
一、羊水
羊膜腔内的液体称为羊水。
(一)羊水形成和代谢
1.来源 妊娠早期羊水主要来自母体的血清,通过胎膜透析进入羊膜腔形成羊水;通过脐带华通胶和胎盘表面羊膜透析进入羊膜腔的液体比较少;部分液体于胚胎血液循环建立后可通过胎体皮肤进入羊膜腔参与羊水的形成。中期妊娠以后胎儿尿液成为羊水的主要来源,妊娠第11~14周胎儿肾脏有泌尿功能后即有尿液排入羊膜腔;而胎儿皮肤逐渐角化不能漏出液体,不再参与羊水的形成;晚期妊娠胎儿肺泡每天也会分泌600~800ml的液体进入羊膜腔。
2.吸收与平衡 约50%的羊水吸收通过胎膜完成,并且主要通过与子宫蜕膜接近的胎膜完成;胎儿吞咽活动在保持羊水量平衡中也发挥重要的作用,足月胎儿每日可吞咽500~700ml的液体经消化道进入胎儿血液循环,再经肾脏形成尿液排入羊膜腔内。此外,脐带每小时也能吸收40ml左右的羊水。
羊水在形成、吸收的过程中不断地循环、交换,保持羊水-胎儿-母体间的平衡。母儿间的液体交换量每小时约为3600ml,母体与羊水的交换量每小时约400ml。
孕妇血容量的变化对羊水量会产生影响。
3.羊水量、性状和成分 正常妊娠时羊水量随着妊娠月份的增加而逐渐增多,至足月时又逐渐减少。妊娠8周时羊水量大约5~10ml,妊娠10周时约30ml,12周时约50ml,20周时约400ml,36~38周时羊水量可达到1000ml,甚至高达1500ml,此后羊水量又逐渐减少,到足月时大约为800ml,过期妊娠时羊水量可明显减少。
足月妊娠时羊水比重在1.007~1.025之间,pH约为7.2;水分占98%~99%,无机盐和有机物占1%~2%;妊娠早期的羊水是无色澄清的,随着妊娠的继续逐渐变的浑浊、不透明,内部悬浮物逐渐增多,并含有许多激素。
(二)羊水的功能
羊水的存在并且维持正常的量可以保证胚胎和胎儿的正常活动和生长发育,如适宜的温度和一定的活动空间,使胎儿在羊水中自如活动,促进胎儿肌肉骨骼发育和其他组织器官的发育,防止胎儿畸形和胎体的粘连;减轻外界环境的*力暴**打击和强烈震动所造成的机械性损伤;保持胎儿体内液体平衡;在子宫收缩时,羊水可以使压力不致直接作用于胎儿,尤其是胎儿头颅部,避免子宫肌壁对胎儿及脐带的压迫,并且保持羊膜腔一定张力,支持胎盘附着于子宫壁上,防止胎盘过早剥离;进入第一产程后,羊水可以分散子宫收缩产生的压力,避免子宫或胎儿的局部受压。除了上述对胎儿的保护作用外,适量的羊水可以减少胎动所致母体的不适感,在第一产程时前羊膜囊可以扩张子宫颈,破膜后羊水可以冲洗阴道,减少感染。
(三)羊水的临床意义
1.诊断作用 在妊娠中期,一般多在妊娠16~22周, 进行羊膜腔穿刺分析羊水内细胞染色体的核型、检测某些代谢产(底)物、酶类的含量和活性,以及某些特殊物质的含量,可以对染色体遗传性疾病、代谢性遗传性疾病、胎儿发育畸形等进行产前诊断。
