- #南京##牙齿矫正#
- 接触了很多患者朋友,脑子里有时候回想大家问得最多的几个问题,以下这几个问题被问到的几率很大:
"我现在矫正会不会太晚啊?"
“我已经结婚也有小孩了,想整牙变得更好看,但又纠结这有没有必要,您觉得我需要整牙吗?”
- 通常遇到这类型的问题,我都不会正面回答,我会引导大家问自己几个问题:
"你纠结要不要整牙真的是因为年龄吗?"
"对美的追求真的止步于结婚生子?对美的追求是为了自己还是为了别人?"
- 如果想清楚了这两个问题,我猜答案大家应该已了然于心。
今天分享的正畸故事,就是一位为美为健康毅然决然做正畸的 [宝妈]-- 可乐妈妈,我想记录下我和她之间的故事,也是为我们的相遇相识送上的纪念礼物。

可乐妈矫正后给她拍的照片,很有气质,也更爱打扮了
可乐妈矫正后给她拍的照片,很有气质,也更爱打扮了
- 可乐妈生完娃后下定决心解决自己外突的*牙虎**,赶在断奶前就来找我做正畸,对于矫正,她很认真对待,过程中也很配合。
- 她还很积极在平台上和大家分享自己的牙齿矫正历程。这也算是她对自己正畸历程的记录。
文字记录往往是无价之宝,回过头来你会发现,原来我是这么一步步走到这里的呀~





可乐妈每一篇牙套记录都很用心,也一步步看到了她的牙齿变化,每每看到她的记录,我内心都会很激动~
- 还记得有一次她来复诊粘附件和做片切,整个过程只用了几分钟,她说:速度这么快,想多和我聊会天都难。
- 当时我就在想,所以你是来复诊还是来聊天的哈哈哈。

- 可乐妈妈的牙套戴得很贴合,效果也很好。
- 牙套能戴贴合,和可乐妈的高度重视和配合度有很大关系,也感谢她对我的绝对信任!
正畸结束后,她微笑时紧张的下颌肌肉放松了许多,笑起来自然也变得更好看啦。

矫正前期合影
矫正前期合影

可乐妈矫正后的笑容真的太好看啦!
可乐妈矫正后的笑容真的太好看啦!
- 大家都知道,正畸治疗中我关注全脸的美学改善,不仅是笑容、面下三分之一。像面部整体轮廓、面型饱满度、三庭比例和高度,都是我会在正畸方案设计中会考量进去的。
- 我知道,对美的追求,是每位患者朋友寻求正畸治疗的重要诉求之一,而追求美的改变,更是值得我们为之努力一生的,它能带给我们正能量、自信,更是一种积极的心态。
- 而我作为正畸医生,更是希望能通过自己的双手和技术,为大家带来尽可能多的美的可能性。

- 在我看来,饱满的苹果肌或者上翘的唇珠,是少女感的秘密。
越是年轻女孩,脸上越发紧致饱满。鼻唇角变大,唇珠变翘,下唇以及下颌的位置更翘,都是正畸所带来的。
- 我为可乐妈设计的隐适美隐形矫正拔牙方案,依靠隐形牙套,9个月时间进入微调。

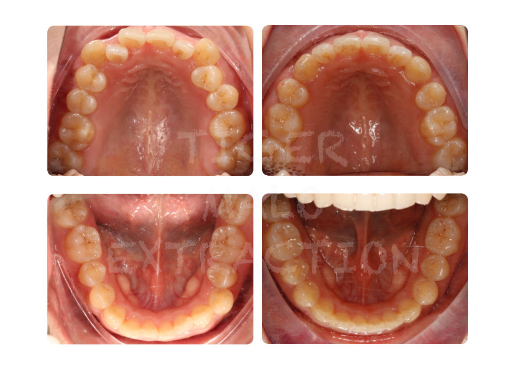
牙齿排列整齐,*牙虎**突出问题解决
牙齿排列整齐,*牙虎**突出问题解决
- 9个月时间里,我们将一个个小目标实现,这些小目标,关乎健康,关乎咬合,关乎稳定,更是与审美相关。 没有人会对更年轻自信的自己说不,更没有人会对更健康灿烂的笑容说不。
- 可乐妈矫正后,笑容更自信饱满,面容也更显年轻气质,气质上升了不止一个高度。

面部更柔和饱满
面部更柔和饱满

苹果肌饱满更显年轻
苹果肌饱满更显年轻


- 谁说,追求美只是年轻女孩的专利?哪怕已经是宝妈,一样能对美有所追求,也一样能散发出美的魅力。