宝妈工作中总会有准妈妈们问超声仪上面看到的是宝宝哪一个部分?是头是脚?男孩还是女孩?跳动的是心脏么?
下面的这些图就会告诉你,一起看看吧!
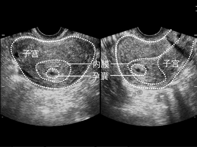
1.孕4-5周:可以看见孕囊,5周左右可以看见原始心管搏动。

2.孕6周时出现胎心搏动,有胎芽,就像是一颗种子才刚刚发芽一样。

3.孕7周:心脏搏动明显,可显示胎体头极和尾极,并见小肢芽,这时候三维超声会看见宝宝像一个小蚕豆一样。

4.孕8周:初具人形,各部分迅速发展,头颅、躯干、四肢显示越来越清楚。

5.孕9周:此时开始称为胎儿。各部分发展趋于完善,经阴道超声扫查已能观察大部分结构。

6.孕10周:这时候可以看见宝宝颈背部的皮肤级皮下组织啦,还可以数出宝宝的手指,肢体活动相当活跃。

7、孕11-12周:可以分辨宝宝脊柱,头面耳廓开始显现,外生殖器开始发育,但是不能辨别男女。可以诊断一些明显畸形(例如无脑儿)

8.孕13-27周均属于中期妊娠。在此期间可以检测胎儿的生长发育情况,了解胎儿构造及羊水胎盘情况。
a.头面部


b.四肢


c.心脏

d.重点来啦,男宝和女宝,别说你不会看!

最后来个可爱的四维照!



有没有觉得宝宝可爱到爆!