作者:聂德红
单位:广东中山黄圃人民医院MR室
出品单位:深圳市放射沙龙文化传媒有限公司
投稿邮箱:2519330936@qq.com
版主微信号:fsslong2
患者 女,26岁,已婚,发现盆腔包块1月余,平素月经正常,无痛经及阴道不规则流血。6年前有卵巢囊肿手术史,3年前顺产1健康男孩,人流1次。实验室检查:胸后前位片、血常规、肿瘤六项正常。体检:子宫左后方可扪及大小约70mm的包块,质中,轻压痛。
B超:左附件区囊、实性混合团块,考虑左侧畸胎瘤。彩色多普勒显像(CDFI):未见明显血液信号。MR表现:盆腔内子宫后偏上方见大小约78mm×55mm肿块影。肿块分隔成右侧、中部、左侧份不同信号区。右份、中份、左份病灶T1WI、T2WI信号不同;T2WI脂肪抑制中份区域高信号减低。DWI肿块的信号未见增高;增强后病灶未见强化。
术中所见:左卵巢囊性病变约80mm×70mm×6mm,与盆后壁及子宫侧壁粘连,右侧份为咖啡色囊液;中份病灶有毛发及少量实性组织,左份病灶为淡黄色液体。术后诊断:(1)左卵巢畸胎瘤;(2)左卵巢巧克力囊肿;(3)左卵巢单纯性囊肿。
病理所见:送检灰白色囊性肿物三个,/镜检肿物最大者见大量异位的子宫内膜组织,大量纤维组织增生伴多量的含铁血黄素沉积。中份肿物呈囊性结构,囊壁被覆假复层柱状上皮、鳞状上皮,其下可见皮肤附属器组织及淋巴等组织,各种组织成分分化成熟。另检囊肿以纤维组织为囊壁,未见衬覆上皮。病理诊断:(1)左卵巢子宫内膜异位囊肿;(2)左卵巢成熟性囊性畸胎瘤;(3)左卵巢符合单纯性囊肿。

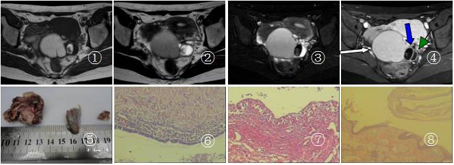
图1 为T1WI序列示盆腔内肿块信号不一,右份较大,呈高信号,中份呈高低混杂信号,左份低信号 图2 T2WI序列示病灶右份呈稍低信号,中份呈高信号信号,左份呈高信号 图3 脂肪抑制T2WI右份呈中份信号减低 图4增强病灶未见强化,病灶右份为白箭所指,中份为蓝箭所指,左份为绿三角形尖所指 图5为手术切除肿物 图6、7、8 三个肿物的病理图片。
讨论
卵巢巧克力囊肿、畸胎瘤、单纯性囊肿三者发生在同一侧卵巢的病例很少文献报道。卵巢畸胎瘤,称皮样囊肿,来源于原始性腺生殖细胞,是生殖细胞肿瘤最常见的一种良性肿瘤。MR表现:
(1)脂肪为T1WI上高信号,T2WI稍微减弱;
(2)STIR序列上为无信号;
(3)肿块内或周围常出现化学位移伪影。
(4)钙化、骨骼与牙齿无或低信号。
(5)可见分层现象,且随体位改变而发生变化[1]。
卵巢子宫内膜异位症是由于子宫内膜植入卵巢,在雌、孕激素的作用下发生周期性出血而形成新旧血液混杂的大小不等的囊肿,亦称巧克力囊肿。MR表现:
(1)常呈多发的单囊、多囊大小不等病灶,囊壁厚薄不均;
(2)囊内信号复杂,多表现为T1WI、T2WI高信号;
(3)STIR序列上呈高信号。
(4)囊肿内反复出血,压力升高,囊变破裂渗血,与周围组织粘连和囊腔外新的血液积聚,形成相互粘连的多房性囊肿为特征性表现[1]。
卵巢功能性囊肿包括卵泡囊肿、黄体囊肿和黄素囊肿。MRI表现为单发或多发性小囊肿,呈圆形或卵圆形,直径一般小于50mm,绝大多数囊肿在T1WI上呈低信号,在T2WI上呈高信号,囊壁薄而均匀,边缘光整,无分房结构。黄体囊肿常有出血,因此MRI上信号多变[2]。
鉴别诊断
单纯性的卵巢囊肿常较小,.MR表现T1WI常为边界清晰低或中或高信号,T2WI高信号;\巧克力常有出血,囊肿囊壁厚薄不均,多房,信号复杂,多表现为T1WI、T2WI高信号;.畸胎瘤囊内有脂肪、牙齿和骨骼[1]。
卵巢的分化发育及组织结构很复杂,导致其肿瘤的病理类型也十分复杂;不同病理类型的肿瘤其发病率、生物行为、临床及影像学表现各异。
本例卵巢病变右侧份出血表现在T1WI信号高,T2WI信号稍低;病灶中份有脂肪成分,表现在T2WI高信号,在脂肪抑制信号减低;左份病灶呈均匀水样信号,影像表现与手术病理相符合。如果病变较小,对多发病不够重视,把多发病简单化为一元论,就很容易得出不准确的结论。
参考文献
1 祁吉,主编.放射学高级教程.北京:人民军医出版社,2013,244
2 周康荣,陈望祖,主编.体部磁共振成像.上海:上海复旦大学出版社,2008,1150

点击阅读原文拥有自己的影像工作室