
入秋后,天气变得越来越干燥,估计很多人已经把加湿器拿出来使用了,让房间保持一定湿度会非常舒适。
许多使用过加湿器的人可能都已经发现了,在使用加湿器之后,它会在房间地面留下一些白色的粉末,不知道有多少人被这种粉末直接“劝退”,再也不敢使用加湿器?当然肯定也有人没有注意到这些。
但无论如何,加湿器的使用确实存在一些风险,甚至曾经在韩国制造了一起十多万人死亡的*案惨**,600多万人受到影响,数十万人接受了治疗,该事件导致的后果至今还在诉讼赔偿中。

韩国加湿器丑闻
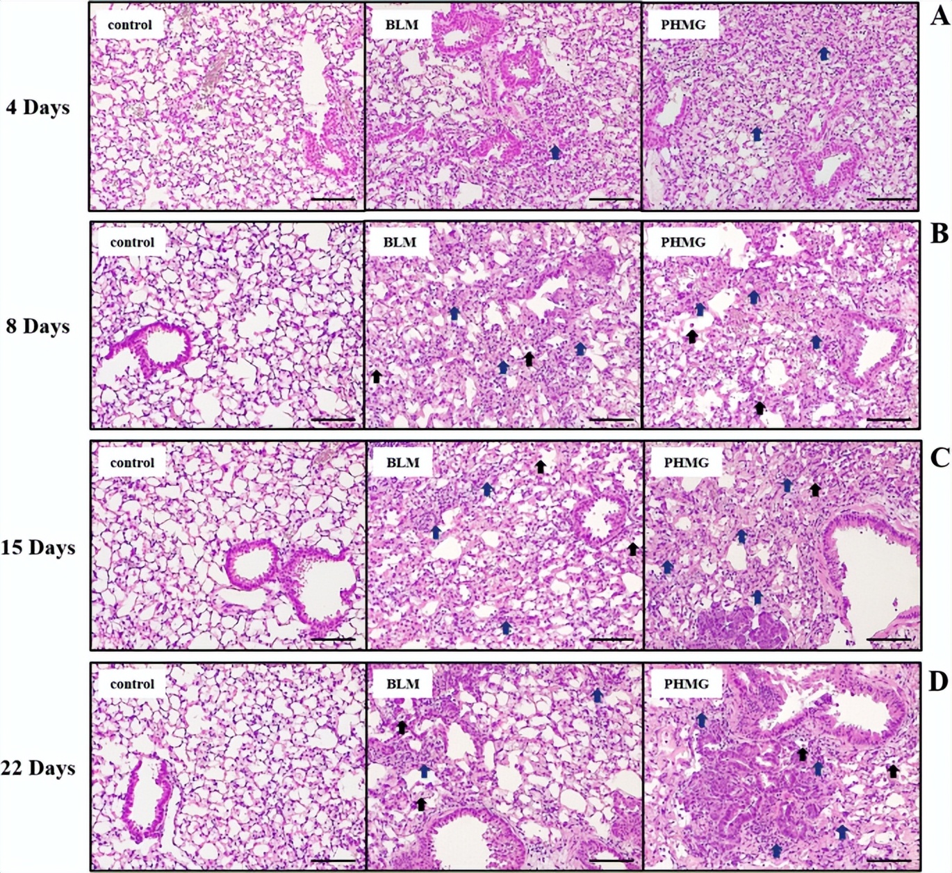
在2011年4月的时候,仅韩国首尔一家医院在一个月内就报告了28起孕妇因不明肺部疾病住院的案例,这些患者有一些共同之处,她们的肺部都出现了纤维化。
虽然,患者的情况相似,同时还如此集中地出现,但是医生并不知道具体是什么导致了疾病的发生,最初更多的是认为出现了某种传染病。
当人们开始调查后才发现,这根本就不是什么传染病,类似的患者早在2006年的时候就已经出现过了,而且几乎每年都会有类似的患者就诊。

当时的调查人员或许也有引起重视,但这样的事情并没有被直接曝光,直到4名孕妇以及她们腹中胎儿因为这种不明肺部疾病去世,该事件才彻底曝光,韩国不得不组织专门的调查小组对事件展开彻底调查。
调查人员很快就锁定到了加湿器上,因为所有患者都有使用加湿器的习惯,同时都是在使用加湿器过后患病的。
然而,加湿器只是把水分蒸发出来,为什么会达到伤人的地步呢?