2.对胎儿发育情况及宫内安危的预测作用 对穿刺抽吸的羊水中某些物质的检查,可以对胎儿在子宫腔的发育成熟情况作出判断,如肺成熟度判断(L/S比值、羊水泡沫试验、磷酸甘油检测、羊水光密度检测等)、肾脏成熟度判断(肌酐测定)、皮肤成熟度检测、唾液腺成熟度检测等。超声显像检查羊水并结合其他的发现对晚期及过期妊娠的临床处理具有重要的指导意义。
二、胎膜
胎膜由绒毛膜和羊膜组成。
(一)绒毛膜
胎膜的外层为绒毛膜,除构成胎盘的丛状绒毛膜外,其他部位的绒毛膜由于缺乏营养供应而逐渐退化萎缩形成平滑绒毛膜,覆于羊膜的外层,至晚期妊娠羊膜和绒毛膜紧密贴合。
在绒毛膜发育过程中,若绒毛内的血管发育不良或与胚体循环未通连,胚胎可因营养缺乏而发育迟缓或死亡;若滋养层细胞过度增生,绒毛内结缔组织变性水肿,血管消失,胚胎吸收,绒毛外观呈葡萄状,可形成水泡状胎块,临床上称葡萄胎。
(二)羊膜
胎膜的内层为羊膜,与外层的绒毛膜紧密相贴。羊膜为半透明无血管的薄膜,厚度0.02~0.05mm,自内向外由单层上皮细胞层、基底层、致密层、成纤维细胞层和海绵层5层构成,内层上皮细胞布满微绒毛,便于羊水与羊膜间的交换。
最初的羊膜附着于胚盘边缘,随着胚盘的卷折,羊膜腔逐渐扩大,羊膜的附着点也转向胎儿的腹侧,最后包围在脐带的表面,会合于胎儿脐部。
羊膜腔容纳羊水,有利于胎儿发育和运动,预防粘连,并对胎儿起保护作用。胎膜含有多量的前列腺素的前身物质花生四烯酸的磷脂及催化磷脂生成游离花生四烯酸的溶酶体,对分娩发动有一定作用;羊膜可以合成内皮素Ⅰ、甲状腺相关蛋白等,参与血管张力的调节。
三、羊水超声检查
(一)正常羊水的显示及其声像图
妊娠早期超声显像检查显示孕囊时所显示的无回声区并不是羊水,而是胚外体腔内的液体。约在妊娠第6周、妊娠囊直径达到15~20mm时,羊膜腔逐渐增大,第6~8孕周时超声显像检查有时可以显示妊娠囊内的羊膜回声,将妊娠囊分为两部分,包绕胚胎周围的部分为羊膜囊,其内部为羊水,卵黄囊存在的部位是胚外体腔。此后伴随羊膜腔的逐渐增大、胚外体腔逐渐缩小至消失,超声显像检查所显示胎体周围的无回声均由羊水形成。
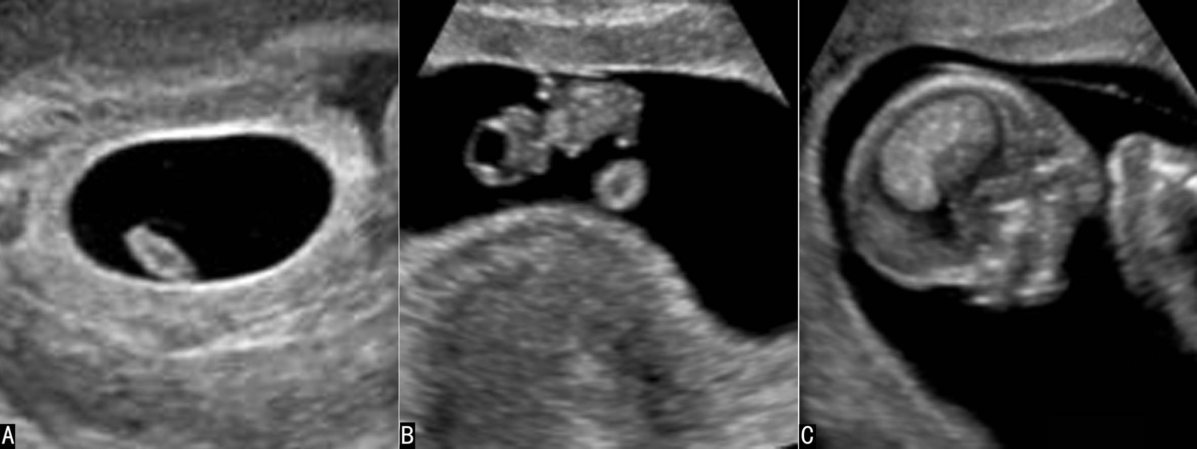
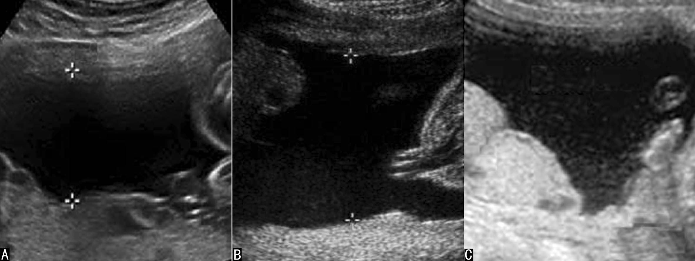
妊娠早期的羊水在声像图上显示为纯净的无回声区,胚胎或胎儿及脐带在羊水无回声区内显示得非常清楚(图1),直至中期妊娠的后期超声显像检查羊水内有时可以显示少量较低的点状回声(图2)。

图1早孕期羊水显示

图2中晚期妊娠羊水显示
