egfr突变的肺癌1a期 (egfr突变非小细胞肺癌一线治疗率)

egfr突变和ros1突变同时存在,egfr突变的肺癌1a期

本篇为龙哥查房系列第24个病例

地点

地点:广东省人民医院伟伦楼十四楼

时间:2017-11-22 星期三15:00

参加科室与专家:

肿瘤治疗中心:杨衿记(主任医师)、杨学宁(主任医师)、钟文昭(主任医师)、周清(主任医师)、涂海燕(副主任医师)、陈晓明(主任医师)、李伟雄(主任医师)、潘燚(副主任医师)、陈华军(副主任医师)、汪斌超(副主任医师)、*震王**(副主任医师)、神内科赵洁皓(副主任医师)、徐崇锐(主治医师)、廖日强(主治医师)、董嵩(主治医师)、江本元(医师)、白晓燕(医师)、孙月丽(医师)、陈志勇(医师)、李安娜(医师)、郑明英(医师)、林嘉欣(医师)、林俊涛(医师)、林辉(医师)、黄婕(医师)、谭佩欣(医师)、陈雪莲(医师)、全体研究生。

病例汇报人:广东省人民医院肺一科 陈雪莲医生 *震王**医生

患者病史

1. 57岁女性,PS=2分,非吸烟者。

2. 确诊肺癌4月余。既往有“子宫肌瘤”病史。

3. 患者因“右侧颈部肿胀2天”,当地医院发现右侧颈静脉血栓,右肺占位。于2017-7-7中山大学肿瘤医院,PET-CT:右下肺背段及后基底段病灶代谢活跃,(3.2*4.4cm,SUVmax9), 侵犯右侧胸膜,双锁骨上、纵隔及右肺门多发淋巴结转移,L2转移;右侧颈内静脉血栓。2017-7-10支气管镜右下叶病理:低分化腺癌,伴部分细胞鳞状分化,EGFR19del(ARMS)、ROS1 (FISH) + ;c-MET(FISH)、ALK、KRAS、RET野生型。

诊断:右下肺腺癌cT2N3M1b(椎骨)IVA期;右侧颈静脉血栓

治疗经过:

1. 一线:2017-7-22开始口服易瑞沙,2017-8-23CT示右肺病灶增大,大脑右侧额叶转移,PD,PFS=1月

2. 二线:入组中山大学肿瘤医院TQ-B3139胶囊(ALK*制剂抑**,克唑替尼类似物,正大天晴)I期临床研究,于2017-9-18开始TQ-B3139 50mg Qd, 2017-10-16CT示腹腔淋巴结多发转移,多发骨转移,PD,PFS=1月

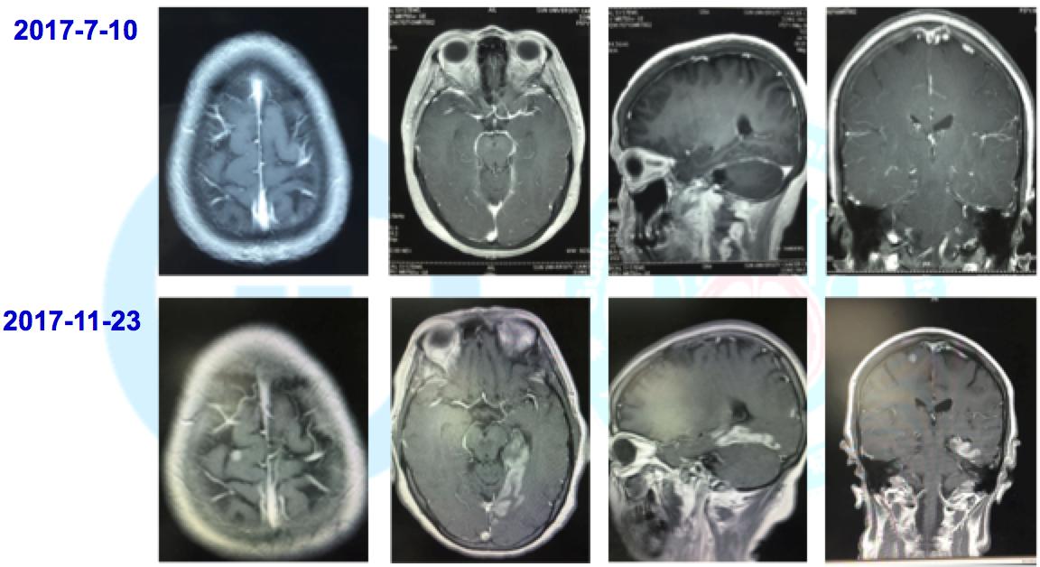
3. 三线: 2017-10-18予以培美曲塞800mg+卡铂500mg化疗,出现气促,3度骨髓抑制,4度肝功能损害。2017-10-23血液NGS:ROS1基因融合,METexon16错义突变。2017-11-22MRI脑转移病灶增多,脑膜转移。2017-11-23CT左下肺病灶缩小36%。出现左足第三趾皮色发黑,PS=2分。

