
图源:Esquire
利维坦按:每当提及黏液,估计很多人首先会联想到《异形》中的那种极具腐蚀性的黏液。当然,那只是科幻片,不过,就算在现实中,我们也不免联想到鼻涕、浓痰,随之而来的,也许是些许的生理或心理不适感。但话说回来,不论对于人类还是其他生物,对于其进化历程而言,这种黏糊糊的特性究竟意味着什么呢?
文/Daniel Kolitz
译/托雷波尔
校对/何里活
原文gizmodo.com/what-makes-things-slimy-1835370087
本文基于创作共同协议(BY-NC),由托雷波尔在利维坦发布
文章仅为作者观点,未必代表利维坦立场
几乎没有人知道自己最喜欢哪一种触感,就算有,你最好也和这些怪咖保持距离。但是,几乎所有人都知道自己最不喜欢哪一种手感——这也是蛞蝓、流脓的疖子、细菌肆虐的沼泽地共同具备的特征, 黏滑 。
为什么它们都黏糊糊的?这种触感到底是从哪里来的?黏液的本质是什么?为了搞清楚这些问题,我们找来了一群黏液科学家一探究竟。

这让人想起《黑客帝国》(The Matrix)中的一个细节。当主人公尼奥(Neo)从机器与程序的“梦境”中醒来,为了表现他回到了现实世界,他醒来后发现的第一件事就是:现实世界中充满黏液。图源:Giphy
戴夫·普拉切茨基(Dave Plachetzki)
新罕布什尔大学,细胞和生物医学科学、分子遗传学助理教授,他目前正在加拉帕戈斯群岛收集符合实验要求的海蜇,其实验目的是从分子遗传学以及进化角度研究黏液腺体。
道格拉斯·福吉(Douglas Fudge)
查普曼大学生物科学助理教授,海蜇及海蜇黏液领域的一位专家。
黏液通常是由糖蛋白(Glycoproteins)构成的,所谓糖蛋白就是一种蛋白质分子,并且附加了大量碳水化合物(从生物学角度讲,碳水化合物也就是各种糖类)。由于水与糖蛋白中糖类分子之间的相互作用,糖蛋白会与水结合形成各种各样的形状与大小。
当这种糖蛋白的体积变得非常大(即大分子),它们就会出现一种物理上的一致性,也就是人们通称的黏性(Sliminess)。从生物进化的角度看,黏液本身就经历过很多很多次进化,黏液在生物的进化进程中也发挥了千奇百怪的作用,包括呼吸、喂食、繁殖,对于我们正在研究的海蜇来说,黏液的作用是防卫。

当掠食一方的石首鱼将海蜇黏液吞入口中,不仅阻塞了其口腔,也几乎无法通过自身力量将黏液从鳃部清除掉。图源:The Company of Biologists
对于黏液的讨论也涉及到一个更本质的问题:当一个东西黏糊糊,这到底说明什么?我们刚才已经提到了形成黏液的糖蛋白总是倾向于结合大量的水。这让黏液具备了柔软的材料特性,让它们更容易滑过物体表面,而这些糖蛋白大分子之间的相互作用也具备很强的弹性。 人们把具有这些特性的物体称为黏液。
维瓦卡·马霍塔(Vivek Malhotra)
基因组调控中心(Centre for Genomic Regulation)细胞与发育生物学主席。
因为黏液的特殊手感,提到这个词,总是能激起负面的想法,或者引发令人恶心的感觉,但是它其实有着非常重要的保护作用。比如,我们的身体中有一种特殊的细胞,杯状细胞(Goblet Cell),它分布于呼吸道内壁以及结肠(Colon)中,其作用是分泌黏蛋白(Mucoprotein)。事实上,人类每天要分泌一升黏蛋白,这些分泌物将在呼吸道内壁、结肠肠壁上形成一层黏膜。
所谓黏蛋白,同样是一种大蛋白分子,它形成于细胞中一种名为内质网(Endoplasmic Reticulum)的结构中。这些蛋白质分子在内质网中与糖类发生相互作用,然后被转移到高尔基体(Golgi Apparatus)也就是细胞内的另一个结构中。在高尔基体中,黏蛋白附加糖类,其体积大大增加,直至原来的5倍之多。

电子显微摄影拍摄到的细胞中的内质网,图中黄色箭头所指的即为两种不同的内质网,左边是粗面内质网,右边的是光面内质网。图源:medcell.med.yale.edu
接着,这些高糖基化(一个用来描述蛋白质附加糖类的术语)的蛋白质分子被转移到一个巨大囊泡结构中,随着这些黏蛋白结晶,几乎转化为晶体状态,整个囊泡也随之进入成熟状态。就是这些在高尔基体中附加的糖类,让黏蛋白最终获得了其黏性。