深入地访问调查之后,他们还发现这些患者基本会有另外一个共同特点,那就是他们的家庭都会使用一种加湿器的杀菌剂。
很快调查人员锁定了这个杀菌剂,它是英国卫生产品制造商利洁时集团在韩国的一家子公司Oxy生产的加湿器杀菌产品。
其实,这款杀菌剂产品中的主要成分并没有什么不合理的,他就是最常见的消毒杀菌化学物质——聚六亚甲基胍。

作为消毒杀菌的物质,聚六亚甲基胍可以用“完美”来形容,它可以很好地吸附带有负电的细菌和病毒,将微生物包裹起来使它们无法呼吸,同时还会破坏这些微生物的细胞机构,让它们彻底无法生存和繁殖。
从聚六亚甲基胍的消毒的本质来看,它和微生物的种类和形态无关,这让其成为绝佳的消毒物质。
因此,我们现在使用的许多消毒产品的主要成分其实都是聚六亚甲基胍盐类。
在大量的实验和实践中,人们对这种物质还得出了一个结论,就是这种物质对人体是无毒的,无论你是不小心吃下它(小鼠经口毒性属于无毒级),还是皮肤或者黏膜接触它。
不过,事实证明它不能当作加湿器的杀菌剂,因为吸入它机会有毒,它会导致肺部病变纤维化。

加湿器如何让无毒的杀菌剂变成夺命物质?
加湿器起效果的原因其实非常简单,它就是让液态水蒸发成水分子,让房间中局部地方湿度更高。
不过,加湿器将液态水变成水分子的方法一般有两种,要么是直接让水分子蒸发,要么是把水分子打碎成微米级的水滴,散布到空气后迅速蒸发。
第一种方法其实就和烧开水差不多,只是加湿器的“烧水”应用到了许多技术来增强水分蒸发的效果,这种被称为蒸发加湿器。
对于这种直接蒸发的加湿器来说,它其实相对更加安全,但设备也更加贵,更占空间,也更耗电。

我们前面提到的那种会制造出白色粉末的加湿器是使用第二种方法,其原理是用超声波的高频震动先把液态水震动成小水滴,由于这些水滴太小了,它接触空气后会迅速蒸发掉,这种被称为超声波加湿器,我们平时看到的加湿器基本就是这种。
由于超声波加湿器是先形成小水滴后再蒸发,所以这种加湿器的一个特点就是会喷雾,看起来会挺有高级感的。

然而,小水滴会携带水中的杂质以及微生物,使用加湿器后在地面留下一层白色粉末,其实就是自来水中的杂质——重碳酸钙和重碳酸镁等物质,和我们烧开水后留在水壶底部的物质是一样的。
试想下,把这些杂质和微生物吸入体内的话,这肯定不是好的选择,所以如果是用超声波加湿器来加湿的话,一定要记住最好使用纯净水。
其实,聚六亚甲基胍盐类本身是不易挥发,也很稳定不易分解,这也是它成为优秀消毒剂的原因之一,但是它会和碳酸钙这些水中杂质一样被震动成小颗粒进入空气。
而这些小颗粒和水蒸气一样会被人吸入肺中,进入肺部后,它会导致蛋白质失活,这些失活的蛋白质会在肺部堆积,最终引发疾病。

加湿器丑闻的影响有多大?
韩国的这个加湿器事件之所以被称为丑闻,是因为该事件刚被曝光的时候,杀菌剂的生产公司一直在试图通过各种手段隐瞒事实,甚至还请了知名的大学教授来制作假的安全报告。
最初,一些媒体报道的相关死亡人数只有100多人,相关受害者总共也就只有几百人,对于公司的处罚也非常有限,最严重的部分就是产品被撤回了。
但是,由于韩国地处偏北,入秋之后就会变得异常干燥,加湿器的用户群体非常庞大,而且就像我们前面提到的,其实大部分家庭使用的加湿器都是超声波加湿器,另外Oxy这款针对加湿器的杀菌剂每年的销售数达到了10万瓶。

最最关键的是,由于该公司在宣传的时候,夸大了杀菌剂的功能,许多消费者误以为可以将杀菌剂加入到水中,让它挥发到空气中,从而可以对整个房间进行杀菌消毒。
因此,这个事件的影响应该是非常大才是。
在韩国民众长期的维权申诉下,2020年的时候,一项研究报告重新评估事件的影响,该报告显示,大约有630万韩国人受到杀菌剂的影响,13000到16000人因此死亡,其中死亡比例最高的就是老人和小孩。
另外,67万人可能因为使用过这个杀菌剂而患病,而至少有55万人接受了治疗,其中最多的并发症是鼻炎,达到34.2万人。

最后
这个可能是韩国历史上最严重的公共卫生安全问题之一,虽然该事件的一些制造者最后受到了法律制裁,但是目前得到赔偿的人并不多,那些因为杀菌剂造成的永久性肺功能问题的人也无处说理。
加湿器和杀菌剂都是非常好的发明和发现,但谁又能想到把两者放在一起会酿成这样的*案惨**呢?
#头条创作挑战赛#