4. 2017-11-17我院CT引导下行左下肺病灶肺穿刺活检,病理:浸润性腺癌;ROS1基因有断裂57%;EGFR、ALK-;c-MET、PD-L1结果未出。2017-11-23外周血NGS:ROS1融合,METexon16错义突变。

5. CEA:38.35ng/ml↑,CYFRA21-1:4.36ng/ml↑, NSE:31.86ng/ml↑。

患者目前情况:PS=2分,发热,咳嗽,头晕、呕吐,肩背部疼痛,阴道流血,精神、食纳、睡眠欠佳。

基因状态:

egfr突变和ros1突变同时存在,egfr突变的肺癌1a期

基线PET-CT

egfr突变和ros1突变同时存在,egfr突变的肺癌1a期

egfr突变和ros1突变同时存在,egfr突变的肺癌1a期

egfr突变和ros1突变同时存在,egfr突变的肺癌1a期

egfr突变和ros1突变同时存在,egfr突变的肺癌1a期

病史小结:

1. SXZ. 57岁,女性,PS=2分,非吸烟者。

2. 诊断:右下肺腺癌cT4N3M1c(左肺、腹腔、多发骨、脑)IVB期;右侧颈静脉血栓;子宫肌瘤。病程4月。

3. 治疗经过:

egfr突变和ros1突变同时存在,egfr突变的肺癌1a期

4. 一般情况:PS=2分,发热,咳嗽,头晕、呕吐,肩背部疼痛,阴道流血,精神、食纳、睡眠欠佳。

讨论要点

下一步治疗方案:

– 靶向药物治疗?

– 化疗?

– 免疫治疗?

– 其他(临床试验)?

– 组内意见:色瑞替尼治疗

病例讨论

肺内科陈雪莲医生:我们组内初步讨论意见,患者能否选择色瑞替尼进行治疗?我查阅了一些双驱动基因突变的基本资料供大家参考,同时希望大家给予更多指导意见。对于ROS1重排的患者,NCCN指南推荐使用克唑替尼,疾病进展后,如果PS评分在0-2分,可以选择免疫治疗,然后使用单药化疗;如果3-4分,一般给予对症支持治疗。我们同时发现MET+,一般MET扩增水平非常高,另外,外显子16跳跃突变,对克唑替尼治疗应该是有效的。但是对于这例患者,它的突变位点是16外显子,这是一个罕见的突变。我们也查阅了相关的文献,并没有查到与肺癌相关的研究,只查阅到有关肾癌的研究。因为它是一个罕见的基因突变,在酪氨酸激酶的边缘区,目前查阅到的文献提示其临床意义不大。但是这可能需要大家进一步讨论。

肺内科杨衿记医生:有没有查到克唑替尼治疗失败后选择色瑞替尼治疗ROS1的II期研究?你为什么选择色瑞替尼?指南是否推荐发现之后首选色瑞替尼治疗?今天对这例患者进行病例讨论主要是想从分子生物学角度考虑看是否有新的见解,评估患者最开始是否是真正的EGFR突变,患者什么时候出现cMET 16外显子突变?ROS1合并其他突变,检测结果是否真实可靠?16外显子突变是不是有临床意义?这是讨论这个病例的目的。研究数据显示,ROS1患者使用一代ALK耐药后可以选择二代ALK药物,

肺外科杨学宁医生:患者既往使用酪氨酸激酶的疗效确实不明显。

肺内科陈华军医生:患者既往参加的临床研究是I期研究,目前还没有使用真正针对ROS1靶点的药物,是否是原发耐药还不确定,因为患者参加的是I期剂量爬坡研究,是否达到有效浓度目前不知道。目前不建议使用色瑞替尼,我认为可以使用克唑替尼。

肺内科杨衿记医生:我们需要进一步了解患者当时参加临床试验的剂量是爬坡过程中一个剂量,还是剂量探索完成后一个推荐剂量,这个对目前患者的治疗也是很重要的。如果患者加入的是爬坡过程中的低剂量组,后面的剂量组还未开始爬坡,那可能患者使用的剂量还没有达到有效浓度,药物暴露量不够可能效果就会不明显。如果这样误认为患者是原发耐药不合适。如果患者加入的是临床研究最后推荐的II期剂量,如果这个药物有效则使用该剂量大多数患者应该有效,那么如果该患者使用的是推荐剂量那可能就是无效进展了,所以这个剂量需要弄清楚。所以我建议跟患者家属进一步的沟通,建议患者家属去更多的了解既往参加临床研究的相关信息后,再做下一步的治疗决定。