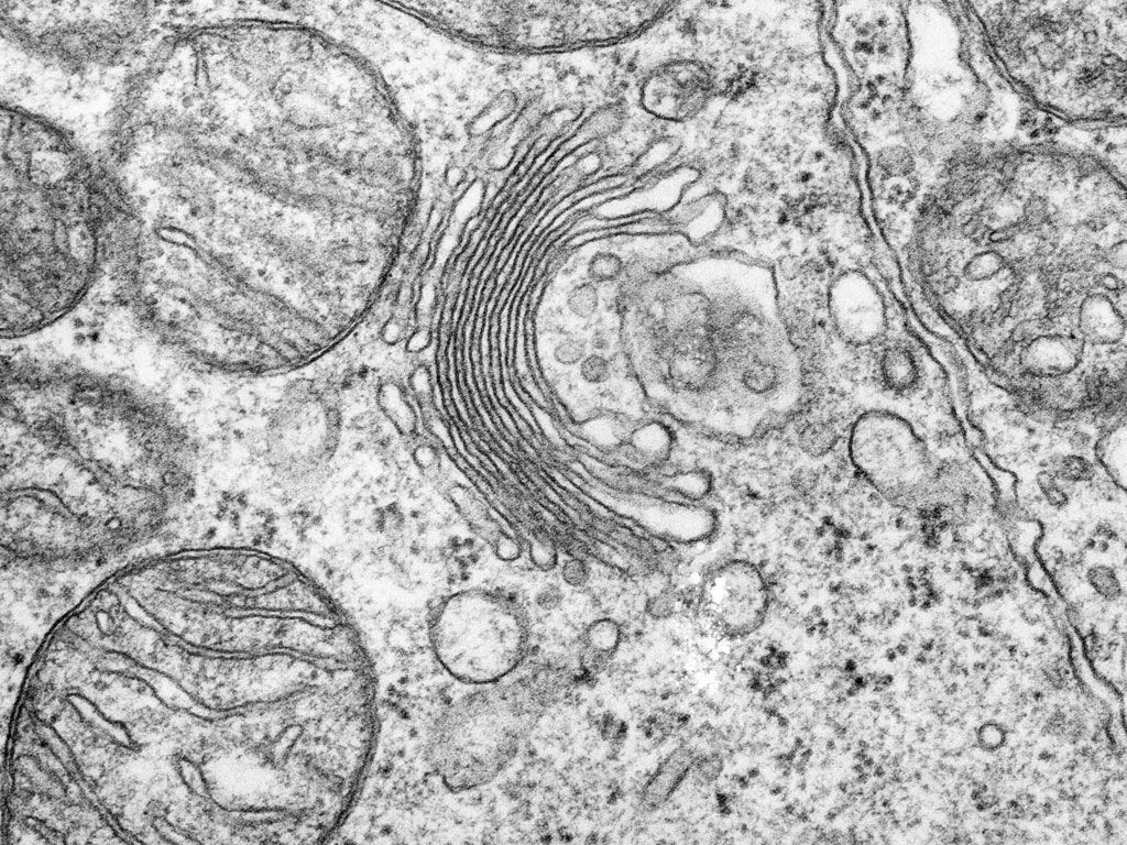
电子显微摄影拍摄到的高尔基体,照片正中位置的一系列半圆型结构即高尔基体。这是一系列扁平的扁平囊体,蛋白质就在这里完成糖基化,并被包裹于囊泡中。图源:medcell.med.yale.edu
随着这些囊泡与细胞表面摩擦,它们将黏蛋白释放到细胞外的空间中,这个释放过程可能有两种情况:其一,在没有外界刺激信号的情况下,包含黏蛋白的囊泡随着摩擦细胞膜少量释放其中的黏蛋白。 其二,当外界刺激出现,比如过敏原或者体外颗粒入侵,黏蛋白囊泡将快速爆发式将黏蛋白释放到细胞以外。
这些释放到细胞以外的黏蛋白与细胞外空间中的液体混合之后,成为了一种黏稠的凝胶状物质,这就是生理学角度所谓的黏液性(Mucous)物质。在这个过程中细胞分泌的黏蛋白数量与质量都至关重要。分泌过多、分泌过少、过于浓稠、过于稀释,或者黏蛋白本身的质量有严重缺陷,这些异常可能与多种疾病有关,比如重度哮喘(Severe Asthma)、慢性阻塞性肺病(Chronic Obstructive Pulmonary Diseases)、囊性纤维病(Cystic Fibrosis)、克罗恩病(Crohn’s Disease)或者黏液癌(Mucinous Cancers)。
当然,不必看到黏液就过度担心。我们在日常咳嗽或者流鼻涕的时候,排出体外的黏液实际上是呼吸道排出外界刺激物与病原体的一种正常反应。
总地来说,我们身体中产生的黏液主要是由一种糖蛋白(即黏蛋白)组成的,这种黏蛋白是通过杯状细胞分泌的。这种重要的黏性物质可以在呼吸道和结肠中形成抵抗外来颗粒、病原体的第一道防线。而我的研究室目前正致力于理解细胞在分泌黏蛋白时,是如何做到保质且保量的。
露丝·卡斯辛格(Ruth Kassinger)
《黏液:创造我们、折磨我们的藻类,未来有可能拯救我们》(Author of Slime: How Algae Created Us, Plague Us, and Just Might Save Us)一书的作者。
单细胞的、极微小的,或者多细胞海藻,无论是哪种藻类,其触感都非常黏滑。30多亿年以前,当第一种藻类漂浮于海洋中时,地球的大气中还没有臭氧层,没有任何东西能阻挡紫外线,在紫外线照射下这些藻类中的DNA就如同被油炸一般。因此,藻类在其表面进化出一层光滑的多糖类物质(即长链糖分子),其中的类菌胞素氨基酸(Mycosporine-like Amino Acid)具备吸收紫外线的作用。因为这层黏液是透明的,一定波长范围的光线可以穿透,这样藻类也获得了进行光合作用所需的光照。
今天,一些生物化学家从藻类中提取分子制作防晒霜,藻类防晒霜不仅有效,而且不含氧苯酮(Oxybenzone)或类似的化合物,即使作为垃圾被丢弃,也不会伤害到珊瑚、鱼类或者其他海洋生物。

