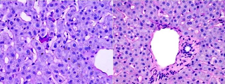
镜下检查:小叶结构清晰,肝板排列尚整。切片内所见的8个小叶,其中6个中央静脉周围少数毛细胆管胆栓, 有的胆栓较大。网织染色示局部少数肝细胞脱失,并偶见蜡质样细胞沉积(图1左,D-PAS)。汇管区小胆管上皮细胞排列整齐,基底膜完整,未见明显炎症(图1右,D-PAS)。

图1 肝穿组织1条,长1.5cm。白片染HE、网织+Masson、D-PAS、CK7
病理诊断: (肝穿)良性复发性肝内胆汁淤积(BRIC)
患者于2019年9月在我院第四次住院时,给予基因检测,送复旦大学附属儿科医院,结论:未检测到可以明确解释患者表型的致病变异。
基因检测是诊断遗传性疾病的金标准。此病例基因检测阴性原因:1.分析遗漏非经典致病突变;2.突变位于监测区域外或者检测方法没有覆盖;3.尚未鉴定的疾病。
讨论
良性复发性肝内胆汁淤积(BRIC)在我院是首例,在全国也是属于罕见的疾病,四十余年前BRIC首先在英国报道,截止1995年,全球文献共报道100余例。虽然大多数病例为散发性,但有一半患者具有胆汁淤积家族史。
症状和体征
BRIC经遗传学研究证实是常染色体隐匿性遗传,临床特点为持续数周至数月的反复发作性、自限性严重瘙痒和黄疸。BRIC的标志性症状和体征为瘙痒和黄疸。瘙痒通常发生于黄疸出现前的2~4周,但四分之一的BRIC患者即使发生明显黄疸也可无瘙痒症状。其他常见的症状包括全身不适、易激惹、恶心、呕吐和厌食等。
较不常见的症状为发热、关节痛、头痛、*麻疹荨**和皮肤红斑等。长期厌食和因为疾病导致的脂肪吸收不良可导致体重下降。维生素K可引起皮肤血肿,鼻衄及阴道和牙龈出血等凝血障碍。与其他慢性胆汁淤积性肝病不同的是,BRIC不会发生脾脏肿大、蜘蛛痣、肝掌和黄包瘤等。
某些因素可诱发BRIC,最常见的诱发因素为数天至数周前的流感样症状和胃肠炎等。BRIC还有季节倾向,发作高峰为冬末和春季。本病最突出的病理学特征为小叶中心性胆汁淤积,毛细胆管扩张、肝细胞以及库普弗细胞中可见胆汁淤积,少数患者可见小叶周围肝细胞变性、坏死和单核细胞浸润等,随着病情缓解,肝脏病理改变逐渐恢复正常。
与PFIC的鉴别
进行性家族性肝内胆汁淤积症(PFIC)是常染色体隐性遗传病,基因类型分为PFIC1-6型,除PFIC3型外,其他γ-谷氨酰转移酶(GGT)水平正常或大致正常,最终可发展为肝纤维化、肝硬化和肝功能衰竭。PFIC1通常在一岁前发病,平均为3月龄,少数患者在新生儿起病,部分可到青春期才出现胆汁淤积。对蛋白表达和功能损害较轻的基因突变也可表现为良性复发性肝内胆汁淤积症1型(BRIC1)PFIC2型通常在新生儿起病,病情呈进行性进展,多在10岁前进展为肝硬化或肝功能衰竭。由于突变类型和严重程度的差异,也可表现为良性复发性肝内胆汁淤积症2型(BRIC2)PFIC3:发病早晚不一,γ-谷氨酰转移酶(GGT)是升高的;以婴幼儿发病多见,常在儿童期就进展为肝硬化,需要进行肝移植。PFIC4-6型:发病年龄多在婴幼儿时期,其中PFIC5型进展迅速,在疾病的早期即可死亡。
BRIC每次发病均有相似的实验室发现,即出现瘙痒2周后血清碱性磷酸酶(ALP)水平升高,然后血清胆红素水平升高,ALP水平通常升高至正常上限的2倍,但有时可升高至正常上限的40倍;血清胆红素峰值(几乎全部是结合胆红素)通常超出正常上限的10倍。与此不同的是,血清丙氨酸转氨酶(ALT)和天冬氨酸转氨酶(AST)通常正常或仅轻度升高。BRIC与其他类型家族性肝内胆汁淤积的一个标志性特点为γ-谷氨酰转移酶(GGT)水平正常或仅轻度升高,其它实验室异常包括脂溶性维生素吸收不良所致的凝血酶原时间延长。由于厌食和脂肪泻,病程较长的患者可发生低蛋白血症。与原发性胆汁性肝硬化和自身免疫性胆管炎等胆汁淤积性疾病不同,大多数BRIC患者的血清白蛋白和球蛋白水平正常,随着BRIC发作停止,上述实验室异常很快恢复至正常。
BRIC的诊断标准
1.至少有两次黄疸发作,并且发作间隙有持续数月至数年的无症状期;2.实验室发现与肝内胆汁淤积相吻合;3.血清GGT水平正常或轻度升高;4.黄疸出现前即发生严重瘙痒;5.肝活检证实中心小叶胆汁淤积;6.胆管造影证实肝内外胆管均属正常;7.缺乏与胆汁淤积有关的已知因素(如药物、妊娠等)。
食欲改善是BRIC缓解的信号,这种改善常常继以瘙痒迅速安全消失和黄疸逐渐消退。尽管大多数BRIC患者在发作间隙无症状,但是少数患者仍可有轻度不适感、轻微瘙痒等症状。虽然这些症状通常被认为由患者的焦虑情绪所致而不被看作是疾病将要发作的征兆,但有相当可能由遗传性疾病的非完全外显所致。
BRIC的治疗
由于BRIC的病因未明,因此尚缺乏特异性治疗药物。目前治疗仅为支持对症治疗,其中主要包括对瘙痒和脂肪吸收不良的治疗。治疗瘙痒的代表药物包括抗组织胺药物、熊去氧胆酸、激素等。
在临床中遇到诊断不清的疾病时,要认真详细地询问病史;对于疾病的诊断,最好用“一元论”来解释;肝脏穿刺病理检测和基因检测对于疑难病的诊断显得十分重要。

参考文献:
1. 陈东文, 吴东, 孙晓红, 等. 良性复发性肝内胆汁淤积[J]. 基础医学与临床, 2010,V30(9): 988-990.
2. 蔡中起, 徐惠. 良性复发性肝内胆汁淤积[J]. 临床肝胆病杂志, 2006(01): 74-75.