
每日一句小矫情
凡事不要想得太复杂,手握得太紧,东西会碎,手会疼。
"
集美们安好~阿葛蕾准时来给大家请安啦,美妙的夏天终于要来啦!小短裙、小吊带,想想就凉快呀。太羡慕肤白貌美大长腿的姐妹了,面对夏天毒辣的太阳,怎么穿都不怕晒黑,不像阿葛蕾这种天生黑妹,不敢露呀不敢露,所以我不禁思考,长得黑与白到底是基因决定的吗?
"

正常皮肤的颜色取决于皮肤中的黑色素、胡萝卜素、氧合血红蛋白和脱氧血红蛋白的多少,也与角质层的厚度和含水量、血流量、血液中氧含量等很多因素密切相关。

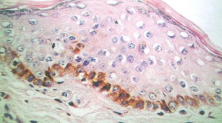
黑色素是决定人类皮肤颜色的最主要色素,它是在位于表皮基底层的黑素细胞内合成的,然后通过黑素细胞的树枝状突起被传递到邻近的角质形成细胞内,并随角质形成细胞向表皮上层移动,从而影响皮肤的颜色。

胡萝卜素是一种类胡萝卜色素,只能通过食物来摄取。血液中的胡萝卜素很容易沉积在角质层并在角质层厚的部位及皮下组织产生明显的黄色。女性皮肤中的胡萝卜素往往比男性多。

血红蛋白存在于红细胞中,能够与氧分子结合(称为氧合血红蛋白),将氧气从肺部输送到全身各组织中,氧合血红蛋白存在于动脉血中使血液呈鲜红色;脱氧之后的血红蛋白(称为脱氧血红蛋白)在静脉血中使血液呈现深红色。血液的颜色能够影响到面颊等毛细血管丰富部位的皮肤颜色。角质层较薄及含水量较多时,皮肤的透明度较好,能较多地透过血液颜色,从而使皮肤显出红色;相反,角质层较厚及含水量较低时,皮肤的透明度较低,皮肤呈现黄色。

虽然上述因素对皮肤颜色起到决定性的作用,但皮肤颜色也随种族和个体差异而有所变化,还与性别、年龄以及身体的不同部位等因素密切相关,其中种族不同,皮肤颜色的差别最大,大致可分为白色、黄色和黑色三类人种。
白种*皮人**肤的表皮中黑色素含量很低,皮肤的透明度很高,氧合血红蛋白含量较高,皮肤呈现粉色;黑种*皮人**肤中包含较多的黑色素,血液中的血红蛋白含量较低;黄种人肌肤内的黑色素吸收紫外线的能力较强。同时,男性皮肤的色素往往比女性丰富;老年*皮人**肤的色素比年轻人丰富;手掌及足跟的色素少,而阴部、乳头等部位的色素多。
此外,皮肤的颜色也会受到健康和情绪压力的影响。