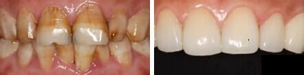
俗话说“牙疼不是病,疼起来真要命”牙齿虽然看似不重要,却是我们的一扇窗户,直接影响着我们的身体健康,在我们国家一些地方,却有很多小孩,由于饮食,饮水等的原因,从小的时候便不得不拥有发黄的牙齿,那牙齿是怎么变黄的呢?

牙齿
我们认为,牙齿发黄一般有三大种原因

牙齿
第一种是斑釉牙
斑釉牙又称为氟斑牙,为饮水中氟元素浓度过高所致。当氟浓度超过百万分之一时,就会影响牙胚的钙化过程,牙齿表面发黄,凹凸不平,出现点状或条状凹陷性缺损。斑釉牙常发生于5岁前牙齿发育钙化时,也是很多地方小孩黄牙的主要原因之一

牙齿
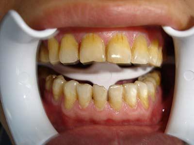
第二种是四环素牙

牙齿
四环素牙为儿童时期经常服用四环素所致。它在体内与钙质相结合,生成一种四环素钙的黄色复合物,沉积于牙冠上
第三种是吸烟

牙齿
*草烟**中的黄色物质沾附于牙齿上所致
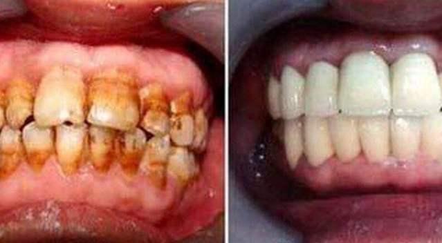
后天导致黄牙的行为
1饮食

牙齿
在我们牙齿表面存在多种细菌,它们在牙齿表面分泌许多黏性物质。*草烟**(吸烟或咀嚼*草烟**)、喝茶、饮咖啡、可乐、红酒,及有颜色的食物等等的摄入,都会在我们的牙齿上留下色素。这些色素吸附在这些黏性物质上,逐步使牙齿表面变黄或变黑。日积月累,这些物质还会从牙齿表面逐渐深入牙齿内部,形成内部污渍,使牙齿内部也慢慢变色,这种牙齿被成为外源性染色牙齿。也就是说,生活中只要牙齿和有颜色食物有“亲密接触”,都有被染色变黄的可能

牙齿
2药物和饮水
在牙齿发育时,特别是8岁以下儿童,服用了四环素类药物,容易引起牙齿变色为四环素牙。有些地区,特别是有些山区,由于水中含氟量高,过多地饮用氟会让牙齿发黄,而且不是1~2个牙齿,是满口大黄牙,成为氟斑牙。这些染色牙齿被称为内源性染色牙

牙齿
3卫生习惯

牙齿
有些人不注意口腔卫生,没有早晚正确刷牙的习惯,使牙齿表面堆积一层食物残渣、软垢、牙石、烟渍、茶渍等“劣迹”。这些黄牙并不是牙齿本身发黄,而是不注意口腔卫生造成的。
4老年性黄牙

牙齿
我们永远无法抵抗的,就是自然的老化。随年龄增长,我们的牙齿难抵沧桑,颜色逐渐黯淡发黄。岁月使皮肤留下皱纹,同样也能让牙齿不再亮白如初