早期妊娠中可以以孕囊内径作为衡量羊水量的标准,胚胎及卵黄囊显示时孕囊内径应在2cm以内,妊娠6周时孕囊内径1.5~3.0cm,8周时2.5~4.0cm,10周时4.0~5.5cm,12周时5.0~7.0cm。超过或小于上述数值即应注意观察复查,以排除妊娠早期的羊水异常并评估有无胚胎早期发育异常。此后则不以孕囊内径作为羊水量的评价标准。
很早就有研究者使用染料稀释法获取羊水量及其变化资料。在中期妊娠的前半期,羊水量以10ml/d的速度进行性增加,直到妊娠20周、羊水量达到500ml,在28孕周时约800ml,到34孕周时可以达到1000ml,至足月妊娠时羊水量为800~1000ml。一般情况下,20~30周妊娠时羊水的相对量比较多,在胎体周围几乎均可显示羊水无回声区;到晚期妊娠,胎儿相对比较大,羊水无回声区仅在胎儿腹侧某些区域显示比较明显。
晚期妊娠过程中羊水声像图的变化较快,主要表现在羊水回声性质的改变和羊水量的减少,应当注意适时检查并作出相应的评价。晚期妊娠时羊水内部的点状回声逐渐增多,在胎儿活动时可以发现少许漂起的点状回声,停止活动后回声点可以缓慢下落;越临近分娩,羊水内部的点状回声越多(见图2C)。这些漂浮的回声可能与胎儿皮肤脱离的皮脂有关。过期妊娠或胎儿宫内窘迫时常可在短期内发现羊水内点状回声明显增多,严重时羊水内可见弥漫分布的均匀、低水平的点状回声,脐带血管在其内显示为纯净的无回声区,同时伴有羊水量的减少。
但也有研究者不认同胎脂形成羊水内漂浮回声的观点,其依据是超声显像检查最早可以在第15孕周时显示羊水内的漂浮回声,此时还没有胎脂回声(羊水浮渣)。研究发现足月妊娠超声显像检查显示的羊水内点状高回声不与任何不良妊娠结局相关,他们认为羊水内的这些点状高回声没有特殊的提示或意义。
(二)羊水量的超声显像评价
正常的羊水量对于胎儿正常发育至关重要,其依赖于羊水在母体间、胎儿间的正常代谢。早期妊娠的羊水量评价意义不大,但有时对判断胚胎/胎儿的正常发育有重要的意义;中晚期妊娠过程中可以使用超声显像半定量法进行羊水量的评估。
1.早期妊娠 尽管早期妊娠超声显像检查显示的孕囊无回声并不是完全由羊水形成,孕囊内还包括胚胎及其他早期结构,但一般仍以孕囊内径测值和胚胎显示的相对关系来判断羊水量的多少。
2.中期妊娠 以四象限显像法判断羊水量的多少较为妥当。其方法是将妊娠子宫体表投影分为四个象限,正常中期妊娠中胎儿回声应在四个象限或至少在三个象限中显示。
3.晚期妊娠 晚期妊娠期羊水量的判断可以使用羊水池内径测量法或羊水指数法。
(三)羊水量的超声显像检查评价方法
临床检查可以相对容易地诊断羊水过多,但对有时羊水过少的评估有一定困难。超声显像检查可以通过不同的方法对羊水量做出评估或半定量评价。
