
现在冠心病的发病率越来越高,心内科病房里接受心脏造影的人也越来越多,很多病人在手术前都在担心这个问题:做心脏造影究竟疼不疼?

心脏造影的针眼
目前做心脏造影多数都是穿刺我们手臂的桡动脉,也就是咱们摸脉搏的地方。这里的动脉与心脏的动脉相连,通过穿刺这跟动脉后,可以沿着穿刺针送入一根很细很细的导丝进入血管,然后再沿着导丝就能把一根很细的鞘管送进动脉。这个过程只需要再穿刺部位打一点局部麻醉就可以,也就是打麻药的时候会疼个几秒钟,打完局麻就不会疼了。

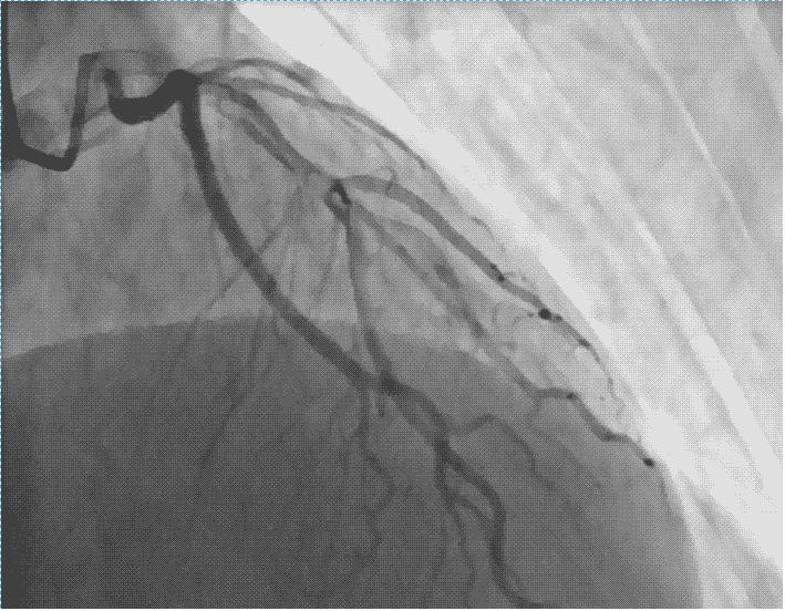
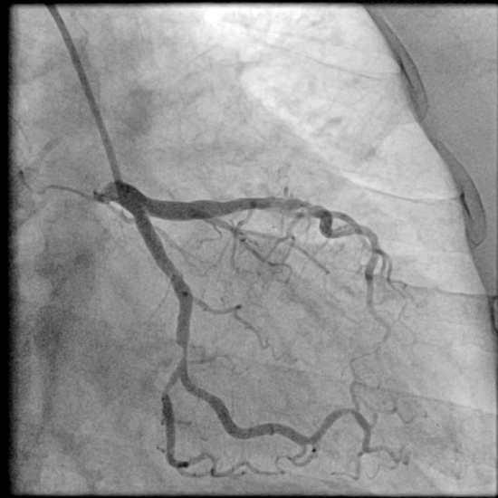
在上面的步骤完成后,我们就有一个鞘管留在手臂上了,这个时候就可以沿着鞘管把造影导管沿着动脉往上送,一直送到心脏冠状动脉开口的地方,注射造影剂就可以让心脏血管显示出来,哪里有狭窄,狭窄有多重?都一清二楚了!这个过程由于血管里没有神经,一般人是没有明显感觉的,当然也不会疼。
在造影结束后,我们要拔出鞘管,由于是动脉穿刺,它的压力很高,在拔出鞘管后需要用绷带或者压迫器来帮助动脉穿刺点压迫止血。由于压迫时静脉也会收到影响,手臂会出现肿胀,部分病人会有疼痛。但是一般每两个小时会放送绷带,放送三次,也就是术后六小时基本上穿刺口已经闭合,就不再需要很大压力去压迫,伤口的地方就完全放松了。

所以,整个造影过程不会太疼,也就是打麻药时和术后压迫止血有点疼,其他基本没有太明显的感觉。对于需要造影的朋友,可以放心去做了!#清风计划#