陆地上的水藻黏液更容易观察到,比如在山间小溪中常见的这种混有藻类的“黏液溪流”。图源:nickyandcookie
妮娜·夏皮罗(Nina Shapiro)
加州大学洛杉矶分校头颈外科教授,儿科的耳鼻喉科治疗主任。《炒作:直面医疗传闻与有害建议,如何分辨真实与虚假——来自医生的指南》(HYPE: A Doctor’s Guide to Medical Myths and Bad Advice: How to Tell What’s Real and What’s Not)一书的作者。
之所以我们的鼻腔和鼻窦中总是充满黏糊糊的黏液,其中是有充分原因的。鼻子的主要功用当然是吸入洁净空气,但同时它也必须起到过滤器的作用,将空气中所有的污染物尽可能过滤掉。
如果因为感冒或者其他阻塞问题导致一个人无法通过鼻子吸入空气,长期通过嘴巴呼吸,将导致患者暴露在尘土、过敏原以及其他空气颗粒物中,丧失自身的过滤能力。鼻腔中的湿滑黏液、鼻毛完全可以阻拦这些污染物,并通过擤鼻涕或者打喷嚏的方式将异物排出体外。
另外,你也可以把鼻子看作是一个温室——它可以产生潮湿的热气,阻隔外界的寒冷空气。通过保温作用和过滤作用,鼻腔内黏液最终保证了送入肺部的空气是清洁、温暖的。鼻腔黏液还可以清除一部分病毒和细菌,因为它们总是不可避免地侵入潮湿温暖的环境,特别是在冬季。

图源:Giphy
除了鼻腔,中耳、眼睛、鼻窦、喉咙、呼吸道和肺部的黏液腺体都可以产生黏液。黏液中的成分包括水、盐分、蛋白质和糖蛋白。至于黏液特有的光滑特性,来自于一种被称为黏蛋白的物质。也许你对黏液的印象要么是滑滑的,要么是黏糊糊的,但事实上单单鼻腔黏液就可以被分为好几种。
与过敏相关的鼻腔黏液更清亮,更像水。当患者感冒时,鼻腔粘液就更浓稠,颜色更深,可能是黄色、绿色或者棕色。这些较深的颜色可能意味着细菌感染,但并不一定说明鼻腔内突然滋生大量细菌。早晨擤鼻涕时,鼻涕中往往含有更多浓稠黏液,其颜色也更深、更暗,这是因为细菌可以在黏液中生长,随着这一天时间流逝,鼻涕的颜色也就慢慢变浅了。当患者处在鼻塞的状态中,鼻腔粘液可能是浅灰色的,其黏性就像橡胶粘合剂。

图源:Giphy
初生婴儿在鼻腔尚未疏通的状态下,其鼻腔粘液就像一种浓稠的橡胶粘合剂,就好像黏液填满了他们的鼻腔空间。如果新生儿的两个鼻孔都被鼻腔粘液阻塞,将处于无法呼吸的状态。当几个月大的婴孩鼻腔呼吸受阻时,他们可以本能地进行口腔呼吸反射,但是对于新生儿来说,他们是强制通过鼻腔呼吸的,因此必须确保其鼻腔黏液不多不少,恰好分泌了可以支持新生儿呼吸的量。

“利维坦”(微信号 liweitan2014 )
微博: 利维坦行星
神经基础研究、脑科学、哲学……乱七八糟的什么都有。反清新,反心灵鸡汤,反一般二逼文艺,反基础,反本质。
投稿邮箱: wumiaotrends@163.com
合作联系:微信号 liweitan2018