1.主观评估 有经验的超声检查医生通过声像图即可初步了解有无羊水过多或过少。超声显像检查显示整个子宫,观察胎儿在羊膜腔内所占比例,对羊水量做出初步的评价。正常中晚期妊娠胎体在羊膜腔内应当在1/2/~3/4象限中显示,低于1/2/象限则提示为羊水过多,超过3/4象限则提示羊水过少。羊水过少时胎儿在宫腔内显示明显的整体拥挤感,胎体周围缺少羊水显示;羊水过多时胎体显示明显的漂浮感。对比研究发现主观评估在经验丰富的超声医师中具有很好的可重复性,但很难将此方法推广应用于经验缺乏者。
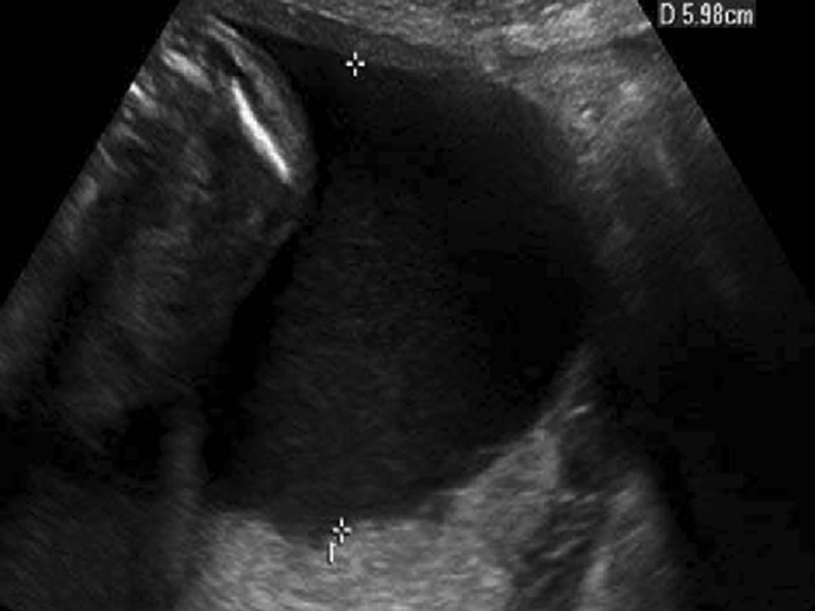
2.羊水池内径测量法 将探头垂直于子宫壁,测量羊膜腔内侧壁至胎体最大的距离,此即羊水池的最大内径。以获得的数值衡量羊水量多少。正常时羊水池内径4~6cm。小于2cm为羊水过少,大于8cm为羊水过多。也有研究者将超声探头垂直于水平面,测量羊水池最大的垂直深度。这种方法也被称为羊水池最大垂直深度测量法(图3)。

图3羊水池最大内径测量
早期有笔者以羊水池最大垂直深度小于1cm时为羊水过少的标准,亦称为1cm原则。但Bottom等注意到羊水池最大深度不足1cm是非常罕见的,认为用此指标预测不良妊娠结局的敏感性很差。
超声显像检查使用羊水池内径测量法评价羊水过多或过少时需要注意显示脐带的回声,避免选择脐带聚集区作为羊水池最大深度进行测量,而出现此征象恰恰提示羊水过少。多切面、多区域的检查辨认、综合评价羊水过多或过少是重要的。单纯以测量数字来判断羊水过多或过少有时是不准确的,应当全面观察分析,结合胎儿在宫腔内的位置等情况综合分析,对羊水量做出恰当的评估。
3.羊水指数法 将妊娠子宫的体表投影分为四个象限,测量四个象限内最清晰的羊水池内径,将测得的数值相加获得的和称为羊水指数(AFI) (图4)。测量时应当注意避开充满胎儿肢体或脐带的区域,但如果仅包含部分胎儿肢体或脐带则可以用做测量区。

图11-14羊水指数评估羊水量
正常时羊水指数为8~22cm。
使用羊水指数评估羊水量,不同的研究者有不同的定义。研究者将AFI与染色法评估羊水量进行比较,也得出了不同结论;以不同的AFI分组,5.1~8.0cm和8.0~20cm组,胎儿心率异常和因胎儿宫内缺氧剖宫结束妊娠的比例无显著差异。有笔者试图以AFI法和MVP测量法结合使用评估羊水量,但并没有提高羊水定量的准确性。
羊水量的正确评估对产科临床有重要的意义。综上所述,三种方法远没有达到临床应用的要求。因此,在超声显像检查中应当注意使用不同的方法评估羊水量,结合胎儿发育的测量、生物物理评分和其他超声显像检查发现,为临床提供有指导意义的资料。